- Infectious Diseases of Livestock
- Part 2
- GENERAL INTRODUCTION: PAPILLOMAVIRIDAE
- GENERAL INTRODUCTION: PARAMYXOVIRIDAE AND PNEUMOVIRIDAE
- Rinderpest
- Peste des petits ruminants
- Parainfluenza type 3 infection
- Bovine respiratory syncytial virus infection
- Hendra virus infection
- Paramyxovirus-induced reproductive failure and congenital defects in pigs
- Nipah virus disease
- GENERAL INTRODUCTION: CALICIVIRIDAE AND ASTROVIRIDAE
- Vesicular exanthema
- Enteric caliciviruses of pigs and cattle
- GENERAL INTRODUCTION: RETROVIRIDAE
- Enzootic bovine leukosis
- Jaagsiekte
- Visna-maedi
- Caprine arthritis-encephalitis
- Equine infectious anaemia
- GENERAL INTRODUCTION: PAPILLOMAVIRIDAE
- Papillomavirus infection of ruminants
- Papillomavirus infection of equids
- GENERAL INTRODUCTION: ORTHOMYXOVIRIDAE
- Equine influenza
- Swine influenza
- GENERAL INTRODUCTION: CORONAVIRIDAE
- Porcine transmissible gastroenteritis
- Porcine respiratory coronavirus infection
- Porcine epidemic diarrhoea
- Porcine haemagglutinating encephalomyelitis virus infection
- Porcine deltacoronavirus infection
- Bovine coronavirus infection
- Ovine coronavirus infection
- Equine coronavirus infection
- GENERAL INTRODUCTION: PARVOVIRIDAE
- Porcine parvovirus infection
- Bovine parvovirus infection
- GENERAL INTRODUCTION: ADENOVIRIDAE
- Adenovirus infections
- GENERAL INTRODUCTION: HERPESVIRIDAE
- Equid herpesvirus 1 and equid herpesvirus 4 infections
- Equid gammaherpesvirus 2 and equid gammaherpesvirus 5 infections
- Equine coital exanthema
- Infectious bovine rhinotracheitis/infectious pustular vulvovaginitis and infectious pustular balanoposthitis
- Bovine alphaherpesvirus 2 infections
- Malignant catarrhal fever
- Pseudorabies
- Suid herpesvirus 2 infection
- GENERAL INTRODUCTION: ARTERIVIRIDAE
- Equine viral arteritis
- Porcine reproductive and respiratory syndrome
- GENERAL INTRODUCTION: FLAVIVIRIDAE
- Bovine viral diarrhoea and mucosal disease
- Border disease
- Hog cholera
- Wesselsbron disease
- Louping ill
- West nile virus infection
- GENERAL INTRODUCTION: TOGAVIRIDAE
- Equine encephalitides caused by alphaviruses in the Western Hemisphere
- Old World alphavirus infections in animals
- Getah virus infection
- GENERAL INTRODUCTION: BUNYAVIRIDAE
- Diseases caused by Akabane and related Simbu-group viruses
- Rift Valley fever
- Nairobi sheep disease
- Crimean-Congo haemorrhagic fever
- GENERAL INTRODUCTION: ASFARVIRIDAE
- African swine fever
- GENERAL INTRODUCTION: RHABDOVIRIDAE
- Rabies
- Bovine ephemeral fever
- Vesicular stomatitis and other vesiculovirus infections
- GENERAL INTRODUCTION: REOVIRIDAE
- Bluetongue
- Ibaraki disease in cattle
- Epizootic haemorrhagic disease
- African horse sickness
- Equine encephalosis
- Palyam serogroup orbivirus infections
- Rotavirus infections
- GENERAL INTRODUCTION: POXVIRIDAE
- Lumpy skin disease
- Sheeppox and goatpox
- Orf
- Ulcerative dermatosis
- Bovine papular stomatitis
- Pseudocowpox
- Swinepox
- Cowpox
- Horsepox
- Camelpox
- Buffalopox
- GENERAL INTRODUCTION: PICORNAVIRIDAE
- Teschen, Talfan and reproductive diseases caused by porcine enteroviruses
- Encephalomyocarditis virus infection
- Swine vesicular disease
- Equine picornavirus infection
- Bovine rhinovirus infection
- Foot-and-mouth disease
- GENERAL INTRODUCTION: BORNAVIRIDAE
- Borna disease
- GENERAL INTRODUCTION: CIRCOVIRIDAE AND ANELLOVIRIDAE
- Post-weaning multi-systemic wasting syndrome in swine
- GENERAL INTRODUCTION: PRION DISEASES
- Scrapie
- Bovine spongiform encephalopathy
- Transmissible spongiform encephalopathies related to bovine spongiform encephalopathy in other domestic and captive wild species
GENERAL INTRODUCTION: PAPILLOMAVIRIDAE
This content is distributed under the following licence: Attribution-NonCommercial CC BY-NC
View Creative Commons Licence details here

PAPILLOMAVIRIDAE
Current author:
J S MUNDAY - Professor of Veterinary Pathology, BVSc, PhD, Dipl ACVP, School of Veterinary Science, Massey University, Tennent Drive, Palmerston North, Manawatu, 4410, New Zealand
Introduction
Papillomaviruses were previously classified along with Polyomaviruses within the Papovaviridae family. However, these viruses are now classified into the two separate families of Papillomaviridae and Polyomaviridae. As polyomaviruses are not considered pathogenic in livestock, these are not discussed further.
Papillomaviruses are associated with important diseases in bovine, ovine and equine species These viruses are considered a rare cause of disease in goats and, although pigs are infected by papillomaviruses, they have not been associated with disease in this species. In other domestic species, papillomaviruses are also associated with oral papillomas, cutaneous papillomas, cutaneous pigmented plaques, and squamous cell carcinomas (SCCs) in dogs and oral papillomas, cutaneous viral plaques/Bowenoid in situ carcinomas, SCCs, and sarcoids in cats (Table 1).22, 25
Biology of papillomaviruses
Papillomaviruses are small, non-enveloped, icosahedral viruses. Their circular double-stranded DNA genome is around 8000 base pairs long and includes five or six early (E) and two late (L) open reading frames (ORF) (Figure 1). Papillomaviruses are classified using the L1 ORF sequence. Papillomaviruses within the same genus have greater than 60 per cent L1 ORF similarity and typically demonstrate similar host, location, and behavioral characteristics. Different papillomavirus types have less than 90 per cent similarity in their L1 ORF.4 The Papillomaviridae family currently includes 49 genera16 that contain numerous different papillomavirus types that infect a wide variety of animals including mammals, reptiles, and birds (Figure 2).23 However, short sequences of additional papillomavirus types have been amplified from many domestic species suggesting that new papillomavirus types are likely to be recognized in the future. Papillomaviruses have co-evolved with their hosts over a long time and the vast majority of papillomaviruses are strictly species specific. Currently, the bovine Deltapapillomaviruses are the only papillomaviruses known to be able to infect more than one species.24, 26
Infections by papillomaviruses are generally limited to stratified epithelium. The Deltapapillomaviruses are unique because they can also infect mesenchymal cells, although these cells probably do not permit virus replication.18 Papillomaviruses can be spread by direct contact. Additionally, as these viruses are able to survive for an extended time in the environment, they can also be spread indirectly. There is some evidence that papillomaviruses may also be able to be spread via biting flies or other insect vectors.13 Once the papillomavirus comes into contact with a mucocutaneous epithelium, the presence of microabrasions allows infection of basal cells resulting in the production of small numbers (10-200) of circular papillomavirus DNA copies (episomes) which are maintained in the basal cells as they replicate.30 While basal cell replication maintains the infection, the viral life-cycle is only completed when an infected cell undergoes terminal differentiation.9 This differentiation of a basal cell normally results in the cell becoming post-mitotic with subsequent loss of the nuclear machinery. To prevent the suprabasilar cell from leaving the cell cycle, the papillomavirus produces the E6 and E7 proteins that induce cell replication. Cell replication maintains the cell nuclear machinery that is required for papillomavirus replication as well as expanding the pool of infected cells within the epithelium, greatly increasing viral replication.11 The papillomavirus capsid proteins (L1 and L2) are expressed and viral assembly occurs as the infected cell reaches the upper epithelium. Papillomavirus-laden mature keratinocytes are sloughed from the epithelial surface. Papillomaviruses do not cause cell lysis, but the normal degradation of these sloughed cells releases infectious virions.11
Pathogenesis of papillomavirus disease
The clinical presentation of a papillomavirus infection is largely determined by the degree of cell proliferation induced by the individual papillomavirus. Most papillomavirus types only mildly increase cell proliferation and papillomavirus replication occurs slowly in the absence of any visible lesions.11 Alternatively, a minority of papillomavirus types markedly increase cell replication resulting in rapid production of large numbers of viral particles. Such infections cause marked epithelial hyperplasia that is visible clinically as a papilloma (wart).21
As papillomaviruses do not cause cell lysis they are generally of minimal adverse impact to the host and papillomavirus infections often illicit only a weak immune response.10 The immune reaction is further reduced because the majority of papillomavirus proteins are only expressed within the external epithelial layers. Furthermore, some papillomavirus proteins have been found to potentially interfere with an immune response.8 When an immune reaction occurs, the response can be subdivided into humoral and cell-mediated components. The production of circulating IgG antibodies blocks entry of the papillomavirus into the basal cells preventing further infections by this papillomavirus type, although antibodies do not influence resolution of an established papillomavirus infection.14, 27 Resolution of an established infection is dependent on the development of a cell-mediated immune (CMI) response.12 If an animal has a papilloma, the CMI response decreases papillomavirus replication resulting in a reduction of the papillomavirus-induced hyperplasia and subsequent spontaneous lesion resolution. There is significant intra-individual variation in the time taken by the body to mount a CMI response. This results in significant variation in the time that an animal can have visible papillomas before these lesions resolve. Immunosuppression may also delay the resolution of papillomas.25
Most animals are asymptomatically infected by papillomaviruses.2, 3 As the immune system prevents rapid papillomavirus replication and subsequent epithelial hyperplasia, these infections do not usually result in clinical lesions.12 However, if changes in the host allow greater papillomavirus protein expression, the resultant epithelial hyperplasia can become visible as a lesion. This is illustrated by the increased rate of oesophageal papillomas observed in cattle that ingest bracken fern, a plant that causes immunosuppression.17
In humans, the major significance of papillomaviruses is the ability of the high risk Alphapapillomaviruses to cause cervical, anogenital and oral cancer.33 The human Alphapapillomaviruses have been shown to cause cancer due to the accidental integration of the papillomavirus DNA into the host DNA. This integration prevents virus replication but results in overexpression of the papillomavirus E6 and E7 genes causing rapid uncontrolled cell growth, inhibition of cell apoptosis, telomerase loss, and disruption of processes that ensure accurate assembly of replicated host DNA.11 As these cells multiply rapidly and are genetically-unstable, they are predisposed to developing additional mutations that result in neoplastic transformation.28 While there is accumulating evidence of an association between papillomavirus infection and cancer in cattle, horses, and sheep, the mechanisms of neoplastic transformation are either unknown or have been shown to be different to those of the human high risk papillomaviruses.5, 26, 32 Additionally, as some papillomavirus-associated neoplasms of livestock have been shown to contain productive infections, it appears likely that the papillomavirus DNA is not integrated in the host DNA in these cancers.
Prevention of papillomavirus disease
Papillomaviruses are infectious agents and if the agent can be avoided then papillomavirus-induced disease can be prevented. This is illustrated by the rarity of genital papillomas in cattle that are artificially inseminated. While this could suggest that papillomavirus-induced disease could be prevented by identifying and culling affected animals, the high proportion of animals that are asymptomatically infected by papillomaviruses means such a strategy is unlikely to be successful.
In humans, virus-like particle papillomavirus vaccines are used to prevent papillomavirus infection. While such vaccines have also been shown to be effective in animals,19, 31 there are important limitations to the use of vaccines to prevent papillomavirus-induced disease in livestock. Firstly, for a vaccine to prevent infection, it has to be given prior to first exposure to the papillomavirus.29 When a papilloma develops in an animal, this indicates that it is the first time that this animal has been infected by this papillomavirus type. As papillomas generally develop in young adult animals, this suggests vaccination prior to first infection could be possible. However, the time of infection for the papillomaviruses that are associated with equine sarcoids and ovine SCC is currently uncertain and it is unknown whether vaccination prior to first infection with these papillomaviruses is possible. Secondly, a vaccine has to be economically viable. As papillomas typically have little economic cost, it appears unlikely that a vaccine to prevent these self-resolving hyperplastic lesions would be commercially successful. Papillomaviruses are associated with economically-important cancers of the bladder and alimentary tract in cattle and water buffalo and the skin of sheep.1, 6 However, these cancers are strongly influenced by exposure to other co-factors making it unclear what proportion of these cancers would be prevented by a papillomavirus vaccine. Equine sarcoids and equine penile SCC also have a significant economic cost. Research is currently underway evaluating the efficacy of vaccination against these diseases and vaccines may become available in the future.15
Diagnosis of papillomavirus disease
Papillomas are hyperplastic lesions that develop as a result of papillomavirus-induced proliferation of suprabasilar cells within the epithelium. This hyperplasia results in thickening and folding of the epithelium forming an exophytic lesion. Histological examination of a papilloma can reveal the presence of papillomavirus-induced changes to the infected cells. These changes include the development of enlarged cells that have a shrunken nucleus surrounded by a clear cytoplasmic halo (koilocytes), the development of increased quantities of blue-grey smudgy cytoplasm (Figure 3), intranuclear eosinophilic inclusion bodies, or clumping of keratohyalin granules within the superficial layers of the epithelium.25 Immunohistochemistry can be used to detect papillomavirus antigen. However, immunohistochemistry detects L1 protein and lesions rarely contain immunostaining without the presence of histologically-detectible papillomavirus-induced cell changes. Molecular techniques such as PCR can detect papillomavirus DNA within the lesions and, by sequencing the amplified DNA, the papillomavirus type can be determined.
Neoplasia associated with papillomavirus infection often contains no histological or immunohistochemical evidence of papillomavirus infection and evidence of papillomavirus involvement is derived from observations of progression from a papilloma to a neoplasm or from molecular detection of papillomavirus DNA within the neoplasm.7, 20 Due to the ubiquitous nature of papillomaviruses it can be hard to differentiate between the papillomavirus causing neoplastic transformation of infected cells and the papillomavirus being an ‘innocent bystander’ present within the lesion, but not influencing neoplastic transformation of the cells.22
Table 1 Summary of papillomaviruses and their predominant associated lesions. It should be noted that not all papillomavirus types within a genus will cause all associated lesions listed. For example, bovine papillomavirus (BPV) -4 is the only Xipapillomavirus type associated with oesophageal papillomas in cattle. OaPV, Ovis aries papillomavirus; EcPV, Equus caballus papillomavirus; SsPV, Sus scrofa papillomavirus; CPV, Canis familiaris papillomavirus, FcaPV, Felis catus papillomavirus;
| Species | Papillomavirus genus | Papillomavirus types | Predominant associated lesions |
| Cattle and water buffalo | Delta | BPV-1, -2, -13, -14 | Cutaneous fibropapilloma |
| Xi | BPV-3, -4, -6, -10, -11, -12 | Cutaneous papilloma | |
| Epsilon | BPV-5, -8 | Cutaneous fibropapilloma | |
| Dyoxi | BPV-7 | Teat papilloma | |
| Sheep | Delta | OaPV-1, -2 | Cutaneous fibropapilloma |
| Dyolambda | OaPV-3 | Cutaneous squamous cell carcinoma | |
| Goats | Phi | ChPV-1 | No associated lesions |
| Horses | Zeta | EcPV-1 | Cutaneous papilloma |
| Dyoiota | EcPV-2, -4, -5 | Penile papilloma | |
| Dyorho | EcPV-3, -6, -7 | Aural plaque | |
|
Delta |
BPV-1, -2, -13 |
Equine sarcoid | |
| Pigs | Dyodelta | SsPV-1 | No associated lesions |
| Dogs | Lambda | CPV-1, -6 | Oral papilloma |
| Tau | CPV-2, -7, -13, -17, -19 | Cutaneous papilloma | |
| Chi | CPV-3, -4, -5, -8, -9, -10, -11, -12, -14, -15, -16 | Viral pigmented plaque | |
| Cats | Lambda | FcaPV-1 | Oral papilloma |
| Dyotheta | FcaPV-2 | Viral plaque/bowenoid in situ carcinoma | |
| Unclassified | FcaPV-3, -4 | Viral plaque/bowenoid in situ carcinoma | |
| Delta | BPV-14 | Feline sarcoid |
* These cancers are strongly influenced by co-factors and the precise role of the papillomavirus in cancer development is currently unclear.

Figure 2 Unrooted maximum likelihood phylogeny based on a 2965 bp concatenated nucleotide alignment of E1, E2, L1 and L2 ORF sequence 70 papillomavirus types of different species and genera. Accession numbers for the sequences used are included. Abbreviations used include human papillomavirus, HPV; Mesocricetus auratus papillomavirus (Hamster oral papillomavirus), MaPV; Micromys minutus papillomavirus (old harvest mouse papillomavirus), MmPV; Mus musculus papillomavirus, MmuPV; Mastomys coucha papillomavirus, McPV; Apodermus sylvaticus papillomavirus, AsPV; Canine papillomavirus, CPV; Bovine papillomavirus, BPV; Phocoena spinipinnis papillomavirus, PhsPV; Bettongia penicillata papillomavirus, BpPV; Macaca fascicularis papillomavirus, MfPV; Macaca mulatta papillomavirus, RPV; Felis catus papillomavirus, FcaPV; Equus caballus papillomavirus, EcPV; Multimammate rat papillomavirus, MnPV; Psittacus erithacus timneh papillomavirus, PePV; Fringilla coelebs papillomavirus, FcPV; Ovis aries papillomavirus, OaPV, Odocoileus virginianus papillomavirus, OvPV; Alces alces papillomavirus, AaPV; Oryctolagus cuniculus papillomavirus (Rabbit oral papillomavirus), OcPV; Sylvilagus floridanus papillomavirus (Cottontail rabbit (Shope) papillomavirus), SfPV. The papillomavirus genera are also listed. Internal branches are coloured based on inferred bootstrap support values, as determined by 1000 replicates usin RAxML. The scale bar indicates the genetic distance (nucleotide substitutions per site). Figure from Munday JS et al. Veterinary Microbiology 2017, 207:50-55 (with permission).

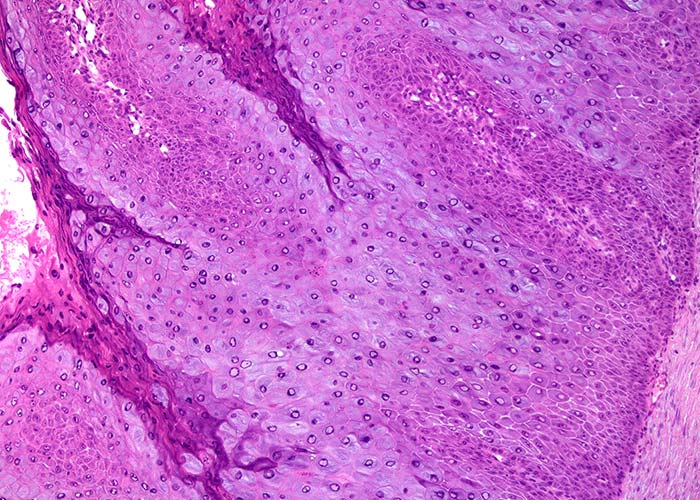
Figure 3 Photomicrograph of a canine cutaneous papilloma. Note that the papillomavirus-induced hyperplasia of the epidermis has resulted in thickening and folding of the epidermis. Due to the influence of the papillomavirus E6 and E7 proteins, keratinocytes throughout the epidermis have retained their nuclei. A characteristic papillomavirus-induced change is the presence of numerous enlarged cells with blue-grey smudged cytoplasm. Haematoxylin and Eosin, 200x.
References
- ALBERTI, A., PIRINO, S., PINTORE, F., ADDIS, M.F., CHESSA, B., CACCIOTTO, C., CUBEDDU, T., ANFOSSI, A., BENENATI, G., CORADDUZZA, E., LECIS, R., ANTUOFERMO, E., CARCANGIU, L. & PITTAU, M., 2010. Ovis aries Papillomavirus 3: A prototype of a novel genus in the family Papillomaviridae associated with ovine squamous cell carcinoma. Virology, 407, 352-359.
- ANTONSSON, A., FORSLUND, O., EKBERG, H., STERNER, G. & HANSSON, B.G., 2000. The ubiquity and impressive genomic diversity of human skin papillomaviruses suggest a commensalic nature of these viruses. Journal of Virology, 74, 11636-11641.
- ANTONSSON, A. & HANSSON, B.G., 2002. Healthy skin of many animal species harbors papillomaviruses which are closely related to their human counterparts. Journal of Virology, 76, 12537-12542.
- BERNARD, H.U., BURK, R.D., CHEN, Z., VAN DOORSLAER, K., HAUSEN, H. & DE VILLIERS, E.M., 2010. Classification of papillomaviruses (PVs) based on 189 PV types and proposal of taxonomic amendments. Virology, 401, 70-79.
- BORZACCHIELLO, G. & ROPERTO, F., 2008. Bovine papillomaviruses, papillomas and cancer in cattle. Veterinary Research, 39, 45.
- CAMPO, M.S., 1995. Infection by bovine papillomavirus and prospects for vaccination. Trends in Microbiology, 3, 92-97.
- CAMPO, M.S., MOAR, M.H., SARTIRANA, M.L., KENNEDY, I.M. & JARRETT, W.F., 1985. The presence of bovine papillomavirus type 4 DNA is not required for the progression to, or the maintenance of, the malignant state in cancers of the alimentary canal in cattle. The EMBO Journal, 4, 1819-1825.
- CORDANO, P., GILLAN, V., BRATLIE, S., BOUVARD, V., BANKS, L., TOMMASINO, M. & CAMPO, M.S. 2008. The E6E7 oncoproteins of cutaneous human papillomavirus type 38 interfere with the interferon pathway. Virology, 377, 408-418.
- DOORBAR, J., 2005. The papillomavirus life cycle. Journal of Clinical Virology, 32, S7-15.
- DOORBAR, J., 2006. Molecular biology of human papillomavirus infection and cervical cancer. Clinical Science, 110, 525-541.
- DOORBAR, J., QUINT, W., BANKS, L., BRAVO, I. G., STOLER, M., BROKER, T.R. & STANLEY, M. A., 2012. The biology and life-cycle of human papillomaviruses. Vaccine, 30, F55-70.
- EGAWA, N. & DOORBAR, J., 2017. The Low-Risk Papillomaviruses. Virus Research, 231, 119-127.
- FINLAY, M., YUAN, Z., BURDEN, F., TRAWFORD, A., MORGAN, I.M., CAMPO, M. & NASIR, L., 2009. The detection of bovine papillomavirus type 1 DNA in flies. Virus Research, 144, 315-317.
- GHIM, S., NEWSOME, J., BELL, J., SUNDBERG, J. P., SCHLEGEL, R. & JENSON, A.B., 2000. Spontaneously regressing oral papillomas induce systemic antibodies that neutralize canine oral papillomavirus. Experimental and Molecular Pathology, 68, 147-151.
- HAINISCH, E.K., ABEL-REICHWALD, H., SHAFTI-KERAMAT, S., PRATSCHER, B., CORTEGGIO, A., BORZACCHIELLO, G., WETZIG, M., JINDRA, C., TICHY, A., KIRNBAUER, R. & BRANDT, S., 2017. Potential of a BPV1 L1 VLP vaccine to prevent BPV1- or BPV2-induced pseudo-sarcoid formation and safety and immunogenicity of EcPV2 L1 VLPs in horse. Journal of General Virology, 98, 230-241.
- INTERNATIONAL COMMITTEE ON TAXONOMY OF VIRUSES. https://talk.ictvonline.org/taxonomy/. [Accessed 26/06/2017].
- JARRETT, W.F., MURPHY, J., O'NEIL, B.W. & LAIRD, H.M., 1978. Virus-induced papillomas of the alimentary tract of cattle. International Journal of Cancer, 22, 323-328.
- JELINEK, F. & TACHEZY, R., 2005. Cutaneous papillomatosis in cattle. Journal of Comparative Pathology, 132, 70-81.
- KIRNBAUER, R., CHANDRACHUD, L.M., O'NEIL, B.W., WAGNER, E.R., GRINDLAY, G.J., ARMSTRONG, A., MCGARVIE, G.M., SCHILLER, J.T., LOWY, D.R. & CAMPO, M.S., 1996. Virus-like particles of bovine papillomavirus type 4 in prophylactic and therapeutic immunization. Virology, 219, 37-44.
- KNIGHT, C.G., MUNDAY, J.S., PETERS, J. & DUNOWSKA, M., 2011. Equine penile squamous cell carcinomas are associated with the presence of equine papillomavirus type 2 DNA sequences. Veterinary Pathology, 48, 1190-1194.
- MUNDAY, J.S., 2014. Bovine and human papillomaviruses: a comparative review. Veterinary Pathology, 51, 1063-1075.
- MUNDAY, J.S. & KIUPEL, M., 2010. Papillomavirus-associated cutaneous neoplasia in mammals. Veterinary Pathology, 47, 254-264.
- MUNDAY, J.S. & PASAVENTO, P., 2017. Papillomaviridae and Polyomaviridae. In: MACLACHLAN, N. J. & DUBOVI, E. J. (eds.) Fenner's Veterinary Virology. 5th ed. London, United Kingdom: Academic Press.
- MUNDAY, J.S., THOMSON, N., DUNOWSKA, M., KNIGHT, C.G., LAURIE, R.E. & HILLS, S., 2015. Genomic characterisation of the feline sarcoid-associated papillomavirus and proposed classification as Bos taurus papillomavirus type 14. Veterinary Microbiology, 177, 289-295.
- MUNDAY, J.S., THOMSON, N.A. & LUFF, J.A., 2017. Papillomaviruses in dogs and cats. Veterinary Journal, 225, 23-31.
- NASIR, L. & CAMPO, M.S., 2008. Bovine papillomaviruses: their role in the aetiology of cutaneous tumours of bovids and equids. Veterinary Dermatology, 19, 243-254.
- NICHOLLS, P.K., KLAUNBERG, B.A., MOORE, R.A., SANTOS, E.B., PARRY, N.R., GOUGH, G.W. & STANLEY, M.A., 1999. Naturally occurring, nonregressing canine oral papillomavirus infection: host immunity, virus characterization, and experimental infection. Virology, 265, 365-374.
- PETT, M.R., ALAZAWI, W.O., ROBERTS, I., DOWEN, S., SMITH, D.I., STANLEY, M.A. & COLEMAN, N., 2004. Acquisition of high-level chromosomal instability is associated with integration of human papillomavirus type 16 in cervical keratinocytes. Cancer Research, 64, 1359-1368.
- PITISUTTITHUM, P., VELICER, C. & LUXEMBOURG, A., 2015. 9-Valent HPV vaccine for cancers, pre-cancers and genital warts related to HPV. Expert Review of Vaccines, 14, 1405-1419.
- SCHILLER, J.T., DAY, P.M. & KINES, R.C., 2010. Current understanding of the mechanism of HPV infection. Gynecologic Oncology, 118, S12-17.
- SUZICH, J.A., GHIM, S.J., PALMER-HILL, F.J., WHITE, W.I., TAMURA, J.K., BELL, J.A., NEWSOME, J.A., JENSON, A.B. & SCHLEGEL, R., 1995. Systemic immunization with papillomavirus L1 protein completely prevents the development of viral mucosal papillomas. Proceedings of the National Academy of Sciences of the United States of America, 92, 11553-11557.
- VITIELLO, V., BURRAI, G.P., AGUS, M., ANFOSSI, A.G., ALBERTI, A., ANTUOFERMO, E., ROCCA, S., CUBEDDU, T. & PIRINO, S., 2017. Ovis aries papillomavirus 3 in ovine cutaneous squamous cell carcinoma. Veterinary Pathology, 54, 775-782.
- ZUR HAUSEN, H., 2009. Papillomaviruses in the causation of human cancers - a brief historical account. Virology, 384, 260-265.





