- Infectious Diseases of Livestock
- Part 1
- Besnoitiosis
- Vectors: Ticks
- Vectors: Tsetse flies
- Vectors: Muscidae
- Vectors: Tabanidae
- Vectors: Culicoides spp.
- Vectors: Mosquitoes
- Classification, epidemiology and control of arthropod-borne viruses
- Special factors affecting the control of livestock diseases in sub-Saharan Africa
- The control of infectious diseases of livestock: Making appropriate decisions in different epidemiological and socioeconomic conditions
- Infectious diseases of animals in sub-Saharan Africa: The wildlife⁄livestock interface
- Vaccination: An approach to the control of infectious diseases
- African animal trypanosomoses
- Dourine
- Trichomonosis
- Amoebic infections
- GENERAL INTRODUCTION: COCCIDIA
- Coccidiosis
- Cryptosporidiosis
- Toxoplasmosis
- Besnoitiosis
- Sarcocystosis
- Balantidiosis
- Leishmaniosis
- Neosporosis
- Equine protozoal myeloencephalitis
- GENERAL INTRODUCTION: BABESIOSES
- Bovine babesiosis
- Equine piroplasmosis
- Porcine babesiosis
- Ovine babesiosis
- GENERAL INTRODUCTION: THEILERIOSES OF CATTLE
- East Coast fever
- Corridor disease
- Zimbabwe theileriosis
- Turning sickness
- Theileria taurotragi infection
- Theileria mutans infection
- Theileria annulata theileriosis
- Theileriosis of sheep and goats
- Theileria buffeli⁄orientalis infection
- Non-pathogenic Theileria species in cattle
- GENERAL INTRODUCTION: RICKETTSIAL, CHLAMYDIAL AND HAEMOTROPIC MYCOPLASMAL DISEASES
- Heartwater
- Lesser known rickettsial infections in animals and humans
- Chlamydiosis
- Q fever
- Eperythrozoonosis
- Bovine Haemobartonellosis
- Potomac horse fever
- GENERAL INTRODUCTION: ANAPLASMOSES
- Bovine anaplasmosis
- Ovine and caprine anaplasmosis
Besnoitiosis
This content is distributed under the following licence: Attribution-NonCommercial CC BY-NC
View Creative Commons Licence details here

Besnoitiosis
Previous authors: R D BIGALKE AND L PROZESKY
Current authors:
W U BASSO - Senior Research and Teaching Associate, Head of the Veterinary Parasitology Diagnostic Section, Dipl. EVPC, EBVS® European Veterinary Specialist in Parasitology, Institute of Parasitology, Vetsuisse Faculty, University of Bern, Bern, 3012, Switzerland
Introduction
Besnoitiosis is a disease of domestic and wild animals caused by several species within the genus Besnoitia (Protozoa, Apicomplexa, Sarcocystidae). To date, 10 Besnoitia spp. have been named: B. besnoiti, B. bennetti, B. caprae, B. tarandi, B. jellisoni, B. akodoni, B. darlingi, B. wallacei, B. oryctofelisi and B. neotomofelis, with particular host ranges.31, 32, 33, 35, 36, 100. (Table 1). Among these, Besnoitia spp. affecting ungulates: B. besnoiti (cattle and other bovids) B. caprae (goats), B. tarandi (reindeer) and B. bennetti (equids) have the greatest significance, as they are responsible for economically important diseases in some regions worldwide.
Bovine besnoitiosis is a relatively common disease of cattle in Africa and in some countries in Europe and Asia. It is caused by B. besnoiti, a protozoan parasite described in 1912 by Besnoit and Robin in a chronically infected cow in France.9 Severe, mild and inapparent forms of the infection may occur in cattle. The severe form is characterized by an acute stage with fever and oedema, as well as orchitis in bulls, which is followed by a chronic stage with thickening, hardening and folding of the skin, alopecia, hyperkeratosis, and severe loss of bodily condition. Nevertheless, in most animals, the infection remains clinically inapparent.
Although cattle may die from the disease during the acute (“anasarca”) or chronic (“scleroderma”) stages, the mortality rate is generally low. Of more importance are the debility, the possible sterility of bulls (which is usually permanent if the animal has shown frank clinical signs) and the down-grading of carcasses in abattoirs, due to trimming, or even the condemnation of carcasses resulting from the presence of cysts in the fasciae and intermuscular connective tissues.
Caprine besnoitiosis, caused by B. caprae, was also recognized as being economically important in goats, mainly in Kenya and Iran, where the disease is characterized by scleroderma, alopecia and the presence of large numbers of cysts in sites similar to those observed in cattle.19, 20, 81
Equine besnoitiosis is caused by B. bennetti. The first records of this disease were from France57 and Sudan.8 In South Africa, clinical B. bennetti infections were recorded in horses and donkeys, and subclinical infections in mules and zebras (Equus burchelli)11, 83, 93 Clinical B. bennetti infection was also reported in donkeys in the US.31 Recently, antibodies against Besnoitia spp. infections were detected in 16 (2.9 per cent) horses, 13 (15.3 per cent) donkeys and 22 (26.5 per cent) mules in a serosurvey in Spain using ELISA for screening and western blot as confirmatory test. However, parasite isolation and/or molecular techniques are still needed to determine which Besnoitia spp. might be present in Spanish equids.54
Bovine besnoitiosis is a much more common disease than caprine or equine besnoitiosis and has therefore been studied more comprehensively. Bovine besnoitiosis will thus form the basis of the descriptions in this chapter and be compared to the disease in goats and equids where appropriate.
Aetiology and life cycle
Bovine besnoitiosis is caused by Besnoitia besnoiti. It is classified together with the closely related protozoan parasites Toxoplasma, Neospora and Sarcocystis within the group of the cyst-forming coccidia, in the taxon Apicomplexa, family Sarcocystidae.29, 67, 85
It is suspected that B. besnoiti, like other cyst-forming coccidia, has an indirect life cycle with a carnivore as a definitive host, and domestic and wild bovids (e.g. antelopes) playing the role of intermediate hosts. However, the life cycle of B. besnoiti needs further elucidation and a definitive host, which sheds oocysts after ingestion of infected tissues, could not be conclusively identified so far.5, 27, 84
The domestic cat is the definitive host of four of the ten described Besnoitia spp. (i.e. B. darlingi, B. wallacei, B. oryctofelisi and B. neotomofelis.32, 36, 41, 100 (Table 1). Based on a single report from the former Soviet Union,82 domestic (Felis catus) and wild cats (Felis libyca) were first assumed to also serve as definitive hosts for B. besnoiti, but this fact could not be confirmed in later experiments feeding cats with skin and/or tissues from infected cows containing abundant B. besnoiti cysts.5, 27, 84
Carnivores that have been tested and could not be confirmed as definitive hosts of B. besnoiti so far include 13 species of mammals (domestic dog, domestic cat, serval (Leptailurus serval), jungle cat (Felis chaus), caracal (Caracal caracal), small spotted genet (Genetta genetta), marsh mongoose (Herpestes palludinosus), lion (Panthera leo), leopard (Panthera pardus), cheetah (Acinonyx jubatus), banded mongoose (Mungos mungo), black-backed jackal (Canis mesomelas), cape fox (Vulpes chama), two species of carnivorous birds (marabou stork [Leptoptilos crumeniferus] and white-backed vulture [Pseudogyps africanus], and six species of snakes.5, 27, 84 Unfortunately, oocysts shed by some of the experimentally inoculated animals in older studies27, 82 could not be further identified by molecular techniques. To date, the definitive hosts of 6 Besnoitia spp. including B. besnoiti are unknown (Table 1).
So far, the only experimentally confirmed modes of transmission of B. besnoiti among cattle are mechanically through blood-sucking insects and iatrogenically through hypodermic needles.10, 13
Experimental studies in South Africa13 showed that B. besnoiti can be mechanically transmitted by tsetse flies (Glossina brevipalpis), tabanids (i.e. Atylotus nigromaculatus, Tabanocella denticornis and Haematopota albihirta) and stable flies (Stomoxys calcitrans). However, effective transmission by insects required that infected and naïve cattle should be bitten successively many times (i.e. c.1.5 x 105 for S. calcitrans; ≥30 for tsetse flies and ≥25 for tabanids) within a short period of time, suggesting that a high number of insects must be present (e.g. in spring-summer) for transmission to occur.13, 69 Moreover, the short survival of B. besnoiti observed in the tested insects (1 hour in S. calcitrans; <3 hours in tsetse flies; <24 hours in tabanids) could explain the patchy distribution of the infection in endemic regions and why it does not disseminate rapidly over longer distances if no introduction of infected cattle into a herd occurs. A putative role for non-biting, secretophagous flies (e.g. Musca spp.) in the mechanical transmission of B. besnoiti has been suggested but not confirmed so far.13, 59 Also the possibility of transmission through direct contact was presumed.2 The presence of cysts in the genital mucosae suggests that transmission during mating could occur if cyst rupture.60 In several cases, a high parasite burden was observed in the teats of some animals, with cysts localized very close to the epidermis or to the galactophorous duct, suggesting that oral infection of the calves during suckling could be possible,4 as well as intranasal infection through contamination of the nostrils. Although some experiments suggested that these modes of transmission in cattle are possible,13 their epidemiological significance is still unknown and further investigation is required.
Recently, the potential role of venereal and transplacental transmission was investigated and could not be confirmed in an epidemiological study in a large beef cattle farm in Hungary.59 Besnoitia besnoiti was not detected in the tissues by histological and molecular examination of three aborted foetuses and two new-born calves delivered by seropositive dams and 15 calves born from seropositive cows were seronegative when tested before colostrum uptake. Interestingly, while 28 calves born from seropositive cows, but separated from their dams immediately after receiving colostrum, were successfully reared and did not get infected (all calves were seronegative when tested at one year of age), 59 per cent of calves reared by their mothers in the same herd tested positive at nine months of age, suggesting that horizontal transmission after birth is more significant than transplacental transmission.59 Recently, B. besnoiti DNA could not be detected in semen of 29 naturally infected bulls by real-time qPCR, suggesting that the transmission of B. besnoiti infection by the semen of chronically infected bulls is unlikely.38
Tick-borne transmission also seems unlikely, as B. besnoiti DNA was not detected in male and female Dermacentor ticks collected from infected and non-infected cattle in a herd with high seropositivity.59
During the acute stage of infection, the parasite multiplies as tachyzoites (syn. endozoites) (c. 5.9 × 2.3 μm) by endodyogeny in endothelial cells of blood vessels, particularly those in the skin, fasciae, upper respiratory tract and testes.6 Tachyzoites can also infect and multiply in monocytes and neutrophilic granulocytes, and they were also seen extracellularly in blood.64, 83, 87 Tachyzoite multiplication is associated with the anasarca stage of the disease and is superseded by cyst formation.
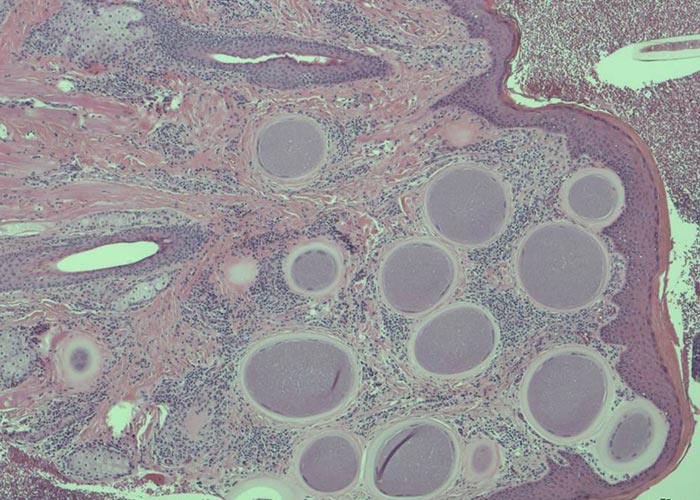
Tissue cyst formation begins about one week after the initial cycle of proliferation, in the same sites where the tachyzoites developed. They are formed in mesenchymal host cells (i.e. fibroblasts, myofibroblasts, tissue repair fibroblasts, endothelial cells, or smooth muscle cells) and are observed either within or in close association with blood vessel walls. Early tissue cysts are small (c.10-20 µm) and contain a parasitophorous vacuole with few bradyzoites (syn. cystozoites). Tissue cysts can reach a diameter of c. 400 μm and are fully developed after about six weeks, as the number of bradyzoites increases, causing an enlargement of the host cell.13, 64 In developed tissue cysts, different layers can be observed: (i) a cyst wall, probably produced by the host; (ii) an intermediate layer including the plasmatic membrane, cytoplasm, organoids and multiple nuclei (up to 17) from the host cell; and (iii) an enlarged parasitophorous vacuole (PV) containing numerous bradyzoites of c. 8.4 × 1.9 μm in size, which multiply by endodyogeny (Figure 1; Figure 2; Figure 12 and Figure 13). Using special stains, two different zones can be distinguished in the cyst wall: an outer cyst wall (OCW) and an inner cyst wall (ICW). The OCW is an acellular layer, consisting of multiple collagen laminae arranged in circular fashion, with the outermost lamina blending into the surrounding connective tissue. It is slightly eosinophilic or ivory coloured with haematoxylin and eosin staining (H&E) or pale white to translucent with Giemsa staining. The ICW appears as a thin band between the OCW and the cell membrane in fully developed cysts and sometimes it is not clearly visible, however, it represents the whole cyst wall in undeveloped cysts. It appears grey-blueish with H&E and violet with Giemsa and Periodic acid-Schiff (PAS) staining.64 A detailed description of the development of tachyzoites and tissue cysts from the acute to the chronic stage of infection in cattle and the histologic changes observed in the host was provided by.64
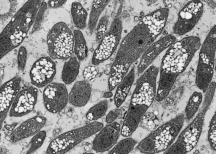
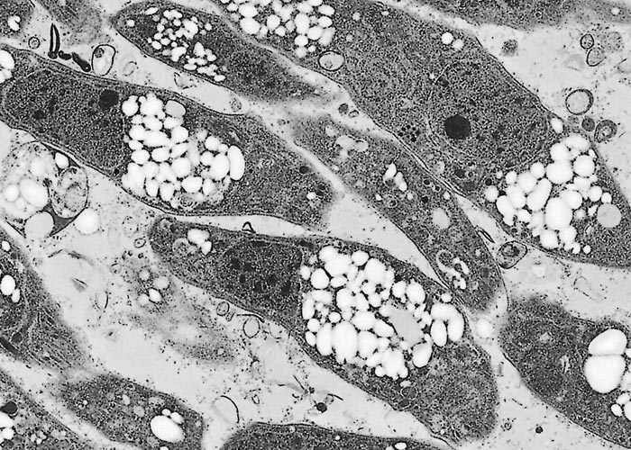
The ultrastructural morphology of the bradyzoites (syn. cystozoites) is depicted in Figure 3 and Figure 4.
Only the chronic phase of the life cycle of B. bennetti has been described, which is morphologically very similar to B. besnoiti. The cysts are slightly larger, reaching a diameter of more than 600 μm, and the hyaline walls of the cysts are thinner than those of the bovine parasite.11 Cystozoites are ultrastructurally distinguishable from those of B. besnoiti.101
Besnoitia in blue wildebeest (Connochaetes taurinus) and impala (Aepyceros melampus) is morphologically and immunogenically similar to B. besnoiti, but differs from it in certain biological respects.70 The taxonomic relationship is obviously close and hence the parasites of antelope origin are so far regarded as being B. besnoiti.17
Epidemiology
Besnoitia has a fairly wide host range. Frank disease caused by Besnoitia has been mainly recognized in cattle, goats, horses, donkeys, reindeer, caribou and roe deer3, 22, 31, 106 but clinically inapparent infections have been detected in blue wildebeest, impala, zebra, a mule, a warthog (Phacochoerus aethiopicus) 63 and several other species (Table 1).
In South Africa, bovine besnoitiosis is of economic importance mainly in the Bushveld and Lowveld of the Limpopo, North West, Mpumalanga and KwaZulu-Natal provinces. A few cases have been recorded in the Northern Cape Province and western Free State. It has also been recorded in Swaziland, Zimbabwe, Botswana, Namibia, Angola, Zaire, all the East African countries, and Cameroon and Nigeria in West Africa.15 Outside Africa it has been reported in Israel, south-western Russia, South Korea and Venezuela. In Europe, since it was first observed more than 100 years ago, bovine besnoitiosis seemed to remain restricted to defined regions in Portugal (Alentejo region), France (French Pyrenees and Massif Central) and Spain (Spanish Pyrenees).2, 15 However, in the last 15 years, a considerable expansion in the distribution of bovine besnoitiosis was reported in these countries1, 2, 23, 105 and spread of the infection to other European countries, traditionally free of the disease such as Germany,87 Italy,46, 47, 48 Switzerland,4, 66 Hungary,60 Ireland 86 and Croatia7 was registered. There is evidence that the import of subclinically infected cattle from France (mainly beef cattle breeds such as Limousin, Charolais and Aubrac), followed by transmission to animals born locally played a pivotal role in the expansion of bovine besnoitiosis in Europe. Recently, bovine besnoitiosis was also diagnosed in Belgium, in a blonde d’Aquitaine bull imported from France, but no further transmission to local cattle was registered.102 Management practices such as sharing of pastures, transhumance and natural mating favour the further spread of the disease. Climate change might also contribute to the spread of bovine besnoitiosis by favouring the multiplication and expansion of arthropod populations that may transmit the parasite mechanically.2 Consequently, the European Food Safety Authority (EFSA) declared bovine besnoitiosis to be a re-emerging disease in Europe and stated that wild ruminants and rodents should not be disregarded as possible reservoirs of the parasite (http://www.efsa.europa.eu/en/scdocs/scdoc/1499.htm).
To investigate this, a preliminary serological study on wild ruminants (i.e. red deer (Cervus elaphus) (n=734), roe deer (Capreolus capreolus) (n=124), Pyrenean chamois (Rupicapra pyrenaica) (n=170) and mouflon (Ovis musimon) (n=20)) was carried out in Spain using ELISA for screening and a tachyzoite-based western blot as confirmatory test. Although several sera gave positive or doubtful reactions using ELISA, B. besnoiti exposure could be clearly confirmed by western blot only in one red deer and one roe deer from the Spanish Pyrenees, where the disease is endemic.56 Subsequently, a more extensive serosurvey in Spain including 2,608 wild ruminants from areas where bovine besnoitiosis is present (Aragon: red deer (n=309), roe deer (n=417), Pyrenean chamois (n=383) and Iberian wild goat (Capra pyrenaica hispanica, n=288) and southwestern Spain: red deer (n=820), roe deer (n=37), fallow deer (Dama dama, n=166), Iberian wild goat (n=86) and European mouflon (Ovis orientalis musimon, n=102)) was performed. Also in this study the presence of Besnoitia spp.-specific antibodies was confirmed by western blot in only one red deer and one roe deer from the Pyrenees. Additionally, Besnoitia spp. DNA was detected by ITS1-PCR in tissues from the seropositive red deer and preliminary microsatellite analyses showed a similarity with B. besnoiti isolates from cattle.52 Recently, systemic besnoitiosis was reported in a roe deer (Capreolus capreolus) in Spain. The animal was found dead in an area where bovine besnoitiosis is endemic, with cachexia and multiple skin erosions in the metacarpal and metatarsal areas. At necropsy, Besnoitia cysts were detected in the skin, respiratory and upper digestive tracts, eyes, kidney, liver, testicle, cardiac muscle and lymphoid tissue and interestingly, also in the brain. First molecular studies (i.e. microsatellite analysis and comparison of protein disulphide isomerase gene sequences) showed that the Besnoitia parasites in the roe deer were genetically identical to B. besnoiti isolates.3 These findings provide preliminary evidence that red deer and roe deer might act as intermediate hosts of B. besnoiti. More extensive genetic analyses will help to corroborate this assumption. However, although these studies showed that exposure to the parasite and development of clinical disease in cervids may occur, the low prevalences that were found suggest that wild ruminant species do not pose a significant risk of transmitting the infection to cattle, but rather that cattle might serve as Besnoitia reservoir for cervids.
Specific antibodies against Besnoitia spp. were not found in any of the 1,943 sheep and 342 goats from areas in Spain (Pyrenees and Central Spain) where bovine besnoitiosis is endemic. Thus, sheep and goats are unlikely to play a role in the epidemiology of bovine besnoitiosis, at least in the areas sampled.55
Strains of Besnoitia isolated from blue wildebeest and impala, although antigenically closely related to cattle strains of B. besnoiti, are relatively non-pathogenic and reveal viscerotropic rather than dermatotropic affinities in cattle and rabbits.17 Consequently, it seems unlikely that antelopes infected with these strains could serve as carriers for the typical cattle disease.
A variety of laboratory animals, such as rabbits, gerbils (Meriones tristrami shawii) and hamsters, and sheep, goats and black wildebeest (Connochaetes gnou) were susceptible to artificial infection with bovine strains of B. besnoiti.13, 14, 29, 72, 83, 96
In an experimental study aiming to investigate the susceptibility of potential host species for European isolates of B. besnoiti, rabbits, guinea pigs (Cavia porcellus), gerbils (Meriones unguiculatus), common voles (Microtus arvalis) and NMRI-mice were subcutaneously inoculated with B. besnoiti tachyzoites (isolate Bb-GER1) or bradyzoites isolated from the skin of naturally infected German cattle.5 Seroconversion was observed in all inoculated species but clinical signs including fever, conjunctivitis and transient swelling of the testes were only observed in rabbits. Parasitaemia was detected in rabbits, gerbils and voles by PCR during the acute stage of infection, but persistence of the parasite in the tissues (skin, heart, lung, striated muscle and kidney) could be demonstrated only in voles inoculated with bradyzoites (but not in voles inoculated with tachyzoites), making them interesting candidates for further studies. In a later study,68 rabbits inoculated subcutaneously with B. besnoiti bradyzoites from a chronically infected French cow developed febrile disease, seroconverted and tissue cysts could be observed in skin, penis and nasal mucosa. However, so far there are no confirmed reports of B. besnoiti affecting wild rodent or rabbit populations anywhere. Additionally, cats fed B. besnoiti tissue cysts (but not cats fed tachyzoites or dogs fed either tachyzoites or cysts) seroconverted against B. besnoiti antigens as determined by indirect fluorescent antibody test (IFAT) and western blot, indicating that cats can get infected with B. besnoiti by the oral route; however, shedding of B. besnoiti oocysts was not observed.5
The disease is more prevalent in less temperate and even subtropical climates. In South Africa, the majority of new cases occur during the warmer, moister months of the year. This is apparently also the case in Israel.98 In Europe, the disease is more frequently observed in mountainous areas.1
The seroprevalence increases with animal age, as older animals have had more chance of exposure and getting infected. The prevalence studies performed in Africa, Asia and Europe were recently summarized.53 All breeds of cattle and both sexes are susceptible. Clinical disease is more frequent in animals 2 to 4-year old, being less frequent in older animals that may show an apparent clinical recovery, discouraging farmers from eliminating these animals from the herd. However, these animals are thought to remain infected for the rest of their lives.2, 53 Clinical besnoitiosis is rare in calves2; however, it has recently been described in calves ≤ 7.1 months-old in Spain.28, 37 Seroconversion was positively correlated to the serological status of the cows, suggesting postnatal transmission between dams and offspring by contact during the suckling period.28, 37, 59 These findings indicate that the inspection of young animals should also be included in besnoitiosis control programmes.
While there is experimental and circumstantial field evidence that chronically affected cattle harbouring large numbers of cysts serve as sources of infection of bovine besnoitiosis,13, 98 subclinically infected animals should not be disregarded as infection source, because they are of utmost importance for the unnoticed introduction of the disease into naïve farms or even into naïve countries. Short periods of contact with these animals could also be sufficient for dissemination of B. besnoiti infection within a farm. In Switzerland, two adult naïve Braunvieh cows that were introduced into a farm on which only one subclinically infected animal was present got infected after being housed on that farm for only three months.4 A 12-week cohabitation experiment in Germany, in which six naïve Simmental cattle (five heifers and a bull) were housed together with up to five clinically infected Limousin cows (three chronic cases, two recently infected), showed that three of the naïve animals got infected during the experiment, with two of them developing clinical signs, indicating the important role of close contact for the transmission of the infection.50
Whereas goats were successfully infected by inoculation with cystozoites of the caprine parasite, attempts to similarly infect cattle and a variety of laboratory animals (rabbits, mice, guinea pigs, hamsters, rats or sheep) failed.18, 76 On the strength of its apparent host- specificity for goats and some ultrastructural differences from B. besnoiti of cattle, the parasite of goats was named B. caprae.75, 76
Attempts to transmit B. caprae to domestic cats have also produced negative results.73
Caprine besnoitiosis is widespread in northern Kenya compared to bovine besnoitiosis, which appears to be limited in its distribution in that country.74, 78 Outbreaks of the disease in goats were also reported in Iran.81
Equine besnoitiosis is a rare and sporadic disease and its epidemiology is obscure. Besnoitia bennetti bradyzoites were not infectious to out-bred Swiss Webster mice, rabbits or gerbils and the parasite could not be transmitted to cattle. Moreover, cats fed tissue cysts did not excrete oocysts. However, the parasite was infectious to interferon-gamma gene knock-out mice.31
Pathogenesis
The endozoites (syn. tachyzoites) associated with the acute anasarca stage of bovine besnoitiosis proliferate in the cytoplasm of endothelial cells, causing vasculitis, and sometimes thrombosis, particularly in smaller veins and capillaries in the skin, subcutis, the mucosa of the nasal cavity, larynx, and trachea, and the testes.6
These lesions cause increased vascular permeability, resulting in oedema and sometimes small haemorrhages and foci of necrosis in the aforementioned sites.
The circulatory disturbances observed are probably also responsible for the necrosis of the epidermis, deeper layers of the skin and mucous membranes of the upper respiratory tract in the scleroderma stage of the disease. Very large numbers of rapidly growing, thick-walled cysts, in cutis and subcutis (especially in the dermal papillae), fibrosis and granulomatous reactions around cysts, oedema of the skin as well as hyperkeratosis and acanthosis account for the typical scleroderma.6 These lesions predispose to secondary bacterial infections and myiasis.
Cattle with besnoitiosis might display lameness due to laminitis. The presence of tissue cysts within vessel walls of the limbs and within the corium, together with pericystic inflammation may cause reduced blood flow and local ischaemia by compression of arteries and capillaries, with deviation of epithelial lamellae that may subsequently lead to production of horn of poor quality, predisposing the claw to bacterial infection and sole ulcers or necrotizing laminitis.64
The severe form of the disease could consistently be produced experimentally in cattle immunosuppressed with corticosteroids prior to artificial infection with cystozoites or endozoites, suggesting that the immune status of the animals may play an important role in the clinical manifestations of the disease.27
Clinical signs and pathology
It is estimated that only a few of the cattle infected with B. besnoiti develop clinical signs, whereas most of the infected animals remain seropositive but asymptomatic.49, 62, 72 In many animals, the only visible sign of the infection is the presence of macroscopic tissue cysts in the scleral conjunctiva and/or vaginal mucosa; however, some animals may develop severe disease and may also die. The main clinical significance of bovine besnoitiosis is represented by poor body condition, decreased meat and milk production, skin disease and reproductive failure because of infertility/sterility of bulls and occasional abortions due to high and persistent fever. While the incidence of clinical cases in endemic situations is generally low (1–10 per cent per year), it can be higher in farms or areas where the disease is emerging (approximately 15–40 per cent per year). The mortality rate is generally low (<1 per cent).2, 23, 39, 61
In clinical cases, two sequential stages are recognized, namely an acute febrile “anasarca stage”, which is associated with parasitaemia and rapid proliferation of tachyzoites, and a chronic “scleroderma stage” (Figure 5 to Figure 9), which is associated with cyst formation.
Bigalke13 reported a mean incubation period of 13 days after experimentally induced mechanical transmission of the infection by biting flies, but sometimes the incubation can last up to two months.2
Fever is the first clinical sign and early-morning rectal temperatures may reach 40 to 41 °C or higher and remain at that level for a week or more. Pyrexia is accompanied by progressive inappetence, culminating in complete anorexia in severe cases with consequent loss of weight. Affected animals are generally listless and prefer to lie down, have an increased respiratory rate, tachycardia, nasal and ocular discharge, are photophobic (Figure 5) and hence seek shade. They walk with a slow gait if forced to move.
Hyperaemia of the muzzle, periorbital skin and scrotum is noticeable in light-skinned animals a few days after the rise in temperature. As a consequence of an increase in vascular permeability during the acute stage of the infection, oedema may also appear at this time (=anasarca stage) that may vary from nothing more than slight swelling of the face or thickening of skin folds of the neck, back or chest regions to generalized subcutaneous oedema over the entire body in more severe cases. The testes are swollen and sensitive to palpation. In severe cases, oedema may also be present in the lungs, causing respiratory disorders. Early anasarca often goes unnoticed and its presence is only revealed when oedema fluid accumulates along the ventral parts of the body such as the brisket, sternum, prepuce and legs. Oedema in joints causes painful movements and the animals are reluctant to move, there is usually a distinct break between this stage and the scleroderma stage, with disappearance of the above-mentioned signs by the third week of the reaction.
In the scleroderma stage (also called “elephant-skin stage”) the most characteristic clinical sign in severely affected cattle is progressive thickening, hardening and prominent folding and puckering of the skin, which may be widespread or more localized (Figure 5 to Figure 9). The skin of the legs is often hard and the limbs may be markedly thickened (Figure 6). In such cases, movement is slow and restricted, apparently due to pain. These features usually appear three to four weeks after the initial rise in temperature.
Progressive loss of hair, accompanied by dermatitis with hyperkeratosis also occurs (Figure 8 and Figure 9). Parts of the epidermis may be shed in patches, leaving greyish, hairless, seborrheic areas. Sit-fasts are commonly seen over bony prominences as well as on the ventral portion of the scrotum. Often a sero-sanguineous exudate oozes from the skin. This dries to form large scabs that sometimes become secondarily infected. Deep, raw fissures, which usually become maggot-infested, sometimes develop between folds of the skin in sites such as the breech and over bony prominences. The superficial lymph nodes are invariably swollen. A mucopurulent nasal discharge, which forms crusts that often clog the nostrils and cause stridor, may occur in severe cases. These signs are usually accompanied by an undulant low-level fever (which persists for several weeks), poor appetite, gradual deterioration of body condition and emaciation. The animals may succumb to the disease in both the anasarca and the scleroderma stage.
Bulls become aspermatogenic due to the presence of usually persistent and severe orchitis, followed by uni- or bilateral testicular atrophy and induration in the chronic disease. In subclinically infected bulls without genital lesions, alterations in the semen are unlikely. However, it is still recommended to remove these animals from the herd, as they contribute to the transmission of the infection.38
Acute, subacute and chronic orchitis accompanied by pronounced sperm changes are also observed in goats.79
Cysts become visible to the naked eye in the scleral conjunctiva (Figure 10) and nasal mucosa about six to seven weeks after the initial rise in temperature (19-32 days post seroconversion); cysts in the genital mucosa (e.g. Vestibulum vaginae) may be observed some time later (26-180 days post seroconversion).13, 50, 53
Most animals survive, but convalescence is slow and scleroderma and alopecia may be permanent. Gradual improvement in the appearance of the animals seems to be associated with the degeneration of cysts and a subsequent decrease in their numbers.
Only the scleroderma stage has been recognized in horses. The disease is very similar to that observed in cattle, but recovery from the skin lesions is usually more rapid in horses, and overgrown hooves, apparently due to laminitis, are sometimes observed.11
Only the chronic scleroderma stage has been observed in natural cases in goats, but subcutaneous oedema has been recorded in artificially infected animals.76
The pathology of bovine besnoitiosis has been described in several publications.6, 58, 64, 70, 83, 94
At necropsy, apart from the clinically discernible lesions already described for the anasarca stage, widespread petechiae and ecchymoses in the subcutis, oedema of the lymph nodes and testicular parenchyma, and catarrhal to mucopurulent rhinitis and conjunctivitis are often noticeable. Mild to prominent oedema of the lungs occurs less commonly.
In the chronic stage, mature cysts can be visible macroscopically as small, whitish granules the size of a sugar granule particularly in the intermuscular fasciae, tendons and tendon sheaths of the legs, synovial sheaths, periosteum of the metatarsal and metacarpal bones, testicular parenchyma, mucosa of the nasal turbinates, pharynx and upper respiratory tract, bulbar conjunctiva, endocardium, cardiac valves and intima of the more peripherally located larger veins of the legs, head and neck.6, 70, 94 Tissue cysts have also been observed in the corium of the claws, contributing to the development of chronic laminitis. In some cases, necrotizing inflammation of the corium may spread to the bone of the distal phalanx, resulting in necrotizing osteomyelitis.64
Microscopically, in the acute stage, varying numbers of endozoites (syn. tachyzoites) are found predominantly in endothelial cells of capillaries and small veins, and less frequently in mesenchymal cells in the intima of veins and small arteries. The vessels in the dermis and subcutis, nasal cavity, larynx and trachea and testicular parenchyma are most severely affected. Parasitized blood vessels show necrosis of endothelial cells and fibrinoid degeneration and necrosis of their walls with resultant oedema, haemorrhage, thrombosis, and necrosis in surrounding tissues. Macrophages and a few lymphocytes, plasma cells and eosinophils occur perivascularly and in the walls of affected vessels.6
On microscopic examination of the skin of chronically affected animals, numerous cysts are discernible particularly in the dermis, predominantly distributed in the papillary layer in the direct neighbourhood of loose connective tissue64 and also in the subcutis (Figure 2) and intermuscular fasciae. Cysts in blood vessels are mainly located in the intima, but may be present in all parts of the wall. Hyperplasia of the endothelial cells and occasionally sclerosis of the intima may be evident in the immediate vicinity of the cysts.6
Pericystic inflammation develops, consisting of infiltration with lymphocytes (mainly T lymphocytes with only a few B cells), eosinophils, and macrophages and in severe cases also multinucleated giant cells of the foreign body type.65 Dilation of the sweat glands was also regularly observed.59, 64
Studies performed to determine the tissue localization of B. besnoiti in subclinically infected cattle showed that in these animals the predilection sites were the distal tendons and surrounding fasciae of the limbs, the skin of the head and the upper respiratory tract, followed (with lower frequency of detections) by genital mucous membranes (vulva-vagina), the skin of other body regions (i.e. teats, eye lids, neck, ventral region) and other tissues (lung, spleen, heart).4, 42
The clinical signs and pathology of the disease in goats are remarkably similar to those in cattle.20, 21, 76, 81
Reports on the lesions of besnoitiosis in horses and donkeys are limited and deal only with chronic besnoitiosis.8, 31, 93 The distribution of cysts and the pathology of the disease in equids are similar to those in cattle.
Diagnosis
In some animals, the clinical picture can be suggestive, but in many infected animals no clinical signs are present. Therefore, a definitive diagnosis of infection has to be confirmed by additional methods such as serology, histopathology, cytology, immunohistochemistry, and/or molecular methods.
Serological tests are one of the most important diagnostic tools and the basis for epidemiological studies on bovine besnoitiosis.1, 4, 7, 37, 43, 47, 48, 60, 61, 62, 71, 72, 86, 87, 96, 98, 105
Several enzyme-linked immunosorbent assays (ELISA), indirect immunofluorescence tests (IFAT), westernblots and a modified agglutination test (B-MAT) for diagnosis of B. besnoiti infections in cattle have been developed and evaluated, and some ELISA kits are commercially available,24, 39, 40, 44, 45, 53, 88, 89, 91, 104 ELISAs, IFAT and B-MAT have been used for screening purposes in several studies. However, it should be taken into account that some ELISA kits may give a high number of false positive results, as it was already observed in some studies.4, 71 Besides, in IFAT, cross reactions at low serum dilutions (≤1:200) may be observed in animals infected with closely related parasites such as Neospora caninum and Sarcocystis spp.43, 51, 99 Therefore, positive results in ELISA and in IFAT (especially at low titres) should be confirmed by westernblot. Whereas ELISA kits are more adequate as screening tools for testing large numbers of samples, the IFAT (using cut-offs 1:160 or 1:200) seems to have a higher specificity. In general, it should be taken into account, that there is a diagnostic window between infection and the appearance of serum antibodies, therefore, serologic methods may lack sensitivity when testing acutely infected animals.45
Several real-time and conventional PCRs based on the internal transcribed spacer (ITS) region of rRNA genes have been developed for detecting Besnoitia DNA in clinical samples (e.g. skin biopsies, vaginal or conjunctival scrapings, blood) and are very useful to confirm clinical and cytological diagnosis. PCRs have a higher sensitivity than serology in acutely infected cattle when performed on blood.25, 53, 80, 92
Skin samples from the 'rump' region of chronically infected cattle showed high parasite DNA concentrations when compared to 10 different skin regions. As this region is also easily accessible for veterinarians, it appears to be optimal for taking skin biopsies for DNA detection or isolation of B. besnoiti.90
During the acute stage of infection, B. besnoiti tachyzoites were detected in monocytes or may be free in peripheral blood smears for several days at the height of the febrile stage, but they are scarce and difficult to find (Figure 11).64 Blood smears made from the ear or tail in chronic cases often contain cystozoites originating from punctured cysts. In general, it is difficult to diagnose acute besnoitiosis by histopathology unless there are abundant tachyzoites in tissue sections, as dermal histological lesions are non-specific and tachyzoites are often rare. Moreover, no specific staining for tachyzoites to be used in immunohistochemical studies is available so far.
On the other hand, the diagnosis can easily be made in animals with clinical signs of chronic besnoitiosis by demonstration of the typical tissue cysts in the dermis in skin sections (Figure 1; Figure 2; Figure 12 and Figure 13). Cysts of B. besnoiti are visible to the naked eye in the scleral conjunctivae of cattle from about six to seven weeks after infection. Cysts are plentiful at this site in typical scleroderma cases, but they may even be detected in small numbers in the scleral conjunctivae in cattle which show no other clinical evidence of infection.10, 13 Their identity can be confirmed by visualization of bradyzoites in smears prepared from single cysts (Figure 14 - 16) or by microscopical examination of tissue sections (Figure 1; Figure 2; Figure 12 and Figure 13). Bradyzoites can be immunohistochemically identified by using antibodies against a bradyzoite-specific antigen (BAG) also present in the bradyzoites of other apicomplexan parasites (e.g. T. gondii or N. caninum).64

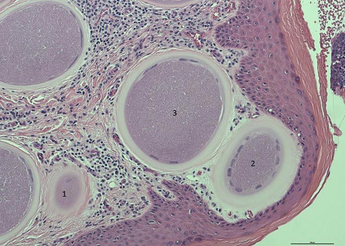
Figure 12 Besnoitia besnoiti tissue cysts in different developmental stages (1 early stage, 2 intermediate, 3 fully developed cyst) in a skin biopsy from a chronically infected cow. Note from 1 to 3 how the nuclei migrate from the centre of the host cell to the periphery and how they acquire a more flattened shape (heamatoxylin and eosin staining). Photo W. Basso

Figure 13 Besnoitia besnoiti: early tissue cyst in a skin biopsy from a chronically infected cow (heamatoxylin and eosin staining). Note the parasitophorous vacuole containing bradyzoites on the right and the cytoplasm and dividing nuclei from the host cell on the left, which did not acquire yet the typical peripheral position as observed in fully developed cysts. Scale bar 100 µm. Photo W. Basso

Figure 14 Two B. besnoiti tissue cysts in a skin biopsy from the scrotum of a chronically infected bull (not stained). Scale bar 100 µm. Photo W. Basso

Figure 15 Besniotia besnoiti tissue cyst in a skin biopsy from the scrotum of a chronically infected bull (not stained). Note the released bradyzoites after applying some pressure and breaking the cyst. Scale bar 100 µm. Photo W. Basso

Figure 16 Released B. besnoiti bradyzoites from cyst in Figure 13 at higher magnification (not stained). Photo W. Basso
At abattoirs, or at necropsy of cattle with typical scleroderma, large numbers of cysts are visible macroscopically at the predilection sites (see Clinical signs and pathology) and/or by histological examination of affected tissues.
During the course of bovine besnoitiosis, alteration of several laboratory parameters (i.e. haematologic parameters, serum chemistry, and enzyme activities) have been observed including reduction of leukocyte and erythrocyte concentrations, haematocrit, serum albumin, urea, magnesium and calcium concentrations; increase of serum total protein, globulin, total bilirubin and creatinine concentrations, and increase of aspartate transaminase (AST) and creatine kinase (CK) activities. These alterations reflect the inflammatory state, a disturbed clinical condition and presence of tissue lesions; however, they are not of much diagnostic value.65
Most of what applies to bovine besnoitiosis is also valid for the caprine disease. However, no specific serological test has been developed for the latter so far.
Differential diagnosis
Particularly if no subcutaneous oedema is present, the acute febrile stage of bovine besnoitiosis can be confused with a wide range of other acute febrile diseases that may be present in endemic areas. Acute photosensitivity should be differentiated from the anasarca stage. In cases of acute bovine besnoitiosis where there is oedema of the legs and ventral parts of the body, cardiac failure and acute lumpy skin disease should be considered.
The skin lesions in the scleroderma stage (chronic) of bovine besnoitiosis are sometimes very similar clinically to those seen in dermatophilosis (Senkobo disease), sarcoptic mange, lice infestations, subacute to chronic sweating sickness, lumpy skin disease, photosensitivity, and poisoning by mercury, chlorinated naphthalenes and hairy vetch (Vicia spp.).
Severe dermatophytosis, onchocercosis, and mange can be difficult to distinguish clinically from equine besnoitiosis.
Lice infestation and mange should also be considered when dealing with skin conditions in goats.
Control
No suitable drug is available for the treatment of natural cases of besnoitiosis, although oxytetracycline has been found to have some effect on the course of artificial infection in rabbits and gerbils if the drug is administered concurrently with the organism.95, 97
Tetracyclines, wound dressings, control of secondary infections and infestations, and provision of shade and nutritious food and water, are advocated as supportive treatment. Long-term treatment (several months) with sulfamethoxazole and trimethoprim lead to clinical improvement in donkeys suffering from equine besnoitiosis, and some direct effect on tissue cysts was suggested.31
A live vaccine against bovine besnoitiosis was developed by the Onderstepoort Veterinary Institute.16 Each dose of vaccine issued contained c. 1 × 107 organisms of a blue wildebeest strain of B. besnoiti grown in cell culture. The vaccine was recommended for use in weaners and older animals. A single dose of vaccine protected cattle from the clinical form of the disease for up to four years but did not entirely prevent subclinical infection from taking place. The indirect immunofluorescent test, however, revealed that levels of antibody to a homologous antigen started to decline at 180 days after vaccination.26 Annual revaccination for two or three years was therefore advocated. Currently, bulls imported into Israel are also vaccinated with a bovine attenuated strain.2 Neither of these vaccines are licensed in other countries.
The control of bovine besnoitiosis is mainly based on diagnostic and management measures. The entrance of the parasite into a Besnoitia-free farm can be prevented by testing all new animals from endemic regions clinically and serologically prior to entry into the herd. As was observed in several European countries in which bovine besnoitiosis was detected for the first time during recent years, once the parasite is introduced into one farm (e.g. through purchase of infected animals), it might find adequate conditions to be transmitted locally to contact cattle and to establish first in that farm and later on to disseminate (e.g. by further cattle trade) in the country of importation.4, 60, 87 In non-endemic situations, it is recommended to eliminate all confirmed positive animals from the herd as soon as possible in order to prevent further transmission of the parasite within the herd and to other herds (i.e. neighbouring herds or via animal trade). As has been shown in Portugal, Spain and France, once this parasite succeeds in establishing itself in a region, eradication will be extremely difficult.2 Official control measures are diverse. In 2015, B. besnoiti infection was declared in Switzerland to be a mandatory notifiable disease to be eradicated. Imported bovids (e.g. cattle, zebu, bison, yak and buffalo) from endemic countries (e.g. France, Spain and Portugal) must be serologically tested during the 30-day quarantine period after import. If they test positive, they are slaughtered and the farm is closed for trade. All animals that were in contact with the positive one and animals in neighbouring farms (within a radius of 1 km) must be serologically tested in order to prevent the occurrence of further transmission. Additionally, all suspicious clinical cases must be investigated (https://www.blv.admin.ch/blv/de/home/tiere/tierseuchen/uebersicht-seuchen/alle-tierseuchen/besnoitiose.html)
In endemic regions control is difficult, general measures include the use of repellents to reduce mechanical transmission through insects, avoiding pasture sharing and sharing of bulls for natural mating.2 However, control measures should be evaluated for cost-benefit and adapted for each individual farm. In order to reduce the number of infected animals and limit the spread of the disease within a herd, it was suggested to serologically test all animals at the end of the pasturing period and insect season, prior to being housed indoors (a common practice in many European countries with cold winters), as new cases are usually detected immediately after the transmission period. Infected animals should be removed from the herd as soon as possible. They can be culled if there are only a few seropositive animals or if they present clinical signs. In cases of high seroprevalence in the farm, in which culling of all seropositive, asymptomatic animals would not be economically justifiable, the management of two herds (a clean herd and a seropositive herd), which are housed and pastured separately may be an option.2, 59 The seropositive herd should be regularly checked for clinical signs and new clinical cases should be removed.
Table 1 Besnoitia spp. and host range. Species that could not be identified either as definitive or intermediate hosts in experimental infections are indicated as “not” in parentheses
| Besnoitia species | Natural intermediate hosts | Experimental intermediate hosts | Definitive hosts | References |
| B. besnoiti | cattle; blue wildebeest (Connochaetes taurinus); yak; impala (Aepyceros melampus); kudu; red deer; roe deer (Capreolus capreolus) | mouse; rabbit; hamster; gerbil (Meriones tristrami, M. unguiculatus); sheep; goats; sand rat (Peromyscus obesus); γ IF KO mouse; common vole (Microtus arvalis); domestic cat; (not dog) | unknown (not domestic cat and dog; serval; jungle cat; caracal; small spotted genet; marsh mongoose; lion; leopard; cheetah; banded mongoose; black-backed jackal; cape fox; marabou; white-backed vulture and 6 species of snakes) | 3, 5, 6, 11, 13, 15, 17, 22, 27, 32, 52, 56, 68, 81, 84, 106 |
| B. caprae | domestic goat; wild goat (Capra aegagrus) | Balb-c mouse (not rabbit, rat, guinea pig, hamster, sheep, cattle) | unknown (not domestic cat) | 18, 19, 20, 21, 32, 73, 75, 76, 77, 78, 80 |
| B. tarandi | reindeer; barren ground caribou; woodland caribou; mule deer (Odocoileus hemionus); musk ox (Ovibos moschatus); roe deer | γ IF KO mouse (not outbred Swiss Webster mouse, rabbit, gerbil, Chinese water deer (Hydropotes inermis), white tailed deer (Odocoileus virginianus)) | unknown (not domestic cat and dog; raccoon; red fox) | 22, 32, 35, 67, 106 |
| B. bennetti | horse; donkey; mule; zebra (Equus burchelli) | γ IF KO mice (not rabbit, Outbred Swiss Webster mouse and gerbil) | unknown (not domestic cat) | 8, 13, 31, 32, 54, 93, 101 |
| B. jellisoni | white footed deer mouse (Peromyscus mamiculatus); | Mouse; rat; hamster; gerbil; guinea pig; rabbit; ground squirrel, (not rhesus monkey, canary; pigeon; cattle) | unknown (not domestic cat) | 32, 35, 80 |
| B. akodoni | Montane grass mouse (Akodon montensis) | gerbil; mouse | (not domestic cat) | 32, 34 |
| B. wallacei | unknown | mouse; rat | domestic cat (natural) oocyst size: 17 x 12 µm | 32, 36, 41, 73 |
| B. oryctofelisi | rabbit | rabbit; Outbred Swiss Webster mouse; gerbil; γ IF KO mice (not opossum) | domestic cat (exp.) oocyst size: 11.7 x 11.5 µm | 32 |
| B. neotomofelis | Southern Plains woodrat (Neotoma micropus) | Outbred Swiss Webster mouse; Norwegian rats; γ IF KO mouse | domestic cat (exp.) oocyst size: 14 x 13 µm | 36 |
| B. darlingi* | Opossum (Didelphis virginiana, D. marsupialis), lizards (Basiliscus spp.; Ameiva spp.) | Outbred Swiss Webster mouse; gerbil; γ IF KO mouse; hamster; opossum; gerbil; squirrels; marmoset; (not rabbit) | bobcat (Lynx rufus)(natural); | 30, 32, 35, 100, 103 |
* More than one species may be included behind this denomination
References
- ALVAREZ-GARCÍA, G., FERNÁNDEZ-GARCÍA, A., GUTIÉRREZ-EXPÓSITO, D., RUÍZ-SANTA QUITERIA, J.A., AGUADO-MARTÍNEZ, A. & ORTEGA-MORA, L.M., 2014. Seroprevalence of Besnoitia besnoiti infection and associated risk factors in cattle from an endemic region in Europe. Veterinary Journal (London, England : 1997), 200, 328–331.
- ALVAREZ-GARCÍA, G., FREY, C.F., MORA, L.M.O. & SCHARES, G., 2013. A century of bovine besnoitiosis. An unknown disease re-emerging in Europe. Trends in Parasitology, 29, 407–415.
- ARNAL, M.C., GUTIÉRREZ-EXPÓSITO, D., MARTÍNEZ-DURÁN, D., REGIDOR-CERRILLO, J., REVILLA, M., FERNÁNDEZ DE LUCO, D., JIMÉNEZ-MELÉNDEZ, A., ORTEGA-MORA, L.M. & ÁLVAREZ-GARCÍA, G., 2017. Systemic Besnoitiosis in a Juvenile Roe Deer (Capreolus capreolus). Transboundary and Emerging Diseases, 64, e8-e14
- BASSO, W., LESSER, M., GRIMM, F., HILBE, M., SYDLER, T., TRÖSCH, L., OCHS, H., BRAUN, U. & DEPLAZES, P., 2013. Bovine besnoitiosis in Switzerland. Imported cases and local transmission. Veterinary Parasitology, 198, 265–273.
- BASSO, W., SCHARES, G., GOLLNICK, N.S., RÜTTEN, M. & DEPLAZES, P., 2011. Exploring the life cycle of Besnoitia besnoiti - experimental infection of putative definitive and intermediate host species. Veterinary Parasitology, 178, 223–234
- BASSON, P.A., MCCULLY, R.M. & BIGALKE, R.D., 1970. Observations on the pathogenesis of bovine and antelope strains of Besnoitia besnoiti (Marotel, 1912) infection in cattle and rabbits. Onderstepoort Journal of Veterinary Research, 37, 105–126.
- BECK, R., STOKOVIC, I., PLEADIN, J. & BECK, A., 2013. Bovine besnoitiosis in Croatia. In: Yolanda Vaz CIISA-FMV Universidade de Lisboa (Ed.), Proceedings of the Apicowplexa 2013, 2nd International Meeting on Apicomplexan Parasites in Farm Animals, 64.
- BENNETT, S.C.J., 1933. Globidium infections in the Sudan. Journal of Comparative Pathology and Therapeutics, 46, 1–15.
- BESNOIT, C. & ROBIN, V., 1912. Sarcosporidiose cutaneé chez une vache. Revue Veterinaire, Toulouse, 37, 649–663.
- BIGALKE, R.D. & NAUDÉ, T.W., 1962. The diagnostic value of cysts in the scleral conjunctiva in bovine besnoitiosis. Journal of the South African Veterinary Medical Association, 33, 21–27.
- BIGALKE, R.D. & SCHUTTE, A.P., 1967. Veterinary Research Institute, Onderstepoort. Unpublished data.
- BIGALKE, R.D., 1967. The artificial transmission of Besnoitia besnoiti (Marotel, 1912) from chronically infected to susceptible cattle and rabbits. Onderstepoort Journal of Veterinary Research, 34, 303–316.
- BIGALKE, R.D., 1968. New concepts on the epidemiological features of bovine besnoitiosis as determined by laboratory and field investigations. Onderstepoort Journal of Veterinary Research, 35, 3–138.
- BIGALKE, R.D., 1972. Veterinary Research Institute, Onderstepoort. Unpublished data.
- BIGALKE, R.D., 1981. Besnoitiosis and globidiosis. In: RISTIC, M. & MCINTYRE, I., (eds). Diseases of Cattle in the Tropics. The Hague, Boston, London: Martinus Nijhoff Publishers.
- BIGALKE, R.D., BASSON, P.A., MCCULLY, R.M., BOSMAN, P.P. & SCHOEMAN, J.H., 1974. Studies in cattle on the development of a live vaccine against bovine besnoitiosis. Journal of the South African Veterinary Association, 45, 207–209.
- BIGALKE, R.D., VAN NIEKERK, J.W., BASSON, P.A. & MCCULLY, R.M., 1967. Studies on the relationship between Besnoitia of blue wildebeest and impala, and Besnoitia besnoiti of cattle. Onderstepoort Journal of Veterinary Research, 34, 7–28.
- BWANGAMOI, O, KASIGAZI, S. & WANDERA, J.G., 1996. Besnoitiosis in goats and sheep: experimental and field observations. Zimbabwe Veterinary Journal, 27, 1–7.
- BWANGAMOI, O., 1967. A preliminary report on the finding of Besnoitia besnoiti in goat skins affected with dimple in Kenya. Bulletin of Epizootic Diseases of Africa, 15, 263–271.
- BWANGAMOI, O., CARLES, A.B. & WANDERA, J.G., 1989. An epidemic of besnoitiosis in goats in Kenya. The Veterinary Record, 125, 461.
- CHEEMA, A.H. & TOOFANIAN, F., 1979. Besnoitiosis in wild and domestic goats in Iran. Cornell Veterinarian, 69, 159–168.
- CHOQUETTE, L.P.E., BROUGHTON, E., MILLER, F.C., GIBBS, H.C. & COUSINEUA, J.G., 1967. Besnoitiosis in barren-ground caribou in northern Canada. Canadian Veterinary Journal, 8, 282–287.
- CORTES, H., LEITÃO, A., GOTTSTEIN, B. & HEMPHILL, A., 2014. A review on bovine besnoitiosis. A disease with economic impact in herd health management, caused by Besnoitia besnoiti (Franco and Borges,). Parasitology, 141, 1406–1417.
- CORTES, H.C.E., NUNES, S., REIS, Y., STAUBLI, D., VIDAL, R., SAGER, H., LEITÃO, A. & GOTTSTEIN, B., 2006. Immunodiagnosis of Besnoitia besnoiti infection by ELISA and Western blot. Veterinary Parasitology, 141, 216–225.
- CORTES, H.C.E., REIS, Y., GOTTSTEIN, B., HEMPHILL, A., LEITÃO, A. & MÜLLER, N., 2007. Application of conventional and real-time fluorescent ITS1 rDNA PCR for detection of Besnoitia besnoiti infections in bovine skin biopsies. Veterinary Parasitology, 146, 352–356.
- DE WAAL, D.T., 1988. Veterinary Research Institute, Onderstepoort. Unpublished data.
- DIESING, L., HEYDORN, A.O., MATUSCHKA, F.R., BAUER, C., PIPANO, E., DE WAAL, D.T. & POTGIETER, F.T., 1988. Besnoitia besnoiti: Studies on the definitive host and experimental infections in cattle. Parasitology Research, 75, 114–117.
- DIEZMA-DÍAZ, C., JIMÉNEZ-MELÉNDEZ, A., FERNÁNDEZ, M., GUTIÉRREZ-EXPÓSITO, D., GARCÍA-LUNAR, P., ORTEGA-MORA, L.M., PÉREZ-SALAS, J.A., BLANCO-MURCIA, J., FERRE, I. & ÁLVAREZ-GARCÍA, G., 2017. Bovine chronic besnoitiosis in a calf. Characterization of a novel B. besnoiti isolate from an unusual case report. Veterinary Parasitology, 247, 10–18.
- DUBEY, J.P., 1977. Toxoplasma, Hammondia, Besnoitia, Sarcocystis and other tissue cyst-forming coccidia of man and animals. In: KREIER, J.P., (ed.). Parasitic Protozoa, New York: Academic Press, 3.
- DUBEY, J.P., LINDSAY, D.S., ROSENTHAL, B.M., SREEKUMAR, C., HILL, D.E., SHEN, S.K., KWOK, O.C.H., RICKARD, L.G., BLACK, S.S. & RASHMIR-RAVEN, A., 2002. Establishment of Besnoitia darlingi from opossums (Didelphis virginiana) in experimental intermediate and definitive hosts, propagation in cell culture, and description of ultrastructural and genetic characteristics. International Journal for Parasitology, 32, 1053–1064.
- DUBEY, J.P., SREEKUMAR, C., DONOVAN, T., ROZMANEC, M., ROSENTHAL, B.M., VIANNA, M.C.B., DAVIS, W.P. & BELDEN, J.S., 2005. Redescription of Besnoitia bennetti (Protozoa. Apicomplexa) from the donkey (Equus asinus). International Journal for Parasitology, 35, 659–672.
- DUBEY, J.P., SREEKUMAR, C., LINDSAY, D.S., HILL, D., ROSENTHAL, B.M., VENTURINI, L., VENTURINI, M.C. & GREINER, E.C., 2003a. Besnoitia oryctofelisi n. sp. (Protozoa. Apicomplexa) from domestic rabbits. Parasitology, 126, 521–539.
- DUBEY, J.P., SREEKUMAR, C., ROSENTHAL, B.M., LINDSAY, D.S., GRISARD, E.C. & VITOR, R.W.A., 2003b. Biological and molecular characterization of Besnoitia akodoni n.sp. (Protozoa. Apicomplexa) from the rodent Akodon montensis in Brazil. Parassitologia, 45, 61–70.
- DUBEY, J.P., SREEKUMAR, C., ROSENTHAL, B.M., LINDSAY, D.S., GRISARD, E.C. & VITOR, R.W.A., 2003c. Biological and molecular characterization of Besnoitia akodoni n.sp. (Protozoa. Apicomplexa) from the rodent Akodon montensis in Brazil. Parassitologia, 45, 61–70.
- DUBEY, J.P., SREEKUMAR, C., ROSENTHAL, B.M., VIANNA, M.C.B., NYLUND, M., NIKANDER, S. & OKSANEN, A., 2004. Redescription of Besnoitia tarandi (Protozoa. Apicomplexa) from the reindeer (Rangifer tarandus). International Journal for Parasitology, 34, 1273–1287.
- DUBEY, J.P. & YABSLEY, M.J., 2010. Besnoitia neotomofelis n. sp. (Protozoa. Apicomplexa) from the southern plains woodrat (Neotoma micropus). Parasitology, 137, 1731–1747.
- ESTEBAN-GIL, A., CALVETE, C., CASASÚS, I., SANZ, A., FERRER, J., PERIS, M.P., MARCÉN-SERAL, J.M. & CASTILLO, J.A., 2017. Epidemiological patterns of bovine besnoitiosis in an endemic beef cattle herd reared under extensive conditions. Veterinary Parasitology, 236, 14–21.
- ESTEBAN-GIL, A., GRISEZ, C., PREVOT, F., FLORENTIN, S., DECAUDIN, A., PICARD-HAGEN, N., BERTHELOT, X., RONSIN, P., ALZIEU, J.P., MAROIS, M., CORBOZ, N., PEGLION, M., VILARDELL, C., LIÉNARD, E., BOUHSIRA, E., CASTILLO, J.A., FRANC, M. & JACQUIET, P., 2014. No detection of Besnoitia besnoiti DNA in the semen of chronically infected bulls. Parasitology Research, 113, 2355–2362.
- FERNÁNDEZ-GARCÍA, A., ALVAREZ-GARCÍA, G., RISCO-CASTILLO, V., AGUADO-MARTÍNEZ, A., MARCÉN, J.M., ROJO-MONTEJO, S., CASTILLO, J.A. & ORTEGA-MORA, L.M., 2010. Development and use of an indirect ELISA in an outbreak of bovine besnoitiosis in Spain. The Veterinary Record, 166, 818–822.
- FERNÁNDEZ-GARCÍA, A., ALVAREZ-GARCÍA, G., RISCO-CASTILLO, V., AGUADO-MARTÍNEZ, A., MARUGÁN-HERNÁNDEZ, V. & ORTEGA-MORA, L.M., 2009. Pattern of recognition of Besnoitia besnoiti tachyzoite and bradyzoite antigens by naturally infected cattle. Veterinary Parasitology, 164, 104–110.
- FRENKEL, J.K., 1977. Besnoitia wallacei of cats and rodents. With a reclassification of other cyst-forming isosporoid coccidia. Journal of parasitology, 63, 611–628.
- FREY, C.F., GUTIÉRREZ-EXPÓSITO, D., ORTEGA-MORA, L.M., BENAVIDES, J., MARCÉN, J.M., CASTILLO, J.A., CASASÚS, I., SANZ, A., GARCÍA-LUNAR, P., ESTEBAN-GIL, A. & ÁLVAREZ-GARCÍA, G., 2013. Chronic bovine besnoitiosis. Intra-organ parasite distribution, parasite loads and parasite-associated lesions in subclinical cases. Veterinary Parasitology, 197, 95–103.
- GARCÍA-LUNAR, P., MORÉ, G., CAMPERO, L., ORTEGA-MORA, L.M. & ÁLVAREZ-GARCÍA, G., 2015. Anti-Neospora caninum and anti-Sarcocystis spp. specific antibodies cross-react with Besnoitia besnoiti and influence the serological diagnosis of bovine besnoitiosis. Veterinary Parasitology, 214, 49–54.
- GARCÍA-LUNAR, P., ORTEGA-MORA, L.M., SCHARES, G., DIEZMA-DÍAZ, C. & ÁLVAREZ-GARCÍA, G., 2017. A new lyophilized tachyzoite based ELISA to diagnose Besnoitia spp. infection in bovids and wild ruminants improves specificity. Veterinary Parasitology, 244, 176–182.
- GARCÍA-LUNAR, P., ORTEGA-MORA, L.M., SCHARES, G., GOLLNICK, N.S., JACQUIET, P., GRISEZ, C., PREVOT, F., FREY, C.F., GOTTSTEIN, B. & ALVAREZ-GARCÍA, G., 2013. An inter-laboratory comparative study of serological tools employed in the diagnosis of Besnoitia besnoiti infection in bovines. Transboundary and Emerging Diseases, 60, 59–68.
- GAZZONIS, A.L., ALVAREZ GARCIA, G., MAGGIONI, A., ZANZANI, S.A., OLIVIERI, E., COMPIANI, R., SIRONI, G., ORTEGA MORA, L.M. & MANFREDI, M.T., 2017. Serological dynamics and risk factors of Besnoitia besnoiti infection in breeding bulls from an endemically infected purebred beef herd. Parasitology Research, 116, 1383–1393.
- GAZZONIS, A.L., ALVAREZ GARCIA, G., ZANZANI, S.A., GARIPPA, G., ROSSI, L., MAGGIORA, M., DINI, V., INVERNIZZI, A., LUINI, M., TRANQUILLO, V.M., ORTEGA MORA, L. & MANFREDI, M.T., 2014. Besnoitia besnoiti among cattle in insular and northwestern Italy. Endemic infection or isolated outbreaks? Parasites & Vectors, 7, 585.
- GENTILE, A., MILITERNO, G., SCHARES, G., NANNI, A., TESTONI, S., BASSI, P. & GOLLNICK, N.S., 2012. Evidence for bovine besnoitiosis being endemic in Italy--first in vitro isolation of Besnoitia besnoiti from cattle born in Italy. Veterinary Parasitology, 184, 108–115.
- GOLDMAN, M. & PIPANO, E., 1983. Serological studies on bovine besnoitiosis in Israel. Tropical Animal Health and Production, 15, 32–38.
- GOLLNICK, N.S., SCHARR, J.C., SCHARES, G. & LANGENMAYER, M.C., 2015. Natural Besnoitia besnoiti infections in cattle. Chronology of disease progression. BMC Veterinary Research, 11, 35.
- GONDIM, L.F.P., MINEO, J.R. & SCHARES, G., 2017. Importance of serological cross-reactivity among Toxoplasma gondii, Hammondia spp., Neospora spp., Sarcocystis spp. and Besnoitia besnoiti. Parasitology, 144, 851–868.
- GUTIÉRREZ-EXPÓSITO, D., ARNAL, M.C., MARTÍNEZ-DURÁN, D., REGIDOR-CERRILLO, J., REVILLA, M., L FERNÁNDEZ DE LUCO, D., JIMÉNEZ-MELÉNDEZ, A., CALERO-BERNAL, R., HABELA, M.A., GARCÍA-BOCANEGRA, I., ARENAS-MONTES, A., ORTEGA-MORA, L.M. & ÁLVAREZ-GARCÍA, G., 2016. The role of wild ruminants as reservoirs of Besnoitia besnoiti infection in cattle. Veterinary Parasitology, 223, 7–13.
- GUTIÉRREZ-EXPÓSITO, D., FERRE, I., ORTEGA-MORA, L.M. & ÁLVAREZ-GARCÍA, G., 2017a. Advances in the diagnosis of bovine besnoitiosis. Current options and applications for control. International Journal for Parasitology, 47, 737–751.
- GUTIÉRREZ-EXPÓSITO, D., GARCÍA-BOCANEGRA, I., HOWE, D.K., ARENAS-MONTES, A., YEARGAN, M.R., NESS, S.L., ORTEGA-MORA, L.M. & ÁLVAREZ-GARCÍA, G., 2017b. A serosurvey of selected cystogenic coccidia in Spanish equids. First detection of anti-Besnoitia spp. specific antibodies in Europe. BMC Veterinary Research, 13, 128.
- GUTIÉRREZ-EXPÓSITO, D., ORTEGA-MORA, L.M., ARA, V., MARCO, I., LAVÍN, S., CARVAJAL-VALILLA, J., MORALES, A. & ÁLVAREZ-GARCÍA, G., 2017c. Absence of antibodies specific to Besnoitia spp. in European sheep and goats from areas in Spain where bovine besnoitiosis is endemic. Parasitology Research, 116, 445–448.
- GUTIÉRREZ-EXPÓSITO, D., ORTEGA-MORA, L.M., MARCO, I., BOADELLA, M., GORTÁZAR, C., SAN MIGUEL-AYANZ, J.M., GARCÍA-LUNAR, P., LAVÍN, S. & ALVAREZ-GARCÍA, G., 2013. First serosurvey of Besnoitia spp. infection in wild European ruminants in Spain. Veterinary Parasitology, 197, 557–564.
- HENRY, A. & MASSON, G., 1922. Cited by pols, j.w., 1960. Studies on bovine besnoitiosis with special reference to the aetiology. Onderstepoort Journal of Veterinary Research, 28, 265–356.
- HOFMEYR, C.F.B., 1945. Globidiosis in cattle. Journal of the South African Veterinary Medical Association, 16, 102–109.
- HORNOK, S., FEDÁK, A., BASKA, F., BASSO, W., DENCSŐ, L., TÓTH, G., SZEREDI, L., ABONYI, T. & DÉNES, B., 2015. Vector-borne transmission of Besnoitia besnoiti by blood-sucking and secretophagous flies. Epidemiological and clinicopathological implications. Parasites & Vectors, 8, 450.
- HORNOK, S., FEDÁK, A., BASKA, F., HOFMANN-LEHMANN, R. & BASSO, W., 2014. Bovine besnoitiosis emerging in Central-Eastern Europe, Hungary. Parasites & Vectors, 7, 20.
- JACQUIET, P., LIÉNARD, E. & FRANC, M., 2010. Bovine besnoitiosis. Epidemiological and clinical aspects. Veterinary Parasitology, 174, 30–36.
- JANITSCHKE, K., DE VOS, A.J. & BIGALKE, R.D., 1984. Serodiagnosis of bovine besnoitiosis by ELISA and immunofluorescence tests. Onderstepoort Journal of Veterinary Research, 51, 239–243.
- KEEP, M.E. & BASSON, P.A., 1973. Besnoitiosis in a warthog (Phacochoerus aethiopicus Cuvier 1822). Journal of the South African Veterinary Association, 44, 287.
- LANGENMAYER, M.C., GOLLNICK, N.S., MAJZOUB-ALTWECK, M., SCHARR, J.C., SCHARES, G. & HERMANNS, W., 2015a. Naturally acquired bovine besnoitiosis. Histological and immunohistochemical findings in acute, subacute, and chronic disease. Veterinary Pathology, 52, 476–488.
- LANGENMAYER, M.C., SCHARR, J.C., SAUTER-LOUIS, C., SCHARES, G. & GOLLNICK, N.S., 2015b. Natural Besnoitia besnoiti infections in cattle. Hematological alterations and changes in serum chemistry and enzyme activities. BMC Veterinary Research, 11, 32.
- LESSER, M., BRAUN, U., DEPLAZES, P., GOTTSTEIN, B., HILBE, M. & BASSO, W., 2012. Erste Fälle von Besnoitiose bei Rindern in der Schweiz. Schweizer Archiv fur Tierheilkunde, 154, 469–474.
- LEVINE, N.D., 1985. Veterinary Protozoology. Ames: Iowa State University Press.
- LIÉNARD, E., POP, L., PREVOT, F., GRISEZ, C., MALLET, V., RAYMOND-LETRON, I., BOUHSIRA, É., FRANC, M. & JACQUIET, P., 2015. Experimental infections of rabbits with proliferative and latent stages of Besnoitia besnoiti. Parasitology Research, 114, 3815–3826.
- LIÉNARD, E., SALEM, A., GRISEZ, C., PRÉVOT, F., BERGEAUD, J.P., FRANC, M., GOTTSTEIN, B., ALZIEU, J.P., LAGALISSE, Y. & JACQUIET, P., 2011. A longitudinal study of Besnoitia besnoiti infections and seasonal abundance of Stomoxys calcitrans in a dairy cattle farm of southwest France. Veterinary Parasitology, 177, 20–27.
- MCCULLY, R.M., BASSON, P.A., VAN NIEKERK, J.W. & BIGALKE, R.D., 1966. Observations on Besnoitia cysts in the cardiovascular system of some wild antelopes and domestic cattle. Onderstepoort Journal of Veterinary Research, 33, 245–275.
- NASIR, A., LANYON, S.R., SCHARES, G., ANDERSON, M.L. & REICHEL, M.P., 2012. Sero-prevalence of Neospora caninum and Besnoitia besnoiti in South Australian beef and dairy cattle. Veterinary Parasitology, 186, 480–485.
- NEUMAN, M., 1972. Serological survey of Besnoitia besnoiti (Marotel, 1912) infection in Israel by immunofluorescence. Zentralblatt fu¨r Veterinärmedizin B, 19, 391–396.
- NG’ANGA, C.J. & KASIGAZI, S., 1994. Caprine besnoitiosis: studies on experimental intermediate hosts and the role of the domestic cat in transmission. Veterinary Parasitology, 52, 207–210.
- NJAGI, O.N., NDARATHI, C.M., NYAGA, P.N. & MUNGA, L.K., 1998. An epidemic of besnoitiosis in cattle in Kenya. Onderstepoort Journal of Veterinary Research, 65, 133–136.
- NJENGA, J.M., BWANGAMOI, O., KANG’ETHE, E.K., MUGERA, G.M. & MUTIGA, E.R., 1995. Comparative ultrastructural studies on Besnoitia besnoiti and Besnoitia caprae. Veterinary Research Communications, 19, 295–308.
- NJENGA, J.M., BWANGAMOI, O., MUTICA, E.P., KANG’ETHE, E.K. & MUGERA, G.M., 1993. Preliminary findings from an experimental study of caprine besnoitiosis in Kenya. Veterinary Research Communications, 17, 203– 208.
- NJENGA, J.M., KANG’ETHE, E.K., BWANGAMOI, O., MUNYUA, S.J.M., MUGERA, G.M. & MUTIGA, E.R., 1999. Experimental transmission of Besnoitia caprae in goats. Journal of the South African Veterinary Association, 70, 161–163.
- NJENGA, J.M., MUNYUA, S.J.M., BWANGAMOI, O., KANG’ETHE, E.K., MUGERA, G.M. & MUTIGA, E.R., 1999. Prevalence of besnoitiosis in domestic ruminants in Kenya: a preliminary survey. Journal of the South African Veterinary Association, 70, 151–153.
- NJENGA, J.M., MUNYUA, S.J.M., MUTIGA, E.R., GATHUMA, J.M., KANG’ETHE, E.K., BWANGAMOI, O., MUGERA, G.M. & MITARU, B.N., 1999. Semen characteristics of goats with subacute, acute and chronic besnoitiosis. Journal of the South African Veterinary Association, 70, 18–20.
- OLIAS, P., SCHADE, B. & MEHLHORN, H., 2011. Molecular pathology, taxonomy and epidemiology of Besnoitia species (Protozoa. Sarcocystidae). Infection, Genetics And Evolution : Journal of Molecular Epidemiology and Evolutionary Genetics in Infectious Diseases, 11, 1564–1576.
- ORYAN, A. & SADEGI, M.J., 1997. An epizootic of besnoitiosis in goats in Fars Province of Iran. Veterinary Research Communications, 21, 539–570.
- PETESHEV, V.M., GALUZO, I.G. & POLOMOSHNOV, A.P., 1974. Cats—definitive hosts of Besnoitia (Besnoitia besnoiti). (In Russian). Azu Akad. Nauk. Kazakh. SSR B, 1, 33–38.
- POLS, J.W., 1960. Studies on bovine besnoitiosis with special reference to the aetiology. Onderstepoort Journal of Veterinary Research, 28, 265–356.
- ROMMEL, M., 1975. Neue Erkenntnisse zur Biologie der Kokzidien, Toxoplasmen, Sarkosporidien und Besnoitien. Berliner und Munchener tierarztliche Wochenschrift, 88, 112–117.
- ROMMEL, M., 1978. Vergleichende Darstellung der Entwicklungsbiologie der Gattungen Sarcocystis, Frenkelia, Isospora, Cystoisospora, Hammondia, Toxoplasma und Besnoitia. Zeitschrift fu¨r Parasitenkunde, 57, 269–283.
- RYAN, E.G., LEE, A., CARTY, C., O'SHAUGHNESSY, J., KELLY, P., CASSIDY, J.P., SHEEHAN, M., JOHNSON, A. & DE WAAL, T., 2016. Bovine besnoitiosis (Besnoitia besnoiti) in an Irish dairy herd. The Veterinary Record, 178, 608.
- SCHARES, G., BASSO, W., MAJZOUB, M., CORTES, H.C.E., ROSTAHER, A., SELMAIR, J., HERMANNS, W., CONRATHS, F.J., & GOLLNICK, N.S., 2009. First in vitro isolation of Besnoitia besnoiti from chronically infected cattle in Germany. Veterinary Parasitology, 163, 315–322.
- SCHARES, G., BASSO, W., MAJZOUB, M., ROSTAHER, A., SCHARR, J.C., LANGENMAYER, M.C., SELMAIR, J., DUBEY, J.P., CORTES, H.C., CONRATHS, F.J. & GOLLNICK, N.S., 2010. Comparative evaluation of immunofluorescent antibody and new immunoblot tests for the specific detection of antibodies against Besnoitia besnoiti tachyzoites and bradyzoites in bovine sera. Veterinary Parasitology, 171, 32–40.
- SCHARES, G., BASSO, W., MAJZOUB, M., ROSTAHER, A., SCHARR, J.C., LANGENMAYER, M.C., SELMAIR, J., DUBEY, J.P., CORTES, H.C., CONRATHS, F.J., HAUPT, T., PÜRRO, M., RAEBER, A., BUHOLZER, P. & GOLLNICK, N.S., 2011a. Evaluation of a commercial ELISA for the specific detection of antibodies against Besnoitia besnoiti. Veterinary Parasitology, 175, 52–59.
- SCHARES, G., LANGENMAYER, M.C., MAJZOUB-ALTWECK, M., SCHARR, J.C., GENTILE, A., MAKSIMOV, A., SCHARES, S., CONRATHS, F.J. & GOLLNICK, N.S., 2016. Naturally acquired bovine besnoitiosis. Differential distribution of parasites in the skin of chronically infected cattle. Veterinary Parasitology, 216, 101–107.
- SCHARES, G., LANGENMAYER, M.C., SCHARR, J.C., MINKE, L., MAKSIMOV, P., MAKSIMOV, A., SCHARES, S., BÄRWALD, A., BASSO, W., DUBEY, J.P., CONRATHS, F.J. & GOLLNICK, N.S., 2013. Novel tools for the diagnosis and differentiation of acute and chronic bovine besnoitiosis. International Journal for Parasitology, 43, 143–154.
- SCHARES, G., MAKSIMOV, A., BASSO, W., MORÉ, G., DUBEY, J.P., ROSENTHAL, B., MAJZOUB, M., ROSTAHER, A., SELMAIR, J., LANGENMAYER, M.C., SCHARR, J.C., CONRATHS, F.J. & GOLLNICK, N.S., 2011b. Quantitative real time polymerase chain reaction assays for the sensitive detection of Besnoitia besnoiti infection in cattle. Veterinary Parasitology, 178, 208–216.
- SCHULZ, K.C.A. & THORNBURN, J.A., 1955. Globidiosis—a cause of dermatitis in horses. Journal of the South African Veterinary Medical Association, 26, 39–43.
- SCHULZ, K.C.A., 1960. A report on naturally acquired besnoitiosis in bovines with special reference to its pathology. Journal of the South African Veterinary Medical Association, 31, 21–35.
- SHKAP, V., DE WAAL, D.T. & POTGIETER, F.T., 1985. Chemotherapy of experimental Besnoitia besnoiti infection in rabbits. Onderstepoort Journal of Veterinary Research, 52, 289.
- SHKAP, V., PIPANO, E. & GREENBLATT, C., 1984. Enzyme-linked immunosorbent assay for detection of antibodies against Besnoitia besnoiti in cattle. Tropical Animal Health and Production, 16, 233–238.
- SHKAP, V., PIPANO, E. & UNGAR-BARON, H., 1987. Besnoitia besnoiti: chemotherapeutic trials in vivo and in vitro. Revue d’Elevage et de Medicine Veterinaire des Pays Tropicaux, 40, 259–264.
- SHKAP, V., PIPANO, E., MARCUS, S. & KRIGEL, Y., 1994. Bovine besnoitiosis: Transfer of colostral antibodies with observations possibly relating to natural transmission of the infection. Onderstepoort Journal of Veterinary Research, 61, 273, 275.
- SHKAP, V., RESKE, A., PIPANO, E., FISH, L. & BASZLER, T., 2002. Immunological relationship between Neospora caninum and Besnoitia besnoiti. Veterinary Parasitology, 106, 35–43.
- SMITH, D.D. & FRENKEL, J.K., 1984. Besnoitia darlingi (Apicomplexa, Sarcocystidae, Toxoplasmatinae). Transmission between opossums and cats. The Journal of Protozoology, 31, 584–587.
- VAN HEERDEN, J., ELS, H.J., RAUBENHEIMER, E.J. & WILLIAMS J.H., 1993. Besnoitiosis in a horse. Journal of the South African Veterinary Association, 64, 92–95.
- VAN HOUDT, A., PARDON, B., DE SCHUTTER, B., BOSSELER, T., SARRE, C., VERCRUYSSE J. & DEPREZ, P., 2015. First confirmed case of bovine besnoitiosis in an imported bull in Belgium. Vlaams. Diergen. Tijds, 84, 205–211.
- VERMA, S.K., CERQUEIRA-CÉZAR, C.K., MURATA, F.H.A., LOVALLO, M.J., ROSENTHAL, B.M. & DUBEY, J.P., 2017. Bobcats (Lynx rufus) are natural definitive host of Besnoitia darlingi. Veterinary Parasitology, 248, 84–89.
- WAAP, H., CARDOSO, R., MARCELINO, E., MALTA, J., CORTES, H. & LEITÃO, A., 2011. A modified agglutination test for the diagnosis of Besnoitia besnoiti infection. Veterinary Parasitology, 178, 217–222.
- WAAP, H., NUNES, T., CORTES, H., LEITÃO, A. & VAZ, Y., 2014. Prevalence and geographic distribution of Besnoitia besnoiti infection in cattle herds in Portugal. Parasitology Research, 113, 3703–3711.
- WOBESER, G., 1971. Besnoitiosis in a woodland caribou. Journal of Wildlife Diseases, 12, 566– 571.















