- Infectious Diseases of Livestock
- Part 3
- MYCOTIC AND ALGAL DISEASES: Mycoses
- GENERAL INTRODUCTION: SPIROCHAETES
- Swine dysentery
- Borrelia theileri infection
- Borrelia suilla infection
- Lyme disease in livestock
- Leptospirosis
- GENERAL INTRODUCTION: AEROBIC ⁄ MICRO-AEROPHILIC, MOTILE, HELICAL ⁄ VIBROID GRAM-NEGATIVE BACTERIA
- Genital campylobacteriosis in cattle
- Proliferative enteropathies of pigs
- Campylobacter jejuni infection
- GENERAL INTRODUCTION: GRAM-NEGATIVE AEROBIC OR CAPNOPHILIC RODS AND COCCI
- Moraxella spp. infections
- Bordetella bronchiseptica infections
- Pseudomonas spp. infections
- Glanders
- Melioidosis
- Brucella spp. infections
- Bovine brucellosis
- Brucella ovis infection
- Brucella melitensis infection
- Brucella suis infection
- Brucella infections in terrestrial wildlife
- GENERAL INTRODUCTION: FACULTATIVELY ANAEROBIC GRAM NEGATIVE RODS
- Klebsiella spp. infections
- Escherichia coli infections
- Salmonella spp. infections
- Bovine salmonellosis
- Ovine and caprine salmonellosis
- Porcine salmonellosis
- Equine salmonellosis
- Yersinia spp. infections
- Haemophilus and Histophilus spp. infections
- Haemophilus parasuis infection
- Histophilus somni disease complex in cattle
- Actinobacillus spp. infections
- infections
- Actinobacillus equuli infections
- Gram-negative pleomorphic infections: Actinobacillus seminis, Histophilus ovis and Histophilus somni
- Porcine pleuropneumonia
- Actinobacillus suis infections
- Pasteurella and Mannheimia spp. infections
- Pneumonic mannheimiosis and pasteurellosis of cattle
- Haemorrhagic septicaemia
- Pasteurellosis in sheep and goats
- Porcine pasteurellosis
- Progressive atrophic rhinitis
- GENERAL INTRODUCTION: ANAEROBIC GRAM-NEGATIVE, IRREGULAR RODS
- Fusobacterium necrophorum, Dichelobacter (Bacteroides) nodosus and Bacteroides spp. infections
- GENERAL INTRODUCTION: GRAM-POSITIVE COCCI
- Staphylococcus spp. infections
- Staphylococcus aureus infections
- Exudative epidermitis
- Other Staphylococcus spp. infections
- Streptococcus spp. infections
- Strangles
- Streptococcus suis infections
- Streptococcus porcinus infections
- Other Streptococcus spp. infections
- GENERAL INTRODUCTION: ENDOSPORE-FORMING GRAM-POSITIVE RODS AND COCCI
- Anthrax
- Clostridium perfringens group infections
- Clostridium perfringens type A infections
- Clostridium perfringens type B infections
- Clostridium perfringens type C infections
- Clostridium perfringens type D infections
- Malignant oedema⁄gas gangrene group of Clostridium spp.
- Clostridium chauvoei infections
- Clostridium novyi infections
- Clostridium septicum infections
- Other clostridial infections
- Tetanus
- Botulism
- GENERAL INTRODUCTION: REGULAR, NON-SPORING, GRAM-POSITIVE RODS
- Listeriosis
- Erysipelothrix rhusiopathiae infections
- GENERAL INTRODUCTION: IRREGULAR, NON-SPORING, GRAM-POSITIVE RODS
- Corynebacterium pseudotuberculosis infections
- Corynebacterium renale group infections
- Bolo disease
- Actinomyces bovis infections
- Trueperella pyogenes infections
- Actinobaculum suis infections
- Actinomyces hyovaginalis infections
- GENERAL INTRODUCTION: MYCOBACTERIA
- Tuberculosis
- Paratuberculosis
- GENERAL INTRODUCTION: ACTINOMYCETES
- Nocardiosis
- Rhodococcus equi infections
- Dermatophilosis
- GENERAL INTRODUCTION: MOLLICUTES
- Contagious bovine pleuropneumonia
- Contagious caprine pleuropneumonia
- Mycoplasmal pneumonia of pigs
- Mycoplasmal polyserositis and arthritis of pigs
- Mycoplasmal arthritis of pigs
- Bovine genital mycoplasmosis
- Neurotoxin-producing group of Clostridium spp.
- Contagious equine metritis
- Tyzzer's disease
- MYCOTIC AND ALGAL DISEASES: Mycoses
- MYCOTIC AND ALGAL DISEASES: Pneumocystosis
- MYCOTIC AND ALGAL DISEASES: Protothecosis and other algal diseases
- DISEASE COMPLEXES / UNKNOWN AETIOLOGY: Epivag
- DISEASE COMPLEXES / UNKNOWN AETIOLOGY: Ulcerative balanoposthitis and vulvovaginitis of sheep
- DISEASE COMPLEXES / UNKNOWN AETIOLOGY: Ill thrift
- Eperythrozoonosis
- Bovine haemobartonellosis
MYCOTIC AND ALGAL DISEASES: Mycoses
| Superficial and cutaneous mycoses | Dermatophytosis | Keratomycosis |
| Subcutaneous mycoses | Sporotrichosis | Epizootic lymphangitis | Mycetoma | Chromoblastomycosis | Phaeohyphomycosis & hyalohyphomycosis | Phaeohyphomycosis | Hyalohyphomycosis | Rhinosporidiosis | Subcutaneous zygomycosis | Pythiosis |
| Internal or systemic mycoses | Aspergillosis | Blastomycosis | Candidiasis | Coccidioidomycosis | Cryptococcosis | Histoplasmosis |
| Miscellaneous conditions | Zygomycoses | Mycotic abortion | Mycotic endometritis | Mycotic mastitis |
This content is distributed under the following licence: Attribution-NonCommercial CC BY-NC
View Creative Commons Licence details here
NJ Maclachlan and M-L Penrith (Editors). A Jonker, Mycoses, 2018.

Mycoses
Previous authors: J A PICARD AND H F VISMER
Current authors:
A JONKER - Senior Lecturer, BVSc, MSc, Department Veterinary Tropical Diseases, Faculty of Veterinary Sience, University of Pretoria, Room 2-30, Paraclinical Building, 100 Old Soutpan Road, Onderstepoort, Gauteng, South Africa
Introduction
Fungi are ubiquitous in nature where they primarily function as decomposers, with some being pathogenic to insects and plants. Of the more than 100 000 identified species only 150 are known to cause disease in animals and humans. Included in this group are the toxin-producing fungi that cause mycotoxicoses252 and the fungi that invade host tissue referred to as mycoses. With the exception of dermatophytes, animals seem to be ‘accidental’ hosts, with infections being acquired through exposure to a point source in nature of specific fungi that are able to survive in certain tissues of the animal due to an adapted ability to grow at body temperature (37 °C). Many non-invasive fungi, including those not known to be animal pathogens, can be involved in allergic reactions.
Of the aetiologic agents of mycoses, all except Pythium insidiosum belong to the kingdom Fungi, as they are nonmotile eukaryotic organisms that possess a cell wall, lack chlorophyll and reproduce by means of spores. The spore can be produced either sexually or asexually. Most fungi will also grow on artificial media. Two fungal forms exist, namely the mould or filamentous form, in which hyphae are present, and the unicellular budding yeast form. Some of the fungi, known as thermally dimorphic fungi that include some of the more pathogenic fungal genera, are able to exist in both forms, as yeasts at 37 °C or in host tissue, and as moulds at 22 °C or in the environment.
The fungi are divided into five phyla. Four of these are characterized by the sexual (telomorphic) production of spores, namely the Zygomycotina (containing agents of zygomycosis) the Ascomycotina, the Basidiomycotina and the Chytridiomycotina. Those that have been identified on the asexual (anamorphic) stage are classified as belonging to the phylum Deuteromycotina or Fungi Imperfecti. If, however, the telomorphic stages of these fungi are identified, they are classified as either an ascomycete or basidiomycete, and the name associated with this classification takes precedence. Most fungi that cause disease in animals are traditionally identified by their anamorphic stage, resulting in the situation that the same fungus may have two names.
The diagnostician is often faced with having to decide whether a fungus cultured from a lesion is the cause of the disease or only a contaminant. The presence of fungal elements in affected tissues, presence of an inflammatory reaction, tissue type affected, fungal species involved, number of fungal colonies cultured, and ability of the cultured fungus to grow at 37 °C may all be helpful in this regard. For example, a fungus identified from cerebrospinal fluid should be considered to be more clinically significant than fungi found on the skin or mucous membranes. As many different fungi in smears or sections of animal tissues are morphologically similar, their identification is usually made by either culturing or identifying them, or by applying immunological methods such as the immunofluorescence test.
The superficial, subcutaneous and internal mycoses that occur in livestock and horses are briefly dealt with in this chapter, with a greater emphasis being placed on those infections relevant to Africa.
Superficial and cutaneous mycoses
Dermatophytosis
Introduction
Dermatophytosis or ‘ringworm’ is a contagious fungal infection of the superficial, keratinized layers of the skin, and hair and nails of humans and animals caused by the genera, Microsporum, Trichophyton and Epidermophyton. This disease is considered to be of some importance as it is a zoonosis and a common occupational hazard.217, 267, 381 Studies have shown that in New Zealand 20,9 per cent374 and in Sweden 29 per cent193 of human dermatophyte infections originated from animals, and in Switzerland 74 per cent of dairy farm workers experienced ringworm.193 Economic losses are incurred by the down-grading of hides and the exclusion of affected animals from sporting events, shows or auctions.372 Lesions in animals that have ‘healed’ before they are slaughtered often ‘reappear’ after the tanning process, resulting in the rejection of hides.193 Animals that suffer from severe dermatophytosis can be stunted and show a weight loss of up to 20 per cent.351 In livestock, confirmation of the diagnosis of ringworm is not generally undertaken, except perhaps in pure-bred animals, and then samples are rarely taken for laboratory confirmation. In South Africa, the disease, usually caused by Microsporum canis, is more commonly diagnosed in cats and dogs in urban areas.486
Aetiology
All dermatophytes with an asexual (anamorphic) phase of reproduction belong to the genera, Microsporum, Trichophyton and Epidermophyton, and those with a sexual (telomorphic) phase of reproduction to the family Arthrodermataceae, genus Arthroderma.188 (Table 1). The telomorphic reproductive phase has not yet been identified in some dermatophytes of human and animal origin and it is thought that the ability to form this phase has been lost and that only clonal reproduction occurs.188 In animals, infections caused by fungi of the genera Microsporum and Trichophyton are most common. Anamorphic dermatophytes are epidemiologically classified based on their origin as either zoophilic (animal), geophilic (soil) or anthropophilic (human).
Dermatophytes are readily cultured on artificial media in the laboratory. The standard culture medium used is Sabouraud’s dextrose agar (SDA) containing cycloheximide to inhibit some saprophytic fungi and an antibacterial agent, usually chloramphenicol or gentamicin. A commercial modification of this medium is FUNGASSAY (Janssen Pharmaceuticals) in which phenol red is added as a pH indicator.273
It usually takes five days to three weeks to culture a dermatophyte. Thereafter they are purified by subculturing onto SDA without inhibitory substances or Trichophyton identification media, and the identification is based on the characteristic colonial and microscopic morphology, temperature growth preference and nutritional requirements of the fungus concerned. The genus Microsporum is characterized by fusiform or spindle- shaped macroconidia (20 × 35–125 μm in size) that are divided by transverse septa into 2 to 15 compartments, usually with thick and rough, or spiny walls. In a typical fresh isolate microconidia are few.273 The smooth wall of the clavate macroconidia (4–8 × 8–50 μm) distinguishes the genus Trichophyton from the genus Microsporum. Abundant microconidia are produced. Macroconidia are few in anthropophilic and zoophilic strains, but are abundant in geophilic strains.273
Dermatophyte infections occur worldwide and are more common in domestic cattle, water buffalo (Bubalus bubalis), goats and horses, and less common in poultry, pigs, sheep and camels.271, 374 Dermatophytosis has been reported sporadically in non-domesticated animals, particularly those which are kept in zoological collections or are kept together with domesticated animals.250, 264, 341, 346, 356, 370, 415, 436, 468, 469
Table 1 Dermatophytes known to infect animals
| ORIGIN | DERMATOPHYTE | HOST-ADAPTED SPECIES | |
| ANAMORPHIC PHASE | TELEOMORPHIC PHASE | ||
| Zoophilic | Microsporum canis var. canis Bodin,1902 M. canis var. distortum Bodin, 1902 | Arthoderma otae Hasegawa et Usui, 1974 | Cats (dogs) |
| M. equinum (Delacroix et Bodin) Guegén, 1904 Trichopyton verrucosum Bodin, 1902 | Unknown Unknown | Horses Cattle (sheep and goats) | |
| T. equinum (Matruchot et Dassonville) Gedoelst, 1902 T. mentagrophytes var. mentagrophytes (Robin) Blanchard, 1896 | Unknown A. benhamiae Ajello & Cheng, 1967 | Horses | |
| T. mentagrophytes var. erincei (Robin) Blanchard, 1896 T. mentagrophytes var. quinckeanum (Robin) Blanchard, 1896 | A. benhamiae Ajello & Cheng, 1967 A. benhamiae Ajello & Cheng, 1967 | Rodents (horses, sheep, goats) Hedgehog Mouse | |
| Geophilic | Microsporum gypseum (Bodin) Guiart et Grigorakis, 1928 M. nanum Fuentes, 1956 M. persicolor (Sabouraud) Guirt et Grigorakis, 1928 | A. incurvatum (Stockdale) Weitzman et al., 1986 A. gypseum (Nannizzi) Stockdale, 1963 A. obtusa Dawson et Gentles, 1961 A. persicolor (Stockdale) Weitzman et al., 1986 | None Pigs Bank vole (other rodents) |
| Anthropophilic | Trichopyton rubrum (Castellani) Sabouraud, 1911 | Unknown | Humans |
In cattle, water buffalo, goats and sheep, T. verrucosum is the fungus that is most often isolated in outbreaks of dermatophytosis.71, 291 Other dermatophytes isolated from these animal species include: T. mentagrophytes var. mentagrophytes, T. mentagrophytes var. quinckeaneum, T. violaceum (Sabouraud) Bodin, 1902, T. rubrum, T. equinum, M. gypseum and M. canis. 171, 217, 224, 383Cattle are reservoirs of T. verrucosum, with infection in other species occurring as a result of their co-grazing with cattle.171, 383 In South Africa, a variant of T. verrucosum not requiring vitamins for growth in artificial media was isolated in an outbreak of dermatophytosis in sheep.432 A variant of T. verrucosum, named as Trichophyton ovis, caused an epidemic of the disease in sheep in the western USA.366, 374
Horses have been infected, in order of frequency, with T. equinum, M. canis, T. mentagrophytes var. mentagrophytes, M. gypseum, T. verrucosum, M. equinum, T. mentagrophytes var. quinckaneum, M. cookei Ajello, 1959, T. schoeleinii (Lebert) Langeron et Milochevitch, 1950, T. terrestre Durie and Frey, 1957, and T. tonsurans Malmsten, 1845.97, 171, 247, 339, 414, 443, 471 Trichophyton equinum is host-adapted to horses and has been diagnosed as the cause of between 57 and 82,4 per cent of dermatophyte infections in this species.171, 339 There are two variants of T. equinum, namely T. equinum var. equinum, which requires nicotinic acid for growth, and T. equinum var. autotrophicum which does not. Trichophyton equinum var. autotrophicum has only been isolated in South Africa, New Zealand and Australia and is morphologically indistinguishable from T. mentagrophytes.273, 374
Microsporum nanum, T. mentagrophytes and M. canis have caused outbreaks of disease in pigs.180, 181, 200 Although the characteristic macrocondia of M. nanum have been seen on microscopic examination of hair plucks in South Africa, the fungus has not been cultured in this country.206, 486
Anthropophilic dermatophytes, such as T. violaceum, T. rubrum and Epidermophyton floccosum (Harz) Langeron et Milochevitch, 1930, are associated with human infections and are rarely implicated in animal infections. The isolation of these fungi in animals usually indicates contact with infected humans.58
Epidemiology
The transmission of dermatophytes is via arthroconidia found in or on infected hair or skin scales and crusts. Animals may be infected either directly from infected animals or indirectly from infected articles, such as saddles, halters, blankets and grooming implements, or from a contaminated environment.136, 339
Rich garden soil may be the source of M. gypseum, rodents of T. mentagrophytes, and cats and dogs of M. canis.273, 374, 414
Overcrowding, prolonged indoor confinement, poor nutrition, concurrent disease, immunosuppression, severe parasitism and microtrauma or maceration of the skin may predispose the host to infection with dermatophytes.247, 339, 349, 414 Mild abrasion of the skin caused by continual friction of harnesses or saddlery in working horses may play a role in the persistent nature of some dermatophyte infections.357 Although healthy animals of all ages are susceptible to dermatophytosis, it is generally encountered in young animals. This is presumed to be due to lack of previous exposure and the subsequent development of acquired immunity.328
In cold climates zoophilic infections tend to occur more commonly in autumn and winter when animals are kept in close confinement under damp and dark conditions, probably due to the accumulation of infected hair and scales in a closed environment.310 In warmer climates, such as in Africa, where most livestock are kept on the veld throughout the year, the disease is less prevalent. Occasionally an increase in disease prevalence is associated with warm, humid weather and an increased insect population such as flies.414 In M. gypseum infections, the prevalence of the disease tends to peak in the beginning of autumn, after the fungus has reached its peak levels in the soil.247
In a dark, dry environment, arthroconidia of M. canis, T. equinum and T. verrucosum can survive for up to one-and-a- half, four, and four-and-a-half years, respectively.310 Although direct ultraviolet light will kill arthroconidia within minutes, in scales and crusts they can survive for up to 437 hours in direct sunlight.310
Pathogenesis
Dermatophytes enter the skin through abrasions or the hair follicles. Infection is either endothrix or ectothrix. In ectothrix infections, hyphae invade the hairshaft while conidia remain on the surface of the hair, whereas in endothrix infections both the arthrocondia and hyphae are within the hair shaft.486 Most infections in animals are caused either by ectothrix fungi or a combination of both endothrix and ectothrix fungi.
Under ideal conditions arthroconidia germinate within six hours, and invade newly formed keratin in the epidermis and proximal hair shaft. The fungal hyphae produce keratinolytic enzymes (e.g. proteases) that aid in their penetration of the hair cuticle of growing hairs as well as the upper epidermal layers.339, 470 Some dermatophytes are able to produce penicillin-like substances that, by inhibiting the normal commensal Gram-positive bacterial flora, are able to improve their competitive advantage.111 Although the fungi usually remain in the upper layers of the epidermis, keratinase the action of the superficial epidermis allows major cell wall antigens (trichophytins) to penetrate deeper epidermal layers where Langerhans’ cells function as antigen traps.470 These cells then present the antigens to T lymphocytes, resulting in a delayed hypersensitivity immune response.120, 268, 373, 470 Macrophages and transformed keratinocytes may phagocytose the fungi, breaking them up into smaller fragments.193 Furthermore, there is an increase of γ δ T lymphocytes in the epidermis. The significance of these cells is unknown, but they are thought to play a role in the first line of defence against dermatophytes.372 Rarely, dermatophytes will infect viable tissue, resulting in pseudomycetomas.481 Inflammation is thought to increase the turnover of epidermal cells, thus facilitating the elimination of dermatophytes.470 Dermatophytes, such as T. rubrum and T. mentagrophytes, are able to produce substances that diminish cell-mediated immune responses.111
Non-specific defences against fungal invasion include grooming practices, fungistatic properties of sebum and epidermal lipids, and increased rate of skin scaling with a resultant increase in the numbers of dermatophytes shed. Immunity to dermatophytes is thought to be both humoral and cell-mediated, although the cellular response is likely to be of greater importance.120, 268, 372 Immunity usually lasts for up to one year after the resolution of lesions.372 Cross-protection between genera and species of the common zoophilic dermatophytes has been demonstrated and could be the reason why animals are rarely reinfected even with another species.120, 373
Clinical signs and pathology
Clinical signs are usually observed one to three weeks after infection.171, 372, 375, 383 Irrespective of the agent, the clinical signs of dermatophytoses are similar although their severity and distribution are dependent on the host that is infected and certain dermatophytic factors. Infection of their natural hosts by dermatophytes usually results in milder clinical signs or even in subclinial infections, whereas infection by non-host adapted species can result in severe exudative lesions.372, 373 The lesions enlarge progressively for six to eight weeks and usually heal after 12 to 14 weeks.120 Healing occurs when the infected hair is shed, when the hair enters its telogen phase or when the dermatophyte elicits an inflammatory reaction and the host mounts an effective immune response.120 Infections tend to be self-limiting.
In cattle and goats, skin lesions can occur all over the body, but are more common on the face and neck, in the inguinal region and near the root of the tail, most probably because rubbing against materials and/or licking is more common at these sites.136, 349 After an initial period of epidermal thickening and inflammation of the skin, circular patches 5 to 100 mm in diameter appear, which are often pruritic and usually covered by grey crusts (Figure 1). When a crust is pulled off, an underlying erythematous, exudative dermatitis often remains.366, 487 Spontaneous healing follows in one to four months, with the lesions becoming dry, scaly, alopecic patches. In mild or chronic cases localized patches of alopecia and slight superficial skin flakiness are observed but pruritis is usually not present.483
In sheep, lesions are most commonly found in non-woolled areas, especially those of the head, face and ears, and resemble those in cattle and goats (Figure 2 and Figure 3).383, 432 When a woolled area is affected, the wool is matted, discoloured and easily epilated. Epilation reveals circular exudative lesions 1 to 40mm in diameter.217, 374
In horses, the areas of skin that come into contact with saddles, harnesses, halters and bridles as well as the skin of the distal limbs more often tend to be affected.443 However, skin lesions can be present over the entire body. Lesions commence as multifocal, small circular crusts embedded in the hair; these are more easily palpated than seen. Where there is marked inflammation of the hair follicles, the superficial skin is often ‘bumpy’.375 After 10 to 14 days the crusts and hair fall out, leaving alopecic areas, which give the skin a ‘moth-eaten’ appearance.171, 247 These lesions expand over the next four to eight weeks, with complete healing occurring after three to five months.375 Infection with T. equinum is often pruritic and the condition is known as girth itch.339
In backyard pigs, lesions are difficult to observe as their skins are often mud-stained. In light-skinned pigs, lesions tend to be red, brown, black or white, irregularly circular and 20 to 100 mm in diameter, and have a crusty surface (Figure 4).181, 483 In piglets, ringworm is an acute disorder that tends to heal spontaneously, whereas in adult pigs it is a chronic disease, with each lesion gradually increasing in size.
Microscopically, lesions are characterized by moderate to severe hyperkeratosis and mild lymphocytic infiltration of the dermis. Depending on the severity of the lesions, microabscesses, folliculitis, trichogranulomas and acantholysis may also be present.217, 434 The fungi occur in the epidermis or within hair follicles and in or on hair shafts (Figure 5). They are best stained in tissue sections by the periodic acid-Schiff (PAS) reaction or by Gomori’s methenamine silver (GMS) impregnation.243
Diagnosis
Typical circular, superficial crusting lesions, generally in more than one animal, may lead one to suspect dermatophytosis. Identification of the fungi is done on colony morphology on culture and microscopic morphology of the agent as well as its physiological characteristics.
The use of a Wood’s ultraviolet light lamp in livestock to observe fluorescence of infected hairs is often unrewarding as only M. canis and M. equinum of the zoophilic species produce pteridin, which is responsible for the fluorescence. Some topically applied medications can also cause fluorescence.273, 374, 414 The diagnosis is confirmed either by taking specimens consisting of skin scrapings, hair plucks and/or brushings from the edge of several lesions for microscopic and mycological examination, or of a wedge skin biopsy placed in 10 per cent buffered formalin solution for histopathological examination. Hair plucks should be taken in the direction of the growth of the hair to ensure that the ‘root’ is obtained, as the area of the shaft just proximal to the hair ‘root’ usually has the highest numbers of arthroconidia. Several of the hairs or a portion of the skin scraping are placed on a microscope glass slide and covered with a drop of clearing solution, such as potassium hydroxide (KOH) - ink (comprising equal parts of a 20 per cent aqueous KOH solution and permanent blue or black ink) that is then heated slightly372 or chorphenolac (equal parts of a solution comprising 25ml liquid phenol and 25ml lactic acid to which 50 g of chloral hydrate is added). A coverslip is placed over the specimen before it is examined under a microscope, the condensor lens of which is lowered. Chlorphenolac is preferred as it provides immediate clearing of the specimen without artefact formation, but preparations must be examined within 24 hours. Infected hairs appear rough, pale, and filamentous, and a sheath of ectothrix conidia surrounding or within the hair shaft is present (Figure 6). Arthroconidia vary in size; T. verrucosum and M. gypseum produce large arthroconidia (3 to 5μm in diameter), which are scant in number, T. equinum arthroconidia are of intermediate size (2 to 3 μm in diameter), and those of M. canis are small (2 μm in diameter) and form a mosaic pattern around the hair shaft.273
As it can be difficult to observe the presence of arthroconidia on hair shafts, hair plucks, scrapings and brushings are often inoculated onto the surface of media, such as Mycobiotic (Difco Laboratories, Detroit, USA) or FUNGASSAY, that have been developed for the detection of dermatophytes. In the case of FUNGASSAY, a colour change to red within the first five days of incubation at room temperature is usually indicative of the presence of a dermatophyte. Some contaminant fungi, such as Penicillium, Aspergillus and Alternaria spp., can also cause this colour change, but usually after five days of incubation. Another distinguishing feature is that contaminant fungi usually grow as green- or black-pigmented colonies.
Successful treatment of dermatophytoses in animals usually does not require the determination of the genus and species of the causative fungus. It may be desirable, however, to identify the fungus to species level when the disease occurs in outbreak form or as a persistent infection.
Differential diagnosis
In cattle, sheep and goats the skin lesions associated with hypovitaminosis A, iodism, mange, dermatophilosis, besnoitiosis, sweating sickness, chronic lesions of photosensitization and traumatic alopecia should be differentiated from those of dermatophytosis.
In horses, important differential diagnoses to consider are dermatophilosis, bacterial follicultitis, occult (flat) sarcoids, pemphigus foliaceous, urticaria and zinc-responsive dermatoses.414
Control
Except in certain circumstances treatment is usually not recommended for infected livestock as it is expensive and the lesions usually heal spontaneously in one to four months; reinfection is rare.136 In the case of animals that may be barred from shows, sporting events and sales, treatment is desirable as the duration of the clinical course of the disease will be decreased. Treatment will also aid in decreasing environmental contamination by arthroconidia and the possibility of spread, particularly to humans.
Griseofulvin promotes healing and decreases the numbers of arthroconidia that are shed. In cattle, griseofulvin is administered at the dosage rate of 7,5mg/kg per os once a day for seven days,1, 26, 383 or once a day at the same rate and route for three days, after which its administration is stopped for three days. This protocol is then repeated twice more.361 The pharmokinetics of griseofulvin has not been evaluated in horses and its use in this species is therefore not recommended.414 In cats and dogs several systemic antifungals have been used, including griseofulvin, terbinafine, ketoconazole and itraconazole, but the antifungal agent of choice is griseofulvin.
Locally applied fungicidal or fungistatic agents disinfect the superficial epidermis and loose hairs, reducing the contagiousness of the disease. However, they rarely reduce the severity of the lesions, as they do not penetrate to the base of the lesion in the epidermis and hair follicles.375 With the administrator wearing gloves, topical aqueous solutions are applied with a sponge to the entire body surface of the animal; these include 2 to 5 per cent lime sulphur, 3 per cent captan (Agrox kaptan powder, Kyron Laboratories) solution, 2 per cent chlorhexidine, 0,5 per cent sodium hypochlorite, and natamycin (pimaricin).434, 459 Shampoos containing enilconazole (Imaverol, Janssen Pharmaceuticals) or a mixture of 2 per cent miconazole/2 per cent chlorhexidine have been successfully used twice weekly to treat horses with dermatophytosis.358 In a study on the disinfection of cat hairs infected with M. canis, the efficacy of lime sulphur and enilconazole (Clindafarm, Janssen Pharmaceuticals) was high, that of chlorhexidine and povidone-iodine intermediate, and that of sodium hypochlorite, ketoconazole and captan poor.505 It should be borne in mind that topical medications that cause skin irritation should not be used in acute cases.
In an outbreak of dermatophytosis, it is imperative that stables, barns, fences, grooming equipment and tack are thoroughly disinfected, using disinfectants such as sodium hypochlorite (undiluted bleach) or 1 per cent formaldehyde.375 Diluted sodium hypochlorite and chlorhexidine are only moderately effective. Enilconazole and potassium monopersulphate foggers have also proved to be effective environmental disinfectants.358
A live attenuated vaccine against T. verrucosum infection in cattle has been used since 1978 in Norway, Yugoslavia, Germany, Russia and Sweden.194 The vaccine when administered correctly will protect up to 80 per cent of calves from developing lesions.184 Routine use of this vaccine decreases the number of bovine cases and thus, indirectly, of human cases of T. verrucosum infection.372 A deep intramuscular inoculation is given, and a booster 10 to 14 days later. Calves can be vaccinated from one week of age.343 It is not recommended that cows in the last two months of pregnancy be vaccinated. Complications that may develop include anaphylaxis, a mild fever of two days’ duration, tenderness at the injection site, restlessness, laboured breathing and diarrhoea. Anaphylaxis is more common when the vaccine has been allowed to stand a few hours after reconstitution.194 The use of an inactivated vaccine has proved to be less effective than the attenuated vaccine in cattle.60 In one study over a three-year period, an inactivated whole-cell vaccine containing two varieties of T. equinum was administered intramuscularly twice,10 to 14 days apart. Only 23 per cent of horses developed mild lesions compared to 52 per cent of the non-vaccinated controls.375
Keratomycosis
Considering the ubiquity of fungi, particularly in the farmyard environment, cases of natural keratomycosis, a fungal infection of the cornea of the eye, are commonly reported in horses and humans, and rarely in cattle, water buffalo, cats, dogs, snakes and poultry.45, 355, 407 Although Aspergillus and Fusarium spp. are the most common causative agents, individual cases may involve fungal species that belong to various genera, dependent on what fungal species is most prevalent in the environment at that time.33, 166, 187, 198, 213
Keratomycosis has been reported to be the causative agent in about 4,8 to 39 per cent of infectious keratitis in horses in North America,33, 34, 38, 162, 166, 213, 266 but in other countries fungi have been only rarely involved as causative agents.90, 96, 299, 355, 428 Stabled horses are considered to be more susceptible to mycotic keratitis as they are in an environment with a high fungal load.166 The condition is more frequent in the late summer and early autumn, especially when the climate is humid and hot.51, 166, 198 Infections are generally associated with trauma, such as abrasions contaminated with plant material and soil, and the subsequent misuse of topical corticosteriods and antimicrobials.96 In a case reported by Negroni and Fischer in 1943 a horse became infected with Pseudallescheria boydii after being kicked in the eye by another horse.407
Keratomycosis should be suspected in horses that experienced a traumatic injury to the eye two weeks or longer previously and that have failed to respond to antimicrobial or antimicrobial-corticosteroid combination therapy.198 Clinical signs in horses vary but usually include ocular pain, epiphora, photophobia, corneal ulceration and oedema, and a white feather-like corneal lesion with anterior uveitis occurring secondarily.33, 38, 135 If the causative fungus is a dematiaceous fungus, brown or black pigmented lesions will result.45 Yeast infections tend to cause more discrete, focal and suppurative lesions than do moulds.38 Occasionally, fungi are deposited into the corneal stroma and become encapsulated by healing epithelium, resulting in the formation of a corneal stromal abscess which is observed as a yellow-white opacity at varying depths within the stroma.187, 198
The diagnosis is made by the demonstration of fungi on cytological examination and the culture of fungi from deep scrapings made from the affected cornea.33
In horses, keratomycosis must be distinguished from bacterial keratitis, especially that caused by Pseudomonas aeruginosa, equine recurrent uveitis with secondary corneal involvement, indolent ulcers, bacterial stromal abscessation, viral keratitis and corneal dystrophies or degeneration.38
The institution of antifungal therapy should be considered when there is a history of the introduction of plant material in the eye or when there has been a poor response to antibacterial therapy.198 Since fungi tend to cause more deep-seated corneal lesions than bacteria, surgical intervention is often necessary and can involve one or a combination of debridement, superficial keratectomy, conjunctival pedicle graft and corneal graft.33, 96, 198, 203 This treatment will also facilitate the penetration of the antifungal drug used.135 It should, in addition, be borne in mind that between 30 and 50 per cent of horses suffering from keratomycosis have concurrent bacterial keratitis, usually caused by Gram-positive bacteria, and thus treatment should be combined with antibacterials.33, 38 Healing is dependent on the severity of the lesions, with most horses recovering with minimal corneal scarring.34, 166, 203
Selected topical antifungals should be non-irritant and non-toxic to the eye, and shown to be effective in vitro against the infecting fungus. They should also be cost-effective since the duration of treatment can be as long as 48 days.198 Topical antifungals that have been used include an ointment containing 5 per cent natamycin, 1 per cent itraconazole, or 4 per cent thiabendazole; 20 mg/ml miconazole vaginal cream (e.g. Daktarin VC Vaginal Cream, Janssen Cilag, Gynospore, Garec); 1 per cent of clotrimazole in peanut oil; and 1 per cent silver sulfadiazine dermatologic cream.33, 135, 198, 266 Topical treatment with 0,25ml of 1 per cent itraconazole and 30 per cent dimethyl sulfoxide petroleum ointment base every four hours for an average of 36 days resolved 80 per cent of keratomycotic lesions in horses.34 The subpalpabral lavage with 1 per cent miconazole together with 1 per cent ophthalmic atropine has also been used successfully.96, 203
In severe cases where there is ulceration involving the superficial and deep layers of the cornea, stromal abscessation or evidence of uveitis, an enucleation is considered to be the most humane treatment.34, 166
Subcutaneous mycoses
Sporotrichosis
Sporotrichosis is a non-contagious, chronic disease caused by the dimorphic pathogenic fungus, Sporothrix schenckii Hektoen & Perkins ex Nicot & Mariat.202 It affects primarily the cutaneous or subcutaneous tissues and adjacent lymphatics and is characterized by the presence of nodular lesions that may ulcerate. Disseminated disease, although rare, has been reported in especially immunocompromised humans. Sporotrichosis occurs worldwide and is the most common cause of subcutaneous mycosis in humans, equids and domestic cats.491
Outbreaks of the disease in miners working in gold mines led to its discovery in South Africa in 1914.146, 377 The epidemics in mines that occurred in the 1940s and 1960s in this country remain unparalleled worldwide.67, 113, 228, 487 Horses and mules used in the mines were also affected. Untreated infected wooden mine props consisting of eucalyptus and wattle poles support the growth of the fungus in the moist and warm conditions of gold mines,113 hence the higher risk of contracting the disease in mines.67, 113, 227
Reports on natural infections of sporotrichosis in animals appeared in the early part of the twentieth century, shortly after the first human cases were recorded, the rat being the first animal species in which such an infection was described from Brazil in 1907.290 In 1912 several rats were found to be suffering from sporotrichosis during a survey on bubonic plague in France. The animals manifested mainly the nodular or lymphatic skin forms of the disease.376 Lesions in their buccal mucous membranes were also present and were attributed to the animals feeding on contaminated vegetable material in nature. Reports of sporotrichosis in horses and mules in the USA and Madagascar followed.119, 497 The fungus that was isolated from horses was named Sporothrix equi Carougeau, a species now regarded as being synonymous with S. schenckii. 74, 287, 464
Aetiology
Sporothrix schenckii is a thermally dimorphic fungus belonging to the phylum Ascomycota and order Ophiostomatales. It will grow on most enriched media, including blood agar, brain heart infusion agar (BHIA), potato dextrose agar (PDA), SDA, and SDA (4 per cent) containing chloramphenicol (0,05g/ml, Park Davis) to inhibit bacterial growth, and cycloheximide (0,4 g/ml, BDH Chemicals and Upjohn) to inhibit the growth of saprophytic fungi. When cultured at 37 °C on BHIA or other media high in glucose, after three to five days’ incubation they form moist, cream-coloured, pasty colonies. At 25°C on SDA they take five to seven days to grow, producing white to cream-coloured, wrinkled, leathery colonies that darken with time to a brown or grey colour. Some variants may immediately, or take months to, form brown to black colonies, but others never produce pigment. Microscopically, thin, branching hyphae are observed that produce thin tapering conidiophores, averaging 15 to 20 μm in length, which arise at right angles from the hyphae. Each carry a rosette of three to five thin-walled, ovate conidia (2 to 3 μm broad and 3 to 6 μm long) that attach by means of a thin denticle (Figure 7). As the colony ages, conidiation increases with sleeves of conidia being formed along the conidiophores, laterally along undifferentiated hyphae and, in some conidial budding even arises directly from undifferentiated hyphae. In others darkly pigmented strains, especially those grown on malt extract agars, thick-walled, triangular, brown macroconidia are formed (Figure 8).149, 486 At 37 °C, thin ‘cigar-shaped’ to spherical blastoconidia are formed.
Epidemiology
Sporothrix schenckii is considered to be a soil-inhabiting fungus, has a predilection for rich compost-like soils high in organic material, and can grow only on dead or injured plant and tree material.486, 489, 493, 518 Soil is regarded as the main source from which sporotrichosis is contracted.254, 491 In humans, sphagnum and peat moss, potting soil, hay, reeds, padding grass, eucalyptus and wattle wood props, rose and thorn tree thorns and many other plants are associated with the infection which gains entry through minor injuries or wounds sustained occupationally, or during recreation or gardening.7, 110, 132, 192, 254, 334, 487, 518
The transmission of sporotrichosis from animals to humans is well documented. Laboratory personnel handling infected material or experimentally infected animals, and veterinarians and others handling cases of the disease, may therefore be at risk. Scratches or bites by animals can transfer the fungus.130, 344, 345, 350, 393, 394, 426, 452, 475, 504
Domestic animals, mainly cats and dogs,129, 243, 284, 344, 393, 435 and farm animals, mainly horses,49, 117, 153 but also mules, donkeys and cattle218 contract sporotrichosis.52, 104, 244, 425, 426, 453 Foxes, camels, chimpanzees,408, 419 armadillos,245 captive wild mammals104 and even dolphins312, 319 can be added to the list of animal species in which sporotrichosis has been reported. Since the first cases in horses were described in South Africa in 1929,411, 477 there have been very few reports of the disease in horses in this country, although the organism is relatively often cultured and seen on cytology.370, 473, 487 In one such case, the infection was contracted as a result of scratch by a rose bush thorn.473 Experimental animals, such as rats, mice and hamsters, are readily infected with pathogenic S. schenckii strains, mice being particularly susceptible. Experimentally induced disease in laboratory animals develops within 10 to 20 days after intraperitoneal or intratesticular inoculation of culture material (yeast or mycelial growth) which results in the development of a severe peritonitis or orchitis and periorchitis respectively.119, 149, 151, 407, 448
Although the disease is non-contagious, clusters of infected animals can often be related to them being exposed to the same contaminated environment. In cases where no obvious cutaneous injuries or areas of chaffed skin are apparent that could account for the initiation of the infection, the buccal mucosa is a possible portal of entry. In the early reports on sporotrichosis, S. schenckii was isolated from the skin and the buccal mucosa of healthy horses after they had been in contact with infected animals or contaminated plant material.8, 119, 318, 487
Pathogenesis, clinical signs and pathology
The pathogenesis, clinical signs and pathology of sporotrichosis in horses are similar to those of the human disease. Infection is usually by the traumatic implantation of the fungus into the skin or a mucous membrane; it rarely occurs by inhalation. Subcutaneous or submucosal nodules usually develop at the site of infection, and the infection then spreads to the local lymphatics which become thickened and cord-like as a result of lymphangitis (Figure 9). The nodular lesions may subsequently ulcerate and exude a blood-tinged, cream-coloured, non-odorous pus. Lesions in the skin of horses can be widespread, often sparing the fore legs, but with extensive lesions down the hind legs including the fetlocks.49, 339
The yeasts either lie free in the tissues or are present in macrophages.8, 407 They may show budding at more than one point and are thin-walled. Once these organisms round off and become double-contoured to form preasteroids, a fungal and host tissue reaction is established and asteroid bodies are formed.288, 289 These consist of a radiate formation around a double-contoured, large yeast cell of S. schenckii, which results from a reaction between a product of the fungus and a substance produced by the host.259 It has been reported that the loosely bound nonfungal polysaccharides precipitate on the cell walls of the yeasts of S. schenckii formed in the tissues, act as a barrier which prevents the uptake of conventional stains used in histopathology and microbiology.423 It is therefore recommended that diastase digestion of the bounded polysaccharides should be performed before staining tissue sections or smears to expose the cell wall of S. schenckii to the stains.125
It is important to examine serial tissue sections in order to demonstrate asteroid bodies448 which, although being regarded as one of the characteristic features in sporotrichosis, also occur in other mycotic diseases such as aspergillosis,331, 332 and lobomycosis.412
Diagnosis
A positive culture of S. schenckii unequivocally confirms the diagnosis of sporotrichosis. There is no need to obtain a skin biopsy for culture, as S. schenckii is easily cultured from crusts or exudate from lesions when inoculated onto suitable media, provided that the lesions are not secondarily infected with bacteria. Histopathological examination of biopsies may assist in the diagnosis.
Differential diagnosis
All causes of lymphangitis in horses, namely epizootic lymphangitis (Histoplasma farciminosum infection), ulcerative lymphangitis (Corynebacterium pseudotuberculosis infection), indolent ulcer (Rhodococcus equi infection) and farcy (cutaneous glanders caused by Burkholderia mallei) should be considered as differential diagnoses.
Control
It is advisable to determine the source of the infection that initiated the lesion if at all possible, e.g. stable bedding of damp straw or grass that can support the growth of the fungus, in order to prevent the development of further cases.
Cases of equine sporotrichosis respond well to the administration of inorganic iodides. Complete cure of the disease has been reported following the intravenous injection of a 10 per cent sodium iodide solution at a dosage rate of 3 mg/50 kg body weight once a month for three months.477 Other treatments that have been reported to be effective in horses are 125 ml of a 20 per cent solution of sodium iodide given intravenously followed by the daily oral dosage of 28 g of potassium iodide or organic iodides such as ethylenediamine dihydroiodide.335 If signs of iodism appear, such as an oculonasal discharge, weight loss, depression, anorexia, fever, coughing and alopecia, the dosage should be reduced.117, 308 Treatment should be continued until three to four weeks after clinical cure.244 This treatment is not suitable for pregnant mares as it may affect the foetus.
Triazolic derivatives, especially itraconazole, is very effective in the treatment of sporotrichosis in humans,351, 403, 487 but has serious cost implications in large animals.
In addition to potassium iodide therapy, hot compresses that raise the skin temperature above 42 °C for at least 30 minutes can be applied twice daily.504 Surgical exploration and/or excision of lesions is not recommended. Treatment of the disease in this manner is often followed by increased ulceration and suppuration and enhances the risk of secondary bacterial infections.
When handling affected animals, one should wear gloves as it can be transmitted to humans via cuts and abrasions.
Epizootic lymphangitis
Synonyms: pseudofarcy, pseudoglanders, equine histoplasmosis, histoplasmosis farciminosi, African farcy
Introduction and aetiology
Epizootic lymphangitis, grouped as a list B disease of the World Organisation for Animal Health, was first described in 1873 by Rivolta409 as a chronic infection of horses, mules and donkeys caused by the thermally dimorphic fungus, Histoplasma capsulatum var. farciminosum (Rivolta) Weeks et al. (= H. farciminosum (Rivolta) Cif. & Red)122, 499 and is characterized by ulcerative necrogranulomatous skin lesions, conjunctivitis, or respiratory disease.
This fungus is very similar to H. capsulatum Darling 1906, the aetiological agent of histoplasmosis, both on histological and mycological grounds, but clinically the disease it produces in horses presents differently.122, 407 Histoplasma farciminosum is usually cultured at 25°C on SDA enriched with 2,5 per cent glycerol, or pleuropneumonia-like organism (PPLO) nutrient agar (Difco Laboratories) enriched with 2 per cent dextrose and 2,5 per cent glycerol and a pH 7,8 at 25°C.438 Addition of antimicrobials to the medium is recommended: cycloheximide (0,5 g/1) or chloramphenicol (0,5 g/1). After two to six weeks of culturing, dry, yellow to dark brown, granular and wrinkled colonies appear. The mycelial form produces a variety of conidia, including chlamydospores, arthroconidia and some blastoconidia. However, large round double-walled macroconidia often lacking tubercules are characteristic for this form of the culture. Dimorphism is tested by growing the fungus at 37 °C in its yeast phase on BHIA enriched with 10 per cent horse blood in an atmosphere of 20 per cent carbon dioxide. Characteristic budding yeast cells similar to H. capsulatum are produced. Complete conversion to the yeast phase may, however, be achieved only after four to five repeated serial transfers onto fresh media every eight days. Yeast colonies are flat or raised, slightly or deeply wrinkled, and white to light grey or greyish-brown, and have a pasty consistency.438
Epidemiology
Epizootic lymphangitis is endemic in many countries in North Africa, including Chad, Cameroon, Egypt, Ethiopia, Gambia and Senegal, and parts of Asia, including China, India, Iraq and Pakistan.23, 329, 352, 398 Large epidemics in equids occurred in Europe during the First World War, in Italy, Burma and India during the Second World War, and in South Africa during the early parts of the twentieth century when large numbers of horses were grouped together for military operations in the South African War.15, 204, 398
Transmission is through skin lesions either by direct contact with infective material such as pus, and nasal and ocular discharges,438, 455 or indirectly via infected soil, in which the causative organism can remain alive for 15 days,243 grooming tools, feeding and watering utensils, harnesses and wound dressings. The conjunctival form of this disease is believed to be spread by flies, especially of the genera Musca and Stomoxys, and the pulmonary form by inhalation.380, 449
Clinical signs and pathology
Natural disease occurs almost exclusively in equids. The incubation period ranges from several weeks to as long as six months.450 It typically causes nodular to ulcerative skin lesions, initially at the point of entry of the organism. Nodules, about 10 to 20mm in diameter and with a hard consistency develop along thickened, cord-like, tortuous and inflamed regional lymphatics (Figure 10 and Figure 11). Some of the nodules ulcerate and discharge a blood-stained, thick, cream coloured pus (Figure 12).380 The skin of the head, neck, thorax and fore and hind legs are most frequently affected.68, 69, 425, 455 If the skin of the inner thigh is involved, the infection may spread to the scrotum, prepuce and udder. Pyogranulomas overlying a joint may extend to the synovial structures, resulting in secondary arthritis.22 Lesions usually heal spontaneously after two to three months, resulting in stellate scar formation.457 Less commonly, granulomatous lesions may occur in the nasal cavity and eyes, causing rhinitis, sinusitis and conjunctivitis.44 Primary pulmonary and disseminated disease in horses, involving internal organs and with a fatal outcome, have been reported.69, 145, 450 Some horses may show only calcified fibrous skin lesions at the site of infection and can only be detected by means of a positive histofarcin skin test or serological test.22
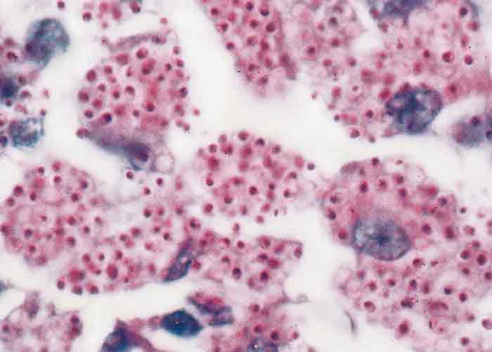
Histopathologically, a characteristic pyogranulomatous reaction with fibroplasia and a predominance of macrophages and giant cells is observed.21 Numerous ovoid to globose yeasts, 3–5× 2,5–3,5μm in diameter, are found both extracellularly and intracellularly in macrophages and giant cells that are usually surrounded by a ‘halo’ when stained with Gram’s stain or haematoxylin and eosin stain (Figure 13).21 Mycelial forms are rarely seen in tissues. The use of PAS or GM Sand a fluorescent antibody technique2 can be applied to facilitate the demonstration of the organisms in tissue sections.
Diagnosis and differential diagnosis
A presumptive diagnosis is made by the demonstration of the organism in smears of the exudate or in tissue sections of lesions. The diagnosis is confirmed by a positive culture of H. farciminosum or demonstration of the fungus with the direct immunofluorescence test.
Several other methods have been described to confirm the diagnosis. These include the Mantoux skin test using histofarcin,456 and serodiagnosis using either an indirect immunofluorescence test,144 passive haemagglutination test or an enzyme linked immunosorbent assay (ELISA).5, 167, 168 Antibodies to H. farciminosum develop at or after the onset of clinical signs.
Rabbits, mice and guinea-pigs can be experimentally infected by exudate from naturally infected animals.207, 450
Epizootic lymphangitis in horses should clinically be differentiated from sporotrichosis, ulcerative lymphangitis (Corynebacterium pseudotuberculosis infection), indolent ulcers caused by Rhodococcus equi and farcy (the skin form of glanders caused by Burkholderia mallei infection).10, 197
Control
The disease is eradicated by culling infected horses and the disinfection of contaminated properties and proper sanitary measures.15, 204 In countries where the disease is endemic and where eradication is not possible, the treatment of affected horses by the intravenous administration of 100 ml of a 10 per cent solution of sodium iodide once a week for four weeks gives good results in those cases that do not heal spontaneously.15, 21 Other chemotherapeutic agents that have given good results, but are expensive, are amphotericin B and griseofulvin.23 Local treatment of the nodules is by lancing them and packing them with 7 per cent tincture of iodine.21 If permitted legally, in endemic areas either inactivated or live attenuated vaccines can be used.21, 517
Mycetoma
Mycetoma is a localized, progressive infection of the skin and subcutaneous tissues of humans and animals characterized by the formation of granulomas, abscesses and draining sinuses, and the presence of granules in affected tissues. Bone involvement is often present in cases of longer duration.
Two distinct groups of micro-organisms may cause mycetomas: eumycotic mycetoma (maduromycosis or madura foot), first described from Madura in India in 1842, is caused by several species of true fungi, and actinomycotic mycetoma caused by the bacterial actinomycetes, Nocardia, Actinomadura and Streptomyces spp.378, 407 Eumycotic mycetoma should be differentiated from both hyalohyphomycosis and phaeohyphomycosis (see below), while actinomycotic mycetomas should be differentiated from nocardiosis or glanders on grounds of their clinical entities, aetiological agents and pathology. Historically, Nocardia farcinica was frequently reported as the cause of ‘bovine farcy’, but currently in Africa this disease is considered to be caused by Mycobacterium farcinogenes.197 The latter is a long, filamentous, fully acid-fast and non-fragmentous bacillus that resembles Nocardia.68, 80 Some of the earlier isolates of N. farcinica were found to be identical to Nocardia asteroides (Eppinger) Blanchard, the aetiological agent of nocardiosis in animals.461 Actinomycosis, caused by Actinomyces israelii (Kruse) Lachner-Sandoval and Actinomyces bovis Harz, should also be differentiated from mycetomas.
Aetiology and epidemiology
There is no evidence that mycetomas are contagious. In animals and humans the aetiological agents gain entrance into the skin or deeper tissues by implantation of traumatical injuries.147, 298, 492 Most aetiological agents of mycetomas are soil saprophytes or plant pathogens that can be recovered from plant debris or thorns. Disease is usually more common in the tropics and subtropics.
Mycetomas are characterized by the development in tissues of specific types of grains or granules that are constituted of aggregates of micro-organisms that are embedded in a cement-like substance,148 and are formed once the organisms are inoculated into the tissues and have adapted to the environment of their host. An unusually long incubation period of months and sometimes years is associated with the disease. The colour, shape, size and consistency of the granules correlate with the causative agent. Generally, on macroscopic examination, the granules of actinomycotic mycetomas are white, yellow or red and vary from 0,3 to 5mm in diameter, while those produced in eumycotic mycetomas are black or white, and vary from 0,2 to 2 mm in diameter. Some actinomycotic granules are very small and can only be detected microscopically or are present as aggregates of filaments in the tissues. Definite identification of the fungi and actinomycetes can only be done by appropriate culturing and identification of the organisms.185, 446, 461
Natural disease in animals caused by the agents of both eumycotic and actinomycotic mycetomas are relatively rare and authenticated cases have been recorded in dogs, cats, cattle and horses. Nocardia spp. are most often implicated in the case of actinomycotic mycetoma, while Curvularia geniculata (Tracy & Earle) Boedjin, Cochliobolus spiciferus Nelson [anamorph = Drehsclera specifera (Bain.) v. Arx] and Madurella mycetomatis (Laveran) Brumpt have been isolated in cases of black grain, and Pseudoallescheria boydii (Shear) Mc Ginnis et al. in cases of white grain eumycotic mycetoma (Table 2).19, 57, 61, 63, 66, 82, 107, 275, 301, 407, 482
In cases where hyphae or groups of hyphae are not organized in true granules it is suggested that they should rather be considered as mycotic granulomas, i.e. phaeohyphomycosis or hyalohyphomycosis in cases where pigmented or hyaline hyphae, respectively, are present.20, 338, 384
Several human cases of eumycotic mycetoma, mainly due to M. mycetomatis, and actinomycotic mycetoma, due to Nocardia brasiliensis (Lindenberg) Castellani et Chalmers, N. asteroides, Actinomadura pelletieri(Laveran) Lechevalier and Actinomadura madurae (Vincent) Lechevalier have been recorded in South Africa.147, 148, 150, 490, 492 A small number of cases of black grain eumycotic mycetoma caused by M. mycetomatis has been recorded in horses in South Africa,57, 482 and one case has been reported in a dog.275
Clinical signs and pathology
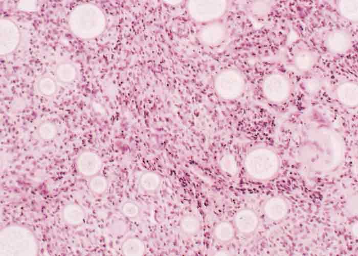
Mycetoma lesions occur most frequently on the extremities or those parts of the body that are exposed to most trauma or injury. They consist of swollen deep-seated cutaneous or subcutaneous abscesses or necrogranulomas, often with multiple sinuses. Exudate or pus draining from the sinuses may contain granules, which vary in size, colour and consistency according to the pathogen involved. The lesions are usually painless and gradually enlarge over several months or years.
Although the pathology of the mycetomas in humans and animals are the same, some of the species of fungi isolated from animal disease have not been recorded in humans.57, 359, 399 Biopsy tissue, curettings and exudate from draining sinuses should be examined macroscopically for the presence of granules and their colour, size, shape and consistency noted. Larger granules can generally be visualized as coloured specks scattered in greyish-white granulation tissue or exudate and, using normal saline, can be washed out so that their features can be more clearly observed (Figure 14). Histologically, both eumycetomas and actinomycetomas are characterized by a chronic inflammatory reaction, cell infiltrates made up of predominantly macrophages, giant cells and lymphocytes with some plasma cells and neutrophils, and dense granulation tissue.
Table 2 Some cutaneous and subcutaneous mycoses of livestock
| DISEASE | CAUSATIVE FUNGUS | RECENT SYNONYMS | ANIMALS AFFECTED |
| Sporotrichosis | Sporothrix schenckii Hektoen & Perkins ex Nicot & Mariat | Sporothrichum schenckii Matruchot Sporothrix equi Carougeau | Equidae, cattle |
| Epizootic lymphangitis | Histoplasma capsulatum var. farciminosum [Rivolta] Weeks et al. | Histoplasma farciminosum [Rivolta] Cif. & Red Cryptococcus farciminosum Rivolta | Equidae |
| Mycetoma | Curvularia geniculata [Tracy & Earle] Boedijn Cochliobolus spiciferus Nelson Drechslera rostratum [Drechsler] Leonard & Suggs Madurella mycetomatis [Laveran] Brumpt Pseudallescheria boydii [Shear] Mc Ginnis et al. | Drechslera rostrata [Drechsl.] Richardson & Fraser Madurella mycetomi [Laveran] Brumpt | Horses, cattle |
| Phaeohyphomycosis* | Alternaria alternata [Fr.] Keissl Aureobasidium pullulans [de Bary] Arn. | Alternaria tenuis Nees Pullularia pullulans Berkhout | Horses, cattle |
| Cladophiolophora bantiana [Sacc.] De Hoog et al. | Xylophypha bantiana [Sacc.] Mc Ginnis et al. Cladosporium trichoides Emmons | ||
| Drechslera spicifera [Bain.] v. Arx Drechslera rostratum [Drechsler] Leonard & Suggs Exserohilum rostratum [Drechsler] Leonard & Suggs Exophiala dermatitidis [Kano] de Hoog Fonsecaea pedrosoi [Brumpt] Negroni Ochroconis gallopava [W.B. Cooke] de Hoog Phoma herbarum Westend. | Bipolaris spicifera [Bain] Subram Drechslera rostrata [Drechsl.] Richardson & Fraser Drechslera rostrata [Drechsl.] Richardson & Fraser Wangiela dermatitidis McGinnis Phialophora pedrosoi [Carrion] Red. & Cif. Dactylaria gallopava [Abbott] Dixon & Salkin Phoma hibernica Grimes et al. | ||
| Hyalohyphomycosis* | Acremonium Link spp. Beauveria Vuill. spp. Fusarium Link spp. Purpureocillium spp.286 Paecilomyces Bainier spp. Penicillium Fr. spp. Scopulariopsis Bainier spp. | Horses, cattle | |
| Rhinosporidiosis | Rhinosporidium sebeeri [Wernicke] Seeber | Rhinosporidium equi Zschokke | Equidae, cattle |
| Cutaneous and subcutaneous yeast infections | Candida albicans [Robin] Berkhout Candida Berkhout spp. Geotrichum Link spp. | Pigs, horses, Cattle, sheep | |
| Aspergillosis | Aspergillus fumigatus Fres. A. flavus Link Aspergillus Micheli ex Link spp. | Horses, cattle, sheep, pigs | |
| Subcutaneous zygomycosis | Basidiobolus haptosporus Drech. Conidiobolus coronatus [Cost.] Batko. | Basidiobolus ranarum Eidam Entomophthora coronata [Const.] Kevorkian | Horses Horses |
| Pythiosis | Pythium insidiosum121 | Horses, cattle | |
| Keratomycosis | Acremonium Link spp. Aspergillus spp. Fusarium Link spp. Pseudallescheria boydii [Shear] 302-304 | Petriellidium boydii [Shear] Malloch | Horses, cattle |
* Full lists of causative agents are given in Ajello (1986)16 and Rippon (1988)407
In most cases granules can be detected in the pus and granulation tissue. A narrow zone of eosinophilic clubs (Splendore-Hoeppli phenomenom) surrounds many of the granules. However, it may be necessary to examine serial tissue sections in order to demonstrate granules. The sections must be examined under high magnification (× 100 oil immersion objective) and the correct staining methods (e.g. GMS, Gram or Giemsa stains) must be applied to demonstrate details of either an actinomycete bacterium or eumycotic fungus.
Diagnosis
Owing to the diversity of the aetiological agents associated with mycetomas, specific identification of the organisms requires correlation of the macroscopic findings of the granules with the histological and cultural findings. Specialized media such as Löwenstein-Jensen medium, used for the isolation of Mycobacterium spp. and glycerol agar (without antibiotics) is used for the isolation of agents of actinomycotic mycetoma, while 4 per cent SDA with and without chloramphenicol (0,05g/ml) and cycloheximide (0,4 g/ml) are used to isolate agents of eumycotic mycetoma. Specialized techniques are required to speciate the respective agents of mycetomas.
Control
Surgical excision of early cases of mycetoma which are still well-circumscribed and relatively small and have not spread to the deeper tissue or bone can be very effective provided that resection of the lesions includes a wide margin of unaffected tissues.107, 294, 483 Before instituting treatment of more advanced cases, it is most important to differentiate between eumycotic and actinomycotic mycetomas. Actinomycotic infections may be successfully treated with antibiotics, while eumycotic mycetomas generally respond poorly to all forms of chemotherapy. In humans, varied success, depending on the causative fungus, has been achieved in the treatment of eumycotic mycetoma with azolic drugs such as ketoconazole and itraconazole. High dosages over extended periods of time (10 months or more) appear to be necessary. A recovery rate of 40 to 70 per cent may be expected.294, 351, 402, 403 The use of these antifungal drugs in large animals is, however, very expensive and may have an uncertain outcome.
Chromoblastomycosis
Chromoblastomycosis refers to chronic, localized cutaneous or subcutaneous lesions caused by opportunistic dematiaceous fungi (brown or black fungi) and is characterized by the presence of muriform (sclerotic) bodies in infected tissues.302, 407
Although chromoblastomycosis has been described in cats, dogs and horses,1, 20, 407, 447 it is not fully comparable to the disease in humans with regard to the clinical, histopathological and mycological findings and it is perhaps preferable to consider it as a phaeohyphomycosis.82, 302, 304, 407, 454 Chromoblastomycosis is, however, reproducible in experimental animals13, 124 and it also occurs in amphibians.429
In humans, chromoblastomycosis is distinguished from phaeohyphomycotic fungal infections by histopathological examination of the lesions in which the formation of planate- dividing, thick-walled round muriform cells (‘sclerotic cells’ or ‘Medlar bodies’), 5 to 12 μm in diameter with septations, without chain or bud formation, is observed. Only occasional hyphae are formed: they are present in the superficial layers of the skin. These muriform cells are generally found in microabscesses, occurring intra- or extracellularly and have characteristic brown pigment (Figure 15), which can be obscured by staining procedures other than haematoxylin and eosin.82, 407
Chromoblastomycosis is difficult to treat successfully. In human cases, many drugs and techniques have been used with limited success. Surgical excision in early cases has proven advantageous, but relapse and partial cure are common. A combination of 5-fluorocytosine and amphothericin B therapy has given good results.42, 403
Phaeohyphomycosis and hyalohyphomycosis
Phaeo- and hyalohyphomycosis are clinical terms that came into use to describe groups of diseases that are being reported in humans and animals with increased frequency.302, 304, 338 Phaeohyphomycosis is a clinically collective name for infections caused by dematiaceous fungi,17 while hyalohyphomycosis is caused by hyaline fungi (fungi with colourless walls). In both these clinical entities, numerous fungi of diverse genera are implicated, most belonging to the hyphomycetes.16, 302 There is some debate regarding the terminology of hyphomycotic infections, particularly with regard to animal cases. Owing to the ever expanding list of fungal species involved, it is more confusing to create clinical entities with different disease names related to each causative fungus, than to include agents appropriately under the terms hyalo- or phaeohyphomycosis. It is, however, important to differentiate phaeohyphomycosis from eumycotic mycetoma and chromoblastomycosis that are also caused by dematiaceous hyphomycetes, as some fungal species can be the responsible agent for any one of these diseases. Infections caused by members of the ascomycetes and coelomycetes should not erroneously be included in the term phaeohyphomycosis.
The treatment of phaeo- and hyalohyphomycosis is difficult due to the diversity of fungal species causing them, the limited information available in this respect, and the variation in sensitivity of fungal species to antifungal drugs.183 In the case of nasal granulomas (phaeohyphomycosis) in cattle, intravenous infusions of sodium iodide at the rate of 3,5g/50 kg at weekly intervals showed some improvement when it was combined with a tylosin (Tylo 200 Phenix) intramuscular injection of 600 to 800 mg/50 kg after one week.362 A fungal granuloma in a horse caused by Pseudoallescheria boydii was successfully treated by the topical application for 35days of a 2 per cent miconazole cream and systemically, initially with sodium iodide at the rate of 30 mg/kg administered intravenously once a day for four days and thereafter with potassium iodide at 0,06 mg/kg administered orally twice a day for 14 days.118 Amphotericin B and 5-fluorocytosine are not useful in the treatment of infections caused by Paecilomyces spp., while imidazoles are more efficacious.407
Phaeohyphomycosis
In humans, the most common manifestations associated with phaeohyphomycosis are phaeohyphomycotic sinusitis secondary to an allergic rhinitis and subcutaneous phaeohyphomycosis (phaeomycotic skin cysts) and brain abscesses.407
In animals, phaeohyphomycosis has been reported in cats,199, 208, 228, 306, 338 dogs,18, 283, 431 cattle99, 303, 305 and horses.246 Cases have also been described in poultry170, 494 a porcupine (Erethizon dorsatum), 419frogs43 and several species of bats.401
Although there is a great variation in the aetiologic agents of these cases and more than 71 species from 39 genera of fungi have been listed as causes of phaeohyphomycosis,16, 283 the dematiaceous hyphomycete Drechslera specifera (Bain.) v. Arx (teleomorph Cochliobolus spiciferus Nelson), is most frequently isolated from all manifestations of the disease in animals.246, 338, 407
Phaeohyphomycosis in horses and cattle may manifest as subcutaneous infections, nodular granulomatous dermatitis or nasal granulomas.62, 72, 73, 116 Several fungi, including species in the genera of Alternaria, Aureobasidium, Cladophialophora, Dactylaria, Drechslera, Exserohilum, Exophiala, Fonsecaea and Phialophora are implicated in these diseases.16, 303, 407 The aetiological agents and their synonyms are summarized in (Table 2).
Subcutaneous infections usually present as isolated or multiple nodules that do not involve surrounding lymphatics, while nasal granulomas manifest as small nodular lesions in the anterior nasal mucosa. Mycotic nasal granulomas occur relatively commonly in cattle and horses as the fungi that cause the condition often occur on plants or plant debris eaten by them. Such cases should be classified as mycetoma only if fungal elements in tissues are organized into entities that can be construed as granules. If true granules are absent, it is suggested that the infection should be regarded as phaeohyphomycosis.338
The first case reported from Australia in 1977, erroneously diagnosed as ‘eumycotic mycetoma’, with lesions in the skin, nasal cavity and lymph nodes of a cow was caused by Drechslera rostrata (Drechsl.) Richardson & Fraser.384 Similar cases have been recorded in the USA.359 Systemic disease resulting from primary lung or cerebral infection has been described in cats and dogs, but not in livestock.82, 228 Cases of mycotic nasal granuloma in horses caused by D. rostrata have been described in South Africa.362
The histopathology of cases of phaeohyphomycosis is varied. Generally, single or small groups of fungal elements consisting of short, thick-walled, branched or unbranched septate hyphae with prominent constriction at the septa, and clusters of rounded or chlamydospore-like fungal cells, borne singly terminally, intercalary or in chains, and with or without radiating clubs (Splendore-Hoeppli phenomenon) have been recorded.283, 362 It may be necessary to carefully examine several unstained or haematoxylin and eosin stained sections of lesions to establish the dematiaceous nature of the fungi. 82, 302 The Fontana-Masson silver staining procedure can be used to detect melanin present in dermatiaceous fungal elements in tissues as fungal septa and cell walls are accentuated by this method.283 In mycotic nasal granuloma eosinophils predominate which accounts for the red to green pigmentation of the macroscopic lesions.72, 362 Cutaneous nodules are characterized by a granulomatous imflammatory reaction and the presence of fungal elements in the centre of the lesion.72, 362
Hyalohyphomycosis
Cases of hyalohyphomycosis are clinically as equally diverse as those of phaeohyphomycosis. In humans, hyalohyphomycosis occurs rarely and when it does occur it is mainly in immunocompromised or debilitated patients. In domestic animals it is equally rare and the authenticity of cases is often questioned because the fungi involved are considered as common contaminants. Because of the large number of fungal species that are incriminated as causative agents, the collective term hyalohyphomycosis is recommended, rather than defining a disease for each fungus, for example fusariosis and penicilliosis. In spite of the clinical diversity, the pathology in cases of cutaneous and subcutaneous hyalohyphomycosis is similar, although specific identification of the respective fungi is not possible in histological sections.
Distinctive or well-defined diseases that occur more commonly, such as aspergillosis, are not included under hyalohyphomycosis, even though the causative fungi are classified as hyaline hyphomycetes. Species in the genera Acremonium, Beauveria, Fusarium, Purpureocillium (Paecilomyces), Penicillium, Pseudallescheria, Scopulariopsis and others are implicated in cases of hyalohyphomycosis. All the species involved are ubiquitous on plants and in soil and air.
The state of the host is a very important factor in acquiring hyalohyphomycosis and most infections can be considered as accidental, due to predisposing stress factors such as environmental temperature and dietary changes in captive animals.
In most reports in the literature in which the isolation of Acremonium spp. from clinical specimens is described, the identification of the isolates lacks verification and the authenticity of the infection is questioned.407 Pseudoallescheria boydii has been reported to cause nasal granulomas in horses.118 Beauveria and Vuillemin spp. have long been recognized as insect pathogens, and have been described as causes of mycosis in captive reptiles, such as tortoises and alligators.163, 164, 172 Fusarium Link ex Gray infections, associated particularly with mycotic keratitis (see above) and onychomycosis, occur quite commonly in humans.30, 31, 131, 407 Crocodiles often contract Fusarium infections,271 which can also take on epidemic proportions in fish, poultry and calves. Species in this group of fungi have been reported to cause mycotic abortion in cows.14, 31 Paecilomyces (Bainier) infections have been reported particularly in horses, goats, tortoises, monkeys (iin fungi have not as yet been reported in southern Africa.
The fungal species causing hyalohyphomycosis, in general, all induce the same tissue response and are of a similar morphology, but they are commonly confused with species of other fungal genera such as Aspergillus. 418Cases should, therefore, be assessed individually, and repeat cultures to confirm the presence of the causative fungus and to exclude contamination, is imperative. Septate, branching hyphae are seen in tissues on histology. Direct microscopy of unstained tissue sections or smears should be performed to establish the presence of fungi and to strengthen the diagnosis. Both hyalo- and phaeohyphomycosis therefore require sound histological and mycological studies for their accurate diagnosis.
Rhinosporidiosis
Rhinosporidiosis occurs in animals as a chronic polypoid rhinitis. It has been diagnosed mainly in mules, horses and cattle, but other animal species, such as water buffalo,337 dogs,24, 237 geese, swans (Cygnus olor and Cygnus atratus) and wood duck (Alx sponsa) 115, 253 as well as humans, may also be affected.82, 282, 407 Rhinosporidium seeberi (Wernicke) Seeber has been described as the causative organism of this disease (Table 2).
The first case of rhinosporidiosis in animals was reported on by Zschokke520 after examining material from a growth in the nasal septum of a mule sent to the Veterinary Institute in Zürich in 1906 by Sir Arnold Theiler from the present Onderstepoort Veterinary Institute in South Africa.388 Currently, the disease has a worldwide distribution,244, 407 but it appears that cases in cattle are most often reported from India and Sri Lanka.15, 337 It is sporadically described in humans and animals in southern Africa.85, 249, 388 Trauma may be a contributing factor in acquiring the disease, as in India it is most commonly found in bulls and oxen with pierced nasal septa or in association with nasal schistosomosis.337, 391
The polyps are soft pink, raised, finely lobulated, pedunculated or sessile, up to 30mm in diameter in large animals, and dotted with small white specks, which are sporangia formed by the infecting fungus (Figure 16). In most cases the growths are large enough to interfere with the breathing of the animal and bleed easily, and they induce a mucopurulent nasal discharge. Systemic disease has been noted in humans but not in animals.
Although R. seeberi has successfully been cultivated in vitro in an epithelial carcinoma cell culture line,282 all attempts to isolate or culture it on mycological media have failed. Ashworth29 indicated that the organism belongs to the lower order of aquatic fungi, Chytridiales, which may explain the clinical history that animals constantly in contact with stagnant fresh water seem to contract the disease more readily.82, 407 Disease has neither been successfully evoked in laboratory animals nor has the fungus been found as a saprophyte in water or in aquatic animals.244 The natural habitat of the fungus therefore remains speculative.
The histopathology of rhinosporidiosis in animals and humans is similar. Rhinosporidium seeberi is easily observed in haematoxylin and eosin-stained tissue sections as thick walled sporangia, measuring 250 to 300 μm in diameter in size at maturity. Sporangia are embedded in a stroma of fibrous or fibromyxoid tissue, covered by an epithelium (Figure 17). The epithelium overlying the polyps is hyperplastic, and neutrophils and eosinophils are part of the granulomatous reaction.342 Several developing sporangia, occurring as smaller spherules of varying sizes and containing globular and granular material and a nucleus in the cytoplasm, are also present. The maturing sporangia contain numerous endospores, 7 to 9 μm in diameter, which are formed by nuclear division and cytoplasmic cleavage. They are released into the surrounding tissues from the sporangium through a pore caused by rupture of the cell wall.
Released endospores are responsible for the progression of the disease. Developing sporangia in rhinosporidiosis may resemble those seen in several other mycoses, particularly adiaspiromycosis and coccidioidomycosis. Mature sporangia of R. seeberi are not only larger, but contain a distinct pore in their cell wall, which differentiate it from other similar fungi. Microscopic examination of serial tissue sections may be necessary to demonstrate these features. Mature spherules of coccidioidomycosis seldom measure more than 200 μm, while the walls of the much smaller adiaspores in adiospiromycosis are trilaminar and therefore thicker than the sporangium walls of R. seeberi. 82Thus, macroscopic examination of infected tissues followed by direct microscopy and histopathological examination are of particular value to confirm the diagnosis of rhinosporidiosis.
In animals, fairly aggressive surgical resection of polyps is apparently necessary to prevent lesions recurring. Accessible lesions are removed, wounds stitched and treated topically with 7 per cent tincture of iodine.24 Prognosis after surgery is generally favourable, although relapses are common.237
Subcutaneous zygomycosis
Subcutaneous zygomycosis includes infections caused by Basidiobolus ranarum, Drechsleria, and Conidiobolus spp. In animals, lesions resemble those caused by Pythium. They all belong to the order Entomophthorales of the phylum Zygomycota (Table 2). The pathology of equine disease caused by Basidiobolus, Conidiobolus and Pythium has been extensively reviewed.322, 324 Pythium infections, however, should not be included under zygomycosis, as these fungi belong to the phylum Oomycota. Subcutaneous infections caused by zygomycetes belonging to the order Mucorales are usually as a result of dissemination from another site with primary infections being rare. In one unusual case a mare had a granulomatous lesion on the left forelimb, resembling pythiosis, but which was caused by Lichtheimia (Absidia) corymbifera.169, 214, 285
Horses with B. ranarum infections have been reported in Indonesia and Australia.98, 325 Lesions are usually found on the upper body and not the extremities. Unlike in humans, in whom the lesions are non-ulcerative, ulcerating lesions containing pieces of fibrinonecrotic material and a serosanguineous discharge occur that are similar to pythiosis and subcutaneous hyalohyphomycosis.325 Basidiobolus ranarum is commonly found in the gut flora in amphibians feeding on insects and contaminated plant material. Although the fungus has not been isolated from animals in South Africa, a human case of subcutaneous zygomycosis, caused by B. ranarum, was reported in 1980 in a young child.488 It is possible that the infection was contracted from soil or contaminated plant material. Iodine treatment proved to be effective in this case.
Conidiobolus coronatus (Cost.) Batko infections (as confirmed by culture) have the highest prevalence in Africa, particularly in Nigeria.82 Granulomatous nodules in the nostrils and nasopharynx of horses caused by C. coronatus have been reported; the animals developing distortion of the nostrils and the lips.65, 161 Although the lesions recurred after surgical removal, metastasis did not occur, and some of the animals were euthanased due to their inability to eat. Similar lesions due to Conidiobolus incongruus infections were described in sheep in north-western New South Wales and south-western Queensland in Australia, where 700 sheep died as a result of the disease. Metastatic lesions were present in the regional lymph nodes of the face and in the thorax.76, 256
Histologically the lesions are similar except for the fact that members of the Entomophthorales rarely invade the vasculature, whereas members of the Mucorales do.407 On histology numerous broad (7 to 15μm) irregularly branching, sparsely septate or highly septate hyphae, surrounded by an eosinophilic precipitate (Splendore-Hoeppli phenomenon), are observed.
Media should be directly inoculated with blocks of infective tissue soon after collection. Media containing cycloheximide should not be used. Growth is usually observed within 48 hours. In the case of B. ranarum most isolates will grow well at 30 °C, but not all at 37 °C. On agar, numerous characteristic zygospores, 30 to 40 μm in diameter, with a ‘beak’ attachment, as well as chlamydospores and sporangiospores develop. Colonies of C. coronatus produce typical projective spores that give rise to a corona of secondary spores.65 Zygospores are rare in this species.407
Pythiosis
Synonyms: Swamp cancer, bursattee, ‘hyphomycosis destruens equi’, Florida horse leech, equine phycomycosis
Pythiosis is a granulomatous disease that affects primarily the skin of horses,79, 219, 240, 241, 357, 514 and occasionally cattle,422 cats and dogs152, 475 mainly in tropical and subtropical regions, worldwide.48, 99, 121, 321, 386 The causative agent, Pythium insidiosum (de Cock et al.), is a fungus-like protozoan belonging to the family Peronosporales of the order Oomycetes in the kingdom Protista.32, 64, 121, 313, 314 Although numerous species of the Peronosporales are important plant pathogens, only P. insidiosum has been implicated in human and animal disease. However, Pythium gracile was identified from skin nodules in a horse in Japan.220
Horses with cutaneous pythiosis usually have a history of an injury after standing in swampy water for long periods.79, 514 Pythium insidiosum, a parasite of aquatic plants found in stagnant water, produces motile zoospores that are able to enter damaged skin, encyst and produce germ tubes. This induces a severe pyogranulomatous response which gradually enlarges to about 450 mm in diameter. Lesions are pruritic and usually on the lower limbs and ventral abdomen, and are characterized by tumorous masses of necrotic and granulation tissue that may spread to involve bone.314, 322 They subsequently ulcerate and form fistulas that discharge bloody mucoid material. Yellow, coral-like ‘kunkers’ develop in the subcutaneous tissues, which consist of large irregular masses of cemented hyphae and sequestered necrotic tissue.79, 241 Chronically affected horses often become emaciated and lame. The disease can be confused with cutaneous habronemiasis, zygomycosis, excessive granulation tissue and neoplasia, such as sarcoid.
Histologically, masses of sparsely septated hyphae are seen. A definitive diagnosis of pythiosis can be made by immunohistochemical staining of tissue sections,79 or by culture. The fungus grows on most artificial media, but special media such as tap water agar need to be used to induce sporulation for identification.32, 444, 445 Pythium spp. are identified by the formation of characteristic biflagellate zoospores produced by oogonia and the specific antigens produced.315
Wide surgical excision followed by topical iodine treatment may be of use in early cases, but has, in most cases, proven to be ineffective if there is bone involvement.99, 514 It has been reported, however, that successful treatment of a mare with osseous involvement was achieved by, additionally, the regional administration of miconazole (1,2 mg/kg every 48 hours for four treatments). Surgical excision combined with immunotherapy using either a killed hyphal antigen323 or culture supernatant of P. insidosum 316has proven to be effective in the treatment of several cases of Pythiosis in horses. A clinical response is usually noted in 7 to 21 days with gradual healing.
Internal or systemic mycoses
Internal or systemic mycoses are those fungal infections that infect either one or more organs within the body. Most infections in animals are caused by plant saprophytes that have the ability to grow at 37 °C.333 In cattle and sheep, infection by members of the zygomycetes and Aspergillus spp. are most common, whereas horses are most commonly infected with Aspergillus spp.465 This is most probably related to the fact that these fungi are ubiquitous in nature, especially in decomposing plant material and are known to be fast growers and prolific producers of spores. Animals are subjected to massive numbers of fungal spores/conidia either when they eat mouldy feed or by inhalation of them when they are confined in a moist, warm environment, or housed on bedding of plant origin.465 Less common portals of entry are via skin lesions or the urogenital tract. The fungi usually spread from these sites via the lymphohaematogenous route to other organs in the body.
The severity of the infection can in some infections be related to the number of conidia inhaled or ingested, e.g. in histoplasmosis, as well as the susceptibility and immune status of the host. However, the increasing use of antimicrobials, immunosuppressive agents, including corticosteroids and cytotoxins, and other procedures that disrupt the normal flora result in lowered resistance, have led to a new spectrum of infections in both humans and animals. For example, internal mycoses that are secondary to severe necrotizing bacterial infections and lymphosarcoma are often mixed which complicates their clinical and histological diagnosis and therapeutic regimens.
In contrast to the pathogenic fungi such as Histoplasma capsulatum, many yeasts, Aspergillus spp. and zygomycotic fungi are considered secondary or opportunistic invaders and they should be demonstrated by direct microscopy and/or in histological sections of infected tissues as well as by culture in order to consider them as causative agents because they may occur as laboratory contaminants in mycological cultures. Therefore, it is important that clinicians, pathologists and mycologists share their results in order to determine whether the isolate is the causative agent. The various clinical syndromes of internal mycoses that may occur in livestock are summarized in Table 3.
Aspergillosis
Aspergillosis is a disease in humans and animals caused by members of the genus Aspergillus, family Moniliaceae, subdivision Deutromycotina. There are more than 190 species in the genus which are found on all types of organic debris. Only 20 taxa have been associated with disease in humans and animals with Aspergillus fumigatus Fresenius 1863, being responsible for most of the cases. Other pathogenic Aspergillus spp. commonly isolated from animals and humans include A. terreus Thom 1918, A. flavus Link, 1908, A. deflectus, A. niger, A. ochraceus, A. glaucus and A. clavatus and Emericella nidulans (Eidam) Vuillemin, 1927 (telomorph of Aspergillus nidulans). 407
Cutaneous and subcutaneous aspergillosis in animals are rare and have been reported only occasionally in horses, causing subcutaneous mycetoma-like granulomas in immunocompromised animals (see Hyalohyphomycosis, above).99, 251
Infections due to Aspergillus spp. have been reported in most animal species, especially birds, and is most probably the most common cause of opportunistic mycoses in animals.14 Aspergillus fumigatus is the most common fungus associated with disease in livestock. These infections are thought to result following ingestion or inhalation of an overwhelming number of conidia from mouldy hay or bedding.75, 413, 451, 465
In horses, aspergillosis may affect the nasal cavity, guttural pouch, lungs, eyes (see Keratomycoses, above), endometrium and placenta (see Mycotic abortion, below).191, 417, 465 Fungal invasion of the gastrointestinal tract is believed to be secondary to an ulcerative enterocolitis, especially that caused by Salmonella. 413, 451
Horses suffering from a nasal cavity infection usually show a scant, malodorous unilateral discharge and, on endoscopic examination of the cavity, the presence of fungal plaques. Phagocytosed fungi are revealed on cytology.191 Although A. fumigatus is the most common cause of nasal mycoses in horses, other fungal causes include Cryptococcus neoformans, Coccidioides immitis, and members of the zygomycetes, such as Conidiobolus coronatus 266should also be considered.
Guttural pouch mycosis of horses, first described in 1868 by Rivolta,408 is a rare but life-threatening disease caused by A. fumigatus or E. nidulans. 195As a result of the infection, a localized or more diffuse diphtheritic membrane of the roof of the medial compartment of the guttural pouch usually develops. Possible sequelae of a guttural pouch infection are the following: A per continuitatum spread to involve the cranial nerves (glossopharyngeal, hypoglossal and facial nerves) and blood vessels (internal and external carotid, and maxillary arteries) close to the lesion(s) which may result in thombosis and erosion of the branches of the carotid artery followed by embolic spread to the brain or rupture of the affected blood vessels. Severe epistaxis and death may follow.
Table 3 Most prevalent internal mycoses in livestock
| DISEASE | CAUSATIVE FUNGI | DOMESTIC ANIMALS AFFECTED | COMMON SITE OF INFECTION |
| Aspergillosis | Aspergillus fumigatus Fresenius 1863 A. flavus Link 1908 Aspergillus Micheli ex Link spp. | All | Nasal cavity, guttural pouches, lungs, gastrointestinal tract, and uterus |
| Blastomycosis | Blastomyces dermatitidis Gilchrist et Stokes 1898 | Dogs, cats, cattle and horses | Lung, skin, lymph nodes, eyes and skeleton |
| Candidiasis | Candida albicans [Robin] Berkhout 1923 Candida Berkhout spp. | All | Mouth, upper gastrointestinal tract, udder and uterus |
| Coccidiomycosis | Coccidioides immitis Rixford et Gilchrist 1896 | Dogs, cats, cattle and horses | Lungs and skin |
| Cryptococcosis | Cryptococcus neoformans (Sanfelice) Vuillemin 1901 | Cats, cattle, horses and goats | Lungs, brain and mammary gland |
| Histoplasmosis | Histoplasma capsulatum Darling 1906 | Dogs, cats, horses, cattle and pigs | Lungs, skin |
| Zygomycosis | Absidia corymbifera [Cohn] Saccardo. Mucor circinelloides v. Teigh. Rhizomucor pusillus [Lindt] Schipper Rhizopus oryzae Went & Prinsen Geerl. [=R. arrhizus Fischer] R. rhizopodoformis [Cohn] Schipper & Stalpers R. microsporus v. Teigh. | Cattle, pigs, goats, sheep and horses | Gastrointestinal tract, lungs, uterus |
| Alimentary mycoses | Aspergillus fumigatus Lichtheimia (Absidia) corymbifera Candidia spp. (especially Candida albicans) | Cattle, sheep, horses | Forestomachs or stomach |
| Mycotic abortion | Lichtheimia (Absidia) corymbifera Absidia v. Tieghem spp. Aspergillus fumigatus Aspergillus spp. Fusarium Link spp. Mortierella wolfii Mehrota & Baijal Mucor Micheli ex Fr. spp. Rhizopus Ehrenb. spp. Candida albicans Candida spp. | Cows, mares, ewes and nanny goats | Uterus |
| Mycotic mastitis | Candida spp. Cryptococcus neoformans Rhodoturula spp. Saccharomyces spp. Trichosporon. spp. Aspergillus spp. | Cows, ewes and nanny goats | Mammary gland |
Fistulae may form between the affected guttural pouch and the dorsal pharyngeal recess that may ultimately result in a mycotic encephalitis.196, 307 The diagnosis is made by the presence of one or more of the following clinical signs; a unilateral nasal discharge, epistaxis and associated cranial nerve dysfunction, such as dysphagia, laryngeal hemiplegia, facial paralysis and Horner’s syndrome, and the presence of yellow or dark green mycotic plaques on endoscopic examination.196, 392 The presence of pharyngeal paralysis is a poor prognostic sign.91
Pulmonary aspergillosis is a rare and often fatal condition in horses that usually follows an acute enterocolitis in immunocompromised animals or the administration of long-term broad-spectrum antibacterials or glucocorticoids.54, 239, 354, 451, 465 Clinical signs that are associated with mycotic pneumonia include fever, tachypnoea, tachycardia, weight loss and a nasal discharge. However, cases have been recorded where there was no clinical evidence of the presence of respiratory disease.239 A positive mycological culture of A. fumigatus or E. nidulans is difficult to interpret as these fungi may also be isolated from the airways of healthy horses. The diagnosis can, however, be confirmed by the examination of a lung biopsy or by the repeated isolation of the same fungus in the presence of an inflammatory reaction in the airways.54, 239, 465
In cattle, aspergillosis of the rumen, abomasum, small and large intestines,86, 87, 106 mesenteric lymph nodes (see Zygomycoses and alimentary tract mycoses, below),237 lungs,86, 87, 330, 485 mammary glands (see Mycotic mastitis, below),485 foetus and placenta (see Mycotic abortion, below), as well as disseminated infections have been reported.86-88, 106, 422
There are few reports of aspergillosis in sheep, goats and pigs. Pulmonary and gastrointestinal tract forms of the disease followed by dissemination of the fungus to organs such as the heart, liver, kidneys and regional lymph nodes have, however, been described in these species.15, 84, 186, 348, 363
Of interest are the unusually high numbers of captive adult black rhinoceros (Diceros bicornis) that contract fatal mycotic infections of the respiratory tract, the most common fungi involved being Aspergillus spp.498, 512 However, all these animals did have concurrent disease and many were on prolonged antimicrobial or corticosteroid therapy.512 Reports of aspergillosis in other animal species are rare. Respiratory tract infections have been described in a llama (Lama glama), deer (Cervus elanphus), American bison (Bison bison),139 and racing camels (Camelus dromedarius).137
In the lungs, pulmonary aspergillosis is characterized by the presence of multiple, discrete, greyish-white nodules, 1 to 10mm in diameter.243, 348 In acute and subacute lesions there is a necrogranulomatous reaction in which long, septate, dichotomously branching hyphae are found growing radially from a central point.14, 235, 248 Cavitation of these lesions may occur in which the characteristic sporulating conidiophores of Aspergillus may be observed. In chronic lesions the fungal hyphae are fewer than in the acute or subacute disease and are usually swollen and distorted, resembling the zygomycetes, and may be coated by an irregular layer of radiating, club-shaped, eosinophilic material (Splendore-Hoepli phenomenon). Such structures are often called asteroid bodies.235 Occasionally blood vessels are invaded by the fungi, causing thrombosis. Infection may metastasise too many organs in the body.106
Aspergillus species are cultured readily from tissue samples on most mycological media and species identification is based upon colony morphology and pigmentation, structure of the conidiophores and conidia, and the presence of other reproductive structures, such as cleistothecia.408 Indirect immunoperoxidase staining of Aspergillus in tissues231, 363 and an immunoblot analysis to detect antigen of A. fumigatus in serum have been described.196
The treatment of internal mycoses is dealt with briefly in the section devoted to it below.
Blastomycosis
Synonym: North American blastomycosis
Blastomyces dermatitidis Gilchrist & Stokes, 1898 (telomorph Ajellomyces dermatitidis), the causative agent of blastomycosis, is a thermally dimorphic fungus responsible for a generally chronic, multisystemic, granulomatous fungal infection that occurs occasionally in humans178, 277 and animals, especially dogs,27, 41, 206 occasionally cats320 and very rarely in other species including horses,11, 480 cattle,223, 295 sea lions, (Zalophus californianus),521 a polar bear, (Ursus maritimus),336 rhesus monkey (Macaca mulatta),506 bat (Rhinopoma hardwickei hardwickei Gray),390 deer,229 wolves,474 a ferret (Mustela furo),281and bottle-nose dolphin (Tursiops truncates). 78
Blastomycosis is endemic to the Mississippi, Missouri and Ohio River valleys, the eastern seaboard and the Great Lakes region of the USA and Canada, and the Canadian provinces of Quebec, Ontario and Manitoba.480, 496 In humans, the second-highest occurrence of blastomycosis outside North America is in Africa; only sporadic reports of this disease emanate from the rest of the world.42, 123, 159 Apart from North America, cases of B. dermatitidis in animals in other regions of the world are rare.
Although B. dermatitidis is not readily recovered from nature, it has been isolated along a river bank and in beaver lodges in Wisconsin, USA, where there is a low pH and high organic content in the soil.27, 28, 215, 263
In most cases the fungus enters the body following the inhalation of aerosolized conidia after contaminated soil has been disturbed. A subclinical, acute or chronic pneumonia, or disseminated disease may develop.27, 215 In dogs the most common sites for extrapulmonary dissemination are the superficial and tracheobronchial lymph nodes, skin, eyes (causing a uveitis) and bone, especially the apendicular skeleton,27, 53, 123 and less common sites include the central nervous system, urogenital tract and spleen.27 In horses both cutaneous and systemic disease have been reported. The latter is characterized by pyogranulomas in organs of the thorax and abdomen, such as liver, ascending colon, mesenteric lymph nodes and kidneys.11, 480 In cattle B. dermatitidis may cause nodular lesions in the lungs,295 skin223 and udder.500
On histopathological examination the lesions are pyogranulomatous in nature and the yeast cells are surrounded by a mixture of neutrophils, lymphocytes, macrophages, epithelioid cells and giant cells. Large, globose, budding yeast cells, 8 to 15μm in diameter, with thick double-contoured walls are found extracellularly or within giant cells or macrophages.496 A distinguishing feature of these budding yeasts is their broad-based attachment to the mother cell.123, 407, 496
For cultural isolation, duplicate sets of brain–heart infusion agar and SDA media are inoculated and incubated at 37 and 25°C, respectively. Fungal growth usually occurs within several days to two weeks. The identification of B. dermatitidis is confirmed by its conversion to the yeast form when grown at 37 °C, by DNA probe or by identification of exoantigen A.496 A radioimmune assay has been developed for detection of antibodies in dogs suffering from blastomycosis.262
The treatment of internal mycoses is dealt with below.
Candidiasis
Candida albicans (Robin) Berkhout 1923 is the most common cause of all forms of candidiasis in domestic and wild animals, humans and birds, but several other species such as C. tropicalis (Castellani) Berkhout 1923, C. parapsilosis (Ashford) Langeronet Talice 1932, C. krusei (Castellani) Berkhout 1923, C. famata and C. guilliermondii (Castellani) Langeron et Guerra 1938 may also be involved.454 They are commensals of the upper respiratory, gastrointestinal and lower genital tracts of humans and animals but often cause superficial infections of the skin and its appendages, the oral, pharyngeal and vaginal mucosa, lower gastrointestinal tract, lactating udder and uterus.454 Invasive candidiasis rarely occurs, and when it does it is usually in immunosuppressed hosts or those in which some sort of intestinal mucosal damage has occurred; it usually involves a Candida sp. other than C. albicans. The use of antibacterial agents in feed or poor hygiene predisposes animals to Candida infections.326
Candida species are thin-walled, small ovoid-shaped yeasts 4 to 6 μm in diameter that reproduce by budding. Although Candida species will grow on most artificial growth media, it is best to initially isolate them on SDA and SDA containing cycloheximide. Pasty, white- to cream-coloured, bacterial-like colonies develop after one to two days of incubation at either 25 or 37 °C. For the morphological identification of Candida spp., cornmeal agar containing 10 per cent Tween 80, incubated at 25°C for 72 hours, should be used, as it will allow the development of characteristic pseudohyphae, blastoconidia or chlamydoconidia. Occasionally, true hyphae may be observed. Carbohydrate assimilation and fermentation tests should also be done for species identification.407
Neonatal piglets, foals, calves, lambs and kids mainly suffer from candidiasis of the upper alimentary tract, with lesions occurring in the mucosa of the oesophagus and/or rumen, reticulum, omasum and abomasum in ruminants, or in the stomach of piglets and foals.109, 177, 326, 397, 454 Secondary spread to other organs such as the liver and lungs may occur.326
Macroscopically, multiple, white foci of varying size are noted in the affected organs in acute infections, whereas multiple granulomata are noted in chronic cases. Histologically, abscesses containing polymorphonuclear leukocytes, and intracapillary yeasts with different grades of budding and formation of pseudohyphae may be seen in acute infections. When the case has progressed to a chronic phase, classic granuloma formation with giant cells are the expected finding. Mycelial forms of the yeast also tend to predominate in chronic lesions.
The treatment of internal mycoses is given below.
Coccidioidomycosis
Synonyms: Valley fever, Pasadas’s disease, coccidioidal granulomata, desert rheumatism, Valley bumps and California disease
Infection of humans and animals with the thermally dimorphic fungus Coccidioides immitis Rixford et Gilchrist 1896 occurs primarily in endemic areas, usually semi-arid zones, in the southwestern USA, Mexico and Central and South America.407 The disease has not been recorded in Africa. Coccidioidomycosis is characterized by pyogranulomatous lesions containing characteristic spherules that in the localized disease occur predominantly in the lungs and associated lymph nodes. Dissemination of the infection may occur in some animals to other organs or tissues such as bones, eyes, heart, brain, liver and the udder.190, 276, 495, 519 Although the disease is common and usually clinically inapparent in wild rodents in these areas, the first case in domestic animals was reported in 1918 by Giltner176 who described lesions in the bronchial and mediastinal lymph nodes of cattle. Since then coccidioimycosis has been reported on rare occasions in dogs, cats,189 cattle,441 horses,276, 396, 495, 519 and llamas.156 It has also been reported in a variety of captive and free-ranging wild mammals, including sea mammals,143, 395, 400 non-human primates70, 220, 503 and carnivores.9, 95, 205 Non-human primates seem to be highly susceptible to the disease.
Outbreaks occur following dust storms, earthquakes, and earth excavation where aerosol dispersion of arthroconidia is favoured. They also tend to be seasonal, occurring after the rains have ceased, in late summer and autumn. Following the inhalation of the highly infectious arthroconidia of C. immitis they enter the lungs where they transform to spherules that undergo repeated internal divisions until each one is filled with thousands of endospores that are released to form new spherules. Their presence elicits an inflammatory response that initially consists primarily of neutrophils, but later macrophages, lymphocytes and plasma cells predominate. Clinical signs of respiratory disease usually occur 7 to 21 days following exposure. The portal of entry is rarely the damaged skin but when it is localized lesions develop. In most animals infections are clinically inapparent; the disease either being detected serologically or its lesions encountered when stock are slaughtered in abattoirs.190, 407
The prognosis of coccidioimycosis in animals suffering from localized lesions is good, but in the disseminated disease it is poor, with relapses being common after the cessaton of treatment.190, 396, 519
The diagnosis of coccidioimycosis can be confirmed by cytological or histologic visualization of large (10 to 80 μm), round, double-walled spherules containing numerous endospores. Although the fungus can be seen in unstained tissue preparations in 10 per cent KOH, and in those stained with routine histological stains, the use of PAS will optimize its visualization. The organism is easily cultured on common fungal media, including those containing cycloheximide, and on blood agar. It is advisable to submit specimens for diagnostic purposes to laboratories that have biosafety facilities since the organism is highly infectious; as small a number as 10 arthroconidia are able to produce disease in humans and animals.407 Although many serological tests have been used to diagnose the disease the complement fixation test is the most reliable.190 The treatment of internal mycoses is dealt with below.
Cryptococcosis
Cryptococcosis is a sporadic multisystemic mycosis of animals and humans, which is caused by the opportunistic yeast Cryptococcus neoformans (Sanfelice) Vuillemin 1901. It has been reported in a variety of animal species including domestic cats,6, 154, 173, 225 dogs,225 horses,35, 37, 59, 83, 89, 102, 126, 207, 222, 360, 365, 405, 410, 462, 472, 502 goats,36 sheep,204, 515 cattle,112 water buffalo,389 cheetah (Acinonyx jubatus), 46, 56, 371koalas (Phascolarctos cinereus),460peccaries (Tayassu tajacu), 204and anacondas (Eunectes murinus). 309Humans and domestic cats are particularly susceptible to infections, whereas birds and reptiles are rarely affected.46, 225 In a report from Australia, C. neoformans was found in 7 and 14 per cent of nasal flushes taken from clinically healthy cats and dogs respectively.296
Aetiology
Although there are about 40 species of the genus Cryptococcus,364 only C. neoformans var.neoformans (serotype D), C. neoformans var. grubii (serotype A) and C. neoformans var. gattii (serotypes B and C) have been reported to cause disease.158, 272 Cryptococcus neoformans is a yeast that is spherical to oval, 5 to 15μm in diameter, and characterized by a thick heteropolysaccharide capsule, 1 to 30 μm thick.173 In animal tissue it divides asexually as blastoconidia with narrow-based budding.173 The sexual stages of C. neoformans var. neoformans and C. neoformans var. gattii are only found in nature and are known as Filobasidiella neoformans Kwong-Chung272 and Filobasidiella bacillispora Kwong- Chung274 respectively.
Cryptococcus neoformans is easily cultured on most standard mycological media at either 25 or 37 °C. They should not, however, be cultured on media containing cycloheximide, as some strains are sensitive to it. On SDA they take between three to five days to grow, forming large, mucoid, and yellow- to cream-coloured colonies that on longer incubation flow over the medium and show sectoring.407 They are further characterized by carbon assimilation tests, and their ability to produce urease and to assimilate D-proline.134, 407 A selective medium incorporating bird niger seeds (Guizotia abyssionica) and antibiotics can be used to isolate the yeast from heavily contaminated samples.442 On this medium, C. neoformans forms brown colonies whereas all the other cryptococci fail to do so.
Epidemiology
Cryptococcus neoformans var. neoformans and C. neoformans var. grubii occurs worldwide whereas C. neoformans var. gattii has been largely restricted to countries with a tropical climate.36, 77, 138, 278, 437, 458
Varieties of Cryptococcus are saprophytic and are found in decomposing wood, organically rich soils, droppings of domestic pigeons and other bird species, and bat guano.3, 278, 416 Cryptococcus neoformans is viable in bird guano for up to two years; ultraviolet light and desiccation reduce its viability.173 Cryptococcus does not divide in the intestinal tract of birds as certain intestinal bacteria, such as Pseudomonas aeruginosa and Bacillus subtilis, and protozoa would appear to be inhibitory.404
Many varieties of trees may harbour the yeasts.279 Cryptococcus neoformans var. gatti, have been associated with the period of flowering of Eucalyptus terecornis (forest red gum) and E. camaldulensis (river red gum) in Australia, India, Columbia and southern California,138, 367 the pottery tree (Moquilea tomentos) in Brazil,278 and the resin tree (Ozoroa paniculosa subsp. paniculosa) in South Africa.371 It seems that the growth of C. neoformans is not related to the tree species but rather that it fills an ecological niche where there is rotting wood.278, 437 Rotting wood in tree hollows and in the soil around these trees is particularly rich in organisms. In the southern hemisphere the numbers of these yeasts that can be isolated from the environment peaks in September and October.138, 278
Pathogenesis, clinical signs and pathology
Infection usually occurs via the respiratory tract, presumably by the inhalation of contaminated dust.6 In the environment, Cryptococcus is smaller than in animal tissues and has a thin capsule and is thus able to penetrate deep into the respiratory tract.225 Other portals of entry include the skin, eyes and udder following direct inoculation, and the gastrointestinal tract. Intramammary installation of contaminated antibiotics may be responsible for outbreaks of mastitis in dairy herds.433 Direct transmission between animals has not been reported.154, 173 Once in the body, cryptococci enlarge their capsules and divide. The capsule is an important virulence determinant in that it is antiphagocytic in the initial phase of infection and is also anti-inflammatory.280 In addition, intravascular cryptococcal antigens prevent leukocyte migration.225 Increased virulence has also been found in those strains that produce phospholipases which are thought to interfere with membrane intregrity.421 Cell-mediated immune responses are considered to be important in the prevention of infection and elimination of cryptococcal antigens.46
Immunocompromised humans and animals are more susceptible to cryptococcosis.327, 437 Spread of infection in tissues may occur by direct extension or haematogenously, the latter occurring particularly from lesions in the lungs or gastrointestinal tract and results in systemic disease.225 Although all organs of the body may be involved, the central nervous system is most commonly affected.6 The organism is, in addition, a cause of mastitis in dairy cows.112, 221, 382 It usually takes three weeks to several months after infection before clinical signs of cryptococcosis are manifested. The clinical signs will vary according to the organ or tissue affected.
In the lungs lesions vary in appearance from being gelatinous or mucoid masses or firm and rubbery nodules. Lesions in the meninges can either be diffuse or localized. In diffuse lesions the meninges are hyperaemic and the subarachnoid space is distended by a greyish, mucinous exudate. Lesions within the brain are usually deep and consist of large mucoid cysts. Lesions in the viscera can vary from being microscopic in size to large gelatinous masses resembling lipomas or myxomas.407 Small granulomatous lesions are present in chronic cases. Cows suffering from cryptococcal mastitis show severe swelling and increased consistency of one or more quarters, and the milk is grey, viscid and mucoid.221, 382 The regional lymph nodes are also affected.
In the acute disease myxoid degeneration of the affected tissue occurs. It resembles a gelatinous mass and very little evidence of inflammation is noted on microscopic examination of formalin-fixed specimens. Numerous spherical, capsulated yeast cells are found in this mass (Figure 18). In the chronic disease the lesions are of a pyogranulomatous nature and consist of macrophages with foamy cytoplasm, neutrophils, lymphocytes, plasma cells and fibroblasts surrounding few cryptococcal organisms.46, 47, 56, 154 Epithelioid and giant cells and areas of caseation are less common than those caused by other fungi. In healed lesions very few usually disintegrated yeast cells are present in the granulomas. Although many stains can be used for the detection of these yeasts in fixed specimens, the best are PAS and Mayer’s mucicarmine, the latter staining the capsule pink.46, 89
The diagnosis of cryptococcosis is based upon the presence of typical encapsulated yeasts, 20 to 30μm in diameter, on cytological evaluation of fluid and fine needle aspirates of affected tissues or cerebral spinal fluid (CSF). New methylene blue or India ink staining of such samples is usually the best method to observe these yeasts,516 but they may also be visualized using Romanosky-type stains.46 Repeated sampling of the CSF may be necessary in animals suffering from neurological disease as the organism may be trapped in granulomas within the leptomeninges.46, 89 A latex agglutination test can be used to detect cryptococcal antigen in cerebral spinal fluid or urine.154, 311
The treatment of internal mycoses is dealt with below.
Histoplasmosis
Histoplasma capsulatum Darling 1906, telemorph. Ajellomyces capsulatus (Kwong-Chung) McGinnis et Katz 1979, the cause of histoplasmosis, is morphologically similar in tissues to H. capsulatum var. farciminosum, the cause of epizootic lymphangitis in equids, and H. capsulatum var. duboisii Drouhet 1957, the cause of African histoplasmosis in humans. Histoplasmosis, although rare, is more common in humans, dogs and cats in endemic areas, with disease rarely being reported in other animal species.92, 93 Large parts of North America, such as the Mississippi, Missouri and Ohio River valleys in the USA and south-western and eastern Ontario, metropolitan Montreal, and the Ottawa and St. Lawrence River valleys in Canada are endemic, whereas on other continents the disease tends to be sporadic.407 Apart from humans, dogs and cats, histoplasmosis has also been recorded in horses,101, 242 cattle,317 pigs,317 several species of bats,15 dromedary camels,81 and a wide variety of terrestrial and sea mammals.15, 39, 40, 108, 157, 201, 230, 387, 389, 406, 427, 508, 513
This thermally dimorphic fungus is a soil saprophyte in its mycelial phase. It prefers to grow in moist soil with a high nitrogen content and warm humid conditions and is generally associated with the guano of bats and birds, especially chickens and starlings. In many outbreaks of disease the source of infection can either be traced back to bat caves or where soil has been evacuated near sites where there has been a high concentration of bird droppings.101, 108, 201, 407, 427 Histoplasmosis in animals and humans is not contagious but may occur in more than one patient sharing the same environment.101
Infection occurs when humans or animals inhale or, less commonly, ingest large numbers of infectious microconidia that transform in the lungs or intestines to the more virulent but non-infectious yeast phase.100, 255 The magnitude of the fungal inoculum and the competence of the immune system of the host determine to a large extent whether the infection will result in a focal or disseminate infection.510 Yeast cells in macrophages may be disseminated throughout the body, but particularly to organs or tissues rich in phagocytic cells such as lymph nodes, the spleen, adrenal glands, liver, and bone marrow.92
Most infections tend to be clinically inapparent with only a few animals ever showing evidence of disease. For example, more than 50 per cent of healthy horses in some endemic areas tested positive with the histoplasmin skin test.165, 298, 510
Histoplasmosis primarily manifests as pulmonary, enteric or disseminated syndromes. The clinical signs will depend on the presenting syndrome and may include weight loss, depression, fever, icterus, dyspnoea, diarrhoea, dehydration and abortion.101, 242, 467
The principal histological lesion in histoplasmosis is an extensive proliferation of macrophages and epithelioid cells. In tissues, numerous organisms (2 to 4 μm in diameter) are usually present intracellularly in macrophages. They are difficult to detect in tissue sections stained with HE but stain well with PAS and GMS.157, 389
The diagnosis of histoplasmosis in animals is made by identification of the causative fungus in cells of the monocyte- macrophage series in smears of aspirated material and tissue sections of biopsy specimens, fungal culture, histoplasmin skin test and serological tests, such as the gel-immunodiffusion test.94, 101, 242, 269, 496 Serological tests, however, are rarely of assistance in confirming a case of histoplasmosis in animals as a high number of false negatives occur.511
Amophotericin B is the antifungal drug of choice for the treatment of histoplasmosis in many animal species including horses.101 The constraints in the use of this drug is that it is expensive, should be administered intravenously and is potentially nephrotoxic.
Zygomycoses and alimentary tract mycoses in ruminants and pigs
Zygomycoses includes fungal infections caused by fungi of the order Mucorales, (genera Lichtheimia (Absidia), Mortierella, Mucor, and Rhizopus), and the order Entomophthorales (genera Basidiobolus and Conidiobolus), of the phyllum Zygomycota. Both the terms mucormycosis and phycomycosis for this group of infections are no longer used due to the restriction that the term mucormycosis places on agents of the Entomophthorales and the reclassification of the Phycomycetes as Zygomycota.
Only infections caused by fungi in the order Mucorales are discussed here, while mycotic abortion, also caused by some zygomycotic fungi, is dealt with under miscellaneous fungal diseases, and infections due to fungi of the Entomophthorales are discussed under subcutaneous zygomycosis.
The most common route of infection is the gastrointestinal tract and rarely the respiratory tract.127, 235, 236 Mycotic lymphadenitis that resembles tuberculous lesions, usually caused by members of the Mucorales, is occasionally encountered in the mesenteric lymph nodes of cattle.127, 236
Haematogenous spread may occur and may result in fungal embolism to the liver,87, 235 lungs88 and kidneys.235
Pigs and cattle most often contract zygomycosis which generally presents as a chronic granulomatous lymphangitis, disseminate disease, primary respiratory or gastrointestinal disease, or abortion.127, 232, 347, 397, 430 In cattle the gastrointestinal form of the zygomycoses is the most common worldwide.87, 235 Infection of the forestomachs and/or abomasum of cattle is the most frequent form encountered. It is most commonly caused by members of the Mucorales, particularly Lichtheimia (Absidia) corymbifera (Cohn) Saccardo, but Aspergillus spp., mainly A. fumigatus, may also be responsible.87, 235 Concurrent infections of Aspergillus spp., members of the Mucorales, yeasts (e.g. Candida albicans) and bacteria may occur.87 Ruminal acidosis, ruminal atony, mastitis, ‘downer cow syndrome’, parturition, concurrent bacterial infections (particularly mastitis and endometritis), treatment with antimicrobials and stress may predispose to alimentary tract mycoses.86-88, 235, 466 Affected animals are usually in poor bodily condition and may show inappetance, fever, atony of the rumen, melaena and foul-smelling diarrhoeic faeces.235 The necrotic lesions of mycotic rumenitis often result in death of the affected animal.
Abomasal ulceration in calves and ulcerative gastritis in pigs due to zygomacetous fungi have also been described.133, 177, 397, 420, 501 Forestomach and abomasal infections have been induced in sheep with ruminal acidosis by oral administration of the conidia of L (A.) corymbifera. 75, 232
In adult cattle the lesions of alimentary tract mycoses may occur in the rumen, omasum, reticulum, omasoabomasal orifice and abomasum.86, 87, 235 In calves less than 30 days of age the abomasum and intestines are more commonly affected.14 Lesions are either single or multiple small (from 30 mm in diameter), reddish ulcers or large well-demarcated, circular necrotizing ulcers, or infarcts often involving the entire thickness of the wall (Figure 19).75, 232
On histopathological examination thrombosis of blood vessels in the submucosa is common; this results in infarction and coagulative necrosis of overlying tissues.87, 466
Histologically, Mucor, Rhizopus and Lichtheimia (Absidia) spp. are indistinguishable. Their hyphae are multinucleated, broad, very sparsely septated and irregularly branched, and are associated with or without a Splendore-Hoeppli phenomenon (Figure 20). The hyphae of the aspergilli are thin, septate, uniform and often show dichotomous branching; they provoke a less pronounced inflammatory reaction than the zygomycetes.87 The diagnosis of zygomycosis is based upon the presence of hyphae in tissues with lesions. To visualize hyphae in tissues either PAS or GMS stains are generally used. Fungal hyphae can also be observed in tissues by the use of indirect fluorescent antibody staining techniques.75
Zygomycotic fungi are strictly aerobic and do not survive in unfrozen tissue specimens for even short periods of time.407 Maceration of samples before culturing makes hyphae non-viable due to cytoplasmic leakage, as they are coenocytic (sparsely septated). Large biopsy specimens should be cultured directly after they have been taken.
No specific therapy for forestomach mycoses has been established: the prognosis of animals suffering from mycotic infections of the forestomach is grave and emergency slaughter should be considered.466
Miscellaneous conditions
Mycotic abortion
Sporadic abortion in domestic animals, generally in the last trimester of gestation, and stillbirth may be due to opportunistic fungi belonging to the genera Lichtheimia (Absidia), Aspergillus, Candida, Fusarium, Mucor, Mortierella, Rhizomucor and Rhizopus and pathogenic fungi belonging to the genera Cryptococcus, Coccidioides and Histoplasma. 14, 31, 99, 234, 365, 467Cattle and horses and, less commonly, sheep, goats and pigs are affected.12, 14, 55, 155, 175, 226, 261, 265, 300, 467, 476, 479
On average, mycotic abortion make up 5 per cent of all cases of abortion in cattle226, 368, 507 and 5 to 10 per cent of abortion in horses.175 It also accounts for approximately one-third of cases of infectious placentitis in horses.467
Aspergillus spp., especially A. fumigatus, and occasionally A. terreus, A. flavus, Emericella (Aspergillus) nidulans and E. rugulosus account for about 75 per cent of mycotic abortions in animals.155, 209, 210, 216, 265, 300, 507 Members of the order Mucorales, including Mortierella wolfii Coemans 1863, Mucor pusillus, Lichtheimia (Absidia) corymbifera (Cohn) Saccardo et Trotter 1912,369Lichtheimia (Absidia) ramose, 169 Rhizopus spp., and Rhizomucor spp., account for about 20 per cent of cases,216, 238, 300, 439 and the remainder is made up by a wide range of filamentous fungi and yeasts which include Pseudallescheria boydii (Negroni et Fischer) McGinnis, Padhye et Ajello 1981, Talaromyces spp., Lecythosphora hoffmannii (van Beyma) Gams et McGinnis 1983, Curvularia geniculata (Tracey et Earle) Boedijn, Exophilia jeanselmei (Langeron) McGinnis et Padhye 1977, Exophilia dermatitidis (Kano) de Hoog 1977, Hendersonula torloidea Nattrass 1932, Acremonium kiliense (Grütz) Gams 1971, Candida guilliermondii, C. albicans, C. krusei, C. tropicalis, C. parapisilosis, and C. glabrata (Anderson) Meyer et Yarrow 1978.128, 155, 216, 226, 234, 261, 265 Up to 10 per cent of mycotic abortions may be caused by more than one fungal species.216, 265 Rarely, true fungal pathogens such as Histoplasma capsulatum, Cryptococcus neoformans and Coccidioides immitis cause abortion or stillbirths in animals.50, 276, 365, 424
Although it is not possible to associate a predisposing factor in all cases of mycotic abortion, it would seem that animals maintained in sheds or stables and fed on hay or silage are more likely to develop a mycotic placentitis.300, 507 A correlation between poorly prepared and stored hay (often harbouring Aspergillus spp.) and silage (often harbouring M. wolfii), or other fungal-infected feeds, and abortions has been reported.99 This will account for the fact that A. fumigatus and M. wolfii are most common causes of mycotic abortions of cattle.265, 300, 347, 509 Prolonged antimicrobial or steroid therapy and periods of high rainfall may also apparently predispose animals to opportunistic fungal infections.216
In horses, mycotic abortions are more common in multiparous mares.293 Stress caused by systemic infections and dietary changes, especially changes to a higher plane of nutrition, may result in a relaxed cervix in mares and thus in secondary opportunistic fungal infections of the chorioallantois.467 Unlike horses, fungal invasion via the cervix does not seem to occur in cattle.155 Spread to the foetal membranes may also occur haematogenously from another point of invasion such as ulceration of the forestomachs in cattle155, 209 liver,155, 422 or lungs.209 Vasculitis or toxic factors produced by the fungus results in necrosis of the foetal membranes.209 The degree of damage to the placenta determines whether or not abortion will occur.
Most mycotic abortions in cows and mares occur during the third trimester of gestation,50, 55, 226, 507 or some weeks after the ingestion of contaminated feed.99 In all cases there is a locally extensive, necrotizing placentitis.155 The affected part(s) of the chorioallantois is thickened and leathery and usually contains a thick, tenacious mucoid exudate.467 Most foetuses appear normal, although, in about a tenth of affected foetuses fungal invasion and localized lesions may be evident in the skin,55, 210, 293 lungs,55, 258, 300 liver,293 heart155 and brain.340 The foetus may appear dehydrated, undersized and emaciated: these changes are thought to be as a result of placental insufficiency.293 In cows, up to 60 per cent of affected foetal membranes may be retained.210 In most cases the subsequent fertility is not affected; in a few animals permanent infertility may follow severe damage to the endometrium.99
Microscopic lesions are characterized by multifocal coagulative necrosis of the endometrium and foetal membranes,209, 238, 300 accompanied by a necrotizing vasculitis,210, 300 and infiltrations of neutrophils and mononuclear cells.155, 209 Fungal hyphae or yeasts may be present in the necrotic areas.155, 238, 300
Specimens for diagnostic purposes should include both fresh and formalin-preserved foetal membranes and affected foetal tissues, and stomach content.155 Fungal hyphae may also be observed cytologically or may be cultured from uterine excretions293 and foetal membranes and organs.55, 332 Periodic acid-Schiff or GMS staining of tissue sections is essential to visualize the fungi. Immunofluorescence staining of tissues can be used to identify the genus of the fungus involved.234
Mycotic endometritis
Fungal endometritis, caused primarily by opportunistic Candida spp. and less often by other yeasts and filamentous fungi, is relatively common in mares but rare in other domestic animals.370, 385 Opportunistic fungi can cause between 1 to 9 per cent of cases of endometritis in mares.114, 385 Older mares that have a mechanical or immunological inability to protect their uteri from microbial invasion or have been subjected to repeated courses of intrauterine antimicrobial therapy or reproductive manipulations, such as progesterone therapy, are more susceptible to fungal infection of the endometrium.55, 114, 379, 385 It is thought that the leakage of intrauterine antimicrobials can adversely affect the normal bacterial microflora, leading to fungal overgrowth in the vagina with subsequent invasion of the uterus.114 Other factors that may contribute to a fungal infection include high numbers of fungi present in the environment and the presence of necrotic foci in the uterus due to trauma, infection or ischaemia.114 Fungi invade the uterus via the cervix, where they induce an acute superficial inflammation55, 160 which in most cases resolve within three to four weeks.55 Some mares, however, will develop a persistent active superficial endometritis, resulting in infertility that does not respond well to therapy.55, 160 Many of these mares have a concurrent bacterial infection, the most common being that caused by Pseudomonas aeroginosa.4, 385
Persistent endometritis is characterized microscopically by the accumulation of neutrophils in the stratum compactum, mononuclear cells in both the stratum compactum and stratum spinosum, and in some cases large accumulations of eosinophils in the stratum compactum and superficial layers of the stratum spinosum. 55 Fungi are found either adherent to the luminal surface, within endometrial gland lumens or endometrium.160, 385 The infection in most cases, however, is superficial as invasive fungal elements are rare.55, 160
Fungal endometritis is diagnosed by the microscopic visualization of fungal hyphae or yeasts associated with the presence of inflammatory cells in uterine cytology or biopsies and the culture of the fungus from two or more consecutive endometrial cultures.385 To prevent the introduction of fungi resident on the external genitalia during the procedures of specimen collection, it is important to work aseptically and to use guarded uterine swabs. Uterine flushes may also be used.
Before initiating therapy, predisposing factors such as poor anatomical conformation should be corrected.114 Treatment of acute cases usually involves flushing of the uterus using three daily intrauterine infusions of 250 ml of 0,5 per cent providone iodine solution or 2 per cent vinegar solution.55, 114 Although not registered for use in horses, and the dosages are extrapolated, a daily post-lavage intrauterine installation of antifungal vaginal suppositories used for the treatment of candidiasis in women, containing clotrimazole (500 to 700 mg), nystatin (0,5 to 2,5million units), amphotericin B (100 to 200 mg) or fluconazole 100 mg,114 have been used successfully in the treatment of mycotic endometritis in mares.55 In chronic cases parenteral administration of nystatin for yeast infections and amphotericin B for filamentous fungal infections can be used.385 In longstanding cases, mares are usually unresponsive to therapy and it is preferable no longer to use them for breeding purposes.
Mycotic mastitis
In cows, ewes and nanny goats, mycotic mastitis is predominantly caused by Candida spp., and occasionally by Cryptococcus neoformans (see Cryptococcosis above), Rhodotorula spp., Saccharomyces spp., Trichosporon spp. and Aspergillus.25, 103, 105, 174, 182, 212, 221, 233, 297, 484 Depending on managemental practices, fungi can be isolated from up to 10 per cent of milk samples with high somatic cell counts.142, 333, 484 Mammary infections in animals due to yeasts and filamentous fungi are believed to be primarily associated with the use of contaminated intramammary medicines, or re-used syringes and teat cannulae, and poor udder hygiene.142, 182, 260, 363 Infection is via the teat canal, since it is only by this route that a large enough infective dose can be introduced for mastitis to develop.141, 221, 233, 260 It can easily spread through a herd as a result of contaminated milking machines, especially teat liners and towels, or contaminated drugs that are applied by the intramammary route or multiple dose vials.140, 182, 260 Fungal infections usually occur secondary to initial damage to udder parenchyma by bacteria.260 As a result, fungi are often isolated in association with bacteria such as Streptococcus and Staphylococcus spp. and from the milk of cows in the treatment phase of Streptococcus agalactiae and Staphylococcus aureus control programmes.25, 140, 142, 174, 182 Both sporadic cases or outbreaks affecting between 7 and 51 per cent of a herd may occur.182
Mastitis can be acute, subacute, chronic or subclinical. Infections with Candida spp. tend to be self-limiting, with clinical cure occurring in two to four weeks, although yeasts can be shed for up to eight months after infection.141, 260 Mastitis caused by Aspergillus spp., Trichosporon spp. and C. neoformans are usually more severe and of a chronic nature.182, 260, 363, 484
Aspergillus spp. infections may result in acute mastitis characterized by haemorrhages in and necrosis of the parenchyma, or in chronic mastitis marked by disseminated nodules throughout the parenchyma that are often surrounded by fibrous capsules.233, 363 Fungal hyphae are usually present in the exudate and nodules.233, 235, 485 The supramammary lymph nodes are often involved and haematogenous dissemination of the fungi, resulting in a systemic mycosis, may occur.236, 363
Fungal mastitis should be suspected when there is a history of a worsening mastitis following the infusion of intramammary antimicrobials or no response to antimicrobial therapy.484 Ideally, the diagnosis of mycotic mastitis should be based upon repeated isolation of the same fungus and demonstration of the organism in udder tissue or milk.233
The single most important factor in the treatment of mycotic mastitis is to milk out regularly and to cease antibacterial therapy.484 The use of antimycotic preparations is controversial, as mastitis due to Candida often heals spontaneously, many intramammary preparations do not penetrate the granulomas and some of the antimycotic drugs, such as natamycin and nystatin, are irritant to udder tissue.260, 484 Thus treatment should be reserved for refractory cases. Antimycotics which have been used with success include intramammary instillation of nystatin, miconazole and ketoconazole.140 However, infections with C. neoformans and Aspergillus spp. do not heal spontaneously and treatment is rarely successful.233, 353, 484 It is better to cull animals that do not recover or exhibit chronic mycotic mastitis.260
The observation of proper sanitary procedures should be effective in preventing most cases of mycotic mastitis.
Treatment of internal mycoses
Due to the paucity of clinical trials, there are currently, worldwide, very few antifungal agents registered for the treatment of internal mycoses in animals. The newer agents when administered for an extended period, especially to animals with a large body mass, are prohibitively expensive.154, 282 Treatment is therefore generally reserved for valuable animals where there is a reasonable chance of recovery.
The treatment of fungal infections has improved considerably over the last 20 years with the advent of new or improved antifungal drugs, including the azole-derivative agents such as ketoconazole, itraconazole and fluconazole, and polyenes such as amphotericin B.189, 351, 403 Clinical experience with these drugs, especially in the treatment of human mycoses, has led to a new era in the management of fungal diseases, due to their efficacy and lower risk of side effects. The triazolic imidazole, itraconzole, has a broad spectrum antimycotic activity and has successfully been used in the treatment of superficial and systemic mycoses that are not life threatening in humans and animals.351, 403 Horses treated topically with natamycin (25mg/100 ml water) or as a powder via an endoscopic catheter recovered well from nasal aspergillosis and guttural pouch mycoses.91, 191 Similar cases in horses treated parentally with itraconazole (3 mg/kg per os twice) also gave good results.266 Adjunct therapy has been the unilateral ligation of branches of the carotid and occipital arteries to prevent fatal haemorrhage.91 Amphotericin B has always been and still is the treatment of choice in severe cases of histoplasmosis, blastomycosis and some other mycoses in humans, horses, dogs and cats.270, 292 Recent studies indicate that itraconazole can be used as a possible alternative treatment for all forms of histoplasmosis and blastomycosis with minimal or no side-effects.42, 108, 351 In cases where there is neurological involvement, such as cryptococcosis, fluconazole is considered to be the treatment of choice as it has excellent penetrative abilities.179, 478
There is still, however, a place for treatment with either organic or inorganic iodides, which has led to the recovery of a horse suffering from guttural pouch mycosis,392 and one suffering from granulomatous tracheitis caused by Conidiobolus coronatus. 463The latter horse was treated with 44 mg/kg sodium iodide administered intravenously once a day for seven days and thereafter ethylene diamine dihydroiodide 1,3 mg/kg per os twice a day for one year.463 The latter treatment was then reduced to once per week for a further six months.
References
- ABID, H. M., WALTER, P. A. & LITCHFIELD, H., 1987. Chromomycosis in a horse. Journal of the American Veterinary Medical Association, 191, 711-712.
- ABOU-GABAL, M., AL-BANA, A. & EL-GENDI, M., 1982. The use of fluorescent antibody technique for the diagnosis of equine histoplasmosis ‘epizootic lymphangitis. Mykosen, 25, 683-688.
- ABOU-GABAL, M. & ATRIA, M., 1978. The study of the role of pigeons in the dissemination of Cryptococcus neoformans in nature. Sabouradia, 16, 3-8.
- ABOU-GABAL, M., HOGLE, R. M. & WEST, J. K., 1977. Pyometra in a mare caused by Candida rugosa. Journal of the American Veterinary Medical Association, 170, 177-178.
- ABOU-GABAL, M. & KHALIFA, K., 1983. Study on the immune response and serological diagnosis of equine histoplasmosis ‘epizootic lymphangitis. Mykosen, 26, 89-93.
- ACKERMAN, L., 1988. Feline cryptococcocus. The Compendium on Continuing Education for the Practicing Veterinarian, 10, 121-126.
- ADAM, J. E., DION, W. M. & REILLY, S., 1982. Sporotrichosis due to contact with contaminated sphagnum moss. Canadian Medical Association Journal, 126, 1071-1073.
- ADAMSON, H. G., 1911. Sporotrichosis. In: ALLBUTT, SIR C. & ROLLESTON, H.D., (eds). A System of Medicine. 2nd edn. Vol. IX. Diseases of the Skin. General Index. London: MacMillan and Company, Ltd, 525-531.
- ADASKA, J. M., 1999. Peritoneal coccidioidomycosis in a mountain lion in California. Journal of Wildlife Diseases, 35, 75-77.
- ADDO, P. B., 1980. A review of epizootic lymphangitis and ulcerative lymphangitis in Nigeria: Misnomer or misdiagnosis. Bulletin of Animal Health and Production in Africa, 28
- ADEYEFA, C. A. O., 1992. Survey of zoophilic dermatophytes from symptomatic and asymptomatic horses in Nigeria. Bulletin of Animal Health and Production in Africa, 40, 219-223.
- AGERHOLM, J. S., WILLADSEN, C. M., NIELSEN, T. K., GIESE, S. B., HOLM, E., JENSEN, L. & AGGER, J. F., 1997. Diagnostic studies of abortion in Danish dairy herds. Journal of Veterinary Medicine Series A, 44, 551-558.
- AHRENS, J., GRAYBILL, J. R., ABISHAWL, A., TIO, F. O. & RINALDI, M. G., 1989. Experimental murine chromomycosis mimicking chronic progressive human disease. American Journal of Tropical Medicine and Hygiene, 40, 651-658.
- AINSWORTH, G. C. & AUSTWICK, P. K. C., 1955. A survey of animal mycoses in Britain: General aspects. The Veterinary Record, 67, 88-97.
- AINSWORTH, G. C. & AUSTWICK, P. K. C., 1973. Fungal Diseases of Animals. 2nd Edition. Slough. Commonwealth Agricultural Bureau.
- AJELLO, L., 1986. Hyalohyphomycosis and phaeohyphomycosis: Two global disease entities of public health importance. European Journal of Epidemiology, 2, 243-251.
- AJELLO, L., GEORG, L. K., STEIGBIGEL, R. T. & WANG, C. J. K., 1974. A case of phaeohyphomycosis caused by a new species of Phialophora. Mycologia, 66, 490-498.
- AJELLO, L., PADHYE, A. A. & PAYNE, M., 1980. Phaeohyphomycosis in a dog caused by Pseudomicrodochium suttonii sp. nov. Mycotaxon, 12, 131-136.
- AJELLO, L., WALKER, W. W., DUNGWORTH, D. L. & BRUMFIELD, G. L., 1961. Isolation of Nocardia brasiliensis from a cat. Journal of the American Veterinary Medical Association, 136, 370-376.
- AKÜN, R., 1953. Eine Chromoblastomycosis-ahnliche Pilzkrankheit beim Pferde. Zentralblatt für Algemeine Pathologie, 9, 294-297.
- AL-ANI, F. K., 1999. Epizootic lymphangitis in horses: A review of the literature. Revue Scientifique et Technique, 18, 691-699.
- AL-ANI, F. K. & AL-DELAIMI, A. K., 1986. Epizootic lymphangitis in horses: Clinical, epidemiological and haematological studies. Pakistan Veterinary Journal, 6, 96-100.
- AL-ANI, F. K., ALI, A. H. & BANNA, H. B., 1998. Histoplasma farcinomosum infection of horses in Iraq. Veterinarski Arhiv, 68, 101-107.
- ALLISON, N., WILLARD, M. D., BENTINCK-SMITH, J. & DAVIS, K., 1986. Nasal rhinosporidiosis in two dogs. Journal of the American Veterinary Medical Association, 188, 869-871.
- AMEH, J. A., EGWU, G. O. & MOSES, A. E., 1993. Short communication: Preliminary observations on the prevalence of fungi in affected and normal udders of sahelian goats in Nigeria. Bulletin of Animal Health and Production in Africa, 41, 167-168.
- ANDREWS, A. H. & EDWARDSON, J., 1981. Treatment of ringworm in calves using griseofulvin. The Veterinary Record, 108, 498-500.
- ARCENEAUX, K. A., TABOADA, J. & HOSGOOD, G., 1998. Blastomycosis in dogs: 115cases (1980-1995). Journal of the American Veterinary Medical Association, 213, 658-664.
- ARCHER, J. R., TRAINER, D. O. & SCHELL, R. F., 1987. Epidemiologic study of canine blastomycosis in Wisconsin. Journal of the American Veterinary Medical Association, 190, 1292-1295.
- ASHWORTH, J. H., 1923. On Rhinosporidium seeberi (Wernicke 1903) with special reference to its sporulation and affinities. Transactions of the Royal Society of Edinburgh, 53, 301-342.
- ATTAPATTU, M. C. & ANNANDAKRISHMAN, C., 1986. Extensive subcutaneous hyphomycosis caused by Fusarium oxysporum. Journal of Medical and Veterinary Mycology, 24, 105-111.
- AUSTWICK, P. K. C., 1984. Fusarium infections in human and animals. In: MOSS, M.O. & SMITH, J.E., (eds.). The Applied Mycology of Fusarium. New York: Cambridge University Press, 129-140.
- AUSTWICK, P. K. C. & COPLAND, I. W., 1974. Swamp cancer. Nature, 250, 84.
- BALL, M. A., 2000. Equine fungal keratitis. The Compendium on Continuing Education for the Practicing Veterinarian, 22, 182-186.
- BALL, M. A., REBHUN, W. C., GAARDER, J. E. & PATTEN, V., 1997. Evaluation of itraconazole-dimethyl sulfoxide ointment for treatment of keratomycosis in nine horses. Journal of the American Veterinary Medical Association, 211, 199-203.
- BARCLAY, W. P. & DELAHUNTA, A., 1979. Clinical report: Cryptococcal meningitis in a horse. Journal of the American Veterinary Medical Association, 174, 1236-1238.
- BARO, T., TORRES-RODRIGUEZ, J. M., MENDOZA, M. H., DE MORERA, Y., ALIA, C. & DE MENDOZA, M. H., 1998. First identification of autochthonous Cryptococcus neoformans var. gattii isolated from goats with predominantly severe pulmonary disease in Spain. Journal of Clinical Microbiology, 36, 458-461.
- BARTON, M. D. & KNIGHT, I., 1972. Crytococcal meningitis in a horse. Australian Veterinary Journal, 48, 534.
- BARTON, M. H., 1992. Equine keratomycosis. The Compendium on Continuing Education for the Practicing Veterinarian, 14, 936-944.
- BASKIN, G. B., 1991. Disseminated histoplasmosis in a SIV-infected rhesus monkey. Journal of Medical Primatology, 20, 251-253.
- BAUDER, B., KUBBER-HEISS, A., STEINECK, T., KUTN, E. S. & KUFFMAN, L., 2000. Granulomatous skin lesions due to histoplasmosis in a badger (Meles meles) in Austria. Medical Mycology, 38, 249-253.
- BAUMGARDNER, D. J., PARETSKY, D. P. & YOPP, A. C., 1995. The epidemiology of blastomycosis in dogs: North central Wisconsin, USA. Journal of Medical and Veterinary Mycology, 33, 171-176.
- BAYLES, M. A., 1992. Tropical mycoses. Chemotherapy, 38, 27-34.
- BENEKE, E. S., 1978. Dematiaceous fungi in laboratory housed frogs. Proceedings of the Fourth International Conference on Mycoses, P.A.H.O. Scientific Publications, 356, 101-108.
- BENNETT, S. C. J., 1944. Cryptococcus infections in Equidae. Journal of the Royal Army Veterinary Corps, 16, 108-118.
- BERNAYS, M. E. & PEIFFER, R. L., 1998. Ocular infections with dematiaceous fungi in two cats and a dog. Journal of the American Veterinary Medical Association, 213, 507-509.
- BERRY, W. L., JARDINE, J. E. & ESPIE, W., 1997. Pulmonary cryptococcoma and cryptococcal meningoencephalomyelitis in a king cheetah (Acinonyx jubatus). Journal of Zoo and Wildlife Medicine, 28, 485-490.
- BERRY, W. L., VAN RENSBURG, I. B. J. & HENTON, M. M., 1990. Systemic cryptococcosis in a cat. Journal of the South Africa Veterinary Association, 61, 71-76.
- BISSINETTE, K. W., SHARP, N. J. H., DYKSTRA, M. H., ROBERTSON, I. R., DAVIS, B., PADHYE, A. A. & KAUFMAN, L., 1991. Nasal and retrobulbar mass in a cat caused by Pythium insidiosum. Journal of Medical and Veterinary Mycology, 29, 39-44.
- BLACKFORD, J., 1984. Superficial and deep mycoses in horses. Veterinary Clinics of North America: Large Animal Practice, 6, 47-58.
- BLANCHARD, P. C. & FILKINS, M., 1992. Cryptococcal pneumonia and abortion in an equine fetus. Journal of the American Veterinary Medical Association, 201, 1591-1592.
- BLOMME, E., DEL PIERO, F., LA PERLE, K. M. D. & WILKINS, P. A., 1998. Aspergillosis in horses: A review. Equine Veterinary Education, 10, 86-93.
- BLOOD, D. C. & HENDERSON, J. A., 1968. Diseases caused by fungi. In: BLOOD, D.C. & HENDERSON, J.A., (eds). Veterinary Medicine. 3rd edn. London: Baillière, Tindall & Cassell, 551-561.
- BLOOM, J. D., HAMOR, R. E. & GERDING, P. A. J., 1996. Ocular blastomycosis in dogs: 73 cases, 108 eyes (1985-1993). Journal of the American Veterinary Medical Association, 209, 1271-1274.
- BLUE, J., PERDRIZET, J. & BROWN, E., 1987. Pulmonary aspergillosis in a horse with myelomonocytic leukemia. Journal of the Veterinary Medical Association, 190, 1562-1564.
- BLUE, M. G., 1987. Mycotic endometritis in mares: Review and clinical observations. New Zealand Veterinary Journal 35, 181-183.
- BOLTON, L. A., LOBETTI, R. G., EVEZARD, D. N., PICARD, J. A., NESBIT, J. W., VAN HEERDEN, J. & BURROUGHS, R. E. J., 1999. Case Report: Cryptococcosis in captive cheetah (Acinonyx jubatus): Two cases. Journal of the South African Veterinary Association, 70, 35-39.
- BOOMKER, J., COETZER, J. A. W. & SCOTT, D. B., 1977. Black grain mycetoma (Maduromycosis) in horses. Onderstepoort Journal of Veterinary Research, 44, 249-252.
- BORO, B. R., CHAKRABARTY, A. K., SARMA, G. & SARMAH, A. K., 1980. Ringworm in animals due to Epidermophyton floccosum. The Veterinary Record, 107, 491-492.
- BOULTON, C. H. & WILLIAMSON, L., 1984. Cryptococcal granuloma associated with jejunal intussusception in a horse. Equine Veterinary Journal, 16, 548-551.
- BRATBERG, A. M., SOLBAKK, I. T., GYLLENSVAAN, C., BREDAHL, L. K. & LUND, A., 1999. Experimentelle Challenge-Studie zur Wirsamkeit einer Inaktivieren und einer Attenuierten Rindertrichophytie-Vakzine. Tierärztliche Umschau, 54, 519-520.
- BRIDGES, C. H., 1957. Maduromycotic mycetomas in animals. Curvularia geniculata as an etiological agent. American Journal of Pathology, 33, 411-427.
- BRIDGES, C. H., 1960. Muduromycosis of bovine nasal mucosa (nasal granuloma of cattle). Cornell Veterinarian, 50, 468-484.
- BRIDGES, C. H. & BEASLEY, J. N., 1960. Maduromycotic mycetomas in animals. Brachycladium speciferum Bainier as an etiologic agent. Journal of the American Veterinary Medical Association, 137, 192-201.
- BRIDGES, C. H. & EMMONS, C. W., 1961. A phycomycosis of horses caused by Hyphomyces destruens. Journal of the American Veterinary Medical Association, 138, 579-589.
- BRIDGES, C. H., ROMANE, W. M. & EMMONS, C. W., 1962. Phycomycosis of horses caused by Entomophthora coronata. Journal of the American Veterinary Medical Association, 140, 673-677.
- BRODEY, R., SCHRYVER, H. F., DEUBLER, M. J., KAPLAN, W. & AJELLO, L., 1967. Mycetoma in a dog. Journal of the American Veterinary Medical Association, 151, 442-451.
- BROWN, R., WEINTROUB, D. & SIMSON, M. W., 1947. Timber as a source of sporotrichosis infection. In: Sporotrichosis Infection on the Mines of the Witwatersrand. A Symposium. Proceedings of the Transvaal Mine Medical Officers’ Association. Johannesburg: Transvaal Chamber of Mines, 12, 32-33.
- BRUNER, D. W. & GILLESPIE, J. H., 1973. Hagan’s lnfectious Diseases of Domestic Animals. 6th Edition. Ithaca. Cornell University Press.
- BULLEN, J. J., 1949. The yeast-like form of Cryptococcus farciminosum (Rivotta): (Histoplasma farciminosum). Journal of Pathology and Bacteriology, 61, 117-120.
- BURTON, M., MORTON, R. J., RAMSAY, E. & STAIR, E. L., 1986. Coccidioidomycosis in a ring-tailed lemur. Journal of the American Veterinary Medical Association, 9, 1209-1211.
- CABANES, F. J., ABARCA, M. L. & BRAGULAT, M. R., 1997. Dermatophytes isolated from domestic animals in Barcelona, Spain. Mycopathologica, 2, 107-113.
- CARBONELL, P. L., 1979. Bovine nasal granuloma: Gross and microscopic lesions. Veterinary Pathology, 16, 60-73.
- CARBONELL, P. L. & MÜLLER, H. K., 1982. Bovine nasal granuloma. Nasal eosinophilia. Australian Veterinary Journal, 59, 97-101.
- CARMICHAEL, J. W., 1962. Chrysosporium and some other aleurosporic hypomycetes. Canadian Journal of Botany, 40, 1137-1173.
- CARRASCO, L., SIERRA, M. A., SCHØNHEYDER, H. & JENSEN, H. E., 1993. Ovine ruminal and abomasal zygomycosis. Small Ruminant Research, 10, 357-362.
- CARRIGAN, M. J., SMALL, A. C. & PERRY, G. H., 1992. Ovine nasal zygomycosis caused by Conidiobolus incongruus. Australian Veterinary Journal, 69, 237-240.
- CASTAÑON-OLIVARES, L. R., LOPEZ-MARTINEZ, R., BARRIGA-ANGULA, G. & RIOS-ROSAS, C., 1997. Case report: Cryptococcus neoformans var. gattii in an AIDS patient: first observation in Mexico. Journal of Veterinary and Medical Mycology, 35, 57-59.
- CATES, M. B., KAUFMAN, L., GRABAU, J. H., PLETCHER, J. H. & SCHROEDER, J. P., 1986. Blastomycosis in an Atlantic bottlenose dolphin. Journal of the American Veterinary Medical Association, 189, 1148-1150.
- CHAFFIN, M. K., SCHUMACHER, J. & MCMULLAN, W. C., 1995. Cutaneous pythiosis in the horse. Veterinary Clinics of North America: Equine Practice, 11, 91-103.
- CHAMOISEAU, G., 1973. Mycobacterium farcinogenes agent causal du farcin-de-boeuf en Afrique. Annals de Microbiologie (Institut Pasteur), 124a, 215-222.
- CHANDEL, B. S. & KHER, H. N., 1994. Occurrence of histoplasmosis-like disease in camel (Camelus dromedarius). Indian Veterinary Journal, 71, 521-523.
- CHANDLER, E. W., KAPLAN, W. & AJELLO, L., 1980. A Colour Atlas and Textbook of the Histopathology of Mycotic Diseases. London: Wolfe Medical Publishers.
- CHANDNA, V. K., MORRIS, E., GLIATTO, J. M. & PARADIS, M. R., 1992. Localized subcutaneous cryptococcal granuloma in a horse. Equine. Veterinary Journal, 25, 166-168.
- CHAUHAN, H. V. S. & DWIVEDI, P., 1974. Pneumomycosis in sheep and goats. The Veterinary Record, 95, 58-59.
- CHETTY, R. & COOPER, K., 1987. Rhinosporidiosis at King Edward VIII Hospital, Durban, 1976-1985. A report of 6 cases. South African Medical Journal, 72, 217-218.
- CHIHAYA, Y., MATSUKAWA, K., MIZUSHIMA, S. & MAISUT, Y., 1988. Ruminant forestomach and abomasal mucormycosis under rumen acidosis. Veterinary Pathology, 25, 119-123.
- CHIHAYA, Y., MATSUKAWA, K., OHSHIMA, K., MATSUI, Y., OGASA, K., FURUSAWA, Y. & OKADA, H., 1992. A pathological study of bovine alimentary mycosis. Journal of Comparitive Pathology, 107, 195-206.
- CHIHAYA, Y., OKADA, H., MATSUKAWA, K. & MATSUI, Y., 1992. Disseminated mycoses in cattle. A study of nine autopsy cases. Journal of Veterinary Medical Science, 54, 485-491.
- CHO, D. Y., PACE, L. W. & BEADLE, R. E., 1986. Cerebral cryptococcosis in a horse. Veterinary Pathology, 23, 207-209.
- CHOPIN, J. B., SIGLER, L., CONNOLE, M. D., O’BOYLE, D. A., MACKAY, B. & GOLDSTEIN, L., 1997. Keratomycosis in a Percheron cross horse caused by Cladorrhinum bulbillosum. Journal of Medical and Veterinary Mycology, 35, 53-55.
- CHURCH, S., WYN-JONES, G., PARKS, A. H. & RITCHIE, H. E., 1986. Treatment of guttural pouch mycosis. Equine Veterinary Journal, 18, 362-365.
- CLINKENBEARD, K. D., COWELL, R. L. & TYLER, R. D., 1987. Disseminated histoplasmosis in cats: 12 cases (1981-1986). Journal of the American Veterinary Medical Association, 190, 1445-1448.
- CLINKENBEARD, K. D., COWELL, R. L. & TYLER, R. D., 1988. Disseminated histoplasmosis in dogs: 12 cases (1981-1986). Journal of the American Veterinary Medical Association, 193, 1443-1447.
- CLINKENBEARD, K. D., WOLF, A. M., COWELL, R. L. & TYLER, R. L., 1989. Canine disseminated histoplasmosis. The Compendium on Continuing Education for the Practicing Veterinarian, 11, 1347-1360.
- CLYDE, V. L., KOLLIAS, G. V., JR., ROELKE, M. E. & WELLS, M. R., 1990. Disseminated coccidioidomycosis in a western cougar (Felis concolor). Journal of Zoo and Wildlife Medicine, 21, 200-205.
- COLLINS, M. B., ETHELL, M. T. & HODGSON, D. R., 1994. Management of mycotic keratitis in a horse using a conjunctival pedicle graft. Australian Veterinary Journal, 71, 298-299.
- CONNOLE, M. D., 1967. Letter to the editor: Microsporum gypseum ringworm in a horse. Australian Veterinary Journal, 43, 118.
- CONNOLE, M. D., 1973. Equine phycomycosis. Australian Veterinary Journal, 49, 214-215.
- CONNOLE, M. D., 1990. Review of animal mycoses in Australia. Mycopathologia, 111, 133-164.
- COOPER, V. L., KENNEDY, G. A., KRUCKENBERG, S. M. & VORHIES, M. W., 1994. Histoplasmosis in a miniature Sicilian burro. Journal of Veterinary Diagnostic Investigation, 6, 499-501.
- CORNICK, J. L., 1990. Diagnosis and treatment of pulmonary histoplasmosis in a horse. Cornell Veterinarian, 80, 97-103.
- CORRIER, D. E., WILSON, S. R. & SCRUTCHFIELD, W. L., 1984. Equine cryptococcal rhinitis. Compendium on Continuing Education for the Practicing Veterinarian, 6, S556-S558.
- COSTA, E. O., CARCIOFI, A. C., MELVILLE, P. A., PRADA, M. S. & SCHALCH, U., 1985. Prototheca sp. Outbreak of bovine mastitis. Journal of Veterinary Medicine, Series B, 43, 321-324.
- COSTA, E. O., DINIZ, L. S., NETTO, C. F., ARRUDA, C. & DAGLI, M. L., 1994. Epidemiological study of sporotrichosis and histoplasmosis in captive Latin American wild mammals, Sao Paulo, Brazil. Mycopathologia, 125, 19-22.
- COSTA, E. O., RIBEREIRO, A. R., WATANBE, E. T. & MELVILLE, P. A., 1998. Infectious bovine mastitis caused by environmental organisms. Journal of Veterinary Medicine, Series B, 45, 65-71.
- COUSIN, D. A. H., MALONEY, S. C., BANNATYNE, C. C. & ANGUS, K. W., 1973. Short communications: Fatal disseminated mycotic infection in a yearling bullock. The Veterinary Record, 95, 312-313.
- COYLE, V., ISAAC, J. P. & A., O. B. D., 1984. Canine mycetoma: A cases report and review of the literature. Journal of Small Animal Practice, 25, 261-268.
- CRAVEN, S. A., 1992. Acute benign histoplasmosis—comparative costs of management. South African Medical Journal, 81, 624.
- CROSS, R. F., MOORHEAD, P. D. & JONES, J. E., 1970. Candida albicans infection of the forestomach of a calf. Journal of the American Veterinary Medical Association, 157, 1325-1330.
- D’ALESSIO, D. J., LEAVENS, L. J., STRUMPF, G. B. & SMITH, C. D., 1965. An outbreak of sporotrichosis in Vermont associated with sphagnum moss as the source of the infection. New England Journal of Medicine, 272, 1054-1058.
- DAHL, M. V., 1993. Suppression of immunity and inflammation by products produced by dermatophytes. Journal of the American Academy of Dermatology, 28, 19-26.
- DAIGNAULT, D., HIGGINS, R. & MESSIER, S., 1997. Episode de mammites cliniques associees a la presence de Cryptococcus neoformans dans un troupeau laitier. Medecin Veterinaire du Quebec, 27, 26-27.
- DANGERFIELD, L. F. & GEAR, J., 1941. Sporotrichosis among miners on the Witwatersrand gold mines. South African Medical Journal, 15, 128-138.
- DASCINO, J. J., SCHWEIZER, C. & LEY, W. B., 2001. Equine fungal endometritis. Equine Veterinary Education, 13, 324-329.
- DAVIDSON, W. R. & NETTLES, V. F., 1977. Rhinosporidiosis in a wood duck. Journal of the American Veterinary Medical Association, 171, 989-900.
- DAVIS, C. L. & SHORTEN, H. L., 1936. Granulomatous nasal swelling in a bovine. Journal of the American Veterinary Medical Association, 42, 91-96.
- DAVIS, H. H. & WORTHINGTON, W. E., 1964. Equine sporotrichosis. Journal of the American Veterinary Medical Association, 145, 692-693.
- DAVIS, P. R., MEYER, G. A., HANSON, R. R. & STRINGFELLOW, J. S., 2000. Pseudoallescheria boydii infection of the nasal cavity of a horse. Journal of the American Veterinary Medical Association, 217, 707-709.
- DE BEURMANN, L. & GOUGEROT, H., 1912. Les Sporotrichoses. Paris: Felix Alcan, 1-852.
- DE BOER, D. J. & MORIELLO, K. A., 1994. The immune response to Microsporum canis induced by a fungal cell wall antigen. Veterinary Dermatology, 5, 47-55.
- DE COCK, A., MENDOZA, L., PADHYE, A. A., AJELLO, L. & KAUFMAN, L., 1987. Pythium insidiosum sp. nov. The etiologic agent of pythiosis. Journal of Clinical Microbiology, 25, 344-349.
- DE HOOG, G. S. & GUARRO, J., 1996. Atlas of Clinical Fungi. Cetraalbureau voor Schimmelcultures, Baarn and Delft. The Netherlands/Universitat Rovira i Virgili Reus, Spain, 702.
- DE VILLIERS, P. C., SMITH, H. E. & VISMER, H. F., 1986. A further indigenous case of ‘North American’ blastomycosis from South Africa. Importance of skin lesions in early diagnosis. South African Medical Journal, 70, 759-760.
- DEFAVERI, J. & GRAYBILL, J. R., 1990. Treatment of chronic murine chromoblastomycosis with the triazole SCH39304. American Journal of Tropical Medicine and Hygiene, 42, 601-606.
- DELLATORE, D. L., LATTANAND, A., BUCKLEY, H. R. & URBACH, F., 1982. Fixed cutaneous sporotrichosis of the face. Journal of the American Academy of Dermatology, 6, 97-100.
- DICKERSON, J. & MEYER, E. P., 1970. Letter to the editor: Cryptococcosis in horses in Western Australia. Australian Veterinary Journal, 46, 558.
- DION, W. M., BUNDZA, A. & DUKES, T. W., 1987. Mycotic lymphadenitis in cattle and swine. Canadian Veterinary Journal, 28, 57-60.
- DION, W. M. & DUKES, T. W., 1979. Bovine mycotic abortion caused by Acremonium kiliense Grutz. Sabouraudia, 17, 355-361.
- DION, W. M. & SPECKMANN, G., 1978. Canine otitis externa caused by the fungus Sporothrix schencki. Canadian Veterinary Journal, 19, 40-41.
- DISALVO, A. F., 1987. Mycotic morbidity—An occupational risk for mycologists. Mycopathologia, 99, 147-153.
- DISALVO, A. F. & FICKLING, A. M., 1980. A case of nondermatophytic toe onychomycosis caused by Fusarium oxysporum. Archives of Dermatology, 116, 699-700.
- DOOLEY, D. P., BOSTIC., P. S. & BECKIUS, M. L., 1997. Spook house sporotrichosis. A point-source outbreak of sporotrichosis associated with hay bale props in a Halloween haunted-house. Archives of Internal Medicine, 157, 1885-1887.
- DOWIE, P., 1982. Mucormycosis in the bovine abomasum. The Veterinary Record, 111, 212.
- DUFAIT, R. & DE VROEY, C., 1987. Short communication: Rapid identification of the two varieties of Cryptococcus neoformans by D-proline assimilation. Mycoses, 30, 483.
- EDWARDS, A. F. & BEACH, D., 1989. Equine keratomycosis: A rational approach to therapy. Veterinary Technician, 10, 34-40.
- EDWARDSON, J. & ANDREWS, A. H., 1979. An outbreak of ringworm in a group of young cattle. The Veterinary Record, 104, 474-477.
- EL-KHOULY, A. B., GADIR, F. A., CLUER, D. D. & MANEFIELD, G. W., 1993. Aspergillosis in camels with a specific respiratory and enteric syndrome. Australian Veterinary Journal, 69, 182-186.
- ELLIS, D. H. & PFEIFFER, T. J., 1990. Natural habitat of Cryptococcus neoformans var. gattii. Journal of Clinical Microbiology, 28, 1642-1644.
- ESPINOZA DE LOS MONTEROS, A., CARRASCO, L., KING, J. M. & JENSEN, H. E., 1999. Nasal zygomycosis and pulmonary aspergillosis in an American bison. Journal of Wildlife Diseases, 35, 790-795.
- EZEH, A. O., MAKINDE, A. A., OLOGUN, A. G., UMO, I. & CALLA, L. D., 1987. Short communication: Mycotic mastitis in a dairy herd. Bulletin of Animal Health and Production in Africa, 35, 356-357.
- FARNSWORTH, R. J., 1977. Significance of fungal mastitis. Journal of the American Medical Association, 170, 1173-1174.
- FARNSWORTH, R. J. & SORENSEN, D. K., 1972. Prevalence and species distribution of yeast in mammary glands of dairy cows in Minnesota. Canadian Journal of Comparitive Medicine, 36, 329-332.
- FAUQUIER, D. A., GULLAND, F. M. D., TRUPKIEWICZ, J. G., SPRAKER, T. R. & LOWENSTINE, L. J., 1996. Coccidioidomycosis in free-living California sea lions (Zalophus californianus) in central California. Journal of Wildlife Diseases, 32, 707-710.
- FAWI, M. T., 1969. Fluorescent antibody test for the serodiagnosis of Histoplasma farciminosum infections in Equidae. British Veterinary Journal, 125, 231-234.
- FAWI, M. T., 1971. Histoplasma farciminosum, the etiological agent of equine cryptococcal pneumonia. Sabouraudia, 9, 123-125.
- FINDLAY, G. H., 1985. Sporotrichosis research in the Transvaal—how it began 60 years ago. South African Medical Journal, 68, 117-118.
- FINDLAY, G. H. & ROUX, H. F., 1971. Recent observations on Streptomyces pelletieri infections in the Transvaal. British Journal of Dermatology, 85(7), 85-86.
- FINDLAY, G. H. & VISMER, H. F., 1974. Black grain mycetoma. A study of the chemistry, formation and significance of the tissue grain in Madurella mycetomi infection. British Journal of Dermatology, 91, 297-303.
- FINDLAY, G. H. & VISMER, H. F., 1986. Studies in sporotrichosis: Fungal morphogenesis and pathogenicity in differing environments. Mycopathologia, 96, 115-122.
- FINDLAY, G. H., VISMER, H. F., BOTES, D. P. & KRUGER, H., 1980. Black grain mycetoma: Studies on the pigment of Madurella mycetomi. Mycopathologia, 70, 61-64.
- FINDLAY, G. H., VISMER, H. F. & DREYER, L., 1984. Studies on sporotrichosis. Pathogenicity and morphogenesis in the Transvaal strains of Sporothrix schenckii. Mycopathologia, 87, 85-93.
- FISCHER, J. R., PACE, L. W., TURK, J. R., KREEGER, J. M., MILLER, M. A. & GOSSER, H. S., 1994. Gastrointestinal pythiosis in Missouri dogs: Eleven cases. Journal of Veterinary Diagnostic Investigation, 6, 380-382.
- FISHBURN, F. & KELLEY, D. C., 1967. Sporotrichosis in a horse. Journal of the American Veterinary Medical Association, 151, 45-46.
- FLATLAND, B., GREENE, R. T. & LAPPIN, M. R., 1996. Clinical and serological evaluation of cats with cryptococcosis. Journal of the American Veterinary Medical Association, 209, 1110-1113.
- FOLEY, G. L. & SCHLAFER, D. H., 1987. Candida abortion in cattle. Veterinary Pathology, 24, 532-536.
- FOWLER, M. E., PAPPAGIANIS, D. & INGRAM, I., 1992. Coccidioidomycosis in llamas in the United States: 19 cases (1981-1989). Journal of the American Veterinary Medical Association, 201, 1609-1614.
- FRAME, S. R., MEHDI, N. A. Q. & TUREK, J. J., 1989. Naturally occurring mucocutaneous histoplasmosis in a rabbit. Journal of Comparative Pathology, 101, 351-354.
- FRANZOT, S. P., SALKIN, I. F. & CASADEVALL, A., 1999. Cryptococcus neoformans var. grubii: Separate varietal status for Cryptococcus neoformans serotype A isolates. Journal of Clinical Microbiology, 37, 838-840.
- FREAN, J., BLUMBERG, L. & WOOLF, M., 1993. Disseminated blastomycosis masquerading as tuberculosi. Journal of Infection, 26, 203-206.
- FREEMAN, K. P., ROSZEL, J. F., SLUSHER, S. H. & PAYNE, M., 1986. Mycotic infection of the equine uterus. Equine Practice, 8, 34-42.
- FRENCH, D. D., HAYNES, P. F. & MILLER, R. I., 1985. Surgical and medical management of rhinophycomycosis (conidiobolomycosis) in a horse. Journal of the American Veterinary Medical Association, 186, 1105-1107.
- FRIEDMAN, D. S., SCHOSTER, J. V., PICKETT, J. P., DUBIELZIG, R. R., CZUPRYNSKI, C., KNOLL, J. S. & WOLFGRAM, L. J., 1989. Pseudallescheria boydii keratomycosis in a horse. Journal of the American Veterinary Medical Association, 195, 616-618.
- FROMTLING, R. A., JENSEN, J. M., ROBINSON, B. E. & BULMER, G. S., 1979. Fatal mycotic pulmonary disease of captive American alligators. Veterinary Pathology, 16, 428-431.
- FROMTLING, R. A., KOSANKE, S. D., JENSEN, J. M. & BULMER, G. S., 1979. Fatal Beauvaria bassiana infection in a captive American alligator. Journal of the American Veterinary Medical Association, 175, 934-936.
- FURCOLOW, M. L. & MENGES, R. W., 1952. Comparison of histoplasmin sensitivity rates among human beings and animals in Boone County, Missouri. American Journal of Public Health, 42, 926-929.
- GAARDER, J. E., REBHUN, W. C., BALL, M. A., PATTEN, V., SHIN, S. & ERB, H., 1998. Clinical appearances, healing patterns, risk factors, and outcomes of horses with fungal keratitis: 53 cases (1978-1996). Journal of the American Veterinary Medical Association, 213, 105-112.
- GABAL, M. A., BANA, A. A. & GENDI, M. E., 1983. The fluorescent antibody technique for diagnosis of equine histoplasmosis (epizootic lymphangitis). Zentrablatt für Veterinärmedizin, Series B, 30, 317-321.
- GABAL, M. A. & MOHAMMED, K. A., 1985. Use of enzyme-linked immunosorbent assay for the diagnosis of equine Histoplasmosis farciminosi (epizootic lymphangitis). Mycopathologia, 91, 35-37.
- GARCIA-HERMOSO, D., HOINARD, D., GANTIER, J. C., GRENOUILLET, F., DROMER, F. & DANNAOUI, E., 2009. Molecular and phenotypic evaluation of Lichtheimia corymbifera (ex Absidia corymbifera) complex isolates associated with human mycosis: rehabilitation of L. ramosa, ex synonym of L. corymbifera. Journal of Clinical Microbiology, 47(12), 3862-3870.
- GEORG, L. K., BIERER, B. W. & COOKE, W. B., 1964. Encephalitis in turkey poults due to a new fungus. Sabouraudia, 3, 239-244.
- GEORG, L. K., KAPLAN, W. & CAMP, L. B., 1957. Equine ringworm with special reference to Trichophyton equinum. American Journal of Veterinary Research, 18, 798-810.
- GEORG, L. K., WILLIAMSON, W. M., TILDEN, E. B. & GETTY, R. E., 1962. Mycotic pulmonary disease of captive giant tortoises due to Beauveria bassiana and Paecilomyces fumosoroseus. Sabouraudia, 2, 80-86.
- GERDS-GROGAN, S. & DAYRELL-HART, D. B., 1997. Feline cryptococcosis: A retrospective study. Journal of the American Animal Hospital Association, 33, 118-122.
- GIESECKE, W. H., NEL, E. E. & VAN DEN HEEVER, L. W., 1968. Blastomycotic mastitis in South Africa. Journal of the South African Veterinary Medical Association, 39, 69-85.
- GILES, R. C., DONAHUE, J. M., HONG, C. B., TUTTLE, P. A., PETRITES-MURPHY, M. B., POONACHA, K. B., ROBERTS, A. W., TRAMONTIN, R. R., SMITH, B. & SWERCZEK, T. W., 1993. Causes of abortion, stillbirth, and perinatal death in horses: 3527 cases (1986-1991). Journal of the American Veterinary Medical Association, 203, 1170-1175.
- GILTNER, L. T., 1918. Occurrence of coccidioidal granulma (oidiomycosis) in cattle. Journal of Agricultural Research, 14, 533-542.
- GITTER, M. & AUSTWICK, P. K. C., 1959. Mucormycosis and moniliasis in a litter of suckling pigs. The Veterinary Record, 71, 6-11.
- GNANN, J. W. J., BRESSLER, G. S., BODET, A. & AVENT, C. K., 1983. Human blastomycosis after a dog bite. Annals of Internal Medicine, 98, 48-49.
- GOA, K. L. & BARRADELL, L. B., 1995. Fluconazole. An update of its pharmacodynamic and pharmacokinetic properties and therapeutic use in major superficial and systemic mycoses in immunocompromised patients. Drugs, 50, 658-690.
- GONZALEZ, C. J. F., BARCENA, A. M. C., GOMEZ, R. F. & AMIGOT, L. J. A., 1995. An outbreak of dermatophytosis in pigs caused by Microsporum canis. Mycopathologica, 129, 79-80.
- GONZALEZ, C. J. F., LATRE, C. M. V., SOLANS, A. C. & VERDE, A. M. T., 1988. Dermatophytosis of pigs by Trichophyton mentagrophytes. Mycopathologia, 101, 161-164.
- GONZALEZ, R. N., WILSON, D. J., SICKLES, S. A., ZURAKOWSKI, M. J., WEYBRECHT, P. M. & WALSH, A. K., 2001. Outbreaks of clinical mastitis caused by Trichosporon beigelii in dairy herds. Journal of the American Veterinary Medical Association, 218, 238-241.
- GORDON, M. A., 1984. Paecilomyces lilacinus (Thorn) Samson from systemic infection in an armadillo (Dasypus novemcinctus). Sabouraudia, 23, 109-116.
- GORDON, P. J. & BOND, R., 1996. Short communication. Efficacy of a live attenuated Trichophyton verrucosum vaccine for control of bovine dermatophytosis. The Veterinary Record, 139, 395-396.
- GORDON, R. E. & HAGEN, W. A., 1936. A study of some acid-fast actinomycetes from soil with special reference to pathogenicity of animals. Journal of Infectious Diseases, 59, 200-206.
- GRACEY, J. F. & BAXTER, J. T., 1961. Generalized Aspergillus fumigatus infection in a lamb. British Veterinary Journal, 117, 11-14.
- GRAHN, B., WOLFER, J., KELLER, C. & WILCOCK, B., 1993. Equine keratomycosis: Clinical and laboratory findings in 23 cases. Progress in Veterinary and Comparitive Ophthalmology, 3, 2-7.
- GRÄSER, Y., EL FARI, M., VILGALYS, R., KUIPERS, A. F. A., DE HOOG, G. S., PRESBER, W. & TIETZ, H. J., 1998. Phylogeny and taxony of the family Arthrodermataceae (dermatophytes) using sequence analysis of the ribosomal ITS region. Medical Mycology, 37, 105-114.
- GRAYBILL, J. R., 1989. New antifungal agents. European Journal of Clinical Microbiology and Infectious Diseases, 8, 402-412.
- GREENE, R. T., 1998. Coccidiomycosis. In: GREENE, C.E., (ed.). Infectious Diseases of the Dog and Cat. 2nd edn. St. Louis, Philadelphia, London, Sydney, Toronto: W.B. Saunders Company, 391-398.
- GREET, T. R. C., 1981. Nasal aspergillosis in three horses. The Veterinary Record, 109, 487-489.
- GROTTE, M. & YOUNGER, B., 1981. Sporotrichosis associated with sphagnum moss exposure. Archives of Pathology and Laboratory Medicine, 105, 50-51.
- GUDDING, R. & LUND, A., 1995. Immunoprophylaxis of bovine dermatophytosis. Canadian Veterinary Journal, 36, 302-306.
- GUDDING, R. & NAESS, B., 1986. Vaccination of cattle against ringworm caused by Trichophyton verrucosum. American Journal of Veterinary Research, 47, 2415-2417.
- GUILLOT, J., COLLOBERT, C., GUEHO, E., MIALOT, M. & LAGARDE, E., 1997. Emericella nidulans as an agent of gutteral pouch mycosis in a horse. Journal of Medical and Veterinary Mycology 35, 433-435.
- GUILLOT, J., SARFATI, J., RIBOT, X., JENSEN, H. E. & LATGÉ, J. P., 1997. Detection of antibodies to Aspergillus fumigatus in serum of horses with mycosis of the auditory diverticulum (guttural pouch). American Journal of Veterinary Research, 58, 1364-1366.
- HAMID, M. E., MOHAMED, G. E., ABU-SAMRA, M. T., EL-SANOUSI, S. M. & BARRI, M. E., 1991. Bovine farcy: A clinico-pathological study of the disease and its aetiological agent. Journal of Comparative Pathology, 105, 287-301.
- HAMOR, R. E. & WHELAN, N. C., 1999. Equine infectious keratitis. Veterinary Clinics of North America: Equine Practice, 15, 623-646.
- HASCHEK, W. M. & KASALI, O. B., 1977. A case of cutaneous feline phaeohyphomycosis caused by Phialophora gougerotii. Cornell Veterinarian, 67, 467-471.
- HASEGAWA, A., 1980. Dermatophytoses in animals in Japan. Japanese Journal of Medical Mycology, 21, 227-229.
- HAZELHURST, J. A. & F., R. H., 1985. Histoplasmosis presenting with unusual skin lesions in acquired immunodeficiency syndrome (AIDS). British Journal of Dermatology, 113, 345-348.
- HEKTOEN, L. & PERKINS, C. F., 1900. Refractory subcutaneous abscesses caused by Sporothrix schenckii. A new pathogenic fungus. Journal of Experimental Medicine, 5, 77-89.
- HENDRIX, D. V. H., CHMIELEWSKI, N. T., SMITH, P. J., BROOKS, D. E., GELATT, K. N. & WHITTAKER, C., 1996. Keratomycosis in four horses caused by Cylindrocarpon destructans. Veterinary and Comparative Ophthalmology, 6, 252-257.
- HENNING, M. W., 1958. Animal Diseases of South Africa. 3rd Edition. South Africa: Central News Agency Ltd, 194-203.
- HENRICKSON, R. V., 1973. Cryptococcosis in man and captive exotic animals. Journal of Zoo Animal Medicine, 3, 27-30.
- HENTON, M. M., 1997 & 1999. Onderstepoort Veterinary Institute, Pretoria, South Africa. Personal Communication.
- HILBERT, B. J., HUXTABLE, C. R. & PAWLEY, S. E., 1980. Cryptococcal pneumonia in a horse. Australian Veterinary Journal, 56, 391-392.
- HILL, J. R., MIGAKI, D. & PHEMISTER, R. D., 1978. Phaeomycotic granuloma in a cat. Veterinary Patholology, 15, 559-561.
- HILL, M. W. M., WHITEMAN, C. E., BENJAMIN, M. M. & BALL, L., 1971. Pathogenesis of experimental bovine mycotic placentitis caused by Aspergillus fumigatus. Veterinary Pathology, 8, 175-192.
- HILLMAN, R. B., 1968. Bovine mycotic placentitis in New York State. Cornell Veterinarian, 59, 269-288.
- HIRUMA, M. & KAGAWA, S., 1985. A case of sporotrichosis with numerous fungal elements phagocytized by polymorphonuclear leukocytes. Mykosen, 29, 59-63.
- HODGES, R. T., HOLLAND, J. T. S., NEILSON, F. J. A. & WALLACE, N. M., 1985. Prototheca zopfii mastitis in a herd of dairy cows. New Zealand Veterinary Journal, 33, 108-111.
- HODGSON, D. R. & JACOBS, K. A., 1982. Two cases of Fusarium keratomycosis in the horse. The Veterinary Record, 110, 520-522.
- HOFFMAN, K., DISCHER, S. & VOIGT, K., 2007. Revision of genus Absidia (Mucorales, Zygomycetes) based on physiological, phylogenetic and morphological characteristics; thermotolerant Absidia spp. form a coherent group, Mycocladiacae fam. nov. Mycological Research, 111, 1169-1183.
- HOWARD, D. H., 1984. The epidemiology and ecology of blastomycosis, coccidioidomycosis and histoplasmosis. Zentralblatt für Bakteriologie, Mikrobiologie, und Hygiene. Series A, Medical Microbiology, Infectious Diseases, Virology, Parasitology, 257, 219-227.
- HUGH-JONES, M. E. & AUSTWICK, P. K. C., 1967. Epidemiological studies on bovine mycotic abortion. The Veterinary Record, 81, 273-276.
- HULLINGER, G. A., COLE, J., J.R., ELVINGER, F. & STEWART, R. L., 1999. Short communication: Dermatophytosis in show lambs in the United States. Veterinary Dermatology, 10, 73-76.
- HUMPHREYS, F. A. & HELMER, D. E., 1943. Pulmonary sporotrichosis in a cattle beast. Canadian Journal of Comparative Medicine, 7, 1-204.
- HUTCHINS, D. R. & JOHNSTON, K. G., 1972. Phycomycosis in the horse. Australian Veterinary Journal, 48, 269-278.
- ICHITANI, T. & AMEMIYA, J., 1980. Pythium gracile isolated from the foci of granular dermatitis in a horse (Equus caballus). Transaction of the Mycological Society of Japan, 21, 263-265.
- INNES, J. R. M., SEIBOLD, H. R. & ARENTZEN, W. P., 1952. The pathology of bovine mastitis caused by Cryptococcus neoformans. American Journal of Veterinary Research, 469-475.
- IRWIN, C. F. P., 1957. Cryptococcus infection in a horse. The Australian Veterinary Journal, 33, 97-98.
- ITODO, A. E. & EZEH, A. O., 1983. Blastomyces dermatitidis from lesions associated with Dermatophilus congolensis in cattle: Case report. Bulletin of Animal Health and Production in Africa, 31, 191-192.
- JACKSON, R. B. & PEEL, B. G., 1991. Endemic Microsporum canis infection in a sheep flock. Australiam Veterinary Journal, 68, 122.
- JACOBS, G. J. & MEDLEAU, L., 1998. Cryptococcosis. In: GREENE, C.E., (ed.). Infectious Diseases of the Dog and Cat., 2nd end. St. Louis, Philadelphia, London, Sydney, Toronto: W.B. Saunders Company, 383-390.
- JAMALUDDIN, A. A., CASE, J. T., HIRD, D. W., BLANCHARD, P. C., PEAUROI, J. R. & ANDERSON, M. L., 1996. Dairy cattle abortion in California: Evaluation of diagnostic laboratory data. Journal of Veterinary Diagnostic Investigation, 8, 210-218.
- JAMES, A. L., 1965. The sporotrichosis hazard. Transvaal and Orange Free State Chamber of Mines Research Organisation Report, Research Report, 7/65.
- JANG, S. S., BIBERSTEIN, E. L., RINALDI, M. G., HENNES, A. M., BOORMAN, G. A. & TAYLOR, R. F., 1977. Feline brain abscess due to Cladosporium trichoides. Sabouraudia, 15, 115-123.
- JARNAGIN, J. L. & THOEN, C. O., 1977. Isolation of Dermatophilus congolensis and certain mycotic agents from animal tissues: A laboratory summary. American Journal of Veterinary Research, 38, 1909-1911.
- JENSEN, E. D., LIPSCOMB, T., VAN BONN, B., MILLER, G., FRADKIN, J. M. & RIDGWAY, S. H., 1998. Disseminated histoplasmosis in an Atlantic bottlenose dolphin (Tursiops truncatus). Journal of Zoo and Wildlife Medicine, 29, 456-460.
- JENSEN, H. E., AALBAEK, B., LIND, P. & KROGH, H. V., 1996. Immunohistochemical diagnosis of systemic bovine zygomycosis by murine monoclonal antibodies. Veterinary Pathology, 33, 176-183.
- JENSEN, H. E., BASSE, A. & AALBAEK, B., 1989. Mycosis in the stomach compartments of cattle. Acta Veterinaria Scandinavica, 30, 409-423.
- JENSEN, H. E., ESPINOSA DE LOS MONTEROS, A. & CARRASCO, L., 1996. Caprine mastitis due to aspergillosis and zygomycosis: A pathological and immunohistochemical study. Journal of Comparative Pathology, 114, 183-191.
- JENSEN, H. E., KROGH, H. V. & SCHONHEYDER, H., 1991. Bovine mycotic abortion—a comparative study of diagnostic methods. Journal of Veterinary Medicine, Series B, 38, 33-40.
- JENSEN, H. E., OLSEN, S. N. & AALBAEK, B., 1994. Gastrointestinal aspergillosis and zygomycosis of cattle. Veterinary Pathology, 31, 28-36.
- JENSEN, H. E., SCHONHEYDER, H. & JÖRGENSEN, J. B., 1990. Intestinal and pulmonary lymphadenitis in cattle. Journal of Comparative Pathology, 102, 345-355.
- JIMENEZ, J. F., CORNELIUS, J. B. & GLOSTER, E. S., 1986. Canine rhinosporidiosis in Arkansas. Laboratory Animal Science, 36, 54-55.
- JOHNSON, C. T., LUPSON, G. R. & LAWRENCE, K. E., 1994. The bovine placentome and bacterial and mycotic abortion. The Veterinary Record, 134, 363-266.
- JOHNSON, P. J., MOORE, L. A., MRAD, D. R., TURK, J. R. & WILSON, D. A., 1999. Sudden death in two horses associated with pulmonary aspergillosis. The Veterinary Record, 145, 16-20.
- JOHNSTON, K. G., 1971. Subcutaneous phycomycosis and swamp cancer in horses. Australian Veterinary Journal, 47, 576.
- JOHNSTON, K. G. & HENDERSON, A. W., 1974. Phycomycotic granuloma in horses in the Northern Territory. Australian Veterinary Journal, 50, 105-107.
- JOHNSTON, P. F., REAMS, R., JAKOVLJEVIC, S., ANDREWS, D. A., HEATH, S. E. & DENICOLA, D., 1995. Disseminated histoplasmosis in a horse. Canadian Veterinary Journal, 36, 707-709.
- JUBB, K. V. F., KENNEDY, P. C. & PALMER, N., 1985. Pathology of Domestic Animals. 3rd Edition. Orlando, Florida, USA: Academic Press, 1, 2, 3, 574, 582 & 527.
- JUNGERMAN, P. F. & SCHWARTZMAN, R. M., 1972. Veterinary Medical Mycology. Philadelphia: Lea & Febiger.
- KAPLAN, W., BRODERSON, J. R. & PACIFIC, J. N., 1982. Spontaneous systemic sporotrichosis in nine-banded armadillos (Dasypus novemcinctus). Sabouraudia, 20, 289-294.
- KAPLAN, W., CHANDLER, F. W., AJELLO, L., GAUTHIER, R., HIGGINS, R. & CAYOUETTE, P., 1975. Equine phaeohyphomycosis caused by Drechslera specifera. Canadian Veterinary Journal, 16, 205-208.
- KAPLAN, W., HOPPING, J. L. & GEORG, L. K., 1957. Ringworm in horses caused by the dermatophyte, Microsporum gypseum. Journal of the Veterinary Medical Association, 131, 329-332.
- KAUFMAN, L., 1992. Laboratory methods for the diagnosis and confirmation of systemic mycosis. Clinical Infectious Diseases, 14, S23-S29.
- KAYE, H., 1938. A case of rhinosporidiosis on the eye. British Journal of Ophthalmology, 22, 447-455.
- KEARNS, K. S., POLLOCK, C. G. & RAMSAY, E. C., 1999. Dermatophytosis in red pandas (Ailurus fulgens fulgens): A review of 14 cases. Journal of Zoo and Wildlife Medicine, 30, 561-563.
- KEEGAN, K. G., DILLAVOU, C. L., TURNQUIST, S. E. & FALES, W. H., 1995. Subcutaneous mycetoma-like granuloma in a horse caused by Aspergillus versicolor. Journal of Veterinary Diagnostic Investigation, 7, 564-567.
- KELLERMAN, T. S., COETZER, J. A. W. & NAUDÉ, T. W., 1987. Plant Poisonings and Mycotoxicocoses of Livestock in Southern Africa. Cape Town: Oxford University Press Southern Africa.
- KENNEDY, F. A., BUGGAGE, R. R. & AJELLO, L., 1995. Rhinosporidiosis: A description of an unprecedented outbreak in captive swans (Cygnus spp.) and a proposal for revision of the ontogenic nomenclature of Rhinosporidium seeberi. Journal of Medical and Veterinary Mycology, 33, 157-165.
- KENYON, E. M., RUSSELL, L. H. & MCMURRAY, D. N., 1984. Isolation of Sporothrix schenckii from potting soil. Mycopathologia, 87, 128.
- KEOGH, H. J. & ISAACSON, M., 1978. Wild rodents as laboratory models and their part in the study of diseases. Journal of the South African Veterinary Association, 49, 229-231.
- KETTERER, P. J., KELLY, M. A., CONNOLE, M. D. & AJELLO, L., 1992. Rhinocerebral and nasal zygomycosis in sheep caused by Conidiobolus incongruus. Australian Veterinary Journal, 69, 85-87.
- KHAN, K. P., 1975. Sporotrichosis. A histological study of four cutaneous cases. Indian Journal of Dermatology, 21, 8-11.
- KHAROLE, M. U., CHAND, P., MONGA, D. P. & SADANA, J. R., 1988. Pulmonary zygomycosis in a bovine fetus. The Veterinary Record, 122, 236.
- KINBARA, T. & FUKUSHIRO, R., 1982. Fungal elements in tissues of sporotrichosis. Mykosen, 26, 35-41.
- KIRK, J. H., BARTLETT, J. H. & NEWMAN, J. P., 1986. Candida mastitis in a dairy herd. The Compendium on Continuing Education for the Practicing Veterinarian, 8, S150-S152.
- KIRKBRIDE, C. A., 1985. Managing an outbreak of livestock abortion. 2. Diagnosis and control of abortion. Veterinary Medicine, 80, 70-79.
- KLEIN, B. S., SQUIRES, R. A., LLOYD, J. K. F., RUGE, D. R. & LEGENDRE, A. M., 2000. Canine antibody response to Blastomyces dermatitidis WI-1 antigen. American Journal of Veterinary Research, 61, 554-558.
- KLEIN, B. S., VERGERONT, J. M., DISALVO, A. F., KAUFMAN, L. & DAVIS, J. P., 1987. Two outbreaks of blastomycosis along rivers in Wisconsin. Isolation of Blastomyces dermatitidis from riverbank soil and evidence of its transmission along waterways. American Review of Respiratory Disease, 136, 1333-1338.
- KNUDTSON, W. U., GATES, C. E., RUTH, G. R. & HALEY, L. D., 1980. Trichophyton mentagrophytes dermatophytosis in wild fox. Journal of Wildlife Diseases, 16, 465-468.
- KNUDTSON, W. U. & KIRKBRIDE, C. A., 1992. Fungi associated with bovine abortion in the northern plains states (USA). Journal of Veterinary Diagnostic Investigation, 4, 181-185.
- KORENEK, N. L., LEGENDRE, A. M., ANDREWS, F. M., BLACKFORD, J. T., WAN, P. Y., BREIDER, M. A. & RINALDI, M. G., 1994. Treatment of mycotic rhinitis with itraconazole in three horses. Journal of Veterinary Internal Medicine, 8, 224-227.
- KORTING, H. C. & ZIENICKE, H., 1990. Dermatophytosis as occupational dermatoses in industrialized countries. Report on two cases from Munich. Mycoses, 33, 86-89.
- KOSTRO, K., 1989. Hypersensitivity to trichophytin in small animals experimentally infected with Trichophyton verrucosum. Journal of Medical and Veterinary Mycology, 27, 465-468.
- KOWALEWICH, N., HAWKINS, E. C., SKOWRONEK, A. J. & CLEMO, F. A. S., 1993. Identification of Histoplasma capsulatum organisms in the pleural and peritoneal effusions of a dog. Journal of the American Veterinary Medical Association, 202, 423-426.
- KRAWIEC, D. R., MCKIERNAN, B. C., TWARDOCK, A. R., SWENSON, C. E., ITKIN, R. J., JOHNSON, L. R., KUROWSKY, L. K. & MARKS, C. A., 1996. Use of an amphotericin B lipid complex for treatment of blastomycosis in dogs. Journal of the American Veterinary Medical Association, 209, 2073-2075.
- KUTTIN, E. S., MÜLLAR, J., MAY, W., ALBRECHT, F. & SIGALAS, M., 1978. Mykosen bei Krokodilen. Mykosen, 21, 39-48.
- KWONG-CHUNG, K. J., 1975. A new genus, Filobasidiella, the perfect state of Cryptococcus neoformans. Mycologica, 67, 1197-1200.
- KWONG-CHUNG, K. J. & BENNETT, J. E., 1992. Dermatophytoses (ringworn, tinea, dermatomycosis). In: KWONG-CHUNG, K.J. & BENNETT, J.E., (eds). Medical Mycology. Philadelphia, London: Lea & Febiger.
- KWONG-CHUNG, K. J., POLACHECK, I. & BENNETT, J. E., 1982. Improved diagnostic medium for separation of Cryptococcus neoformans var. neoformans (serotypes A and D) and Cryptococcus neoformans var. gattii (serotypes B and C). Journal of Clinical Microbiology, 15, 535-537.
- LAMBRECHTS, N., COLLETT, M. G. & HENTON, M., 1991. Black grain eumycetoma (Madurella mycetomatis) in the abdominal cavity of a dog. Journal of Medical and Veterinary Mycology, 20, 211-214.
- LANGHAM, R. F., BENEKE, E. S. & WHITENACK, D. L., 1977. Abortion in a mare due to coccidiomycosis. Journal of the American Veterinary Medical Association, 170, 178-179.
- LARSON, D. M., ECKMAN, M. R., ALBER, R. L. & GOLDSCHMIDT, V. G., 1983. Primary cutaneous (inoculation) blastomycosis: An occupational hazard to pathologists. American Journal of Clinical Pathology, 79(2), 253-255.
- LAZÉRA, M. S., CAVALCANTI, M. A. S., TRILLES, L., NISHIKAWA, M. M. & WANKE, B., 1998. Cryptococcus neoformans var. gatti-evidence for a natural habitat related to decaying wood in a pottery tree hollow. Medical Mycology, 36, 119-122.
- LAZÉRA, M. S., PIRES, F. D. A., CAMILLO-COURA, L., NISHIKAWA, M. M., BEZERRA, C. C. F., TRILLES, L. & WANKE, B., 1996. Natural habitat of Cryptococcus neoformans var. neoformans in decaying wood forming hollows in living trees. Journal of Medical and Veterinary Mycology, 34, 127-131.
- LEMANN, P. F., 1985. Immunology of fungal infections in animals. Veterinary Immunology and Immunopathology, 10, 33-69.
- LENHARD, A., 1985. Blastomycosis in a ferret. Journal of the American Veterinary Medical Association, 186, 70-72.
- LEVY, M. G., MEUTEN, D. J. & BREITSCHWERDT, E. B., 1986. In vitro cultivation of Rhinosporidium seeberi: Interaction with epithelial cells. Science, 234, 474-476.
- LOMAX, L. G., COLE, J. R., PADHYE, A. A., AJELLO, L., CHANDLER, F. W. & SMITH, B. R., 1986. Osteolytic phaeohyphomycosis in a German shepherd dog caused by Phialomonium obovatum. Journal of Clinical Microbiology, 23, 987-991.
- LONDERO, A. T., DE CASTRO, R. M. & FISCHMAN, O., 1964. Two cases of sporotrichosis in dogs in Brazil. Sabouraudia, 3, 273-275.
- LOPEZ-SANROMAN, J., PAYA, M. J., CUTULI, M. T. & GONZALEZ, J. L., 2000. Cutaneous mucormycosis caused by Absidia corymbifera. Veterinary Dermatology, 11, 151-155.
- LUANGSA-ARD, J., HOUBRAKEN, J., VAN DOORN, T., HONG, S. B., BORMAN, A. M. & HYWEL-JONES, N. L., 2011. Purpureocillium, a new genus for the medically important Paecilomyces lilacinus. FEMS Microbiological Letters, 321, 141-149.
- LURIE, H. I., 1948. A common antigenic factor in different species of Sporotrichum. Mycologia, 40, 106-113.
- LURIE, H. I., 1963. Histopathology of sporotrichosis. Archives of Pathology, 75, 421-437.
- LURIE, H. I. & STILL, W. J., 1969. The ‘capsule’ of S. schenckii and the evolution of the asteroid body. A light and electron microscopic study. Sabouraudia, 7, 64-70.
- LUTZ, A. & SPLENDORE, A., 1907. Uber eine bei Menschen und Ratten beobachtete Mykose. Ein Beitrag zur Kenntnis der sogenannten Sporotrichosen. Zentralblat für Bakteriologie, 45, 631.
- MACHARIA, M. J., MWANGI, S. M., RUNYENJE, N. & BINEPAL, S. Y., 1993. Fungal infections in Kenya covering ten years (1981 to 1990). Bulletin of Animal Health and Production, 41, 101-104.
- MADISON, J. B., REID, B. V. & RASKIN, R. E., 1995. Amphotericin B treatment for Candida arthritis in two horses. Journal of the American Veterinary Medical Association, 206, 338-341.
- MAHAFFEY, L. W. & ADAM, N. M., 1964. Abortions associated with mycotic lesions of the placenta in mares. Journal of the Veterinary Medical Association, 144, 24-32.
- MAHGOUB, M. S., 1990. Mycetoma. In: JACOBS, P.H. & NALL, L., (eds.). Antifungal therapy: A complete guide for the practitioners. New York: Marcel-Dekker, 61-70.
- MAITY, B. & DEB, P., 1993. Incidence and histopathology of bovine pneumonia due to fungal infection. Indian Journal of Animal Health, 32, 109-112.
- MALIK, R., WIGNEY, D., MUIR, D. B. & LOVE, D. N., 1997. Asymptomatic carriage of Cryptococcus neoformans in the nasal cavity of dogs and cats. Journal of Medical and Veterinary Mycology, 35, 27-31.
- MANDAL, P. C. & GUPTA, P. P., 1993. Experimental aspergillosis in goats: Clinical, haematological and mycological studies. Journal of Veterinary Medicine, Series B, 40, 283-286.
- MARX, M. B., JONES, M. B., KIMBERLIN, D. S. & FURCLOW, M. L., 1972. Survey of histoplasmin and blastomycin test reactors among Thoroughbred horses in central Kentucky. American Journal of Veterinary Research, 33, 1701-1705.
- MASSA, K. L., MURPHY, C. J., HARTMANN, F. A. & MILLER, P. E., 1999. Usefulness of aerobic microbial culture and cytological evaluation of corneal specimens in the diagnosis of infectious ulcerative keratitis in animals. Journal of the American Veterinary Medical Association, 215, 1671-1674.
- MCCAUSLAND, I. P., SLEE, K. J. & HIRST, F. S., 1987. Mycotic abortion in cattle. Australian Veterinary Journal, 64, 129-132.
- MCENTEE, M., 1987. Eumycotic mycetoma: Review and report of a cutaneous lesion caused by Pseudalleschieria boydii in a horse. Journal of the American Veterinary Medical Association, 191, 1459-1461.
- MCGINNIS, M. R., 1983. Chromoblastomycosis and phaeohyphomycosis: New concepts, diagnosis and mycology. Journal of the American Academy of Dermatology, 8, 1-16.
- MCGINNIS, M. R., MCKENZIE, R. A. & CONNOLE., M. D., 1985. Phaeosclera dermatioides a new etiologic agent of phaeohyphomycosis in cattle. Journal of Medical and Veterinary Mycology, 23, 133-135.
- MCGINNIS, M. R., RINALDI, M. G. & WINN, R. E., 1986. Emerging agents of phaeohyphomycosis: Pathogenic species of Bipolaris and Exserophilum. Journal of Clinical Microbiology, 24, 250-259.
- MCKENZIE, R. A. & CONNOLE, M. D., 1977. Mycotic nasal granulomata in cattle. Australian Veterinary Journal, 53, 268-270.
- MCKENZIE, R. A., CONNOLE, M. D., MCGINNIS, M. R. & LEPELAAR, R., 1984. Subcutaneous phaeohyphomycosis caused by Moniliella suavelens in two cats. Veterinary Pathology, 21, 582-586.
- MCLAUGHLIN, B. G. & O’BRIEN, J. L., 1986. Guttural pouch mycosis and mycotic encephalitis in a horse. The Canadian Veterinary Journal, 27, 109-111.
- MCMULLEN, W. C., 1983. Phycomycosis. In: ROBINSON, N.E., (ed.). Current Therapy in Equine Medicine.Philadelphia: W.B. Saunders, 550-551.
- MCNAMARA, T. S., COOK, R. A., BEHLER, J. L., AJELLO, L. & PADHYE, A. A., 1994. Cryptococcosis in a common anaconda (Eunectes murinus). Journal of Zoo and Wildlife Medicine, 25, 128-132.
- MCPHERSON, E. A., 1957. The influence of physical factors on dermatomycosis in domestic animals. The Veterinary Record, 69, 1010-1013.
- MEDLEAU, L., MARKS, M. A., BROWN, J. & BORGES, W. L., 1990. Clinical evaluation of the latex agglutination test for the diagnosis of cryptococcosis in cats. Journal of the American Veterinary Medical Association, 196, 1470-1473.
- MEDWAY, W., 1980. Some bacterial and mycotic diseases of marine mammals. Journal of the American Veterinary Medical Association, 177, 831-834.
- MEIRELES, M. C. A., RIET-CORREA, F., FISCHMAN, O., ZAMBRANO, A. F. H., ZAMBRANO, M. S. & RIBEIRO, G. A., 1993. Cutaneous pythiosis from horses from Brazil. Mycoses, 36, 139-142.
- MENDOZA, L., ALFARO, A. A. & VILLABOS, J., 1988. Bone lesions caused by Pythium insidiosum in a horse. Journal of Medical and Veterinary and Mycology, 26, 5-12.
- MENDOZA, L., KAUFMAN, L. & STANDARD, P., 1987. Antigenic relationship between the animal and human pathogen Pythium insidiosum and nonpathogenic Pythium species. Journal of Clinical Microbiology, 25, 2159-2162.
- MENDOZA, L., VILLABOS, J., CALLEJA, C. E. & SOLIS, A., 1992. Evaluation of two vaccines for the treatment of pythiosis insidiosis in horses. Mycopathologica, 119, 89-95.
- MENGES, R. W., HABERMANN, R. T., SELBY, L. A. & BEHLOW, R. F., 1962. Histoplasma capsulatum isolated from a calf and pig. Veterinary Medicine, 57, 1067-1070.
- MEYER, K. F., 1915. The relation of animal to human sporotrichosis. Studies on American sporotrichosis III. Journal of the American Medical Association, 65, 579-585.
- MIGAKI, G., FONT, R. L., KAPLAN, W. & ASPER, E. D., 1978. Sporotrichosis in a Pacific white-sided dolphin (Lagenorhynchus obliquidens). American Journal of Veterinary Research, 39, 1916-1919.
- MILLER, P. E., MILLER, L. M. & SCHOSTER, J. V., 1990. Feline blastomycosis: A report of three cases and literature review (1961 to 1988). Journal of the American Animal Hospital Association, 26, 417-424.
- MILLER, R. I., 1983. Investigations into the biology of three ‘phycomycotic’ agents pathogenic for horses in Australia. Mycopathologia, 81, 23-28.
- MILLER, R. I. & CAMPBELL, R. S. E., 1982. Clinical observations on equine phycomycosis. Australian Veterinary Journal, 58, 221-226.
- MILLER, R. I. & CAMPBELL, R. S. E., 1982. Immunological studies on equine phycomycosis. Australian Veterinary Journal, 58, 227-231.
- MILLER, R. I. & CAMPBELL, R. S. E., 1984. The comparative pathology of equine cutaneous phycomycosis. Veterinary Pathology, 21, 325-332.
- MILLER, R. I. & POTT, B., 1980. Phycomycosis of the horse caused by Basidiobolus haptosporus. Australian Veterinary Journal, 56, 224-227.
- MILLS, J. H. L. & HIRTH, R. S., 1967. Systemic candidiasis in calves on prolonged antibiotic therapy. Journal of the American Veterinary Medical Association, 150, 862-870.
- MITCHELL, D. H., SORRELL, T. C., ALLWORTH, A. M., HEATH, C. H., MCGREGOR, A. R., PAPANAOUM, K., RICHARDS, M. J. & GOTTLIEB, T., 1995. Cryptococcal disease of the CNS in immunocompetent hosts: Influence of cryptococcal variety on clinical manifestations and outcome. Clinical Infectious Diseases, 55, 611-616.
- MITRA, S. K., SIKDAR, A., HARBOLA, P. C., CHATTOPADHYAY, S. K. & DAS, S. K., 1990. Prospective studies on dermatophytosis in cattle. Indian Veterinary Journal, 67, 495-497.
- MOHAN R.N, S. K. N. & AGARWALA, V. C., 1966. A note on an outbreak of epizootic lymphangitis in equines. Indian Veterinary Journal, 43, 338-339.
- MOLELLO, J. A. & BUSEY, W., 1963. Pulmonary aspergillosis in a cow. Journal of the Veterinary Medical Association of America, 142, 632-633.
- MOORE, M., 1946. Radiate formation on pathogenic fungi in human tissue. Archives of Pathology, 42, 113-153.
- MOORE, M. & ACKERMAN, V. L., 1946. Sporotrichosis with radiate formation in tissue. Archives of Dermatology and Syphilology, 53, 253-264.
- MORETTI, A., PASQUALI, P., MENCARONI, G., BONCIO, L. & PIERGILI FIORETTI, D., 1998. Relationship between cell counts in bovine milk and the presence of mastitis pathogens (yeasts and bacteria). Journal of Veterinary Medicine, Series B, 45, 129-132.
- MORGAN, J. D., 1972. Rigors, risin’s and rheumatism in a rose raiser: Disseminated sporotrichosis. Journal of the Mississippi State Medical Association, 13, 293-295.
- MORRIS, P., 1983. Sporothricosis. In: ROBINSON, N.E., (ed.). Current Therapy in Equine Medicine.Philadelphia: W.B. Saunders 555-556.
- MORRIS, P. J., LEGENDRE, A. M., BOWERSOCK, T. L., BROOKS, D. E., KRAHWINKEL, D. J., SHIRES, G. M. H. & WALKER, M. A., 1989. Diagnosis and treatment of systemic blastomycosis in a polar bear (Ursus maritimus) with itraconazole. Journal of Zoo and Wildlife Medicine, 20, 336-345.
- MOSES, J. S. & BALACHANDRAN, C., 1987. Rhinosporidiosis in bovines of Kanyakumari district, Tamil Nadu, India. Mycopathologia 100, 23-26.
- MULLER, G. H., KAPLAN, W., AJELLO, J. & PADHYE, A. A., 1975. Phaeohyphomycosis caused by Drechslera spicifera in a cat. Journal of the American Veterinary Medical Association, 166, 150-154.
- MULLOWNEY, P. C. & FADOK, V. A., 1984. Dermatological diseases of horses. Part III. Fungal skin diseases. The Compendium on Continuing Education for the Practicing Veterinarian, 6, S322-S331.
- MUNDAY, B. L., 1967. Mycotic infections of cattle. New Zealand Veterinary Journal, 15, 149.
- MWANZIA, J. M. & MUNG’-ATHIA, P., 1997. An outbreak of dermatophytosis in free ranging wildlife in Tsavo East National Park, Kenya. Epidemiologie-et-Sante-Animale, 31-32, 01.10.1-01.10.2.
- MYERS, D. D., SIMON, J. & CASE, M. T., 1964. Rhinosporidiosis in a horse. Journal of the American Veterinary Medical Association, 145, 345-347.
- NAESS, B. & SANDVIK, O., 1981. Early vaccination of calves against ringworm caused by Trichophyton verrucosum. The Veterinary Record, 109, 199-200.
- NAKAMURA, Y., SATO, H., WATANABE, S., TAKAHASHI, H., KOIDE, K. & HASEGAWA, A., 1996. Sporothrix schenckii isolated from a cat in Japan. Mycoses, 39, 125-128.
- NAQVI, S. H., BECHERER, P. & GUDIPATI, S., 1993. Ketoconazole treatment of a family with zoonotic sporotrichosis. Scandinavian Journal of Infectious Diseases, 25, 543-545.
- NAYAK, N. C., CHAKRABORTY, T. & BHOWMIK, M. K., 1989. Prevalence and pathology of caprine dermatophytosis due to Trichophyton mentagrophytes. Indian Journal of Animal Sciences, 59, 1380-1383.
- NEILAN, M. C., MCCAUSLAND, I. P. & MASLEN, M., 1982. Mycotic pneumonia, placentitis and neonatal encephalitis in dairy cattle caused by Mortierella wolfii. Australian Veterinary Journal, 59, 48-49.
- NESBIT, J. W., 1986. The pathology of pulmonary aspergillosis in a piglet. Journal of the South African Veterinary Association, 57, 125-127.
- NOORUDDIN, M. & DEY, A. S., 1985. Distribution of lesions and clinical severity of dermatophytosis in cattle. Agri Practice, 6, 31-36.
- NUSBAUM, B. P., GULBAS, N. & HERWITZ, S. N., 1983. Sporotrichosis acquired from a cat. Journal of the American Academy of Dermatology, 8, 386-391.
- ODDS, F. C., 1993. Intraconazole—a new oral antifungal agent with a very broad spectrum of activity in superficial and systemic mycoses. Journal of Dermatological Science, 5, 65-72.
- OFFICE INTERNATIONAL DES, E., 2001. Handistatus II. http://www.oie.int/hs2/report.asp.
- OVERGOOR, G. H. A. & VOS, A. J., 1983. l-Aspergillus-mastitis. Tijdschrift voor Diergeneeskunde, 108, 103-106.
- PACE, L. W., WIRTH, N. R., FOSS, R. R. & FALES, W. H., 1994. Endocarditis and pulmonary aspergillosis in a horse. Journal of Diagnostic Investigation, 6, 504-506.
- PAL, M., 1983. Keratomycosis in a buffalo calf (Bubalis bubalis) caused by Aspergillus fumigatus. The Veterinary Record, 113, 67.
- PAL, M. & THAPA, B. R., 1993. An outbreak of dermatophytosis in barking deer (Muntiacus muntjak). The Veterinary Record, 133, 347-348.
- PASCOE, R. R. & SUMMERS, P. M., 1981. Clinical survey of tumours and tumour-like lesions in horses in south east Queensland. Equine Veterinary Journal, 13, 235-239.
- PATERSON, S., 1997. Dermatophytosis in 25 horses—a protocol of treatment using topical therapy. Equine Veterinary Education, 9, 171-173.
- PATTON, C. J., 1977. Helminthosporium speciferum as the cause of dermal and nasal maduromycosis in a cow. Cornell Veterinarian, 67, 236-244.
- PEARSON, E. G., WATROUS, B. J., SCHMITZ, J. A. & SONN, R. J., 1983. Cryptococcal pneumonia in a horse. Journal of the American Veterinary Medical Association, 183, 577-579.
- PEARSON, J. K. L. & RANKIN, J. E. F., 1962. Letter to the Editor: Griseofulvin in the treatment of bovine ringworm. The Veterinary Record, 74, 564.
- PENRITH, M. L., VAN DER LUGT, J. J., HENTON, M. M., BOTHA, J. A. & STROEBEL, J. C., 1994. A review of mycotic nasal granuloma in cattle, with a report on three cases. Journal of the South African Veterinary Association, 65, 179-183.
- PÉREZ, V., CORPA, J. M., GARCIA MARIN, J. F., ADURIZ, J. J. & JENSEN, H. E., 1998. Mammary and systemic aspergillosis in dairy sheep. Veterinary Pathology, 35, 235-240.
- PERFECT, J. R., WONG, B., CHANG, Y. C., KWON-CHUNG, K. J. & WILLIAMSON, P. R., 1998. Cryptococcus neoformans: Virulence and host defences. Medical Mycology, 36(1), 79-86.
- PETRITES-MURPHY, M. B., ROBBINS, L. A., DONAHUE, J. M. & SMITH, B., 1998. Equine cryptococcal endometritis and placentitis with neonatal cryptococcal pneumonia. Journal of Veterinary Diagnostic Investigation, 8, 383-386.
- PETROVICH, S. V., 1991. Immunity and specific prophylaxis of dermatophytosis in animals. Proceedings of the XXIV World Veterinary Congress, Rio de Janeiro.
- PFEIFFER, M. & ELLIS, D. H., 1991. Environmental isolation of Cryptococcus neoformans var. gattii from California. Journal of Infectious Diseases, 163, 929-930.
- PHILIP, B., SMITH, L., MILLER, A., WRATHALL, A. & MITCHELL, T., 2000. The report of the Chief Veterinary Officer Animal Health 1999. Ministry of Agriculture, Fisheries and Food. Scottish Office of Agriculture, Environment and Fisheries Department, Welsh Office, Agriculture Department.
- PIANCASTELLI, C., GHIDINI, F., DONOFRIO, G., JOTTINI, S., TADDEI, S., CAVIRANI, S. & CABASSI, C. S., 2009. solation and characterization of a strain of Lichtheimia corymbifera (ex Absidia corymbifera) from a case of bovine abortion. Reproductive Biology and Endocrinology, 7, 138.
- PICARD, J. A., 1999 & 2001. Faculty of Veterinary Science, University of Pretoria. Unpublished Data.
- PICARD, J. A., LANE, E. & LOUW, M., 1998. Cryptococcosis in cheetahs. Proceedings of a Symposium on Cheetahs as Game Ranch Animals, Onderstepoort, 23 and 24 October, 136-141.
- PIER, A. C., ELLIS, D.H. & MILLS, K.W., 1993. Development of an immune response to experimental bovine Trichophyton verrucosum infection. Veterinary Dermatology, 3, 131-138.
- PIER, A. C., HODGES, A.B., LAUZE, J.M. & RAISBECK, M., 1995. Experimental immunity to Microsporum canis and cross-reaction with other dermatophytes of veterinary importance. Journal of Medical and Veterinary Mycology, 33, 93-97.
- PIER, A. C., SMITH, J. M. B., ALEXIOU, H., ELLIS, D. H., LUND, A. & PRITCHARD, R. C., 1994. Animal ringworm—its aetiology, public health significance and control. Journal of Medical and Veterinary Mycology, 32(1), 133-150.
- PIER, A. C. & ZANCANELLA, P. J., 1993. Immunization of horses against dermatophytosis caused by Trichophyton equinum. Equine Practice, 15, 23-27.
- PIGOUET, E. & VIGNE, P., 1912. Note sur un cas de sporotrichose naturelle du rat. Bullulletin de la Societe Francoise de Dermatologie et de Syphiligraphie, 28, 342-344.
- PIJPER, A. & PULLINGER, B. D., 1927. An outbreak of sporotrichosis among South African native miners. Lancet, 213, 914-915.
- PINOY, E., 1913. Actinomycosis et mycetomes. Bulletin de l’Institut Pasteur, 11, 929-938.
- PLAGEMANN, O., WEBER, A. & KOEPPEL, P., 1991. Chronische rezidivierende Endometritis bei einer Warmblutstute. Der Praktische Tierarzt, 7, 603-605.
- PLUNKETT, J. J., 1949. Epizootic lymphangitis. Journal of the Royal Army Veterinary Corps, 20, 94-99.
- PÖNNIGHAUS, J. M., WARNDORFF, D. & PORT, G., 1995. Microsporum nanum —a report from Malawi (Africa). Mycoses 38, 149-150.
- POUNDEN, W. D., AMBERSON, J. M. & JAEGER, A. B., 1952. A severe mastitis problem associated with Cryptococcus neoformans in a large dairy herd. American Journal of Veterinary Research, 13, 121-128.
- POWER, S. B. & MALONE, A., 1987. An outbreak of ringworm in sheep in Ireland caused by Trichophyton verrucosum. The Veterinary Record, 121, 218-220.
- PRITCHARD, D., CHICK, B. F. & CONNOLE, M. D., 1977. Eumycotic mycetoma due to Drechslera rostrata infection in a cow Australian Veterinary Journal, 53, 241-244.
- PUGH, D. G., BOWEN, J. M. & KLOPPE, L. H., 1986. Fungal endometritis in mares. The Compendium on Continuing Education, 8, S173-S181.
- PURCELL, K. L., JOHNSON, P. J., KREEGER, J. M. & WILSON, D. A., 1994. Jejunal obstruction caused by a Pythium insidiosum granuloma in a mare. Journal of the American Veterinary Medical Association, 205, 337-339.
- QUANDT, S. K. F. & NESBIT, J. W., 1992. Disseminated histoplasmosis in two-toed sloth (Cholopepus didactylus). Journal of Zoo and Wildlife, 23, 369-373.
- QUINLAN, J. & DE KOCK, G., 1926. Two cases of rhinosporidiosis in equines. South African Journal of Science, 23, 589-594.
- RAJU, N. R., LANGHAM, R. F. & BENNETT, R. R., 1986. Disseminated histoplasmosis in a Fennec fox. Journal of the American Veterinary Medical Association, 189, 1195-1196.
- RANDHAWA, H. S., CHATURVEDI, V. P., KINI, S. & KHAN, Z. U., 1985. Blastomyces dermatitidis in bats: First report of its isolation from the liver of Rhinopoma hardwickei hardwickei Gray. Sabouraudia, 23, 69-76.
- RAO, M. A. N., 1938. Rhinosporidiosis in bovines in the Madras Presidency, with a discussion on the probable modes of infection. Indian Journal of Veterinary Science, 8, 187-198.
- RAWLINSON, R. J. & JONES, R. T., 1978. Guttural pouch mycosis in two horses. Australian Veterinary Journal, 54, 135-138.
- READ, S. I. & SPERLING, L. C., 1982. Feline sporotrichosis. Transmission to man. Archives of Dermatology, 118, 429-431.
- REED, K. D., MOORE, F. M., GEIGER, G. E. & STEMPER, M. E., 1993. Zoonotic transmission of sporotrichosis: Case report and review. Clinical Infectious Diseases, 16, 384-387.
- REED, R. E., MIGAKI, G. & CUMMINGS, J. A., 1976. Coccidioidomycosis in a California sea lion (Zalophus californianus). Journal of Wildlife Diseases, 2, 372-375.
- REED, S. M., BOLES, C. L., DADE, A. W. & GALLAGHER, K. F., 1979. Localized equine coccidioidomycosis granuloma. Journal of Equine Medicine and Surgery, 3, 119-123.
- REED, W. M., HANIKA, C., MEHDI, N. A. Q. & SCHACKELFORD, C., 1987. Gastrointestinal zygomycosis in suckling pigs. Journal of the American Veterinary Medical Association, 191, 549-550.
- REFAI, M. & LOOT, A., 1970. Incidence of epizootic lymphangitis in Egypt with reference to its geographical distribution. Mykosen, 13, 247-252.
- REID, M. M., FROCK, I. W. & R., J. D., 1977. Successful treatment of a maduramycotic fungal infection of the equine uterus with amphotericin B. Veterinary Medicine: Small Animal Clinician, 72, 1194-1196.
- REIDARSON, T. H., GRINER, L. A., PAPPAGIANIS, D. & MCBAIN, J., 1998. Coccidioidomycosis in a bottlenose dolphin. Journal of Wildlife Diseases, 34, 629-631.
- REISS, N. R. & MOK, W. Y., 1979. Wangiella dermatitidis isolated from bats in Manaus, Brasil. Sabouraudia, 17, 213-218.
- RESNIK, B. I. & E., B. A., 1995. Improvement of eumycetoma with itraconazole. Journal of the American Academy of Dermatology, 33, 917-919.
- RESTREPO, A., 1994. Treatment of tropical mycoses. Journal of the American Academy of Dermatology, 31, S91-S102.
- REUZ, A., NEILSON, J. B. & BULMER, G. S., 1982. Control of Cryptococcus neoformans in nature by biotic factors. Sabouradia, 20, 21-29.
- RILEY, C. B., BOLTON, J. R., MILLS, J. N. & THOMAS, J. B., 1992. Cryptococcosis in seven horses. Australian Veterinary Journal, 69, 135-139.
- RIPPON, J. W., 1982. Histoplasmosis. In: Medical Mycology. The Pathogenic Fungi and Pathogenic Actinomycetes. 2nd Edition. Philadelphia: W.B. Saunders 342-379.
- RIPPON, J. W., 1988. Aspergillosis In: Medical Mycology. The Pathogenic Fungi and Pathogenic Actinomycetes. 3rd Edition. Philadelphia: W.B. Saunders Co.
- RIVOLTA, S., 1868. Ulcera nella saccoccia gutturale prodotta e mantenutada una crittogama in un cavallo. Il Medico Veterinario, 215-224.
- RIVOLTA, S. & MICELLONE, I., 1883. Del farcino criptococchio. Journal Anatomica Fisiologica Pathologica Animale Domestica, 15, 143-162.
- ROBERTS, M. C., SUTTON, R. H. & LOVELL, D. K., 1981. A protracted case of cryptococcal nasal granuloma in a stallion. Australian Veterinary Journal, 57, 287-291.
- ROBINSON, E. M. & PARKIN, B. S., 1929. A case of sporotrichosis in the horse. Journal of the South African Veterinary Medical Association, 1, 17-24.
- RODRIGUEZ, G. & BARRERA, G. P., 1996. The asteroid body of lobomycosis. Mycopathologia, 136, 71-74.
- ROSENSTEIN, D. S. & MULLANEY, T. P., 1996. Acute pulmonary aspergillosis and severe enterocolitis in a Quarter Horse mare. Equine Veterinary Education, 8, 200-203.
- ROSSER, E. J., 1995. Infectious crusting dermatoses. Veterinary Clinics of North America: Equine Practice, 11, 53-59.
- ROTSTEIN, D. S., THOMAS, R., HELMICK, K., CITINO, S. B., TAYLOR, S. K. & DUNBAR, M. R., 1999. Dermatophyte infections in free-ranging Florida panthers (Felis concolor coryi). Journal of Zoo and Wildlife Medicine, 30, 281-284.
- RUIZ, A., VELEZ, D. & FROMTLING, R. A., 1989. Isolation of saprophytic Cryptococcus neoformans from Puerto Rico: Distribution and variety. Mycopathologia, 106, 167-170.
- RUSHMOORE, B., REED, S. M., KOWALSKI, J. J. & BERTONE, J. J., 1993. Aspergillus granuloma in the mediastinum of a non-immunocompromised horse. Cornell Veterinarian, 83, 97-104.
- SABERHAGEN, C. & KLOTZ, S. A., 1997. Infection due to Paecilomyces lilacinus: A challenging clinical identification. Clinical Infectious Diseases, 25, 1411-1413.
- SALKIN, I. F., CORDON, M. & B., S. W., 1976. Cutaneous infection of a porcupine (Erethizon dorsatum) by Aureobasidium pullulans. Sabouraudia, 14, 47-49.
- SANFORD, S. E., 1985. Gastric zygomycosis (mucormycosis) in four suckling pigs. Journal of the American Veterinary Medical Association, 186, 393-394.
- SANTANGELO, R. T., NOURI-SORKHABI, M. H., SORRELL, T. C., CAGNEY, M., CHEN, S. C. A., KUCHEL, P. W. & WRIGHT, L. C., 1999. Biochemical and functional characterisation of secreted phospholipase activities from Cryptococcus neoformans in their naturally occurring state. Journal of Medical Microbiology, 48, 731-740.
- SARFATI, J., JENSEN, H. E. & LATGÉ, J. P., 1996. Route of infections in bovine aspergillosis. Journal of Medical and Veterinary Mycology, 24, 379-383.
- SAROSI, G. A., ARMSTRONG, D., DAVIES, S. F., GEORGE, R. B., GRAYBILL, J. R., PENNINGTON, J. E., ROBERTS, G. D. & STEVENS, D. A., 1985. Laboratory diagnosis of mycotic and special fungal infections. American Review of Respiratory Diseases, 132, 1373-1379.
- SAUNDERS, J. R., MATTHIESEN, R. J. & KAPLAN, W., 1983. Abortion due to histoplasmosis in a mare. Journal of the American Veterinary and Medical Association, 10, 1097-1099.
- SAUNDERS, L. Z., 1948. Systemic fungous infections in animals. A review. Cornell Veterinarian. 38, 213-238.
- SAUNDERS, L. Z., 1955. Chapter XXIII. Fungous Diseases. In: HULL, T.G. & CHARLES, C., (eds.). Diseases transmitted from Animals to Man. 4th Edition. Springfield, Illinois, USA: Thomas publications. 433-463.
- SCHEEPERS, A. & LEMMER, J., 1992. Disseminated histoplasmosis: Aspects of oral diagnosis. Journal of the Dental Association of South Africa, 47, 441-443.
- SCHERZER, S., NELL, B. & SUCHY, A., 1998. Fäller von Keratomycose beim Pferd in Österreich. Wiener Tierärtzliche. Monatsschrift, 85, 154-162.
- SCHMIDT, R. E. & HARTFIEL, D. A., 1977. Chromomycosis in amphibians— review and case report. Journal of Zoo Animal Medicine, 8, 26-28.
- SCHOLZ, H. D. & MEYER, L., 1965. Mortierella polycephala as a cause of pulmonary mycosis in cattle. Berliner und Münchener Tieräztliche Wochenschrift, 78, 27-30.
- SCHROEDER, H., JARDINE, J. E. & DAVIS, V., 1994. Systemic phaeohyphomycosis caused by Xylohypha bantiana in a dog. Journal of the South African Veterinary Association, 65, 175-178.
- SCOTT, D. B., 1975. An outbreak of ringworm in karakul sheep caused by a physiological variant of Trichophyton verrucosum. Onderstepoort Journal of Veterinary Research, 42, 49-52.
- SCOTT, D. B., 1994. Mycoses. In: COETZER, J.A.W., THOMSON, G.R. & TUSTIN, R.C., (eds.). Infectious Diseases of Livestock with Special Reference to Southern Africa. Cape Town: Oxford University Press Southern Africa.
- SCOTT, D. W., 1994. Marked acantholysis associated with dermatophytosis due to Trichophyton equinum in two horses. Veterinary Dermatology, 5, 105-110.
- SCOTT, D. W., BENTINCK-SMITH, J. & HAGGERTY, G. F., 1974. Sporotrichosis in three dogs. Cornell Veterinarian, 64, 416-426.
- SCOTT, W. A., 1986. Ringworm outbreak. (Correspondence). The Veterinary Record, 118, 342.
- SEATON, R. A., HAMILTON, A. J., HAY, R. J. & WARREL, D. A., 1996. Exposure to Cryptococcus neoformans var. gattii—a seroepidemiological survey. Transactions of the Royal Society of Tropical Medicine and Hygiene, 90, 508-512.
- SELIM, S. A., SOLIMAN, R., OSMAN, K., PADHYE, A. A. & AJELLO, L., 1985. Studies on histoplasmosis farciminosi (epizootic lymphangitis) in Egypt. Isolation of Histoplasma farciminosum from cases of histoplasmosis farciminosi in horses and its morphological characteristics. European Journal of Epidemiology, 1, 84-89.
- SEVIOUR, R. J., COOPER, A. L. & SKILBECK, N. W., 1987. Identification of Mortierella wolfii, a causative agent of mycotic abortion in cattle. Journal of Medical and Veterinary Mycology, 25, 115-123.
- SHADOMY, H. J. & WANG, H., 1988. Unusual structures of Sporothrix schenckii. Mycopathologia, 102, 143-147.
- SHIBATANI, M., ITAKURA, C., ITO, I., UMEMURA, T. & GORYO, M., 1986. Case report: Coccidioidomycosis in a Holstein-Friesian cow. Japanese Journal of Veterinary Science, 48, 155-158.
- SHIELDS, A. B. & AJELLO, L., 1966. Medium for selective isolation of Cryptococcus neoformans. Science, 151, 208-209.
- SHIMOZAWA, K., ANZAI, T., KAMADA, M. & TAKATORI, K., 1997. Fungal and bacterial isolation from racehorses with infectious dermatosis. Journal of Equine Science, 8, 89-93.
- SHIPTON, W. A., 1982. Physiology of growth and asexual reproduction of Pythium causing equine phycomycosis. Transactions of the British Mycological Society, 79, 221-227.
- SHIPTON, W. A., 1983.. Possible relationship of some growth and sporulation responses of Pythium to the occurrence of equine phycomycosis. Transactions of the British Mycological Society, 80, 13-18.
- SHOME, S. K. & SIRKAR, D. K., 1974. Efficiency of paraffin bait technique in the isolation of Nocardia from bronchopulmonary disorders. Mykosen, 17, 299-302.
- SIMPSON, J. G., 1966. A case of chromoblastomycosis in a horse. Veterinary Medicine: Small Animal Clinics, 61, 1207-1209.
- SIMSON, F. W., HELM, M. A. F., BOWEN, J. W. & BRANDT, B. A., 1947. The pathology of sporotrichosis in man and experimental animals. In: Sporotrichosis Infection on the Mines of the Witwatersrand. Publication of the Transvaal Chamber of Mines, Johannesburg, 34-58.
- SINGH, T., 1965. Studies on epizootic lymphangitis. I. Modes of infection and transmission of equine histoplasmosis (epizootic lymphangitis). Indian Journal of Veterinary Science, 35, 102-110.
- SINGH, T. & VARMANI, B. M. L., 1966. Studies on epizootic lymphangitis. A note on the pathogenicity of Histoplasma farciminosum (Rivolta) for laboratory animals. Indian Journal of Veterinary Science, 36, 164-167.
- SLOCOMBE, R. F. & SLAUSON, D. O., 1988. Invasive pulmonary aspergillosis of horses: An association with acute enteritis. Veterinary Pathology, 25, 277-281.
- SMILACK, J. D., 1993. Zoonotic transmission of sporotrichosis. Clinical Infectious Diseases, 17, 1075-1076.
- SMITH, H. A., JONES, T. C. & HUNT, R. D., 1972. Diseases caused by higher bacteria and fungi. In: Veterinary Pathology. 4th Edition. Philadelphia: Lea & Febiger. 615-677.
- SMITH, J. M. B., 1989. Opportunistic Mycoses of Man and Other Animals. CAB International Mycological Institute, Kew. Exeter: BPCC Wheatons, 251.
- SOLIMAN, R., EBEID, M., ESSA, M., ABD EL-HAMID, M. A., KHAMIS, Y. & SAID, A. H., 1991. Ocular histoplasmosis due to Histoplasma farciminosum in Egyptian donkeys. Mycoses, 34, 261-266.
- SOLIMAN, R., SAAD, M. A. & REFAI, M., 1985. Studies on histoplasmosis farciminosii (epizootic lymphangitis) in Egypt. III. Application of a skin test (‘Histofarcin’) in the diagnosis of epizootic lymphangitis in horses. Mykosen, 28, 457-461.
- SOLTYS, M. A., 1963. Miscellaneous fungi of medical and veterinary importance. In: Bacteria and Fungi Pathogenic to Man and Animals. London: Baillière Tindall and Cox.
- SORREL, T. C., CHEN, S. C. A., RUMA, P., MEYER, W., PFEIFFER, T. J., ELLIS, D. H. & BROWNLEE, A. G., 1996. Concordance of clinical and environmental isolates of Cryptococcus neoformans var. gattii by random amplification of polymorphic DNA analysis and PCR fingerprinting. Journal for Clinical Microbiology, 34, 1253-1260.
- SPANOGHE, L. & OLDENKAMP, E. P., 1977. Mycological and clinical observations on ringworm in cattle. The Veterinary Record, 101, 135- 136.
- SPENCER, A., LEY, C., CANFIELD, P., MARTIN, P. & PERRY, R., 1993. Meningoencephalitis in a koala (Phascolarctos cinereus) due to Cryptococcus neoformans var. gattii infection. Journal of Zoo and Wildlife Medicine, 24, 519-522.
- STANFORD, J. L., 1983. A simple review of nocardial taxonomy. Journal of Hygiene, 91, 369-376.
- STECKEL, R. R., ADAMS, S. B., LONG, G. G. & REBAR, A. H., 1982. Antemortem diagnosis and treatment of cryptococcal meninigitis in a horse. Journal of the American Veterinary Medical Association, 180, 1085-1089.
- STEIGER, R. R. & WILLIAMS, M. A., 2000. Granulomatous tracheitis caused by Conidiobolus coronatus in a horse. Journal of Veterinary Internal Medicine, 14, 311-314.
- SUZUKI, K., KAWASAKI, M. & ISHIZAKI, H., 1988. Analysis of restriction profiles of mitochondrial DNA from Sporothrix schenckii and related fungi. Mycopathologia, 103, 147-151.
- SWEENEY, C. R. & HABECKER, P. L., 1999. Pulmonary aspergillosis in horses: 29 cases (1974-1997). Journal of the American Veterinary Medical Association, 214, 808-811.
- SWEENEY, R. W., DIVERS, T. J., GILLETTE, D. M. & WHITLOCK, R. H., 1989. Mycotic omasitis and rumenitis as sequelae to sepsis in dairy cattle: Six cases (1979-1986). Journal of the American Veterinary Medical Association, 194, 552-553.
- SWERCZEK, T. W., 1992. Identifying the mycotic causes of abortion in mares. Veterinary Medicine, 62-65.
- TAKATORI, K., ICHIJO, S. & KURATA, H., 1981. Dermatophytosis of a tiger caused by Microsporum canis. Mycopathologica, 73, 105-108.
- TANAKA, E., KIMURA, T., WADA, S., HATAI, K. & SONODA, S., 1994. Dermatophytosis in a Steller sea lion (Eumetopias jubatus). Journal of Veterinary Medical Science, 56, 551-553.
- TANAKA, S., SUMMERBELL, R. C., TSUBOI, R., KAAMAN, T., SOHNLE, P. G., MATSUMOTO, T. L. & RAY, T. L., 1992. Advances in dermatophytes and dermatophytosis. Journal of Medical and Veterinary Mycology, 30(1), 29-39.
- TANNER, A. C., 1982. Microsporum gypseum as the cause of ringworm in a horse. The Veterinary Record, 111, 396.
- TEUSCHER, E., VRINS, A. & LEMAIRE, T., 1984. A vestibular syndrome associated with Cryptococcus neoformans in a horse. Zentralblatt für Veterinärmedizin [B], 31, 132-139.
- THERON, J., 1987. Don’t mix horses and roses. Farmer’s Weekly. South Africa, 64-65.
- THIEL, R. P., MECH, L. D., RUTH, G. R., ARCHER, J. R. & KAUFMAN, L., 1987. Blastomycosis in wild wolves. Journal of Wildlife Diseases, 23, 321-323.
- THOMPSON, D. W. & KAPLAN, W., 1977. Laboratory-acquired sporotrichosis. Sabouraudia, 15, 167-170.
- THORNTON, R., 1996. Bovine abortion diagnosis in 1995. Surveillance Washington, 4, 21-22.
- THOROLD, P. W., 1951. Equine sporotrichosis. Journal of the South African Veterinary Medical Association, 12, 81-83.
- TICHES, D., VITE, C. H., DAYRELL-HART, B., STEINBERG, S. A. & GROSS, S., 1998. A case of canine cryptococcosis: Management with fluconazole. Journal of the American Animal Hospital Association, 34, 145-151.
- TODD, J. N., WELLS, G. A. H. & DAVIE, J., 1985. Mycotic abortion in the pig. The Veterinary Record, 116, 350.
- TORIBIO, R. E., KOHN, C. W., LAWRENCE, A. E., HARDY, J. & HUTT, J. A., 1999. Thoracic and abdominal blastomycosis in a horse. Journal of the American Veterinary Medical Association, 214, 1357-1360.
- TUTTLE, P. A. & CHANDLER, F. W., 1983. Deep dermatophytosis in a cat. Journal of the South African Veterinary Medical Association, 183, 1106-1108.
- VAN AMSTEL, S. R., ROSS, M. & VAN DEN BERGH, S. S., 1984. Maduromycosis (Madurella mycetomatis) in a horse. Journal of the South African Veterinary Association, 55, 81-83.
- VAN CUTSEM, J. & ROCHETTE, F., 1991. Mycoses in Domestic Animals. Janssen Research Foundation.
- VAN VEEN, H. S. & KREMER, W. D. J., 1992. Mycotische mastitis bij het rund. Tijdschrift voor Diergeneeskunde, 117, 414-416.
- VESTWEBER, J. G. & LEIPOLD, H. W., 1995. Pulmonary and mammary aspergillosis in a dairy cow. Canadian Veterinary Journal, 35, 780.
- VISMER, H. F., 1986. Human and animal dermatophytosis in the Transvaal. MSc Dissertation, University of Pretoria.
- VISMER, H. F., 1992. Mammalian sporothrix infections in Southern Africa —Researches on their development, dynamics and control. PhD Thesis. University of Pretoria, 253.
- VISMER, H. F., DE BEER, H. A. & DREYER, L., 1980. Subcutaneous phycomycosis caused by Basidiobolus haptosporus (Drechsler, 1947). South African Medical Journal, 58, 644-647.
- VISMER, H. F. & EICKER, A., 1994. Growth of human pathogenic isolates of Sporothrix schenckii on indigenous and exotic wood species in South Africa. Mycological Research, 98, 121-124.
- VISMER, H. F. & FINDLAY, G. H., 1984. Mycetoma as seen in the Pretoria Hospital. Proceedings: Symposium on the Mycoses, February 1984, Sandton, Johannesburg.
- VISMER, H. F. & HULL, P. R., 1997. Incidence, epidemiology and geographical distribution of Sporothrix schenckii infections in Gauteng, South Africa. Mycopathologia, 137, 137-143.
- VISMER, H. F. & MORRISON, J. G. L., 1974. Mycetoma caused by Actinomadurae (Streptomyces) madurae. The first South African case and the results of chemotherapy. South African Medical Journal, 48, 433-437.
- VOLZ, P. A. & PAN, M., 1976. The existence of Sporothrix schenckii as a saprophyte in Taiwan. Taiwania, 21, 6-13.
- WALDRIP, D. A., PADHYE, A. A., AJELLO, L. & AJELLO, M., 1974. Isolation of Dactylaria gallopava from boiler-house litter. Avian Diseases, 18, 446-451.
- WALKER, R. L., JOHNSON, B. J., JONES, K. L., PAPPAGIANIS, D. & CARLSON, G. P., 1993. Coccidioides immitis mastitis in a mare. Journal of Veterinary Diagnostic Investigation, 5, 446-448.
- WALSH, T. J., MITCHELL, T. G. & LARONE, D. V., 1995. Histoplasma, Blastomyces, Coccidiodes, and other dimorphic fungi causing systemic mycoses. In: MURRAY, P.R., BARON, E.J., PFALLER, M.A., TENOVER, F.C. & YOLKEN, R.H., (eds.). 6th Edition. Manual of Clinical Microbiology. Washington: American Society for Microbiology Press, 749-764.
- WATSON, E. A., 1920. A note on equine sporotrichosis. Canadian Veterinary Record, 1, 18-19.
- WEBER, M. & MILLER, R. E., 1996. Fungal pneumonia in black rhinoceros (Diceros bicornis). Proceedings of the American Association of Zoo Veterinarians. 34-36.
- WEEKS, R. J., PADHYE, A. A. & AJELLO, L., 1985. Histoplasma capsulatum variety farciminosum: A new combination for Histoplasma farciminosum. Mycologia, 77, 964-970.
- WEIGT, U., 1970. Blastomyces contaminated antibiotics as a cause of blastomycotic mastitis. Deutsche Tierärztliche Wochenschrift, 77, 538-541.
- WELCHMAN, D., DE, B. & BAUST, G. N., 1987. A survey of abomasal ulceration in veal calves. The Veterinary Record, 121, 586-590.
- WELSH, R. D. & STAIR, E. L., 1995. Cryptococcal meningitis in a horse. Journal of Equine Veterinary Science, 15, 80-82.
- WELSHMAN, M. D., FLEMING, M. P. & TRIBE, G. W., 1981. Coccidiomycosis in a baboon. The Veterinary Record, 108, 62.
- WERNER, A. H. & WERNER, B. E., 1994. Sporotrichosis in man and animal. International Journal of Dermatology, 33, 692-700.
- WHITE-WEITHERS, M. S. & MEDLEAU, L., 1995. Evaluation of topical therapies for the treatment of dermatophyte-infected hairs from dogs and cats. Journal of the American Animal Hospital Association, 31, 250-253.
- WILKINSON, L. M., WALLACE, J. M. & CLINE, J. M., 1999. Disseminated blastomycosis in a rhesus monkey (Macaca mulatta). Veterinary Pathology, 36, 460-462.
- WILLIAMS, B. M., SHREEVE, B. J., HEBERT, C. N. & SWIRE, P. W., 1977. Bovine mycotic abortion: Some epidemiological aspects. The Veterinary Record, 100, 382-385.
- WILSON, T. M., KIERSTEAD, M. & LONG, J. R., 1974. Histoplasmosis in a harp seal. Journal of the American Veterinary Medical Association, 165, 815-817.
- WOHLGEMUTH, K. & KNUDTSON, W. V., 1977. Abortion associated with Mortierella wolfii in cattle. Journal of the American Veterinary Medical Association, 171, 437-442.
- WOLF, A. M., 1989. Zoonosis update: Systemic mycoses. Journal of the American Veterinary Medical Association, 194, 1192-1196.
- WOLF, A. M., 1991. Systemic mycotic and protozoal infections in cats. Veterinary International, 1, 11-19.
- WOODS, R., BLYDE, D. J., SEAMAN, J. T. & THORNE, A. H., 1999. Fungal pneumonia in a captive black rhinoceros. Australian Veterinary Journal, 77, 717-719.
- WOOLUMS, A. R., DENICOLA, D. B., RHYAN, J. C., MURPHY, D. A., KAZACOS, K. R., JENKINS, S. J., KAUFMAN, L. & THORNBURG, M., 1995. Pulmonary histoplasmosis in a llama. Journal of Veterinary Diagnostic Investigation, 7, 567-569.
- WORSTER, A. A., LILLICH, J. D., COX, J. H. & RUSH, B. R., 2000. Pythiosis with bone lesions in a pregnant mare. Journal of the American Veterinary Medical Association, 216, 1795-1798.
- ZAITOUN, A. M. & ALI, H. S., 1992. An outbreak of cutaneous cryptococcosis in feedlot sheep flock at Assiut Governorate-Upper Egypt. Assiut Veterinary Medical Journal, 28, 267-278.
- ZERPA, R., HUICHO, L. & GUILLÉN, A., 1996. Modified India ink preparation for, Cryptococcus neoformans in cerebral fluid. Journal of Clinical Microbiology, 34, 2290-2291.
- ZHANG, W. T., WANG, Z. R., LIU, Y. P., ZHANG, D. L., LIANG, P. Q., FANG, Y. Z., HUANG, Y. J. & GAO, S. D., 1986. Attenuated vaccine against epizootic lymphangitis in horses. Chinese Journal of the Veterinary Science and Technology, 7, 3-5.
- ZHANG, X. & ANDREWS, J. H., 1993. Evidence for growth of Sporothrix schenckii on dead but not on living sphagnum moss. Mycopathologia, 123, 87-94.
- ZIEMER, E. L., PAPPAGIANIS, D., MADIGAN, J. E., MANSMANN, R. A. & HOFFMAN, K. D., 1992. Coccidioidomycosis in horses: 15cases (1975-1984). Journal of the American Veterinary Medical Association, 201, 910-916.
- ZSCHOKKE, E., 1913. Em Rhinosporidium beim Pferde. Schweizer Archiv für Tierheilkunde, 55, 641-650.
- ZWICK, L. S., BRIGGS, M. B., TUNEV, S. S., LICHTENSTEIGER, C. A. & MURNANE, R. D., 2000. Disseminated blastomycosis in two California sea lions (Zalophus californianus). Journal of Zoo and Wildlife Medicine, 31, 211-214.
























