- Infectious Diseases of Livestock
- Part 1
- Turning sickness
- Vectors: Ticks
- Vectors: Tsetse flies
- Vectors: Muscidae
- Vectors: Tabanidae
- Vectors: Culicoides spp.
- Vectors: Mosquitoes
- Classification, epidemiology and control of arthropod-borne viruses
- Special factors affecting the control of livestock diseases in sub-Saharan Africa
- The control of infectious diseases of livestock: Making appropriate decisions in different epidemiological and socioeconomic conditions
- Infectious diseases of animals in sub-Saharan Africa: The wildlife⁄livestock interface
- Vaccination: An approach to the control of infectious diseases
- African animal trypanosomoses
- Dourine
- Trichomonosis
- Amoebic infections
- GENERAL INTRODUCTION: COCCIDIA
- Coccidiosis
- Cryptosporidiosis
- Toxoplasmosis
- Besnoitiosis
- Sarcocystosis
- Balantidiosis
- Leishmaniosis
- Neosporosis
- Equine protozoal myeloencephalitis
- GENERAL INTRODUCTION: BABESIOSES
- Bovine babesiosis
- Equine piroplasmosis
- Porcine babesiosis
- Ovine babesiosis
- GENERAL INTRODUCTION: THEILERIOSES OF CATTLE
- East Coast fever
- Corridor disease
- Zimbabwe theileriosis
- Turning sickness
- Theileria taurotragi infection
- Theileria mutans infection
- Theileria annulata theileriosis
- Theileriosis of sheep and goats
- Theileria buffeli⁄orientalis infection
- Non-pathogenic Theileria species in cattle
- GENERAL INTRODUCTION: RICKETTSIAL, CHLAMYDIAL AND HAEMOTROPIC MYCOPLASMAL DISEASES
- Heartwater
- Lesser known rickettsial infections in animals and humans
- Chlamydiosis
- Q fever
- Eperythrozoonosis
- Bovine Haemobartonellosis
- Potomac horse fever
- GENERAL INTRODUCTION: ANAPLASMOSES
- Bovine anaplasmosis
- Ovine and caprine anaplasmosis
Turning sickness
This content is distributed under the following licence: Attribution-NonCommercial CC BY-NC
View Creative Commons Licence details here

Turning sickness
J A LAWRENCE AND B J MANS
Previous Authors: J A LAWRENCE AND S M WILLIAMSON
Current Authors:
J A LAWRENCE - Extraordinary Professor, DPhil, BSc, MRCVS (ret.), DTVM, Department of Paraclinical Veterinary Science, University of Zimbabwe, Harare, Zimbabwe
B J MANS - Principal Researcher, BSc, BSc (Hons) Biochemistry, MSc (Biochemistry), PhD (Biochemistry), Agricultural Research Council, Onderstepoort Veterinary Research, 100 Old Soutpan Road, Pretoria, Gauteng, 0110, South Africa
Introduction
Turning sickness orbovine cerebral theileriosis (BCT) is an aberrant form of theilerial infection characterized by the accumulation of parasitized lymphoblasts in the cerebral blood vessels leading to thrombosis and infarction (Figures 32.1 to 32.4). The condition has been long known in East Africa, particularly Uganda, and the disease was first described by Mettam (1934) and Mettam and Carmichael8. In East Africa it is usually considered to be caused by Theileria parva, but in South Africa the condition is attributed to Theileria taurotragi, since the disease occur in regions where T. parva is absent.3 The initial hypothesis that it was caused by Theileria mutans5 reflects the confusion surrounding the identity of the Theileria of cattle in southern Africa at the time. Molecular diagnostics have confirmed the presence of T. parva in brain tissue of animals with severe East Coast fever, indicating that schizonts can cross the blood-brain barrier 11, although the animals in the study did not have BCT. Molecular detection of T. taurotragi in the absence of T. parva in brain tissue of animals with BCT in Northern Tanzania (referred to as“Ormilo disease”), confirmed the association of this parasite with the disease 1. Isolated cased of BCT caused by Theileria annulata have been 2, 6, 12.
Aetiology and life cycle
The life cycles of T. parva and T. taurotragi are described in East Coast fever, Theileria taurotragi infection and Theileria annulata theileriosis respectively.
Epidemiology
Turning sickness occurs sporadically, usually in young cattle less than three years old, in regions which are endemic for T. parva and/or T. taurotragi 1. A high incidence has been recorded in Zebu cattle which have been immunized by the infection and treatment method for East Coast fever and introduced into an East Coast fever endemic area,10 though a possible confounding effect of co-infection with T. taurotragi cannot be excluded.
Pathogenesis
Proliferation of schizont-infected lymphoblasts occurs in the blood vessels of the meninges, brain, spinal cord and sometimes the spleen,14 causing thrombosis and infarction. There is usually no evidence of parasite invasion of other organs. This condition is generally considered to result from massive reinfection of a partially immune animal, but the mechanisms which permit the parasite to proliferate in the blood vessels are not understood. It has been suggested that localization of the parasite in the brain may result from intercurrent infection or stress in a chronically infected animal.10
Clinical signs
Cases of turning sickness are usually afebrile and characterized by the sudden onset of a variety of nervous signs, including circling, head pressing, uni- or bilateral blindness, ataxia, opisthotonus and paralysis.14 Death usually occurs after 2 to 21 days, but occasional cases become chronic and may live for up to six months. In cases in which the spinal cord is involved there is posterior paresis or paralysis.
Pathology
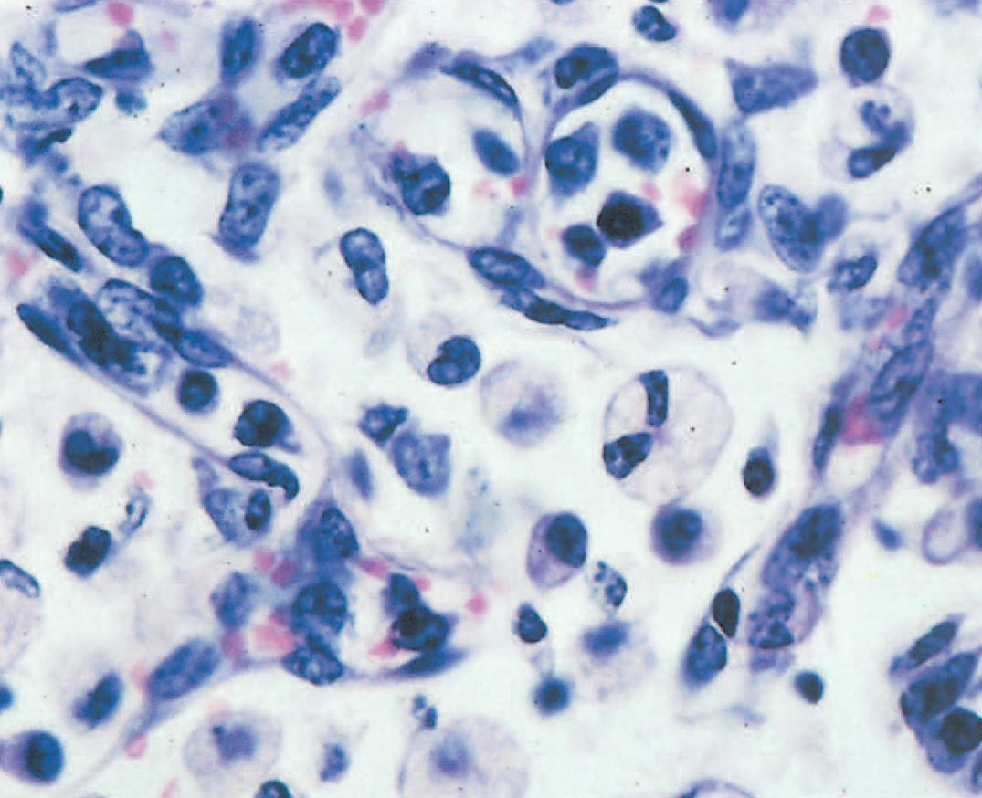
In the acute to subacute form, areas of intense congestion and haemorrhage are present in the meninges and the brain, and are associated with localized softening and yellowish discoloration of brain tissue 1, 5. Thrombosed meningeal vessels are often very prominent. There may be extensive haemorrhage into the ventricles (Figure 32.3). Histological examination reveals the obstruction of arteries and arterioles in affected areas with large numbers of parasitized lymphoblasts (Figure 32.5 and 32.6). The blood vessels are frequently thrombosed and necrotic, with perivascular haemorrhage, and the brain parenchyma which they supply shows a spectrum of lesions ranging from malacia, characterized by spongy changes, infiltration of numerous Gitter cells, and proliferation of capillaries and glial cells, to haemorrhage and infarction. Haemosiderin and lipofuscin are widely distributed free or in macrophages through the tissue. In animals which survive for any length of time the necrotic tissue is resorbed, leaving cystic spaces within the brain. Similar esions may occur in the spinal cord 13. In a few cases infarcts of a 10-20 mm may also be present in the spleen (Figure 32.4).14
Diagnosis
Turning sickness may be suspected when an animal in an area endemic for T. parva or T. taurotragi develops the clinical signs and lesions described above. The presence of circulating antibodies specific to one or both parasites provides supportive evidence for the diagnosis.3 The use of molecular diagnostics can confirm the presence of parasites in the brain lesions 1, 7, 11.
Diagnosis can be confirmed by the demonstration of schizonts in large numbers in smears or histological sections (Figures 32.5 and 32.6) prepared from lesions in the meninges or brain. Schizonts may be difficult to find in chronic cases.
Differential diagnosis
Turning sickness must be differentiated from other conditions which present clinically with nervous signs described above including cerebral babesiosis, heartwater, rabies, listeriosis, thromboembolic meningoencephalitis, sporadic bovine encephalomyelitis, lead poisoning, ‘stootsiekte’, caused by Matricaria nigellifolia poisoning, diplodiosis, thiamine-dependent cerebrocortical necrosis, and spinal abscessation (‘sitsiekte’, see Trueperella pyogenes infections).
Control
Cerebral theileriosis caused by T. parva may respond to treatment with buparvaquone, but relapses are common and the animal may eventually die after two or three episodes of clinical disease.10 Buparvaquone had some effect on severe cerebral theileriosis caused by T. annulata, but animals eventually succumbed 4. There is no experience of the use of the drug against T. taurotragi. Prevention should be considered in the context of the control of theileriosis in general. Immunization against T. parva by infection and treatment does not appear to provide protection against the condition.
References
- CATALANO, D., BIASIBETTI, E., LYNEN, G., DI GIULIO, G., DE MENEGHI, D., TOMASSONE, L., VALENZA, F. & CAPUCCHIO, M.T., 2015. "Ormilo disease" a disorder of zebu cattle in Tanzania: bovine cerebral theileriosis or new protozoan disease? Tropical and Animal Health Production, 47, 895-901.
- DABAK, M., DABAK, D.O. & AKTAS, M., 2004. Cerebral theileriosis in a Holstein calf. The Veterinary Record, 154, 533-534.
- DE VOS, A.J., BESSENGER, R. & BANTING, L.F., 1981. Theileria ? taurotragi: A probable agent of bovine cerebral theileriosis. Onderstepoort Journal of Veterinary Research, 48, 177–178.
- DHAR, S., MALHOTRA, D.V., BHUSHAN, C. & GAUTAM, O.P., 1988. Treatment of experimentally induced Theileria annulata infection in cross-bred calves with buparvaquone. Veterinary Parasitology, 27, 267-275.
- FLANAGAN, H.O. & LE ROUX, J.M.W., 1957. Bovine cerebral theileriosis—a report on two cases occurring in the Union. Onderstepoort Journal of Veterinary Research, 27, 453–461.
- KALEIBAR, M.T., HELAN, J.A. & FATHI, E., 2014. Occurrence of congenital cerebral theileriosis in a newborn twin Holstein calves in Iran: Case report. Veterinary Research Forum, 5, 237–241.
- MANS, B.J., PIENAAR, R. & LATIF, A.A., 2015. A review of Theileria diagnostics and epidemiology. International Journal of Parasitology: Parasites and Wildlife, 4, 104-118.
- METTAM, R.W.M. & CARMICHAEL, J., 1936. Turning sickness: A protozoan encephalitis of cattle in Uganda. Its relationship with East Coast fever. Parasitology, 28, 254–283.
- METTAM, R.W.M., 1934. Turning sickness and East Coast fever preliminary communication. Parasitology, 26, 150-151.
- MOLL, G., AGAN, L. & LOHDING, A., 1985. Bovine cerebral theileriosis in pure Boran and Sahiwal-cross cattle immunized against East Coast fever and kept under continuous field challenge. In: IRVIN, A.D., (ed.). Immunization Against Theileriosis in Africa. Nairobi: International Laboratory for Research on Animal Diseases.
- OLDS, C.L., PAUL, T. & SCOLES, G.A., 2016. Detection of Theileria parva in tissues of cattle undergoing severe East Coast fever disease show significant parasite DNA accumulation in the spleen. Veterinary Parasitology, 232, 32-35.
- SUDAN, V., SHARMA, R.L., YADAV, R. & BORAH, M.K., 2012. Turning sickness in a cross bred cow naturally infected with Theileria annulata. Journal of Parasitic Diseases, 36, 226-229.
- TUSTIN, R.C. & VAN HEERDEN, J., 1979. Bovine cerebral theileriosis (turning sickness) with spinal cord involvement. Journal of the South African Veterinary Association, 50, 49-51.
- VAN RENSBURG, I.B.J., 1976. Bovine cerebral theileriosis: A report on five cases with splenic infarction. Journal of the South African Veterinary Association, 47, 137–141.










