- Infectious Diseases of Livestock
- Part 2
- Malignant catarrhal fever
- GENERAL INTRODUCTION: PARAMYXOVIRIDAE AND PNEUMOVIRIDAE
- Rinderpest
- Peste des petits ruminants
- Parainfluenza type 3 infection
- Bovine respiratory syncytial virus infection
- Hendra virus infection
- Paramyxovirus-induced reproductive failure and congenital defects in pigs
- Nipah virus disease
- GENERAL INTRODUCTION: CALICIVIRIDAE AND ASTROVIRIDAE
- Vesicular exanthema
- Enteric caliciviruses of pigs and cattle
- GENERAL INTRODUCTION: RETROVIRIDAE
- Enzootic bovine leukosis
- Jaagsiekte
- Visna-maedi
- Caprine arthritis-encephalitis
- Equine infectious anaemia
- GENERAL INTRODUCTION: PAPILLOMAVIRIDAE
- Papillomavirus infection of ruminants
- Papillomavirus infection of equids
- GENERAL INTRODUCTION: ORTHOMYXOVIRIDAE
- Equine influenza
- Swine influenza
- GENERAL INTRODUCTION: CORONAVIRIDAE
- Porcine transmissible gastroenteritis
- Porcine respiratory coronavirus infection
- Porcine epidemic diarrhoea
- Porcine haemagglutinating encephalomyelitis virus infection
- Porcine deltacoronavirus infection
- Bovine coronavirus infection
- Ovine coronavirus infection
- Equine coronavirus infection
- GENERAL INTRODUCTION: PARVOVIRIDAE
- Porcine parvovirus infection
- Bovine parvovirus infection
- GENERAL INTRODUCTION: ADENOVIRIDAE
- Adenovirus infections
- GENERAL INTRODUCTION: HERPESVIRIDAE
- Equid herpesvirus 1 and equid herpesvirus 4 infections
- Equid gammaherpesvirus 2 and equid gammaherpesvirus 5 infections
- Equine coital exanthema
- Infectious bovine rhinotracheitis/infectious pustular vulvovaginitis and infectious pustular balanoposthitis
- Bovine alphaherpesvirus 2 infections
- Malignant catarrhal fever
- Pseudorabies
- Suid herpesvirus 2 infection
- GENERAL INTRODUCTION: ARTERIVIRIDAE
- Equine viral arteritis
- Porcine reproductive and respiratory syndrome
- GENERAL INTRODUCTION: FLAVIVIRIDAE
- Bovine viral diarrhoea and mucosal disease
- Border disease
- Hog cholera
- Wesselsbron disease
- Louping ill
- West nile virus infection
- GENERAL INTRODUCTION: TOGAVIRIDAE
- Equine encephalitides caused by alphaviruses in the Western Hemisphere
- Old World alphavirus infections in animals
- Getah virus infection
- GENERAL INTRODUCTION: BUNYAVIRIDAE
- Diseases caused by Akabane and related Simbu-group viruses
- Rift Valley fever
- Nairobi sheep disease
- Crimean-Congo haemorrhagic fever
- GENERAL INTRODUCTION: ASFARVIRIDAE
- African swine fever
- GENERAL INTRODUCTION: RHABDOVIRIDAE
- Rabies
- Bovine ephemeral fever
- Vesicular stomatitis and other vesiculovirus infections
- GENERAL INTRODUCTION: REOVIRIDAE
- Bluetongue
- Ibaraki disease in cattle
- Epizootic haemorrhagic disease
- African horse sickness
- Equine encephalosis
- Palyam serogroup orbivirus infections
- Rotavirus infections
- GENERAL INTRODUCTION: POXVIRIDAE
- Lumpy skin disease
- Sheeppox and goatpox
- Orf
- Ulcerative dermatosis
- Bovine papular stomatitis
- Pseudocowpox
- Swinepox
- Cowpox
- Horsepox
- Camelpox
- Buffalopox
- GENERAL INTRODUCTION: PICORNAVIRIDAE
- Teschen, Talfan and reproductive diseases caused by porcine enteroviruses
- Encephalomyocarditis virus infection
- Swine vesicular disease
- Equine picornavirus infection
- Bovine rhinovirus infection
- Foot-and-mouth disease
- GENERAL INTRODUCTION: BORNAVIRIDAE
- Borna disease
- GENERAL INTRODUCTION: CIRCOVIRIDAE AND ANELLOVIRIDAE
- Post-weaning multi-systemic wasting syndrome in swine
- GENERAL INTRODUCTION: PRION DISEASES
- Scrapie
- Bovine spongiform encephalopathy
- Transmissible spongiform encephalopathies related to bovine spongiform encephalopathy in other domestic and captive wild species
Malignant catarrhal fever
This content is distributed under the following licence: Attribution-NonCommercial CC BY-NC
View Creative Commons Licence details here

Malignant catarrhal fever
Previous authors: H W REID AND M VAN VUUREN
Current authors:
D O’TOOLE - Professor, MVB, PhD, Dip ECVP, FRC Path, Department of Veterinary Sciences, 1174 Snowy Range Road, Laramie, Wyoming, 82070, USA
H LI - Microbiologist, DVM, MS, PhD, Animal Disease Research Unit, Agricultural Research Service, USDA, Washington State University, 3019 ADBF, 405 Bustad Pullman, Washington, 99164, USA
Introduction
Malignant catarrhal fever (MCF) is a disseminated and generally fatal viral disease of domestic cattle and wildlife. Affected species are primarily ruminants, including multiple species of deer, American and European bison (Bison bison and B. bonatus respectively), water buffalo (Bubalus bubalis), African buffalo (Syncerus caffer) and certain captive and farmed antelope. Some wildlife species are now used as captive wildlife to produce meat on farms and ranches, such as bison in North America and venison from red deer (Cervus elaphus) in the United Kingdom and New Zealand.23,99,109,162,169,145 Malignant catarrhal fever also affects domestic pigs.1 Published reports of the occurrence and impact of MCF in free-ranging wildlife are limited and it is likely the disease is underdiagnosed.138,193,212 There is, however, no reason to regard it as a population-limiting disease of wild North American ungulates.80
The clinical course of MCF in individual animals varies. Major clinical forms are peracute (i.e., few overt signs prior to death), acute, chronic or mild.68,88,142 The most typical presentation of MCF is acute disease with a fatal outcome. Clinical signs in most affected animals are severe and characteristic. Animals present with fever and severe inflammation of the alimentary and upper respiratory tracts. Bilateral panophthalmitis and keratoconjunctivitis are common and diagnostically helpful, with progressively worsening ocular signs in fatal cases.223 This is accompanied by profuse mucoid to mucopurulent nasal discharge and, in some cases, signs of meningoencephalitis.156,195,196 Generally MCF is a sporadic, low morbidity, high mortality disease.150,163,167 On occasion, large numbers of animals are affected. Such outbreaks are rare. They may involve stressful conditions or unusual management practices, such as penning cattle or bison near or with sheep for extended periods.32,109,150,155,157,167,220
Several excellent reviews of MCF exist, not least two previous iterations of this chapter.4,9,175,183 Some of the older literature addresses MCF before the 1900s.42,122 Although published almost 30 years ago, a chapter written by Dr Walter Plowright remains insightful and comprehensive.159 In a failed effort at brevity, we underscore more recent developments about MCF. These include expansion of the MCF virus (MCFV) group, current diagnostic assays, recognition of additional susceptible species, MCF in pigs, an MCF-like syndrome in sheep, current thoughts about pathogenesis, and prospects for an effective vaccine.
The growing number of gammaherpesviruses in the MCFV group presents a challenge to diagnosticians and researchers. Not all MCFVs have been shown to cause MCF. The disease affects a formidable number of artiodactyl species (>150), many in captive or semi-captive situations.51,64 Yet it is impossible to predict, and impractical to test experimentally, which of the currently ‘non-pathogenic’ MCFVs are likely to cause disease. We rely on investigation of natural disease episodes, most involving a handful of animals, to help define new susceptible species. It is likely that additional members will be added to the MCFV group over time.49 Ten such agents are recognized as of 2018 (Table 1). As a general rule, infection of reservoir host species is a subclinical event, with little or no disease. Six of 10 MCFVs cause mild to severe disease in poorly-adapted host species. Two of the six were responsible for most early reports of MCF. These two continue to be the most important economically: alcelaphine herpesvirus 1 (AlHV-1) and ovine herpesvirus 2 (OvHV-2).
The natural hosts of AlHV-1 are wildebeest (Connochaetes taurinus and C. gnou). Alcelaphine herpesvirus 1 causes the ‘African’ or wildebeest-associated form of MCF (WA-MCF). Disease can be seen anywhere wildebeest are kept near domestic cattle and other clinically susceptible species.
Domestic sheep (Ovis aries) and wild sheep such as mouflon (Ovis orientalis) are natural hosts of OvHV-2. Sheep-associated-MCF (SA-MCF) occurs worldwide when sheep are kept near clinically susceptible species. Clinical disease due to AlHV-1 has not been described in the natural alcelaphine reservoir hosts. Sheep infected with OvHV-2 are generally asymptomatic. Under poorly-understood circumstances, domestic and wild sheep develop an MCF-like disease characterized primarily by multisystemic vasculitis (‘polyarteritis nodosa’; PAN).153,154,199
No commercial vaccines exist to protect livestock from MCF. Early efforts by Plowright and his predecessors to develop effective vaccines were discouraging.214 Several groups recently renewed efforts to create vaccines to protect susceptible livestock. The most pressing need is one for cattle when they are sympatric with wildebeest in East and southern Africa. It would be helpful to have one for ranched bison that are recurrently exposed to sheep in North America. In the absence of a cost-effective vaccine, control of MCF depends on separating natural asymptomatic hosts from susceptible species.
Aetiology
Malignant catarrhal fever is a lymphoproliferative syndrome affecting multiple species in the order Artiodactyla. The MCFV group currently contains 10 members, all in the genus Macavirus (order Herpesvirales, family Herpesviridae, subfamily Gammaherpesvirinae). Membership of the MCFV is defined by the presence of the 15-A antigen epitope, combined with base sequence similarity to conserved regions of the DNA polymerase gene.97 Unfortunately only two MCFVs have been isolated and characterized: AlHV-1 and AlHV-2, with little known about the latter. Alcelaphine herpesvirus 2 comprises topi-AlHV-2 and hartebeest-AlHV-2, so named because of the species from which they were isolated.168,174,205 By contrast, and notwithstanding intensive efforts by researchers over many decades, OvHV-2 has yet to be propagated in vitro. Reports announcing its successful isolation were in error, in some cases representing laboratory contamination with AlHV-1.62,129,190 Nevertheless, secretions rich in cell-free OvHV-2 can be derived from sheep during brief episodes of nasal shedding. Pools of such inocula are used to transmit the disease experimentally via the nasal passages to cattle, sheep, pigs, rabbits and American bison.53,91,94 This approach largely supplants past use of large volumes of blood or suspensions of lymphocytes from MCF-affected animals to transmit disease114-116,140,166 although blood is still used on occasion.42,54 Experimental transmission through close contact between carrier and susceptible species can be successful,75 but is generally impractical.
Table 1 Members of MCFV family
| MCFV member | Reservoir host | Naturally susceptible hosts | Economic importance |
| OvHV-2 | Domestic sheep (Ovis aries) | Domestic cattle (Bos taurus) | Moderate |
| AlHV-1 | Wildebeest (Connochaetes taurinus taurinus; C. taurinus albojubatus; C. albojubatus.) | Domestic cattle (Bos taurus) | Moderate-High |
| AlHV-2 | Hartebeest (Alcelaphus buselaphus) | Barbary red deer (Cervus elaphus barbarous) | Minimal |
| AlHV-2 | Topi (Damaliscus lunatus) | Not documented | Minimal |
| CpHV-2 | Domestic goat (Capra hircus) | White-tailed deer (Odocoileus virginianus) | Minimal |
| CpHV-3 | Domestic goat (Capra hircus) | White-tailed deer (Odocoileus virginianus) | Minimal |
| Ibex-MCFV | Nubian Ibex (Capra nubiana) | Bongo | Minimal |
| HipHV-1 | Roan antelope (Hippotragus equinus) | Not documented | Minimal |
| Gemsbok-MCFV | Gemsbok (Oryx gazella) | Not documented | None |
| Muskox-MCFV | Muskox (Ovibos moschatus) | Not documented | None |
| Aoudad-MCFV | Aoudad (Ammotragus lervia) | Not documented | None |
Ovine herpesvirus 2 (OvHV-2)
A foundational advance in understanding OvHV-2 and MCF was the creation of lymphoblastoid cell lines derived from cattle and deer with SA-MCF. The infected cell lines induced an MCF-like syndrome in rabbits following experimental inoculation.172 Earlier studies by Rossiter and colleagues helped point the way by demonstrating that antibodies reacting to AlHV-1 were present in healthy sheep and in cattle with SA-MCF.176,178 While OvHV-2 has not been isolated, the advent of lymphoblastoid cell lines permitted the development of a polymerase chain reaction ( PCR) specific for OvHV-2, and comparison of parts of its DNA sequences to that of AlHV-1.10,11,19,21 There is no indication that the pathogenicity of OvHV-2 strains from various parts of the world differ in any appreciable way, and genomic differences between strains are minimal.3,46,204 The development of serological and molecular tools to identify infected sheep, in turn allowing investigation of the natural ecology of OvHV-2 and sequencing of its genome, greatly clarified how it differs from AlHV-1.65 Past assumptions about the epidemiology of SA-MCF relied on inferences drawn from AlHV-1. It is clear that subclinical infection with OvHV-2 is ubiquitous in domestic sheep. Shedding of cell-free virus from sheep occurs for brief periods and may be intense, particularly from adolescents aged six to nine months.98,110 The natural cycle of infection in sheep involves replication by OvHV-2 in pulmonary epithelial cells, latency in lymphocytes, replication in turbinate epithelial mucosa, and finally shedding of cell-free virus.91,94,98 Sheep-associated MCF occurs in Europe, North and South America, the Middle East and Southeast Asia, Australasia and Africa. Little published information exists about SA-MCF in Africa outside of southern and eastern parts of the continent.4 Surprisingly little accessible published information is available about SA-MCF in China.224 Understanding its clinical presentation and socio-economic impacts in Southeast Asia draws heavily on several excellent collaborative studies undertaken in Indonesia.41
Alcelaphine herpesvirus 1 (AlHV-1)
The early history of AlHV-1 and WA-MCF in eastern and southern Africa is summarized elsewhere.9,42,159,175 Plowright and colleagues isolated AlHV-1 from wildebeest in 1960.160 Its genome has since been sequenced and there is now a reasonable understanding of viral genes contributing to the pathogenesis of MCF.47,68 Of two major natural host species associated with WA-MCF outbreaks, the blue wildebeest (Connochaetes taurinus) (Figure 1) is the most important. Plowright and others corroborated the longstanding understanding of East African pastoralists that close association between wildebeest calves and native cattle risked MCF in the latter (Swahili: ugonjwa wa nyumbu; disease of the gnu or wildebeest).42,214 Cell culture methods used by virologists in 1960s–1980s to identify infection in natural hosts and confirm a diagnosis of bovine WA-MCF have been supplanted by molecular diagnostic assays. The initial efforts to develop an effective vaccine, while disappointing, resulted in two key observations. First, rabbits experimentally infected with AlHV-1 develop an MCF-like disease, and attenuated strains of AlHV-1 conferred some protection on rabbits subjected to virulent challenge.177 Second, although few cattle recover from WA-MCF, the few that did so were resistant to challenge with AlHV-1 for extended periods (up to eight years).159 Wildebeest-associated MCF remains the most important form of MCF in Africa, impacting East African pastoralists who graze cattle close to free-ranging wildebeest.31,196 This is a recurrent source of human-wildlife conflict, since cattle and wildebeest have similar nutritional needs and share open savannah grasslands. The size of outbreaks among cattle is determined by proximity to wildebeest calving grounds, and by annual precipitation patterns.12,214 East African pastoralists consider MCF to be one of the most important diseases of cattle, comparable in impact to East Coast fever, foot and mouth disease, and anthrax. Economic impacts are both direct (infection and death of cattle) and indirect (costs of keeping livestock separate for months on poorer rangeland until wildebeest calves are several months old).12,17,84 Sheep-associated MCF also occurs in eastern and southern Africa, although it is considered a sporadic and minor nuisance relative to WA-MCF.128
Other gammaherpesviruses of Bovidae
The other known pathogenic agents are alcelaphine herpesvirus 2 (AlHV-2), caprine herpesvirus 2 (CpHV-2), ‘MCFV-WTD’/CpHV-3, and ibex-MCFV. Data are limited about these agents and their diseases. Not all ruminant gammaherpesviruses have been critically evaluated for possible inclusion among the MCFV group or potential to cause MCF.147 The limited information that exists is summarized here.
- CpHV-2: Caprine herpesvirus 2 was identified in clinically healthy domestic goats (Capra aegagrus hircus) in 2001.28,35,100 Like OvHV-2, the seroprevalence of CpHV-2 is high in its natural host. Transmission of CpHV-2, resulting in disease, has been described in various members of the Cervidae, including sika deer (Cervus nippon), white-tailed deer (Odocoileus virginianus), and moose (Alces alces). Clinical disease in cervids due to CpHV-2 differs somewhat from MCF in cattle, since cutaneous lesions and granulomatous inflammation predominate35,113,194,224 Transmission of CpHV-2 in goat herds is similar to that of OvHV-2 in domestic sheep (see Epidemiology, below).100
- ‘MCFV-WTD’/CpHV-3. This virus was originally identified as the cause of an MCF-like syndrome in white-tailed deer and red brocket deer (Mazama americana). No natural host species was incriminated at the time.79,90,95 Subsequently, small outbreaks were recognized in various parts of the United States and the natural host species was identified as the domestic goat. The prevalence of ‘MCFV-WTD’/CpHV-3 in healthy goats remains to be investigated.120 ‘MCFV-WTD’ is the third herpesvirus known to be carried by goats. Its provisional name is CpHV-3.89
- AlHV-2. Alcelaphine herpesvirus 2 (AlHV-2) was originally isolated from topi (Damaliscus lunatus korrigum). The virus is considered non-pathogenic based on limited experimental studies involving parenteral inoculation of cattle and rabbits.137 But a related AlHV-2 derived from hartebeest (Alcelaphus buselaphus), another African antelope species, induced MCF following inoculation of cattle and rabbits.174 An AlHV-2-like virus that may have originated in hartebeest caused MCF in Barbary red deer (Cervus elaphus barbarus).80 For clarity the two agents are currently referred to as topi-AlHV-2 and hartebeest-AlHV-2. Consideration of topi-AlHV-2 as a vaccine candidate to protect American bison from MCF was abandoned when it induced disease.205
- Ibex-MCFV. This virus was originally identified in heathy Nubian ibex (Capra nubiana).96 Two reports described an MCF-like syndrome in bongo antelope (Tragelaphus eurycerus) kept near Nubian ibex.55,141 Clinical signs were anorexia progressing to respiratory distress and death within 24–72 hours. Gross and histological lesions were vasculitis, interstitial nephritis, cholangiohepatitis, necrotizing myocarditis, and inflammation of abomasum and forestomachs.55,141 An MCF-like syndrome associated with Ibex-MCFV was seen in pronghorn antelope (Antilocapra americana) and anoa (Bubalus sp.).93 While similar to MCF in cattle due to OvHV-2 and AlHV-1, the florid lesions in gastrointestinal tract and bladder that typify MCF in other species were largely absent in bongo. Necrotizing myocarditis, although seen in some species dying of sheep-associated MCF (e.g., American bison, white-tailed deer and Indonesian swamp buffalo) tends to be absent or minimal in both SA-MCF and WA-MCF.70
- Non-pathogenic MCFVs: Little is known at present about the non-pathogenic MCFVs, including two (Muskox-MCFV and Aoudad-MCFV) in the Caprinae group and another two (Hippotragine herpesvirus 1 and Oryx-MCFV) in the Alcelaphinae/Hippotraginae group.97,210 Although none has been shown to cause MCF, it is a reasonable assumption that each is capable of doing so.
Epidemiology
Malignant catarrhal fever caused by OvHV-2
In 1930, Goetze and Liess provided convincing evidence that outbreaks of MCF in cattle were due to exposure to sheep.58,59 Subsequent studies corroborated the observation.132 In 1981 evidence was presented that SA-MCF is caused by a virus closely related to AlHV-1.176,178 Corroboration came from the reaction of antibody from sheep with structural proteins of AlHV-1 in Western blots.67 Li et al. used a monoclonal antibody-based competition inhibition enzyme-linked immunosorbent assay (Cl-ELISA) to identify the proportion of sheep seropositive for OvHV-2.102,104 Later studies by this group exploited the PCR approach developed by Baxter et al. to more clearly identify the time at which lambs were infected.10 Unlike AlHV-1, which infects wildebeest calves perinatally or in utero, lambs are rarely infected in the early postpartum period. Under natural husbandry conditions, most are infected with OvHV-2 at or after two months of post-natal life.107 Neonatal lambs can remain uninfected if separated at an early age from infected flock members. Colostrum and milk play little or no role in the natural transmission of OvHV-2 among lambs, although both contain virus-infected cells.107,108 OvHV-2 infection rates among lambs appear to be dose-dependent, so that individuals in smaller flocks tend to be infected slightly later.106 The prevalence of infection is high in adolescent and adult sheep.108 Uninfected sheep are highly susceptible to OvHV-2, and readily infected by low concentrations of virus. The pattern of shedding cell-free virus is distinctive and occurs without overt clinical signs. Lambs aged six to nine months shed virus more frequently and more intensively than do adults. (Figure 2)107 Shedding involves one or more short (typically <24 hours, although it may occur over several days) intense bursts from the nasal passages.107 It is likely that replication is a single-cycle event involving the upper respiratory tract.
Nasal samples were collected and tested daily by quantitative PCR. Sheep 1 (solid circles) had a single peak lasting <24 hr. Sheep 2 (open circles) had two peaks, both lasting <24 hr. Sheep 3 (solid triangles) had multiple peaks with total shedding duration of ~96 hr.
Unlike WA-MCF, SA-MCF occurs year-round. The biggest risk to MCF-susceptible species is when large groups of adolescent lambs are close to highly susceptible species (e.g. bison). Large range flocks and sheep feedlots represent a particular threat. The impact of dense concentrations of young sheep was demonstrated when a combined cattle/bison feedlot was exposed to a flock of 1 750 sheep for 20 days. Of 1 610 bison exposed, 825 (51.2 per cent) subsequently died of MCF.109 By contrast, only one of approximately 4 000 cattle (0.025 per cent) developed MCF over the same time, underscoring the higher susceptibility of bison relative to cattle. The distance over which transmission occurs may be considerable. This was shown when a large lamb feedlot was established beside a large open-range bison operation. Bison were kept in three cohorts. The further away that cohorts were from sheep, the lower mortality was among bison. (1.6 km = 17.5 per cent mortality; 4.2 km = 6.1 per cent, 5.1 km = 0.43 per cent).99 In another episode, bison from multiple sources were exposed to sheep at an auction. A total of 45 of 163 exposed bison died of MCF at 7 destination farms. The outbreak began 50 days after the sale, peaked at days 60 - 70, and ended on day 220.13 The risk of SA-MCF is proportional to the number of infected sheep to which the susceptible species is exposed, as well as the duration of exposure. Losses may continue for months following single-source exposure. An epidemiological study in western Canada to assess the risk of proximity to sheep for bison found that all cases of MCF involved properties where herds were <1.0 km from sheep.48 There is some evidence that major histocompatibility complexes play a role in the susceptibility of bison to SA-MCF.208
Sheep sometimes develop a form of polyarteritis nodosa (PAN), a term derived from human pathology denoting systemic vasculitis in small- or medium-calibre muscular arteries, typically in renal and visceral vessels; the pulmonary circulation is spared.66 At least some PAN episodes in sheep are associated with atypically high viral loads of OvHV-2 (see Pathology).153 An MCF-like syndrome was induced in sheep following a high-dose challenge using OvHV-2.103
Less is known about the ability of OvHV-2 to infect free-ranging ovine and caprine species. Epidemiological evidence suggests that mouflon (Ovis orientalis orientalis) are infected, since they were associated with MCF outbreaks.33,51,112 Bighorn sheep (Ovis canadensis) appear to be another natural reservoir.142,222 An atypical form of MCF was identified in one bighorn sheep.199
Sheep-associated MCF occurs wherever domestic sheep are kept. The susceptibility of poorly-adapted species varies. Cattle (Bos taurus taurus and Bos taurus indicus) are relatively resistant to infection, yet these are the animals most commonly presented to veterinarians for diagnosis and treatment. The proportion of affected cattle in most outbreaks is small, typically less than five per cent of herd, and often involve one to two year olds, although MCF can affect calves.130,133 Rare sporadic outbreaks affecting many cattle tend to be overrepresented in the literature compared to more common, less dramatic small outbreaks involving one or more animals. Species such as Bali cattle (banteng; Bos javanicus domesticus), Père David’s deer (Elaphurus davidianus) and bison are highly susceptible.145,166,173,217 Whenever possible, these should be kept separate from sheep. Other cervid species, as well as water buffalo (Bubalus bubalis) and African buffalo (Syncerus caffer), can be considered intermediate in susceptibility between more ‘resistant’ species (e.g. cattle) at one end of the spectrum, and highly susceptible species (e.g. bison, Bali cattle and Père David’s deer) at the other.162 Susceptibility to SA-MCF among cervids is variable. Some, such as white-tailed deer and Père David’s deer, are highly susceptible. Others, such as fallow deer (Dama dama), are apparently resistant. Malignant catarrhal fever occurs sporadically in zoological collections, on game farms and in petting zoos wherever MCFV reservoir species are kept.26 Outbreaks have occurred following brief exposure of cattle and bison to sheep at exhibitions and auctions.13,132 Producers who maintain combined sheep-cattle operations may accept sporadic MCF as the cost of doing business. Sheep-associated MCF has been reported in domestic pigs in Norway, Finland, Sweden, Belgium, Germany, Switzerland and the United States.1,2,119 Incidents typically involve smallholdings where sheep and pigs are kept in close proximity. The number of pigs affected tends to be small. Losses generally occur over short periods of time.
Malignant catarrhal fever caused by AlHV-1
Differences exist in the epidemiology of OvHV-2 and that of AlHV-1 in respective natural host species:
- Infection of wildebeest calves with AlHV-1 occurs in utero and/or perinatally. By contrast, lambs are rarely infected with OvHV-2 in utero or at birth. Infection in lambs usually occurs at about two months of age or thereafter following horizontal transmission from infected flock mates.
- Intense shedding of AlHV-1 occurs in young wildebeest calves up to four months of age. By contrast, the most intense and frequent shedding of OvHV-2 involves adolescent sheep aged six to nine months. Each is for a short period (<1 – 2 days).
- Unlike sheep, no MCF-like clinical syndrome has been documented in wildebeest. Subclinical lesions may, however, occur in clinically normal calves, including mild or moderate interstitial pneumonia and lymphocytic arteritis with or without medial necrosis.27,123
Blue wildebeest (Connochaetes taurinus) are the most important reservoir host of AlHV-1. They have been studied intensively since they are an important source of MCF in cattle in Africa.164 Blue wildebeest exist as five subspecies, primarily in Tanzania and Kenya in East Africa. The population expanded following the eradication of rinderpest and now numbers 1.5 million individuals. This makes them the most numerous of the two wildebeest species infected by AlHV-1.31,76 Blue wildebeest exist also in Angola, Botswana, Mozambique, Namibia, South Africa, Swaziland, Zambia and Zimbabwe. Historically the southern limit for natural populations was the Orange River, which helped maintain separation from black wildebeest (Connochaetes gnou) (Figure 3). The direct and indirect impacts of WA-MCF on agricultural producers in East Africa is considerable. Blue wildebeest have been introduced onto game farms in South Africa and are an important source of MCF in cattle.31,72 Malignant catarrhal fever also occurs outside Africa, where wildebeest comingle with or are close to susceptible species.15
Black wildebeest (Connochaetes gnou) are also well-adapted hosts of AlHV-1.6,164 With an estimated population of 11 000, they are less numerous than blue wildebeest.213 They occur in South Africa, Swaziland, and Lesotho. Some game farms in southern Africa keep both blue and black wildebeest. So far as is known, the strain of AlHV-1 infecting both wildebeest species is identical.
Wildebeest-associated MCF occurs among cattle and free-ranging hooved stock throughout the natural distribution of wildebeest in Africa, and among susceptible species in zoological collections worldwide. Transmission of AlHV-1 from free-living wildebeest to cattle is efficient. Most wildebeest calves are infected in the first few months of life or in utero. The respiratory tract is the most likely route of natural spread.136,185 Ocular fluid also contains cell-free virus.9 The placentas of wildebeest, long suspected by East African pastoralists to be a major MCF risk factor for cattle, contain AlHV-1 but viral loads are low.85
Transmission of AlHV-1 to MCF-susceptible hosts is direct and presumed to be by aerosol. The physical characteristics of herpesviruses, the efficient spread of AlHV-1 among wildebeest calves, and successful experimental transmission of virus via nasal passages suggest that natural spread is generally, if not exclusively, by aerosol.85,86,87 Departures from this pattern may be explained by variable incubation periods in cattle which, by analogy with AlHV-2, may be determined by challenge dose.205 AlHV-1 can also be transmitted congenitally.161 Transplacentally-infected calves can develop MCF in postnatal life, but the biological relevance of this is unknown.161 Cows that recently calved may be at additional risk, presumably due to stress.5
Blue wildebeest are the source of seasonal MCF in cattle in East Africa (March-April in northern Tanzania; April-July in southern Kenya). Transmission is predominantly from new-born calves and calves up to three months of age.158,159 Malignant catarrhal fever occurs in South African provinces wherever free-living or semi-captive blue and/or black wildebeest are kept on game farms. It peaked between April and May in one area of Zimbabwe.131 The occurrence of MCF in cattle in late winter and spring, when black wildebeest calves are 8-10 months old, suggests there may be differences between the two wildebeest species in the times at which cell-free virus is shed.7,8
Comparison of black wildebeest-associated outbreaks in 1981-1983 and 1988-1990 in South Africa indicated that cases of MCF increased seven-fold.6 The increase is likely due to the growing number of black wildebeest, both free-ranging and on game farms.175 The population had declined precipitously during the end of the 19th century due to overhunting. Following its recovery, the species is now considered an IUCN wildlife species of Least Concern. It was reintroduced to part of its historical range (western Swaziland; western Lesotho), as well as other areas (Namibia; Botswana). All black wildebeest herds in South Africa that have been tested to date were serologically positive for AlHV-1.
In addition to cattle, WA-MCF occurs sporadically in zoological collections, affecting captive species of African antelope belonging to the subfamily Tragelaphinae such as eland (Taurotragus derbianus), sitatunga (Tragelaphus spekei) and giraffe (Giraffa camelopardalis).175 Malignant catarrhal fever has not been recorded in free-living animals belonging to these species.175 In addition, rabbits, hamsters, rats and guinea pigs are experimentally susceptible to infection with AlHV-1 and OvHV-2. Rabbits are the laboratory species most commonly used for studies on pathogenesis and vaccine efficacy.37,38,77,92,170,184,215
Pathogenesis
The pathogenesis of MCF remains unclear. Plowright’s suggestion that MCF is due to profound immunological dysregulation is likely to be correct. Proliferation of activated cytotoxic CD8+ T cells is a feature of both SA- and WA-MCF.45.139,197 Activated cytotoxic CD8+ CD4-T cells are prominent in MCF lesions and are associated with the secretion of IFN-g. One possibility is that increased expression of IL-2 by infected CD8+ T lymphocytes causes loss of autocrine control of T cell numbers. An alternative explanation is that regulatory T cells are inhibited, resulting in uncontrolled inflammation, necrosis and/or apoptosis. The specific steps leading from infection in the respiratory tract to infection of lymphocytes, lymphoproliferation, and systemic inflammation in multiple tissues remain unclear. Based on extrapolation from early immunofluorescent studies using AlHV-1, it was assumed that the proportion of MCFV-infected lymphoid cells was small (<1 per cent).20 That perception has evolved as studies using more sensitive assays indicate that the proportion of infected lymphocytes is higher (10 per cent or above).44 Past explanations for the florid lesions of MCF included the possibility of type III (Arthus) or type IV (cell-mediated reaction) hypersensitivity. Liggit et al. noted a histological resemblance to graft-versus-host reactions, and speculated that infected lymphocytes activated autoaggressive T lymphocytes.114,115 The concept was developed by Schock and Reid and Schock et al. who characterized surface markers, cytokine expression, and cultural characteristics of virus in infected lymphoblastoid cell lines that originated in cattle naturally infected with OvHV-2, and from experimentally infected rabbits.187-189 The pertinence of using such cells ex vivo has been questioned. There is a correlation between DNA copy numbers of OvHV-2 and the severity of lesions.36,38 Data from recent studies consistently demonstrate that animals with AlHV-1- or OvHV-2-induced MCF exhibit increased T cell cytotoxicity. An experimental study of SA-MCF in bison revealed that CD8+/perforin+ gamma delta T cells predominate in vascular lesions. This suggests a likely role for cytotoxic lymphocytes and regulatory T cells, such as CD4+/perforin- alpha beta T cells.139 The disease syndrome caused by AlHV-1 or OvHV-2 is essentially indistinguishable clinically and morphologically. Nevertheless, differences exist in viral gene expression profiles related to latent and/or lytic replications during the clinical progression of MCF. A Belgian research group showed little or no expression of AlHV-1 transcripts in rabbits with WA-MCF, except for ORF73, which encodes a latency-associated nuclear antigen (LANA)-homologue protein. This provides evidence that disease is latency-associated and that ORF73 plays a role in pathogenesis.148,200 Others also found evidence of a predominantly latent form of infection in cattle with SA-MCF.121 Using a different model of MCF, researchers in North America showed that OvHV-2 transcripts, including ORF25 (capsid protein), ORF50 (lytic cycle transactivator protein), and LANA were reliably detected in tissues of rabbits and bison with experimentally-induced SA-MCF.36,38 Levels of OvHV-2 ORF25 transcripts in tissues were positively correlated with lesion severity. There was a correlation between DNA copy numbers of OvHV-2 in individual tissues and the severity of lesions at those sites.36,38 Although current experimental data suggest that OvHV-2 and AlHV-1 may cause disease by different mechanisms, it is puzzling that disease and lesion patterns caused by each are essentially indistinguishable.24
Clinical signs
The clinical and pathological changes in susceptible species following infection with AlHV-1 or OvHV-2 are similar. They cannot be differentiated reliably on clinical or morphological grounds.
The most common form of MCF in cattle is acutely fatal disease, particularly among one to two year olds.202,134,150,223 Outbreaks affecting young calves also occur.62,130 Extrapolating from transmission studies in bison, the incubation period may be determined in part by the viral challenge dose. A recent epidemiological study of cattle that developed MCF following exposure to sheep at a livestock exhibition found that the mean number of days between exposure and death was 71 days (range: 46 - 139).132
A typical clinical course of MCF in cattle is five to 10 days, with steady clinical deterioration over that time. Some cattle may survive for three weeks or more, and a fraction of these appears to recover. Clinical signs include depression, fever (rectal temperatures 41-42° C), diarrhoea, salivation, photophobia, serous lachrymation and nasal discharge (Figure 4) (the latter two progress to become profuse mucopurulent), enlarged lymph nodes, and laboured breathing (Figure 5) due to blockage of the nasal passages with exudate (Figures 6 and 7).151 Helpful clinical findings are ulceration, crusting and sloughing of the the muzzle (Figure 8), multifocal erosions and ulcerations of the oral cavity (particularly the tips of the buccal papillae) (Figure 9) and nasal passages, bilateral panophthalmitis-conjunctivitis, dysuria, and – in some terminally affected cattle – neurological signs (Figure 10) such as hyperaesthesia, incoordination, nystagmus, muscle tremors, circling, behavioural changes and head pressing may be present in the absence of other clinical signs or as part of a more typical clinical picture. Some affected animals become aggressive.202 150 Cutaneous lesions manifested as patchy exudative dermatitis may occur anywhere in the body but are often restricted to the perineum, udder, teats, interdigital spaces and skin at the base of the horns and hooves (Figures 11 and Figure 12). Profuse mucopurulent nasal discharge with bilaterally oedematous, inflamed and superficially ulcerated corneas (‘blue eye’) is common in terminally affected cattle (Figures 13, 14 and 15). Characteristically, the bilateral corneal opacity develops progressively from the periphery (Figure 13) often to involve the whole cornea which may become severely oedematous (Figure 15) and is accompanied by blindness. The lesions of the head is sometimes refer to as the ‘head and eye’ form of MCF. Although not unique to MCF, such lesions should prompt consideration of MCF, with appropriate testing to corroborate the clinical diagnosis.

Figure 8 Bovine with MCF. Severe congestion and ulceration of the muzzle (Courtesy of the Department of Veterinary Tropical Diseases, Faculty of Veterinary Science, University of Pretoria, Private Bag X04, Onderstepoort, Gauteng, South Africa, 0081)

Figure 13 Peripheral opacity of the cornea (Courtesy of the Department of Veterinary Tropical Diseases, Faculty of Veterinary Science, University of Pretoria, Private Bag X04, Onderstepoort, Gauteng, South Africa, 0081)
In contrast to cattle, the clinical course in highly-susceptible species such as bison (Figure 16), many cervid species, and Bali cattle may be short. Some are found dead without clinical signs. Peracute disease is characterized by separation from herd mates, rapid onset depression, anorexia and fever, followed in some by diarrhoea and death within 12 to 24 hours.43,140,145 Some survive a week or longer.22 Affected bison and deer effectively mask clinical signs as a defence against predation.145,218 It may be difficult to recognize signs in bison due the use of large pastures, the infrequency with which animals are monitored, and the need for a chute to approach them closely. Even in experimental settings where bison are observed several times a day, when animals are found dead it has been unclear whether this represents peracute disease, effective masking of clinical signs, or an inexperienced observer.146
Dying bison are often attacked by other members of the herd. Cursory inspection may suggest animals died of trauma, and trauma may indeed be a contributing fatal factor.145 In experimental settings, susceptible species including bison exhibit a steep rise in OvHV-2 DNA levels in peripheral blood leukocytes during the preclinical stage of disease (>16 days post-infection) (Figure 17).146 Such a rise in OvHV-2 DNA (>1000 copies/0.5 μg total DNA) presages overt clinical signs and the development of terminal disease.36,52 Unlike MCF in cattle, morbidity on commercial bison operations and in captive deer can be high, with losses continuing for months.22,29,30

Figure 17 Representation of OvHV-2 DNA levels in peripheral blood leukocytes of animals with experimentally-induced MCF. OvHV-2 DNA copy number measured by qPCR in PBL of experimentally infected rabbits (A), pigs (B) and bison (C). Animals were infected using 107 OvHV-2 DNA copies by intranasal nebulization. This abrupt rise in viral DNA in circulating leukocytes is followed within days by the onset of clinical signs. (Courtesy of D O’Toole, Department of Veterinary Sciences, 1174 Snowy Range Road, Laramie, Wyoming, USA, 82070)
Nervous signs similar to those observed in cattle may occur.43
Clinical signs of MCF in cattle, bison and susceptible deer species generally end in death or euthanasia/slaughter. The mild cases of SA-MCF described by Goetze and others were regarded with scepticism until the 1990s, when more sensitive laboratory assays were developed. It is now clear that extended survival times, sometimes with recovery, occur in cattle.62,68,105,124,127,133,134,135,223 Such animals are assumed to be infected for life, and peripheral blood leukocytes can test positive for OvHV-2 for years.135 Recovery has also been reported in water buffalo3 and pigs.57 Recovery or mild disease may also occur in animals infected with AlHV-1 and other pathogenic MCFVs, although this is assumed to be less common.159,186
OvHV-2 causes some cases of polyarteritis nodosa (PAN) in sheep. The clinical presentation varies. Sheep with PAN may be found dead without premonitory signs, or have neurological signs, lameness, ill-thrift, inappetence with or without respiratory signs, diarrhoea, or profuse oculonasal discharge.50,56,165,189
Malignant catarrhal fever was first reported in pigs in 1998, although it was suspected to occur as early as 1950.117 Natural disease tends to be sporadic, affecting small numbers of pigs. Less commonly, such as in an outbreak involving a farrow-to-finish operation in the American Midwest, scores of pigs were affected with losses continuing for months.57 As with intranasally-challenged bison, detection of OvHV-2 in peripheral blood leukocytes antedates clinical disease. Some pigs experimentally infected with a high dose of OvHV-2 did not develop clinical signs within the study period of 60 days after challenge,89 suggesting some degree of resistance. Clinical findings are high persistent fever, respiratory distress, and oculonasal discharge with corneal oedema. Many affected pigs develop neurological signs, particularly tremors and convulsions. Diarrhoea occurs occasionally, and sows may abort. The clinical course is short, with death after two to four days. Unlike MCF in cattle, the proportion of pigs that appear to recover may be high. In the farrow-to-finish operation mentioned above, more than half of all clinically affected pigs were considered to have recovered.57
Pathology
The lesions of MCF comprise a triad (Figures 18 a-c), involving multiple organ systems. The three components are vasculitis with lesions in medium and small calibre arteries and veins; inflammation of mucosal epithelia, particularly in digestive, respiratory and urogenital tracts; and lymphoid proliferation with subtle cytological atypia in lymph nodes and at sites of inflammation. It is useful for diagnosticians to remember this when they suspect MCF in an unfamiliar species (e.g. exotic ungulates) or a species not previously documented to have the disease. The distribution and severity of lesions in a given species tends to be consistent. For example, in cattle arteritis-phlebitis is usually florid and generalized, lymph nodes changes are moderate to marked, and digestive tract lesions are extensive and florid. In bison by contrast acute MCF is characterized by more modest arteritis-phlebitis, intestinal lesions largely limited to caecum and colon, and a more subtle generalized lymphadenopathy than that seen in cattle (Figure 19). In many cervid species, lymphadenopathy may be marked and associated with perinodal oedema. Marked lymphoid infiltration in kidneys often results in multifocal, grossly evident white foci in the cortex (Figures 20 and 21).140
Figure 18 a-c Triad inflammation in a bison with acute MCF. Mucosal inflammation with apoptosis (a – oesophagus); vasculitis (b - carotid rete artery) and lymphoid hyperplasia resulting in lymphadenopathy (c – lymph node) (Courtesy of D O’Toole, Department of Veterinary Sciences, 1174 Snowy Range Road, Laramie, Wyoming, USA, 82070)

Figure 19 Severe enlargement and congestion of the prescapular lymph node in a bovine (Courtesy of the Department of Veterinary Tropical Diseases, Faculty of Veterinary Science, University of Pretoria, Private Bag X04, Onderstepoort, Gauteng, South Africa, 0081)
Departures from this pattern can occur in species other than cattle and bison. Finding vasculitis, enteric lesions and lymphadenomegaly should prompt diagnosticians to consider molecular testing for MCF. Malignant catarrhal fever due to CpHV-2 may present as severe chronic granulomatous dermatitis with or without widespread internal lesions. It is helpful to bear in mind MCF’s protean character as additional members of the MCFV group are recognized. The description of lesions that follows is based largely our experience with MCF in domestic cattle and bison. It applies equally to infection with OvHV-2 and AlHV-1, and (in bison) AlHV-2. Exceptions to the cattle-bison pattern that occur in other species are mentioned where pertinent. Unfortunately, in the absence of a hallmark finding such as herpetic inclusions, no single gross or histological feature reliably establishes a diagnosis of MCF. Confirmation is now the province of molecular diagnostics.
Many animals dying with MCF exhibit loss of body condition. Most die or require euthanasia after a clinical course of three to 10 days. Bison and most cervid species tend to be found moribund or dead. This is due to less intensive management and the species’ ability to hide clinical signs. External lesions are generally apparent in the muzzle, around the nares, and in the eyes. A helpful feature is bilateral corneal oedema starting at the limbus. In cattle this progresses to a diffusely blue oedematous cornea. Axial corneal epithelium is eroded or ulcerated, and a circumferential band of limbal neovascularization develops after several days. Cutaneous lesions in haired skin, typically slightly raised, crusted or ulcerative dermatitis, are common but easy to overlook unless the skin is palpated. Lesions may be seen in lightly haired/hairless skin of the perineum, udder, teats and coronary band.
Lesions at necropsy are most evident in digestive, respiratory and urogenital tracts, in lymph nodes, and in joints (Figures 22 a-d). Mucositis is almost invariable and is generally severe. Typical findings in digestive tract are ulcerative stomatitis-pharyngitis, oesophagitis (Figure 23), and ulcerative lesions in the forestomachs (Figure 24), abomasum (Figures 25 and 26), and small and large intestine. Intraluminal contents may be bloody. The liver is variably enlarged with diffuse greyish yellow mottling. The wall of the gall bladder may be oedematous and contain petechiae and ecchymoses, and its mucosa a few small erosions.
White foci may be present in the renal cortex. Respiratory tract lesions primarily affect the nasolabial plate and nasal passages. Multiple foci of bronchointerstitial pneumonia (Figures 27 and 28) occur during the preclinical stage of MCF, but are largely or completely resolved by the time animals die at 30 – 50 days post-infection. Bison often aspirate forestomach contents into their lungs.

Figure 27 Preclinical lesions of MCF in experimentally-infected bison. The small dark lobular areas of bronchointerstitial pneumonia (arrow) generally resolve by the time animals die in extremis or are euthanized. (Courtesy of D O’Toole, Department of Veterinary Sciences, 1174 Snowy Range Road, Laramie, Wyoming, USA, 82070)
Given the profuse mucopurulent discharge of terminal MCF, changes in nasal mucosa can be surprisingly modest, at least grossly. Ulcerative laryngitis is generally present. A helpful necropsy feature, particularly in bison and cattle, is haemorrhagic and erosive cystitis (Figures 29 and 30). It is sufficiently common that experienced bison producers examine the bladder first when yearling or adult bison are found dead. Cystitis varying from mild to severe.The mucosa and wall of the urinary bladder in most cases is oedematous and contains petechiae and ecchymoses in the mucosa and serosa and, occasionally, mucosal erosions or ulcers Typically the bladder is void, since animals have stranguria and dysuria. Blood clots may be present in the lumen. Small greyish-white fociin the kidneys, corresponding to interstitial inflammatory lymphoid aggregates, are a common and useful gross feature, particularly in cervids.43,140
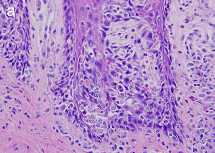
Histopathological lesions correspond to gross findings. Apoptosis of epithelial cells, particularly in suprabasilar stratified squamous epithelium, results in characteristic microvesiculation. This is seen in mucosa of the oral cavity, pharynx, larynx, oesophagus, forestomach and skin. While not unique to MCF, only a handful of infectious diseases in cattle and bison cause widespread microvesiculation, erosion and ulceration in epithelial mucosa and skin. Ulcerative enteritis and typhlocolitis are generally present. Urothelium appears to be a particular target of the dysregulated immune response of MCF. Degeneration, apoptosis and loss of urothelium in the renal pelvis, ureters, bladder and urethra is consistent, accompanied by lymphocytic-histiocytic inflammation (Figure 31).
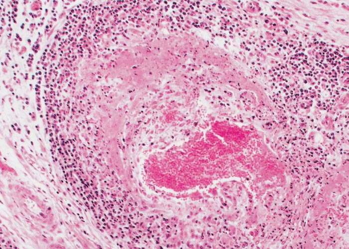
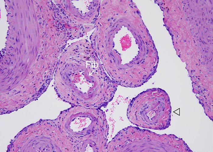
Vascular lesions involve multiple organ systems, affecting arteries and veins. Veterinary pathology texts often illustrate the arteritis of MCF, since the thick lesioned walls of muscular arteries lend themselves to striking images. But phlebitis is equally widespread, albeit harder to identify.23 A pathologist who finds disseminated arteritis-phlebitis in tissues of cattle (Figure 32), bison and deer should consider MCF as a differential diagnosis. Examining the carotid rete (a rich vascular plexus surrounding the pituitary gland) (Figures 33 and 34), pampiniform plexus (intact males only) and/or vessels in the mesenteric stalk provides many appropriate-calibre veins and arteries for microscopic evaluation. Bison and deer tend to die of MCF after a shorter clinical course than cattle. This may explain why necrotizing medial arteritis, a useful hallmark of MCF in cattle, is less evident in those species.145,146,191,192 Deer with MCF sometimes have occlusive thrombosis with infarctions, a feature that is uncommon in bison and cattle.149

Figure 33 Location of carotid rete at floor of cranial vault. Taking a trapezoidal block of tissue (dashed lines) around pituitary stalk for histology generates a rich vascular plexus containing arteries and veins, as well as trigeminal ganglia. It is common to find lesions at this site in MCF, and phlebitis is easy to recognize. II: optic nerve. III: oculomotor nerve. (Courtesy of D O’Toole, Department of Veterinary Sciences, 1174 Snowy Range Road, Laramie, Wyoming, USA, 82070)
There is a published grading schema for the arterial lesions of MCF.145 Arteritis is generally present in kidneys and in the hila of lymph nodes, but multiple other organs are affected. Meningoencephalitis and endophthalmitis are common morphological features of MCF. The encephalitis is modest, characterized by non-suppurative inflammation and gliosis. It can be hard to unequivocally identify primary intracerebral arteritis and, even when present, difficult to distinguish it from angiocentric inflammation due to other viral encephalopathies that do not cause vasculitis. Necrotizing vasculitis is easier to recognize in leptomeningeal vessels. Ocular lesions of MCF are consistent.116,142,216,224 Corneal oedema develops at the limbus, extending centripetally into substantia propria in animals with longer survival times. Corneal erosions are characteristic, accompanied by inflammation, degeneration and loss of corneal endothelium. Other ocular changes are uveitis, particularly in ciliary processes, sensory retinitis, and necrotizing inflammation of posterior ciliary arteries.216
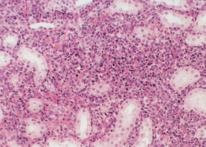
Lymphoid hyperplasia is generalized in lymph nodes of cattle, bison and cervid species that die of acute MCF. Some lymphocytes are large with lymphoblastoid features, but in more autolytic carcasses these can be hard to distinguish from reactive histiocytes. Similar lymphoblastoid cells are widespread in the inflammatory reaction of MCF, particularly in and around blood vessels. In lymph nodes they expand T-cell dependant areas. Multifocal degeneration of lymphocytes resulting in necrosis and oedema is common in lymph nodes, particularly in some cervid species. The inflammatory reaction of MCF around vessels is dominated by the presence of slightly atypical lymphocytes resembling or indistinguishable from macrophages. The typical infiltrate comprises lymphocytes, histiocytes-macrophages, plasmacytes, and neutrophils.
There are departures from this pattern in some species, particularly when MCVFs other than OvHV-2, AlHV-1 and AlHV-2 are involved, when death is peracute, or when the clinical course is long. Cattle surviving for weeks to months after onset of clinical signs have a distinctive generalized obliterative arteriopathy reflecting repair in tunica intima and media of arteries in the wake of necrotizing arteritis. Such lesions do not occur in veins. Similar chronic lesions have been seen in Axis deer (Axis axis).29 Lesions are sufficiently large that they may be recognized grossly. An epizootic of chronic arteritis-periarteritis that persisted in a herd of Axis deer in Germany for a century was probably MCF.16
Gross lesions of MCF in some ruminant species are less florid than in cattle, particularly in deer, where the findings may be minimal and comprise erosive-ulcerative stomatitis, haemorrhagic enteritis, necrosis in liver and heart, petechial to ecchymotic haemorrhage in multiple tissues, and lymphadenopathy.22,23,201,218 Autolytic cervid carcasses are often a challenge, since no distinctive gross lesions may be recognized.
Sheep with PAN have lymphocytoclastic arteritis in multiple organs, with (in some) histiocytic interstitial pneumonia, peribronchiolar lymphoid aggregates in lungs, and multinucleated cells, ulcerative enteritis, and phlebitis. Necropsy findings may be nonspecific, other than weight loss, lymphadenopathy, ulcerative enteritis and pneumonia.56 Some affected sheep have profuse oculonasal discharge, while others have renal infarcts.108 Since most domestic sheep are infected with OvHV-2 and correlation is not causality, incriminating the virus as causative depends on detecting either high viral loads by real-time PCR, or detecting viral DNA in lesions by in situ hybridization (ISH).56,153 OvHV-2 DNA is detected by ISH in inflammatory foci, primarily in T lymphocytes. A recent retrospective ISH study of previously reported cases of idiopathic ovine PAN in England, Spain and the United States incriminated OvHV-2. The pathogenesis of OvHV-2-associated PAN is unclear. A similar syndrome was induced by high intranasal doses of virus,103 and by fatal challenge using OvHV-2 infected cells.25 PAN associated with OvHV-2 has been seen in wild sheep, such as Barbary (Ammotragus lervia)221 and Stone sheep (Ovis dalli stonei)69
Pigs dying of MCF have minimal changes at necropsy with the exception of lymphadenopathy. The histological hallmark of porcine MCF is acute vasculitis in multiple organs, including brain.117 Lesions resemble those of acute bovine MCF: disseminated necrotizing arteritis, interstitial nephritis, periportal hepatitis, rhinitis, keratoconjunctivitis, gastritis and lymphoid hyperplasia with necrosis.1,2,119 In an experimental study where pigs were challenged intranasally with OvHV-2, lesions were found most consistently in lungs, trachea, kidneys and brain. Interstitial pneumonia varied in severity, characterized by lymphohistiocytic cellular inflammation in bronchioles and around intrapulmonary arteries, There was disseminated nonsuppurative meningoencephalitis with perivasculitis-vasculitis in the brain.1,2
Disease due to CpHV-2 in sika deer can be associated with severe alopecic clinical dermatitis. In addition to necrotizing lymphocytic vasculitis, cutaneous lesions may be florid and granulomatous, with giant cell infiltration and mural folliculitis.35 Generalized vasculitis in non-cutaneous tissues may be granulomatous, although this is not invariable. It is unclear whether the chronic lesions associated with prolonged survival that are associated with CpHV-2 in some cervids reflect inherently lower viral pathogenicity relative to OvHV-2 or AlHV-1, or is a peculiarity of sika deer. OvHV-2 in experimentally-challenged rabbits causes a granulomatous response, generally within three weeks of challenge, most commonly in portal areas of the liver and, in some, is associated with widespread hepatic necrosis (Figures 35 a and b).

Figure 35 a Variation in nature of inflammatory reaction due OvHV-2, determined by species. Typical lymphohistiocytic reaction restricted to portal area of liver in a bull dying of MCF. (Courtesy of D O’Toole, Department of Veterinary Sciences, 1174 Snowy Range Road, Laramie, Wyoming, USA, 82070)

Figure 35 b Granulomatous portal-periportal hepatitis due to OvHV-2 in rabbit following challenge. Note numerous giant cells (arrows) and considerably more florid inflammation reaction involving periportal areas (Courtesy of D O’Toole, Department of Veterinary Sciences, 1174 Snowy Range Road, Laramie, Wyoming, USA, 82070)

Figures 36 a-c In situ hybridization demonstration of OvHV-2 in tissues from an animal with acute MCF.
a. Artery with lymphocytic-histiocytic arteritis. L: arterial lumen.
b. Boxed area in a, showing lymphoid cells (arrow) in subendothelial and muscular layers in HE preparation
c. Infected lymphocytes (arrow) with red signal in ISH preparation.
(Courtesy of P Pesavento, UC Davis, California, USA)
Diagnosis
A strong tentative diagnosis of MCF can be made based on clinical signs in consort with typical gross and histological lesions of MCF. A small fraction of cattle dying of MCF will have lesions that are equivocal for diagnostic purposes. Such doubtful cases can be resolved by PCR.135 Confirmation involves nested or quantitative PCR assays.74,118,135,207,217 Correlation between lesions suggestive of MCF and a positive PCR result is generally excellent. If an outbreak involves an MCFV other than OvHV-2 or AlHV-1, a multiplex PCR is available.39 At present there is no immunohistochemical method to confirm a diagnosis of MCF in formalin-fixed tissues, presumably because scant viral antigen is expressed in end-stage hosts. Provided formalin fixation of tissue is not prolonged (<45 days), wax-embedded tissue can be tested by PCR to corroborate a clinical or morphological diagnosis when fresh tissue is unavailable. Fixed tissues stored in wax blocks for up to 15 years have been tested successfully, and provide a useful resource for retrospective studies34,64,145 and in situations where no fresh tissues were collected.193 In situ hybridization methods (Figures 36 a-c) can demonstrate AlHV-1 and OvHV-2 in fixed tissue, but are rarely used diagnostically.123,152,153 It has been helpful in establishing the presence and probable involvement of OvHV-2 in natural outbreaks of systemic polyarteritis in sheep.153
Laboratory confirmation of OvHV-2 infection
Ovine herpesvirus 2 has not been isolated but a complete genome sequence has been published. Ovine herpesvirus 2 -specific PCRs, including quantitative methods (qPCR), have been developed. Confirmation of MCF in fallen stock generally involves histopathology and/or detection of OvHV-2 DNA in tissue, most commonly in spleen and lung. Confirmation of SA-MCF in live symptomatic animals is done by PCR testing of peripheral blood leukocytes.68,135 Serological assays are useful to screen for OvHV-2 infection in sheep, as well as groups of clinically-susceptible species exposed to sheep. A positive serological result indicates infection, except for young lambs with maternal antibodies. All current serological assays are based on the detection of antibody that cross-reacts with antibodies to AlHV-1. Alcelaphine herpesvirus 1 neutralization assays cannot be used to detect neutralizing antibodies against OvHV-2, since the two agents do not share neutralizing antigens.203 Polyclonal antibody-based assays continue to be used to detect antibodies, although interpretation is constrained by cross-reactivity with bovine herpesvirus 4 (BoHV-4), a common non-pathogenic virus of cattle. A competitive ELISA (cELISA) that uses a monoclonal antibody (15-A) against an epitope conserved among all MCFVs examined to date is specific, rapid, and economical. It is the method recommended by the OIE Terrestrial Manual for detecting anti-MCF viral antibodies. It is also helpful in epidemiological investigations.93,180 An enigmatic aspect of MCF is the circumstance under which some animals belonging to susceptible species respond serologically to pathogenic MCFVs without developing disease, particularly when the animals are also OvHV-2-positive by PCR.145
Various PCR methods have been assessed diagnostically in multiple countries and are robust, sensitive and specific. As viral DNA can be extracted from peripheral blood leukocytes confirmation of clinical cases has now become routine. This allows confirmation of infection with OvHV-2 in cattle with clinical signs of MCF, including those with extended survival times or that appear to have recovered.62
Laboratory confirmation of AlHV-1 infection
In the past, diagnosis of WA-MCF relied primarily on viral isolation, combined with characteristic clinical signs and lesions.78,83 Virus isolation is problematic, due to the labile nature of AlHV-1.125 Polymerase chain reaction now largely supplants attempted virus isolation. Various PCR methods are available, including a multiplex PCR that is useful in situations where multiple known carrier species are involved.39,73,123,125,207 The virus can be isolated from blood and tissue of clinically affected animals using methods originally described by Plowright; the online OIE Terrestrial Manual provides step-by-step details.159,160,180 Various cell lines are appropriate, with bovine thyroid cells used extensively. Cytopathic effects including syncytia formation take three or more weeks to develop. Typical herpesvirus particles can be seen by negative stain transmission electron microscopy. The identity of the isolate in cell culture can be determined by indirect fluorescent antibody test using specific antisera or monoclonal antibodies to AlHV-1. The detection of AlHV-1-specific antibody, especially neutralizing antibodies in cattle with appropriate clinical signs, supports a clinical diagnosis of MCF. Some clinically normal cattle can be seropositive for AlHV-1.87 Serological assays can be used to confirm AlHV-1 infection in wildebeest, since the latter consistently develop antibodies, including neutralizing antibodies, following infection. Polymerase chain reaction methods may be insufficiently sensitive to detect infection in all infected wildebeest due to the low concentration of AlHV-1 DNA in peripheral blood leukocytes.164
Laboratory confirmation of infection with other MCFVs
In addition to AlHV-1 and OvHV-2, at least four other MCFVs, including AlHV-2, CpHV-2, MCFV-WTD/CpHV-3 and Ibex-MCFV, cause MCF in clinically-susceptible species. Serological assays, including indirect immunofluorescence and cELISAs are useful to screen groups of animals, particularly reservoir species, and in epidemiological investigations. The AlHV-1 neutralization assay can be used for detecting evidence of MCFV infection in species in the Alcelaphinae/Hippotraginae group, including hartebeest and topi. This assay is unhelpful for CpHV-2, CpHV-3 and Ibex-MCFV infection in goats and ibex, since AlHV-1 neutralizing antigens are shared within species in the Alcelaphinae/Hippotraginae group but not in the Caprinae group.203 When clinical samples originate from a mixed-species operation, such as zoological collections or game farms, multiplex PCR is the most efficient way to establish which virus is likely causal. The multiplex PCR is a probe-based real-time PCR that targets a polymorphic region in the viral DNA polymerase gene containing sequences unique to each pathogenic MCFV of interest.39 A degenerate PCR specific for pan-herpesviruses is useful to identify new MCFVs that may be associated with disease in clinically-susceptible species.209
Differential diagnosis
A producer or veterinarian who has seen ‘typical’ MCF in cattle or bison is unlikely to miss another case. At a minimum, MCF will be a differential consideration. Most cattle with MCF have the “head and eye” form. Its progressive and febrile nature distinguishes it from most other diseases. Atypical presentations occur in cattle and bison, and probably in all susceptible species. Differential considerations in outbreaks of MCF in cattle and bison in North America and Europe are mucosal disease due to bovine viral diarrhoea virus (BVDV), infectious bovine rhinotracheitis (‘rednose’) due to BoHV-1, vesicular stomatitis, and bluetongue.71 The importance of distinguishing MCF from bluetongue in cattle is of growing importance in Europe, given the recent extension of the latter into northern Europe. Helpful differentiating features are that cattle with bluetongue are less likely to be febrile, anorectic and depressed. Oculonasal discharge, if a feature in outbreaks, is less common and less florid in bluetongue than in MCF.14 In the past it was important to differentiate MCF from rinderpest, since clinical signs and gross lesions could be indistinguishable.202 Early in the clinical course, some animals may be considered by producers to have pinkeye due to Moraxella bovis or other forms of bacterial or viral keratoconjunctivitis.43
Epizootic haemorrhagic disease (EHD) of deer is a differential consideration in North America, particularly in years when heavy die-offs occur in cervids and pronghorn (Antilocapra americana). Adenoviral haemorrhagic disease due to Odocoileus adenovirus 1 (OdAdV-1) should be considered in areas where it is endemic in mule deer in western North America; Odocoileus adenovirus 1 can also cause a disease in white-tailed deer and moose (Alces alces).219 Salmonellosis, enteric coccidiosis and some forms of heavy metal poisoning (e.g. arsenic) might be considered in animals with florid haemorrhagic diarrhoea.145 In deer, yersiniosis presents a similar picture although it tends to affect animals less than a year old. In South Africa, severe disease associated with lachrymation, stomatitis, coronitis, sloughing of the skin of the teats and muzzle and, in some, diarrhoea has been recorded in cattle due to EHD virus infections. Laboratory testing is generally required to reach a definitive diagnosis.
More challenging for clinicians is identifying MCF when it affects unfamiliar hooved stock. As the list of MCFVs expands, it becomes more difficult to provide reliable clinical and morphological guidelines for when MCF should be considered. It is hoped that growing clinical experience with disease in these species, combined with the increased availability of laboratory assays, will permit refinement of diagnostic criteria for MCF.
Control
No practical, consistently-effective treatment exists for animals with MCF. A high proportion of animals with clinical signs, especially among the highly susceptible species, die or should be euthanized/slaughtered when it is clear that the disease is terminal. Treatment is generally supportive, consisting of broad-spectrum antibiotics, systemic corticosteroids, fluid therapy and nursing care. Some experienced veterinarians and owners will not treat animals with MCF.145 A recent study reported that treatment with interleukin-2 was associated with recovery of 30 per cent (6/19) of cattle with naturally-acquired MCF.18 Additional studies may be necessary to further determine the value of interleukin-2 in treating naturally occurring MCF in cattle, especially including more untreated animals, given that recovery from clinical MCF in cattle may occur naturally.143,144
There is renewed interest and optimism about developing vaccines for MCF.183 An effective vaccine will have particular value for WA-MCF-affected regions in East and southern Africa where the economic and social impacts of the disease are well documented.31 A vaccine would be helpful for the captive deer industry, particularly red deer, and for North American producers who are unable to maintain wide spatial separation between bison and neighbours’ sheep flocks.142,169 Efforts to develop a vaccine faded after the 1960s due to limited success with candidate products in cattle. Current efforts focus on AlHV-1, since it can be grown in culture. One approach involves the use of attenuated strains, mucosal adjuvants, and intramuscular inoculation. Candidates are based on the virulent C500 strain of AlHV-1 following attenuation by repeated passages in cell culture. In one study the approach provided approximately 90 per cent protection in domestic cattle.60 Current drawbacks are that protection from virulent challenge is brief (6 months), and the vaccine is less effective (50 – 56 per cent. protection) in cattle breeds native to sub-Saharan Africa.87,181 Recent studies indicated that protection was associated with high levels of neutralizing antibodies in nasal secretions, highlighting the importance of mucosal immunity in the respiratory tract.60 Use of attenuated C500 AlHV-1 may not be protective for species susceptible to SA-MCF, since AlHV-1 and OvHV-2 do not share neutralizing antigens.203
A constraint to developing a vaccine for SA-MCF is that no in vitro system exists to propagate OvHV-2. It is therefore not possible to use repeated passages to induce attenuation, as was done with AlHV-1. An alternative approach is to create non-pathogenic AlHV-1/OvHV-2 chimeric virus,40 or another non-pathogenic virus vector that expresses protective OvHV-2 antigens. A non-pathogenic strain of AlHV-1 (AlHV-1ΔORF73) replicates without inducing disease, and protects rabbits from lethal challenge with virulent AlHV-1. A recent study demonstrated that envelope glycoproteins of OvHV-2, gB and gH/gL induce a neutralizing antibody response. The immunological response blocked viral entry into susceptible hosts and in rabbits prevented experimentally-induced MCF due to OvHV-2.37 Development of vaccine vectors expressing key OvHV-2 glycoproteins, such as the current SA-MCF experimental vaccine, is one practical approach to induce neutralizing antibodies. The goal is to establish an effective immunological barrier at the site of initial viral replication in respiratory mucosa.
In the absence of an effective vaccine, the main approach continues to be limited exposure of MCF-susceptible species to natural hosts of MCFV. In the case of free-living wildebeest, while the advice is easy to give, it is inconvenient and expensive for producers to keep cattle separate for extended periods of time. There is increasing pressure on grazing areas between sympatric cattle and wildebeest, resulting in wildlife-livestock competition. Similarly, where a natural host and susceptible species are kept together on ranches, game farms and zoological collections, effective separation may be impractical. Sheep, goats and Nubian ibex can be raised free of their respective MCFVs (OvHV-2, CpHV-2 and Ibex-MCFV, respectively). This approach has been used successfully in specific situations.
The unpredictability of SA-MCF outbreaks makes it difficult to establish rational control strategies, particularly about minimum ‘safe’ separation distances. Sheep and cattle share rangeland throughout much of the western United States, and losses are generally sporadic and small. The precipitating factor(s) for large outbreaks is unclear. We assume that proximity, prolonged exposure, and large numbers of young sheep are major contributors.
Segregation of sheep from the most susceptible species is imperative. Direct contact, as well as shared personnel or fomites, should be avoided. In Indonesia it is illegal to keep small ruminants on some islands where Bali cattle are kept. Efforts to introduce similar legislation in parts of North America where bison and sheep are in close proximity have been stillborn.48 Regulations were introduced in South Africa but subsequently abandoned.72 In the absence of a legislative approach, some neighbours attempt to resolve problems through private settlement.72 This approach becomes problematic when multiple properties with sheep or wildebeest adjoin a farm or ranch with highly susceptible livestock, as assigning liability is essentially impossible.
The best policy may be to regard all wildebeest and sheep, regardless of age, as potential sources of MCF. The advice that, if you can see sheep or wildebeest, they are probably too close is both true and redundant. Maintaining spatial separation between neighbouring populations of natural host species and susceptible species may be impossible to coordinate. Better understanding of shedding patterns and of the natural ecology of MCFVs in natural host species is the approach most likely to generate rational control strategies.
References
- ALBINI, S., ZIMMERMANN, W., NEFF, F., EHLERS, B., HÄNI, H., LI, H., HÜSSY, D., ENGELS, M. & ACKERMANN, M., 2003. Identification and quantification of ovine gammaherpesvirus 2 DNA in fresh and stored tissues of pigs with symptoms of porcine malignant catarrhal fever. Journal of Clinical Microbiology, 41, 900-904.
- ALCARAZ, A., WARREN, A., JACKSON, C., GOLD, J., MCCOY, M., CHEONG, S. H., KIMBALL, S., SELLS, S., TAUS, N. S., DIVERS, T. & LI, H., 2009. Naturally occurring sheep-associated malignant catarrhal fever in North American pigs. Journal of Veterinary Diagnostic Investigation, 21, 250-253.
- AMOROSO, M. G., GALIERO, G. & FUSCO, G., 2017. Genetic characterization of ovine herpesvirus 2 strains involved in water buffaloes malignant catarrhal fever outbreaks in Southern Italy. Veterinary Microbiology, 199, 31-35.
- ANONYMOUS, 2013. Malignant catarrhal fever. In: Interafrican Bureau for Animal Resources http://www.au-ibar.org/malignant-catarrhal-fever, Accessed 14 April 2018.
- BARNARD, B. J., BENGIS, R, G., GRIESSEL, M. D. & DE VOS, V. , 1989. Excretion of alcelaphine herpesvirus-1 by captive and free-living wildebeest (Connochaetes taurinus). Onderstepoort Journal of Veterinary Research, 56, 131-134.
- BARNARD, B. J. H., 1990. Epizootiology of wildebeest-derived malignant catarrhal fever: Possible transmission among cows and their calves in the North-western Transvaal. Onderstepoort Journal of Veterinary Research, 57, 201–204.
- BARNARD, B. J. H., 1991. Malignant catarrhal fever (snotsiekte) and the role of the black wildebeest (Connochaetes gnou). Pelea, 10, 43–44 & 61–63.
- BARNARD, B. J. H. & VAN DE PYPEKAMP, H. E., 1988. Wildebeest-derived malignant catarrhal fever: Unusual epidemiology in South Africa. Onderstepoort Journal of Veterinary Research, 55, 69–71.
- BARNARD, B. J. H., VAN DER LUGT, J. & MUSHI, E. Z., 1994. Malignant catarrhal fever. In: Infectious Diseases of Livestock with special reference to Southern Africa. Oxford University Press, Cape Town, Oxford.
- BAXTER, S. I., POW, I., BRIDGEN, A. & REID HW., 1993. PCR detection of the sheep-associated agent of malignant catarrhal fever. Archives of Virology, 132, 145–159.
- BAXTER, S. I., WIYONO, A., POW, I. & REID, H.W. , 1997. Identification of ovine herpesvirus-2 infection in sheep. Archives of Virology, 142, 823–831.
- BEDELIAN, C., NKEDIANYE, D. & HERRERO, M., 2007. Maasai perception of the impact and incidence of malignant catarrhal fever (MCF) in southern Kenya. Preventive Veterinary Medicine, 78, 296–316.
- BEREZOWSKI, J. A., APPLEYARD, G. D., CRAWFORD, T. B., HAIGH, J., LI, H., MIDDLETON, D. M., O'CONNOR, B. P., WEST, K & WOODBURY, M. , 2005. An outbreak of sheep-associated malignant catarrhal fever in bison (Bison bison) after exposure to sheep at a public auction sale. Journal of Veterinary Diagnostic Investigation, 17, 55-58.
- BEXIGA, R., GUYOT, H., SAEGERMAN, C., MAUROY, A., ROLLIN, F., THIRY, E., PHILBEY, A. W., LOGUE, D. N., MELLOR, D. J., BARRETT, D. C. & ELLIS, K., 2007. Clinical differentiation of malignant catarrhal fever, mucosal disease and bluetongue. The Veterinary Record, 161, 858-859.
- BILDFELL, R. J., LI, H., ALCANTAR, B. E., CUNHA, C. W., BRADWAY, D. S. & THOMAS, K. S., 2017. Alcelaphine gammaherpesvirus 1-induced malignant catarrhal fever in a Watusi (Bos taurus africanus) steer in a North American game park. Journal of Veterinary Diagnostic Investigation, 29, 579-582.
- BOHROD, M. G., 1956. Periarteritis nodosa in an American deer. Archives of Pathology, 62, 17-22.
- BOURN, D. & BLENCH, R., 1999. Can Livestock and Wildlife Co-Exist? Overseas Development Institute, London. 31–34.
- BRAUN, U., HÄSSIG, M., PREVITALI, M., FRANCHINI, M., VÖGTLIN, A., STORSET, A. K. & ACKERMANN, M., 2015. [Interleukin-2 for the treatment of cows with malignant catarrhal fever][German]. Schweizer Archiv Fur Tierheilkunde, 157, 31-38.
- BRIDGEN, A., 1991. The derivation of a restriction endonuclease map for Alcelaphine herpesvirus 1 DNA. Archives of Virology, 117, 183–192.
- BRIDGEN, A., MUNRO, R. & REID, H. W., 1992. The detection of alcelaphine herpesvirus-1 DNA by in situ hybridization of tissues from rabbits affected with malignant catarrhal fever. Journal of Comparative Pathology, 106, 351–359.
- BRIDGEN, A. & REID, H. W., 1991. Derivation of a DNA clone corresponding to the viral agent of sheep-associated malignant catarrhal fever. Research in Veterinary Science, 50, 38–44.
- BROWN, C. C. & BLOSS, L. L., 1992. An epizootic of malignant catarrhal fever in a large captive herd of white-tailed deer (Odocoileus virginianus). Journal of Wildlife Diseases, 28, 301-305.
- BUXTON, D., 1988. The diagnosis of malignant catarrhal fever in deer. In: The Management and Health of Farmed Deer, ed. H. W. Reid. Kluwer Academic Publishers, 159 -167.
- BUXTON, D. & REID, H. W., 1980. Transmission of malignant catarrhal fever to rabbits. The Veterinary Record, 106, 243–245.
- BUXTON, D., REID, H. W., FINLAYSON, J., POW, I. & BERRIE E., 1985. Transmission of a malignant catarrhal fever-like syndrome to sheep: preliminary experiments. Research in Veterinary Science, 38, 22-29.
- CAMPOLO, M., LUCENTE, M. S., MARI, V., ELIA, G., TINELLI, A., LARICCHIUTA, P., CARAMELLI, M., NAVA, D., BUONAVOGLIA, C. & DECARO, N., 2008. Malignant catarrhal fever in a captive American bison (Bison bison) in Italy. Journal of Veterinary Diagnostic Investigation, 20, 843-846.
- CASTRO, A. E., SCHRAMKE, M.L., RAMSAY, E.C., WHITENACK. D.L., & DOTSON, J.F., 1983. A diagnostic approach in the identification and isolation of malignant catarrhal fever virus inapparent carriers in a wildebeest herd. Proceedings, 3rd International Symposium of Veterinary Laboratory Diagnosticians, 715-721.
- CHMIELEWICZ, B., GOLTZ, M. & EHLERS, B., 2001. Detection and multigenic characterization of a novel gammaherpesvirus in goats. Virus Research, 75, 87-94.
- CLARK, K. A., ROBINSON R. M., MARBURGER R. G., JONES L. P. & . ORCHARD J., 1970. Malignant catarrhal fever in Texas cervids. Journal of Wildlife Diseases, 6, 376-383.
- CLARK, K. A., ROBINSON R. M., WEISHUHN L. L. & MCCONNELL, S. , 1972. Further observations on malignant catarrhal fever in Texas deer. Journal of Wildlife Diseases, 8, 72-74.
- CLEAVELAND, S., KUSILUKA, L., OLE KUWAI J, BELL, C., & KAZWALA, R., 2001. Assessing the impact of malignant catarrhal fever in Ngorongoro District. Tanzania: Department for international development, animal health programme. 57–72.
- COLLERY, P. & FOLEY, A., 1996. An outbreak of malignant catarrhal fever in cattle in the Republic of Ireland. The Veterinary Record, 139, 16–17.
- COOLEY, A. J., TAUS, N. S. & LI, H., 2008. Development of a management program for a mixed species wildlife park following an occurrence of malignant catarrhal fever. Journal of Zoo and Wildlife Medicine, 39, 380-385.
- CRAWFORD, T. B., LI, H. & O'TOOLE, D., 1999. Diagnosis of malignant catarrhal fever by PCR using formalin-fixed, paraffin-embedded tissues. Journal of Veterinary Diagnostic Investigation, 11, 111-116.
- CRAWFORD, T. B., LI, H., ROSENBURG, S.R., NORHAUSEN, R.W. & GARNER, M.M., 2002. Mural folliculitis and alopecia caused by infection with goat-associated malignant catarrhal fever virus in two sika deer. Journal of the American Veterinary Medical Association, 221, 801, 843-847.
- CUNHA, C. W., GAILBREATH, K.L., O’TOOLE, D., KNOWLES, D.P., SCHNEIDER, D.A., WHITE, S.N., TAUS, N.S., DAVIES, C.J., DAVIS, & W.C., LI, H., 2012. Ovine herpesvirus 2 infection in American bison: virus and host dynamics in the development of sheep-associated malignant catarrhal fever. Veterinary Microbiology, 159, 307–319.
- CUNHA, C. W., KNOWLES, D.P., TAUS, N.S., O'TOOLE, D., NICOLA, A.V., AGUILAR, H.C., & LI, H., 2015. Antibodies to ovine herpesvirus 2 glycoproteins decrease virus infectivity and prevent malignant catarrhal fever in rabbits. Veterinary Microbiology, 175, 349-355.
- CUNHA, C. W., O’TOOLE, D., TAUS, N.S., KNOWLES, D.P., & LI, H., 2013. Are rabbits a suitable model to study sheep-associated malignant catarrhal fever in susceptible hosts? Veterinary Microbiology, 163, 358-363.
- CUNHA, C. W., OTTO, L., TAUS, N.S., KNOWLES, D.P., & LI, H., 2009. Development of a multiplex real-time PCR for detection and differentiation of malignant catarrhal fever viruses in clinical samples. Journal of Clinical Microbiology, 47, 2586-2589.
- CUNHA, C. W., TAUS, N.S., DEWALS, B.G., VANDERPLASSCHEN, A., KNOWLES, D.P., & LI, H., 2016. Replacement of glycoprotein B in Alcelaphine herpesvirus 1 by its ovine herpesvirus 2 homolog: implications in vaccine development for sheep-associated malignant catarrhal fever. Damania B, ed. mSphere, 1(4):e00108-16. doi:10.1128/mSphere.00108-16.
- DANIELS, P. W., SUDARISMAN, P., WIYONO, A. & RONOHARDJO, P., 1988. Epidemiological aspects of malignant catarrhal fever in Indonesia. In: Daniels, P.W., Sudarisman, & Ronohardjo, P., (eds). Malignant Catarrhal Fever in Asian Livestock, Australia Centre for International Agricultural Research, Canberra, 20–31.
- DAUBNEY, R. & HUDSON, J. R., 1936. Transmission experiments with bovine malignant catarrh. Journal of Comparative Pathology and Therapeutics, 49, 63–68.
- DENHOLM, L. J. & WESTBURY, H. A., 1982. Malignant catarrhal fever in farmed Rusa deer (Cervus timorensis). 1. Clinico-pathological observations. Australian Veterinary Journal, 58, 81–87.
- DEWALS, B., BOUDRY, C., FARNIR, F., DRION, P.V., & VANDERPLASSCHEN, A., Malignant catarrhal fever induced by alcelaphine herpesvirus 1 is associated with proliferation of CD8+ T cells supporting a latent infection. PLoS One, 3:e1627.
- DEWALS, B. G. & VANDERPLASSCHEN, A., 2011. Malignant catarrhal fever induced by Alcelaphine herpesvirus 1 is characterized by an expansion of activated CD3+CD8+CD4- T cells expressing a cytotoxic phenotype in both lymphoid and non-lymphoid tissues. Veterinary Research, 42 (1), 95. doi:10.1186/1297-9716-42-95.
- DOBORO, F. A., NJIRO, S., SIBEKO-MATJILA, K. & VAN VUUREN, M., 2016. Molecular analysis of South African ovine herpesvirus 2 strains based on selected glycoprotein and tegument genes. Woo PC, ed. PLoS ONE, 11 (3), e0147019. doi:10.1371/journal.pone.0147019.
- ENSSER, A., PFLANZ, R. & FLECKENSTEIN, B., 1997. Primary structure of the alcelaphine herpesvirus 1 genome. Journal of Virology, 71, 6517-6525.
- EPP, T., WALDNER, C. & WOODBURY, M., 2016. An observational study of mortality on bison farms in Saskatchewan with special emphasis on malignant catarrhal fever. Canadian Veterinary Journal, 57, 37-45.
- FERNÁNDEZ-AGUILAR, X., ESPERÓN, F., CABEZÓN, O., VELARDE, R., MENTABERRE, G., DELICADO, V., MUÑOZ, M. J., SERRANO, E., LAVÍN, S. & LÓPEZ-OLVERA, J. R., 2016. Identification of a gammaherpesvirus belonging to the malignant catarrhal fever group of viruses in Pyrenean chamois (Rupicapra p. pyrenaica). Archives of Virology, 161, 3249–3253.
- FERRERAS, M. C., BENAVIDES, J., FUERTES, M., GARCÍA-PARIENTE, C., MUÑOZ, M., DELGADO, L., POLLEDO, L., GONZÁLEZ, J., GARCÍA MARÍN, J. F. & PÉREZ, V., 2013. Pathological features of systemic necrotizing vasculitis (polyarteritis nodosa) in sheep. Journal of Comparative Pathology, 149, 74-81.
- FRONTOSO, R., AUTORINO, G. L., FRIEDRICH, K. G., LI, H., ELENI, C., COCUMELLI, C., DI CERBO, P., MANNA, G. & SCICLUNA, M. T., 2016. An acute multispecies episode of sheep-associated malignant catarrhal fever in captive wild animals in an Italian zoo. Transboundary and Emerging Diseases, 63, 621-627.
- GAILBREATH, K. L., O'TOOLE, D., TAUS, N. S., KNOWLES, D. P., OAKS, J. L. & LI, H., 2010. Experimental nebulization of American bison (Bison bison) with low doses of ovine herpesvirus 2 from sheep nasal secretions. Veterinary Microbiology, 143, 389-393.
- GAILBREATH, K. L., TAUS, N. S., CUNHA, C. W., KNOWLES, D. P. & LI, H., 2008. Experimental infection of rabbits with ovine herpesvirus 2 from sheep nasal secretions. Veterinary Microbiology, 132, 65-73.
- GARMATZ, S. L., IRIGOYEN, L. F., RECH, R. R., BROWN, C. C., ZHANG, J. & BARROS, C. S. L., 2004. Malignant catarrhal fever in cattle in Rio Grande do Sul, Brazil: experimental transmission to cattle and characterization of the etiological agent. Pesquisa Veterinária Brasileira, 24, 93-106.
- GASPER, D., BARR, B., LI, H., TAUS, N., PETERSON, R., BENJAMIN, G., HUNT, T. & PESAVENTO, P. A., 2012. Ibex-associated malignant catarrhal fever-like disease in a group of bongo antelope (Tragelaphus eurycerus). Veterinary Pathology, 49, 492-497.
- GAUDY, J., WILLOUGHBY, K., LAMM, C., KARAVANIS, E. & LOGUE, D. N., 2012. Possible natural MCF-like disease in a domestic lamb in Scotland. The Veterinary Record, 171, 563.
- GAUGER, P. C., PATTERSON, A. R., KIM, W. I., STECKER, K. A., MADSON, D. M. & LOYNACHAN, A. T., 2010. An outbreak of porcine malignant catarrhal fever in a farrow-to-finish swine farm in the United States. Journal of Swine Health and Production, 18, 244-248.
- GOETZE, R., 1930. [Research on malignant bovine catarrh][German]. Deutsche Tierärztliche Wochenschrift, 38, 487–491.
- GOETZE, R. & LIESS, J., 1930. [Researches on malignant bovine catarrh: sheep as vectors][German]. Tierärztliche Wochenschrift, 37, 433–437.
- HAIG, D. M., GRANT, D., DEANE, D., CAMPBELL, I., THOMSON, J., JEPSON, C., BUXTON, D. & RUSSELL, G. C., 2008. An immunisation strategy for the protection of cattle against alcelaphine herpesvirus-1-induced malignant catarrhal fever. Vaccine, 26, 4461-4468.
- HAMILTON, A. F., 1990. Account of three outbreaks of malignant catarrhal fever in cattle in the Republic of Ireland. The Veterinary Record, 127, 231.
- HANICHEN, T., REID, H. W., WIESNER, H. & HERMANNS, W., 1998. [Malignant catarrhal fever among ruminants in a zoo][German]. Tierärztliche Paraxis G, 26, 294–300.
- HART, J., ACKERMANN, M., JAYAWARDANE, G., RUSSELL, G., HAIG, D. M., REID, H. & STEWART, J. P., 2007. Complete sequence and analysis of the ovine herpesvirus 2 genome. Journal of General Virology, 88, 28–39.
- HELMBOLDT, C. F., JUNGHERR, E. L. & HWANG, J., 1959. Polyarteritis in sheep. Journal of the American Veterinary Medical Association, 134, 56-561.
- HERRING, A., REID, H., INGLIS, N. & POW, I., 1989. Immunoblotting analysis of the reaction of wildebeest, sheep and cattle sera with the structural antigens of alcelaphine herpesvirus-1 (malignant catarrhal fever virus). Veterinary Microbiology, 19, 205–215.
- HILL, F., TISDALL, D. J. & GILL, J., 2014. An initial evaluation of cattle showing clinical signs suggestive of malignant catarrhal fever in New Zealand and the results of a diagnostic quantitative PCR assay. New Zealand Veterinary Journal, 62, 302-303.
- HIMSWORTH, C. G., HARMS, N. J., WOBESER, G. & HILL, J., 2008. Bilateral perirenal hemorrhage in two Stone's sheep (Ovis dalli stonei): a possible manifestation of malignant catarrhal fever. Journal of Veterinary Diagnostic Investigation, 20, 676-678.
- HOFFMANN, D., SOERIPTO, S., SOBIRONINGSIH, S., CAMPBELL, R. S. F. & CLARKE, B. C., 1984. The clinico-pathology of a malignant catarrhal fever syndrome in the Indonesian swamp buffalo (Bubalus bubalis). Australian Veterinary Journal, 61, 108–112.
- HOLLIMAN, A., 2005. Differential diagnosis of diseases causing oral lesions in cattle. In Practice, 27, 2-13.
- HONIBALL, E. J., VAN ESSEN, L. D. & DU TOIT, J. G., 2008. A review of malignant catarrhal fever in the Republic of South Africa, The Centre of Wildlife Management, Faculty of Natural and Agricultural Sciences, University of Pretoria. 89.
- HSU, D., SHIH, L. M., CASTRO, A. E. & ZEE, Y. C., 1990. Diagnostic method to detect alcelaphine herpesvirus-1 of malignant catarrhal fever using the polymerase chain reaction. Archives of Virology, 114, 259–263.
- HÜSSY, D., STÄUBER, N., LEUTENEGGER, C. M., RIEDER, S. & ACKERMANN, M., 2001. Quantitative fluorogenic PCR assay for measuring ovine herpesvirus 2 replication in sheep. Clinical and Diagnostic Laboratory Immunology, 8, 123-128.
- IMAI, K., NISHIMORI, T., HORINO, R., KAWASHIRMA, K., MURATA, H., TSUNEMITSU, H., SAITO, T., KATSURAGI, K. & YAEGAHI, G., 2001. Experimental transmission of sheep associated malignant catarrhal fever from sheep to Japanese deer (Cervus nippon) and cattle. Veterinary Microbiology, 79, 83-90.
- IUCN SSC ANTELOPE SPECIALIST, G., 2016. The IUCN Red List of Threatened Species. Connochaetes taurinus, e.T5229A50185086. http://dx.doi.org/10.2305/IUCN.UK.2016-2.RLTS.T5229A50185086.en, Accessed 1 April 2018.
- JACOBY, R. O., BUXTON, D. & REID, H. W., 1988. The pathology of wildebeest-associated malignant catarrhal fever in hamsters, rats and guinea-pigs. Journal of Comparative Pathology, 98, 99–109.
- KATZ, J., SEAL, B. & RIDPATH, J., 1991. Molecular diagnosis of alcelaphine herpesvirus (malignant catarrhal fever) infections by nested amplification of viral DNA in bovine blood buffy coat specimens. Journal of Veterinary Diagnostic Investigation, 3, 193–198.
- KLEIBOEKER, S. B., MILLER, M. A., SCHOMMER, S. K., RAMOS-VARA, J. A., BOUCHER, M. & TURNQUIST, S. E., 2002. Detection and multigenic characterization of a herpesvirus associated with malignant catarrhal fever in white-tailed deer (Odocoileus virginianus) from Missouri. Journal of Clinical Microbiology, 40, 1311-1318.
- KLIEFORTH, R., MAALOUF, G., STALIS, I., TERIO, K., JANSSEN, D. & SCHRENZEL, M., 2002. Malignant catarrhal fever-like disease in Barbary red deer (Cervus elaphus barbarus) naturally infected with a virus resembling alcelaphine herpesvirus 2. Journal of Clinical Microbiology, 40, 3381-3390.
- LAHIJANI, R. S., SUTTON, S. M., KLIEFORTH, R. B., MURPHY, M. F. & HEUSCHELE, W. P., 1994. Application of polymerase chain reaction to detect animals latently infected with agents of malignant catarrhal fever. Journal of Veterinary Diagnostic Investigation, 6, 403-409.
- LANKESTER, F., LUGELO, A., KAZWALA, R., KEYYU, J., CLEAVELAND, S. & YODER, J., 2015. The economic impact of malignant catarrhal fever on pastoralist livelihoods. PLoS One, Jan 28;10(1):e0116059, doi: 10.1371/journal.pone.0116059. eCollection.
- LANKESTER, F., LUGELO, A., MNYAMBWA, N., NDABIGAYE, A., KEYYU, J., KAZWALA, R., GRANT, D. M., RELF, V., HAIG, D. M., CLEAVELAND, S. & RUSSELL, G. C., 2015. Alcelaphine herpesvirus-1 (malignant catarrhal fever virus) in wildebeest placenta: genetic variation of ORF50 and A9.5 alleles. PLoS One, May 13;10(5), e0124121. doi:10.1371/journal.pone.0124121. eCollection.
- LANKESTER, F., LUGELO, A., WERLING, D., MNYAMBWA, N., KEYYU, J., KAZWALA, R., GRANT, D., SMITH, S., PARAMESWARAN, N., CLEAVELAND, S., RUSSELL, G. & HAIG, D., 2016. The efficacy of alcelaphine herpesvirus-1 (AlHV-1) immunization with the adjuvants Emulsigen® and the monomeric TLR5 ligand FliC in zebu cattle against AlHV-1 malignant catarrhal fever induced by experimental virus challenge. Veterinary Microbiology, 195, 144-153.
- LANKESTER, F., RUSSELL, G. C., LUGELO, A., NDABIGAYE, A., MNYAMBWA, N., KEYYU, J., KAZWALA, R., GRANT, D., PERCIVAL, A., DEANE, D., HAIG, D. M. & CLEAVELAND, S., 2016. A field vaccine trial in Tanzania demonstrates partial protection against malignant catarrhal fever in cattle. Vaccine, 34, 831-838.
- LEMOS, R. A. A. D. E., RECH, R. R., GUIMARÃES, E. B., KADRI, A., DUTRA, I. & DOS, S., 2005. [Malignant catarrhal fever in cattle from the states of Mato Grosso do Sul and São Paulo, Brazil][Portuguese]. Ciência Rural, 35, 932-934.
- LI H, GAILBREATH, K., BENDER LC WEST, K., KELLER, J. & CRAWFORD, T. B., 2003. Evidence of three new members of malignant catarrhal fever virus group in muskox (Ovibos moschatus), Nubian ibex (Capra nubiana), and gemsbok (Oryx gazella). Journal of Wildlife Diseases, 39, 875–880.
- LI, H., BROOKING, A., CUNHA, C. W., HIGHLAND, M. A., O'TOOLE, D., KNOWLES, D. P. & TAUS, N. S., 2013. Experimental induction of malignant catarrhal fever in pigs with ovine herpesvirus 2 by intranasal nebulization. Veterinary Microbiology, 159, 485-489.
- LI, H., CUNHA, C. W., ABBITT, B., DEMAAR, T. W., LENZ, S. D., HAYES, J. R. & TAUS, N. S., 2013. Goats are a potential reservoir for the herpesvirus (MCFV-WTD) causing malignant catarrhal fever in deer. Journal of Zoo and Wildlife Medicine, 44, 484–486.
- LI, H., CUNHA, C. W., DAVIES, C. J., GAILBREATH, K. L., KNOWLES, D. P., L., O. J. & TAUS, N. S., 2008. Ovine herpesvirus 2 replicates initially in the lung of experimentally infected sheep. Journal of General Virology, 89, 1699-1708.
- LI, H., CUNHA, C. W., GAILBREATH, K. L., O'TOOLE, D., WHITE, S. N., VANDERPLASSCHEN, A., DEWALS, B., KNOWLES, D. P. & TAUS, N. S., 2011. Characterization of ovine herpesvirus 2-induced malignant catarrhal fever in rabbits. Veterinary Microbiology, 150, 270-277.
- LI, H., CUNHA, C. W. & TAUS, N. S., 2011. Malignant catarrhal fever: understanding molecular diagnostics in context of epidemiology. International Journal of Molecular Sciences, 12, 6881-6893.
- LI, H., CUNHA, C. W., TAUS, N. S. & KNOWLES, D. P., 2014. Malignant catarrhal fever: inching towards understanding. Annual Review of Animal Biosciences, 2, 209-333.
- LI, H., DYER, N., KELLER, J. & CRAWFORD, T. B., 2000. Newly recognized herpesvirus causing malignant catarrhal fever in white-tailed deer (Odocoileus virginianus). Journal of Clinical Microbiology, 38, 1313-1318.
- LI, H., GAILBREATH, K., FLACH, E. J., TAUS, N. S., COOLEY, J., KELLER, J., RUSSELL, G. C., KNOWLES, D. P., HAIG, D. M., OAKS, J. L., TRAUL, D. L. & CRAWFORD, T. B., 2005. A novel subgroup of rhadinoviruses in ruminants. Journal of General Virology, 86, 3021-3026.
- LI, H., HUA, Y., SNOWDER, G. & CRAWFORD, T. B., 2001. Levels of ovine herpesvirus 2 DNA in nasal secretions and blood of sheep: implications for transmission. Veterinary Microbiology, 79, 301–310.
- LI, H., KARNEY, G., O'TOOLE, D. & CRAWFORD, T. B., 2008. Long distance spread of malignant catarrhal fever virus from feedlot lambs to ranch bison. Canadian Veterinary Journal, 49, 183-185.
- LI, H., KELLER, J., KNOWLES, D. P. & CRAWFORD, T. B., 2001. Recognition of another member of the malignant catarrhal fever virus group: an endemic gammaherpesvirus in domestic goats. Journal of General Virology, 82, 227–232.
- LI, H., MCGUIRE, T. C., MÜLLER-DOBLIES, U. U. & CRAWFORD, T. B., 2001. A simpler, more sensitive competitive inhibition enzyme-linked immunosorbent assay for detection of antibody to malignant catarrhal fever viruses. Journal of Veterinary Diagnostic Investigation, 13, 361–364.
- LI, H., O'TOOLE, D. K. I. M. O., OAKS, J. L. & CRAWFORD, T. B., 2005. Malignant catarrhal fever-like disease in sheep after intranasal inoculation with ovine herpesvirus-2. Journal of Veterinary Diagnostic Investigation, 17, 171– 175.
- LI, H., SHEN, D. T., KNOWLES, D. P. J. R., GORHAM, J. R. & CRAWFORD, T. B., 1994. Competitive inhibition enzyme-linked immunosorbent assay for antibody in sheep and other ruminants to a conserved epitope of malignant catarrhal fever virus. Journal of Clinical Microbiology, 32, 1674–1679.
- LI, H., SHEN, D. T., O’TOOLE, D., KNOWLES, D. P., GORHAM, J. R. & CRAWFORD, T. B., 1995. Investigation of sheep-associated malignant catarrhal fever virus infection in ruminants by PCR and competitive inhibition enzyme-linked immunosorbent assay. Journal of Clinical Microbiology, 33, 2048–2053.
- LI, H., SNOWDER, G., O'TOOLE, D. & CRAWFORD, T. B., 1998. Transmission of ovine herpesvirus 2 in lambs. Journal of Clinical Microbiology, 36, 223–226.
- LI, H., SNOWDER, G., O'TOOLE, D. & CRAWFORD, T. B., 2000. Transmission of ovine herpesvirus 2 among adult sheep. Veterinary Microbiology, 71, 27–35.
- LI, H., SNOWDER, G. D. & CRAWFORD, T. B., 2002. Effect of passive transfer of maternal immune components on infection with ovine herpesvirus 2 in lambs. American Journal of Veterinary Research, 63, 631-633.
- LI, H., TAUS, N. S., JONES, C., MURPHY, B., EVERMANN, J. F. & CRAWFORD, T. B., 2006. A devastating outbreak of malignant catarrhal fever in a bison feedlot. Journal of Veterinary Diagnostic Investigation, 18, 119-123.
- LI, H., TAUS, N. S., LEWIS, G. S., KIM, O., TRAUL, D. L. & CRAWFORD, T. B., 2004. Shedding of ovine herpesvirus 2 in sheep nasal secretions: the predominant mode for transmission. Journal of Clinical Microbiology, 42, 5558–5564.
- LI, H., WESTOVER, W. C. & CRAWFORD, T. B., 1999. Sheep-associated malignant catarrhal fever in a petting zoo. Journal of Zoo and Wildlife Medicine, 30, 408-112.
- LI, H., WUNSCHMANN, A., KELLER, J., HALL, D. G. & CRAWFORD, T. B., 2003. Caprine herpesvirus-2-associated malignant catarrhal fever in white-tailed deer (Odocoileus virginianus). Journal of Veterinary Diagnostic Investigation, 15, 46-49.
- LIGGITT, H. D. & DEMARTINI, J. C., 1980. The pathomorphology of malignant catarrhal fever. I. Generalized lymphoid vasculitis. Veterinary Pathology, 17, 58–72.
- LIGGITT, H. D. & DEMARTINI, J. C., 1980. The pathomorphology of malignant catarrhal fever. II. Multisystemic epithelial lesions. Veterinary Pathology, 17, 73–83.
- LIGGITT, H. D., DEMARTINI, J. C., MCCHESNEY, A. E., PIERSON, R. E. & STORZ, J., 1978. Experimental transmission of malignant catarrhal fever in cattle: gross and histopathologic changes. American Journal of Veterinary Research, 39, 1249–1257.
- LOKEN, T., ALEKSANDERSEN, M., REID, H. W. & POW, I., 1998. Malignant catarrhal fever caused by ovine herpesvirus 2 in pigs in Norway. The Veterinary Record, 143, 464–467.
- MARTINS, M. D. S. N., CASTRO, A. M. M. G. DE, LIMA, M. DOS S., PINTO, V. DA S. C., SILVA, T. G. DA, FAVA, C. DEL, DEPES, C. R., OKUDA, L. H., & PITUCO, E. M., 2017. Malignant catarrhal fever in Brazilian cattle presenting with neurological syndrome. Brazilian Journal of Microbiology, 248, 366-372.
- MATEUSEN, B., VYT, P., RIBBENS, S., COLEN, S. VAN, LETELLIER, C., KERKHOFS, P., NAUWYNCK, H. & MAES D., 2009. An outbreak of sheep-associated malignant catarrhal fever in sows. Vlaams Diergeneeskundig Tijdschrift, 78, 354-358.
- MATZAT, T., EULENBERGER, K. & MÜLLER, H., 2015. [Investigation of the presence of the etiological agents of malignant catarrhal fever in clinically healthy ruminants in zoological gardens][German]. Berliner Und Munchener Tierarztliche Wochenschrift, 128, 218-224.
- MEIER-TRUMMER, C. S., REHRAUER, H., FRANCHINI, M., PATRIGNANI, A., WAGNER, U. & ACKERMANN, M., 2009. Malignant catarrhal fever of cattle is associated with low abundance of IL-2 transcript and a predominantly latent profile of ovine herpesvirus 2 gene expression. Liu DX, ed. PLoS ONE, 4 (7), e6265. doi:10.1371/journal.pone.0006265.
- METTAM, R. W. M., 1924. Snotsiekte in cattle. 9th and 10th Reports of the Director of Veterinary Education and Research, Union of South Africa, 393–432.
- MICHEL, A. L., 1993. Generation of a nucleic acid probe specific for the alcelaphine herpesvirus-1 and its use for the detection of malignant catarrhal fever virus DNA in blue wildebeest calves (Connochaetes taurinus). Onderstepoort Journal of Veterinary Research, 60, 87–93.
- MICHEL, A. L. & ASPELING, I. A., 1994. Evidence of persistent malignant catarrhal fever infection in a cow obtained by nucleic acid hybridisation. Journal of the South African Veterinary Association, 65, 26-27.
- MICHEL, A. L., BUCHHOLZ, G. S. & VAN DER LUGT, J. J., 1995. Monitoring experimental alcelphine herpesvirus-1 infection in cattle by nucleic-acid hybridization and PCR. Onderstepoort Journal of Veterinary Research, 62, 109–115.
- MILNE, E. M. & REID, H. W., 1990. Recovery of a cow from malignant catarrhal fever. The Veterinary Record, 126, 640-641.
- MIRANGI, P. K. & KANG’EE, F. M., 1997. Detection of ovine herpesvirus 2 in Kenyan sheep by polymerase chain reaction. The Veterinary Record, 141, 176–177.
- MIRANGI, P. K. & ROSSITER, P. B., 1991. Malignant catarrhal fever in cattle experimentally inoculated with a herpesvirus isolated from a case of malignant catarrhal fever in Minnesota USA. British Veterinary Journal, 147, 31–41.
- MITCHELL, E. S. & SCHOLES, S. F., 2009. Unusual presentation of malignant catarrhal fever involving neurological disease in young calves. The Veterinary Record, 164, 240-242.
- MLILO, D., MHLANGA, M., MWEMBE, R., SISITO, G., MOYO, B., & SIBANDA, B., 2015. The epidemiology of malignant catarrhal fever (MCF) and contribution to cattle losses in farms around Rhodes Matopos National Park, Zimbabwe. Tropical Animal Health and Production, 47, 989-994.
- MOORE, D. A., KOHRS, P., BASZLER, T., FAUX, C., SATHRE, P., WENZ, J.R., ELDRIDGE, L., & LI, H., 2010. Outbreak of malignant catarrhal fever among cattle associated with a state livestock exhibition. Journal of the American Veterinary Medical Association, 237, 87-92.
- MULEI, C. M., GATHUMBI, P. K. & MBUTHIA, P. G., 2000. Suspected sheep-associated malignant catarrhal fever in a zero-grazed dairy herd in Kenya. Onderstepoort Journal of Veterinary Research, 67, 43-47.
- MÜLLER-DOBLIES, U. U., EGLI, J., LI, H., BRAUN, U., & ACKERMANN, M., 2001. [Epidemiology of malignant catarrhal fever in Switzerland][German]. Schweizer Archiv für Tierheilkunde, 143, 173-183.
- MÜLLER-DOBLIES, U. U., LI, H., HAUSER, B., ADLER, H. & ACKERMANN, M, 1998. Field validation of laboratory tests for clinical diagnosis of sheep-associated malignant catarrhal fever. Journal of Clinical Microbiology, 36, 2970–2972.
- MUSHI, E. Z., KARSTAD, L. & JESSETT, D. M., 1980. Isolation of bovine malignant catarrhal fever virus from ocular and nasal secretions of wildebeest calves. Research in Veterinary Science, 29, 168–171.
- MUSHI, E. Z., ROSSITER, P.B., JESSETT, D.M. & KARSTAD, L., 1981. Isolation and characterization of a herpesvirus from topi (Damaliscus korrigum, Ogilby). Journal of Comparative Pathology, 91, 63–68.
- NEIMANIS, A. S., HILL, J.E., JARDINE, C.M., & BOLLINGER, T. K., 2009. Sheep-associated malignant catarrhal fever in free-ranging moose (Alces alces) in Saskatchewan, Canada. Journal of Wildlife Diseases, 45, 213-217.
- NELSON, D. D., DAVIS, W.C., BROWN, W.C., LI, H., O’TOOLE, D., & OAKS, J.L., 2010. CD8(+)/perforin (+)/WC1(-) gamma delta T cells, not CD8(+) alpha beta T cells, infiltrate vasculitis lesions of American bison (Bison bison) with experimental sheep-associated malignant catarrhal fever. Veterinary Immunology and Immunopathology, 136, 284-291.
- O'TOOLE, D. & LI, H., 2014. The pathology of malignant catarrhal fever, with an emphasis on ovine herpesvirus 2. Veterinary Pathology, 51, 437–452.
- O'TOOLE, D., LI, H., ROBERTS, S., ROVNAK, J., DEMARTINI, J., CAVENDER, J., WILLIAMS, B. & CRAWFORD, T., 1995. Chronic generalized obliterative arteriopathy in cattle: a sequel to sheep-associated malignant catarrhal fever. Journal of Veterinary Diagnostic Investigation, 7, 108-121.
- O'TOOLE, D., LI, H., SOURK, C., MONTGOMERY, D.L., & CRAWFORD, T.B., 2002. Malignant catarrhal fever in a bison (Bison bison) feedlot, 1993-2000. Journal of Veterinary Diagnostic Investigation, 14, 183-193.
- O'TOOLE, D., TAUS, N.S,, MONTGOMERY, D.L., OAKS, J.L., CRAWFORD, T.B. & LI, H., 2007. Intra-nasal inoculation of American bison (Bison bison) with ovine herpesvirus-2 (OvHV-2) reliably reproduces malignant catarrhal fever. Veterinary Pathology, 44, 655-662.
- O’TOOLE, D., LI. H., MILLER, D., WILLIAMS W.R. & CRAWFORD, T.B., 1997. Chronic and recovered cases of sheep-associated malignant catarrhal fever in cattle. The Veterinary Record, 140, 519–524.
- OKESON, D. M., GARNER, M.M., TAUS, N.S., LI, H., & COKE, R.L., 2007. Ibex-associated malignant catarrhal fever in a bongo antelope (Tragelaphus euryceros). Journal of Zoo and Wildlife Medicine, 38, 460-464.
- OLIVER, R. E., BEATSON, N.S., CATHCART, A. & POOLE, W.S., 1983. Experimental transmission of malignant catarrhal fever to red deer (Cervus elaphus). New Zealand Veterinary Journal, 31, 209–212.
- PAGAMJAV, O., SAKATA, T., IBRAHIM, E.M., SUGIMOTO, C., TAKAI, S., PAWESKA, J.T., YAMAGUCHI, T., YASUDA, J., & FUKUSHI, H., 2005. Detection of novel gammaherpesviruses in wild animals of South Africa. Journal of Veterinary Medical Science, 67, 1185-1188.
- PALMEIRA, L., SOREL, O., VAN CAMPE, W., BOUDRY, C., ROELS, S., MYSTER, F., RESCHNER, A., COULIE, P.G., KERKHOFS, P., VANDERPLASSCHEN, A., & DEWALS B.G. , 2013. An essential role for -herpesvirus latency-associated nuclear antigen homolog in an acute lymphoproliferative disease of cattle. Proceedings of the National Academy of Sciences of the United States of America, 110, E1933–E1942.
- PALMER, M. V., THACKER, T.C., MADISON, R.J., KOSTER, L.G., SWENSON, S.L., & LI H., 2013. Active and latent ovine herpesvirus-2 (OvHV-2) infection in a herd of captive white-tailed deer (Odocoileus virginianus). Journal of Comparative Pathology, 149, 162 -166.
- PARDON, B., MAES, S., NOLLET, H., BLEECKER, K. DE, KERKHOFS, P. & DEPREZ, P., 2009. An outbreak of the peracute form of malignant catarrhal fever in Belgian cattle. Vlaams Diergeneeskundig Tijdschrift, 78, 359-363.
- PARKINSON, T. J., VERMUNT, J.J., MALMO, J., & ANDERSON, N., 2010. Diseases causing diarrhoea. In: Parkinson TJ, Vermunt JJ, Malmo J (eds). Diseases of Cattle in Australasia, 127–178. VetLearn, Wellington, New Zealand.
- PESAVENTO, P., CUNHA, C., LI, H., JACKSON, K. & O'TOOLE, D., 2018. Demonstration of ovine herpesvirus 2, the agent of sheep-associated malignant catarrhal fever in formalin-fixed tissues. Veterinary Pathology, Accepted pending minor revisions.
- PESAVENTO, P., DANGE, R.B., FERRERAS ESTRADA, M.C., DASTJERDI, A., PÉREZ, V., LA ROCCA, S.A., BENAVIDES SILVÁN, J., DIAB, S., JACKSON, K., PHILLIPS, I.L., LI, H., CUNHA, C., & WESSELS, M., Ovine herpesvirus-2 is associated with MCF-like vasculitis in sheep. Veterinary Pathology, Accepted pending minor revisions.
- PFITZER, S., LAST, R., ESPIE, I., & VAN VUUREN, M., 2015. Malignant catarrhal fever: an emerging disease in the African buffalo (Syncerus caffer). Transboundary and Emerging Diseases, 62, 288-294.
- PHILLIPS, I. L., CUNHA, C.W., GALBRAITH, D., HIGHLAND, M.A., BILDFELL, R.J., & LI, H., 2018. High copy number of OvHV-2 DNA associated with MCF-like syndrome in a lamb. Journal of Veterinary Diagnostic Investigation, Apr 1:1040638718766976, doi: 10.1177/1040638718766976. [Epub ahead of print].
- PIERCY, S. E., 1954. Studies in bovine malignant catarrh. V. The role of sheep in the transmission of the disease. British Veterinary Journal, 110, 508–516.
- PIERSON, R. E., THAKE, D., MCCHESNEY, A.E., & STORZ, J., 1973. An epizootic of malignant catarrhal fever in feedlot cattle. Journal of the American Veterinary Medical Association, 163, 349-360.
- PLOWRIGHT, W., 1965. Malignant catarrhal fever in East Africa. II. Observations on wildebeest calves at the laboratory and contact transmission of the infection to cattle. Research in Veterinary Science, 6, 69–83.
- PLOWRIGHT, W., 1990. Malignant catarrhal fever virus, In: Dinter Z, Morein B, eds. Virus Infections of Ruminants. New York, NY: Elsevier Science Publishers, 123–150.
- PLOWRIGHT, W., FERRIS, R. D. & SCOTT, G. R., 1960. Blue wildebeests and the aetiological agent of bovine malignant catarrhal fever. Nature, 188, 1167–1169.
- PLOWRIGHT, W., KALUNDA, M., JESSETT, D.M. & HERNIMAN, K.A., 1972. Congenital infection of cattle with the herpesvirus causing malignant catarrhal fever. Research in Veterinary Science, 13, 37–45.
- PRELIASCO, M., EASTON, M. C., PAULLIER, C., RIVERO, R., MORAES, D. F. S. D., GODOY, I., DUTRA, V. & NAKAZATO, L., 2013. [Diagnosis of malignant catarrhal fever in cattle in Uruguay][Portuguese]. Pesquisa Veterinária Brasileira, 33, 52-56.
- PRETORIUS, J. A., OOSTHUIZEN, M.C., VAN VUUREN, M., 2008. Gammaherpesvirus carrier status of black wildebeest (Connochaetes gnou) in South Africa. Journal of the South African Veterinary Medical Association, 79, 136-141.
- RAE, C. A., 1994. Lymphocytic enteritis and systemic vasculitis in sheep. Canadian Veterinary Journal, 35, 622-625.
- RAMACHANDRAN, S., MALOLE, M., RIFULIADI, D. & SAFRIATI, T., 1982. Experimental reproduction of malignant catarrhal fever in Bali cattle (Bos sondaicus). Australian Veterinary Journal, 58, 169–170.
- RECH, R. R., SCHILD, A. L., DRIEMEIER, D., GARMATZ, S. L., OLIVEIRA, F. N., RIET-CORREA, F.& BARROS, C. S. L., 2005. [Malignant catarrhal fever in cattle in Rio Grande do Sul, Brazil: epidemiology, clinical signs and pathology][Portuguese]. Pesquisa Veterinária Brasileira, 25, 97-105.
- REID, H. W. & BRIDGEN, A., 1991. Recovery of a herpesvirus from a roan antelope (Hippotragus equinus). Veterinary Microbiology, 28, 269–278.
- REID, H. W., BUXTON, D., POW, I., FINLAYSON, J. & BERRIE, E. L., 1983. A cytotoxic T-lymphocyte line propagated from a rabbit infected with sheep associated malignant catarrhal fever. Research in Veterinary Science, 34, 109–113.
- REID, H. W., BUXTON, D., CORRIGALL, W., HUNTER, A.R., MCMARTIN, D.A., & RUSHTON, R., 1979. An outbreak of malignant catarrhal fever in red deer (Cervus elaphus). The Veterinary Record, 104, 120–123.
- REID, H. W., BUXTON, D., MCKELVEY, W.A.C., MILNE, J.A., & APPLEYARD, W.T., 1987. Malignant catarrhal fever in Père David’s deer. The Veterinary Record, 121, 276–277.
- REID, H. W., BUXTON, D., POW, I., & FINLAYSON, J., 1986., 1986. Malignant catarrhal fever: Experimental transmission of the ‘sheep-associated’ form of the disease from cattle and deer to cattle, deer, rabbits and hamsters. Research in Veterinary Science, 41, 76–81.
- REID, H. W. & ROWE, L., 1973. The attenuation of a herpes virus (malignant catarrhal fever virus) isolated from hartebeest (Alcelaphus buselaphus cokei Gunther). Research in Veterinary Science, 15, 144–146.
- REID, H. W. & VAN VUUREN, M., 2004. Bovine malignant catarrhal fever. In: Coetzer, J. A. W., and R. C. Tustin (eds.). Infectious Diseases of Livestock, 2nd edition, Oxford University Press, South Africa, 895–908.
- ROSSITER, P. B., 1981. Antibodies to malignant catarrhal fever virus in sheep sera. Journal of Comparative Pathology, 91, 303–311.
- ROSSITER, P. B., 1982. Attempts to protect rabbits against challenge with virulent, cell-associated, malignant catarrhal fever virus. Veterinary Microbiology, 7, 419-425.
- ROSSITER, P. B., 1983. Antibodies to malignant catarrhal fever virus in cattle with non-wildebeest-associated malignant catarrhal fever. Journal of Comparative Pathology, 93, 93-97.
- RUSSELL, G. C., 2017. Malignant catarrhal fever (chapter 2.4.14). In: Manual of Diagnostic Tests and Vaccines for Terrestrial Animals, (http://www.oie.int/international-standard-setting/terrestrial-manual/access-online).
- RUSSELL, G. C., BENAVIDES, J., GRANT, D., TODD, H., DEANE, D., PERCIVAL, A., THOMSON, J., CONNELLY, M. & HAIG, D. M., 2012. Duration of protective immunity and antibody responses in cattle immunised against alcelaphine herpesvirus-1-induced malignant catarrhal fever. Veterinary Research, 43 (1), 51. doi:10.1186/1297-9716-43-51.
- RUSSELL, G. C., STEWART, J. P. & HAIG, D. M., 2009. Malignant catarrhal fever: a review. Veterinary Journal, 179, 324–335.
- RUSSELL, P. H., 1980. Malignant catarrhal fever virus in rabbits. Reproduction of clinical disease by cell-free virus and partial protection against such disease by vaccination with inactivated virus. Veterinary Microbiology, 5, 161–163.
- RWEYEMAMU, M. M., KARSTAD, L, MUSHI, E.Z., OTEMA, J.C., JESSETT, D.M., ROWE, L., DREVEMO, S. & GROOTENHUIS, J.G., 1974. Malignant catarrhal fever virus in nasal secretions of wildebeest: a probable mechanism for virus transmission. Journal of Wildlife Diseases, 10, 478–487.
- RWEYEMAMU, M. M., MUSHI, E. Z., ROWE, L. & KARSTAD, L., 1976. Persistent infection of cattle with the herpesvirus of malignant catarrhal fever and observations on the pathogenesis of the disease. British Veterinary Journal, 132, 393–400.
- SCHOCK, A., COLLINS, R. A. & REID, W. H., 1998. Phenotype, growth regulation and cytokine transcription in ovine herpesvirus 2 (OHV-2)-infected bovine T-cell lines. Veterinary Immunology and Immunopathology, 66, 67–81.
- SCHOCK, A. & REID, W. H., 1996. Characterisation of the lymphoproliferation in rabbits experimentally affected with malignant catarrhal fever. Veterinary Microbiology, 53, 111–119.
- SCHOCK, A., SCHOLES, S. F., HOWIE, F. E. & BUXTON, D., 2009. Cerebral segmental polyarteritis of unknown aetiology in sheep. Journal of Comparative Pathology, 140, 283-287.
- SCHULLER, W., CERNY-REITERER, S. & SILBER, R., 1990. Evidence that the sheep associated form of malignant catarrhal fever is caused by a herpes virus. Journal of Veterinary Medicine, Series B 37, 442-447.
- SCHULTHEISS, P. C., COLLINS, J. K., AUSTGEN, L. E. & DEMARTINI, J. C., 1998. Malignant catarrhal fever in bison, acute and chronic cases. Journal of Veterinary Diagnostic Investigation, 10, 255-262.
- SCHULTHEISS, P. C., COLLINS, J. K., SPRAKER, T. R. & DEMARTINI, J. C., 2000. Epizootic malignant catarrhal fever in three bison herds: differences from cattle and association with ovine herpesvirus-2. Journal of Veterinary Diagnostic Investigation, 12, 497-502.
- SCHULTHEISS, P. C., VAN CAMPEN, H., SPRAKER, T. R., BISHOP, C., WOLFE, L. & PODELL, B., 2007. Malignant catarrhal fever associated with ovine herpesvirus-2 in free-ranging mule deer in Colorado. Journal of Wildlife Diseases, 43, 533-537.
- SEELEY, K. E., JUNGE, R. E., JENNINGS, R. N., CUNHA, C. W. & LI, H., Moose (Alces alces) mortality associated with caprine herpesvirus 2 (CpHV-2) in a zoological collection. Journal of Wildlife and Zoo Medicine, Submitted.
- SELMAN, I. E., WISEMAN, A., G., W. N. & MURRAY, M., 1978. Transmission studies with bovine malignant catarrhal fever. The Veterinary Record, 102, 252–257.
- SELMAN, I. E., WISEMAN, A., MURRAY, M. & WRIGHT, N. G., 1974. A clinico-pathological study of bovine malignant catarrhal fever in Great Britain. The Veterinary Record, 94, 483–490.
- SIMON, S. L. I. H., O'TOOLE, D., CRAWFORD, T. B. & OAKS, J. L., 2003. The vascular lesions of a cow and bison with sheep-associated malignant catarrhal fever contain ovine herpesvirus 2-infected CD8(+) T lymphocytes. Journal of General Virology, 84, 2009-2013.
- SLATER, O. M., PETERS-KENNEDY, J., LEJEUNE, M., GUMMER, D., MACBETH, B., WARREN, A., JOSEPH, T., LI, H., CUNHA, C. W. & DUIGNAN, P. J., 2017. Sheep-Associated Malignant Catarrhal Fever-Like Skin Disease in a Free-Ranging Bighorn Sheep (Ovis canadensis), Alberta, Canada. Journal of Wildlife Diseases, 53, 153-158.
- SOREL, O., CHEN, T., MYSTER, F., JAVAUX, J., VANDERPLASSCHEN, A. & DEWALS, B. G., 2017. Macavirus latency-associated protein evades immune detection through regulation of protein synthesis in cis depending upon its glycin/glutamate-rich domain. PLoS Pathog, 13 (10), e1006691.
- SPRAKER, T. R., 1982. Malignant catarrhal fever. In: Diseases of Wildlife in Wyoming. 2nd edition, Wyoming Game and Fish Department, Cheyenne, WY, USA, 13-15.
- SWAI, E. S., KAPAGA, A. M., SUDI, F., LOOMU, P. M. & JOSHUA, G., 2013. Malignant catarrhal fever in pastoral Maasai herds caused by wildebeest associated alcelaphine herpesvirus-1: An outbreak report. Veterinary Research Forum, 4, 133–136.
- TAUS, N. S., CUNHA, C. W., MARQUARD, J., O'TOOLE, D. & LI, H., 2015. Cross-reactivity of neutralizing antibodies among malignant catarrhal fever viruses. PLoS One, 10 (12), e0145073.
- TAUS, N. S., HERNDON, D. R., TRAUL, D. L., STEWART, J. P., ACKERMANN, M., LI, H., KNOWLES, D. P., LEWIS, G. S. & BRAYTON, K. A., 2007. Comparison of ovine herpesvirus 2 genomes isolated from domestic sheep (Ovis aries) and a clinically affected cow (Bos bovis). Journal of General Virology, 88, 40-45.
- TAUS, N. S., O'TOOLE, D., HERNDON, D. R., CUNHA, C. W., WARG, J. V., SEAL, B. S., BROOKING, A. & LI, H., 2014. Malignant catarrhal fever in American bison (Bison bison) experimentally infected with alcelaphine herpesvirus 2. Veterinary Microbiology, 172, 318-322.
- TRAUL, D. L., ELIAS, S., TAUS, N. S., HERRMANN, L. M., OAKS, J. L. & LI, H., 2005. A real-time PCR assay for measuring alcelaphine herpesvirus-1 DNA. Journal of Virological Methods, 129, 186-190.
- TRAUL, D. L., LI, H., DASGUPTA, N., O'TOOLE, D., ELDRIDGE, J. A., BESSER, T. E. & DAVIES, C. J., 2007. Resistance to malignant catarrhal fever in American bison (Bison bison) is associated with MHC class IIa polymorphisms. Animal Genetics, 38, 141-146.
- VANDEVANTER, D. R., WARRENER, P., BENNETT, L., SCHULTZ, E. R., COULTER, S., GARBER, R. L. & ROSE, T. M., 1996. Detection and analysis of diverse herpesviral species by consensus primer PCR. Journal of Clinical Microbiology, 34, 1666-1671.
- VIKØREN, T., KLEVAR, S., LI, H. & HAUGE, A. G., 2013. Malignant catarrhal fever virus identified in free-ranging musk ox (Ovibos moschatus) in Norway. Journal of Wildlife Diseases, 49, 447-450.
- VIKØREN, T., LI, H., LILLEHAUG, A., JONASSEN, C. M., BÖCKERMAN, I. & HANDELAND, K., 2006. Malignant catarrhal fever in free-ranging cervids associated with OvHV-2 and CpHV-2 DNA. Journal of Wildlife Diseases, 42, 797-807.
- VRAHIMIS, S., GROBLER, P., BRINK, J., VILJOEN, P. & SCHULZE, E., 2017. Connochaetes gnou. The IUCN Red List of Threatened. Species, : e.T5228A50184962. http://dx.doi.org/10.2305/IUCN.UK.2017-2.RLTS.T5228A50184962.en, Accessed 31 March 2018.
- WAMBUA, L., WAMBUA, P. N., RAMOGO, A. M., MIJELE, D. & OTIENDE, M. Y., 2016. Wildebeest-associated malignant catarrhal fever: perspectives for integrated control of a lymphoproliferative disease of cattle in sub-Saharan Africa. Archives of Virology, 161, 1-10.
- WESTBURY, H. A. & DENHOLM, L. J., 1982. Malignant catarrhal fever in farmed Rusa deer (Cervus timorensis). 2. Animal transmission and virological studies. Australian Veterinary Journal, 58, 88–92.
- WHITELEY, H. E., YOUNG, S., LIGGITT, H. D. & DE MARTINI, J. C., 1985. Ocular lesions of bovine malignant catarrhal fever. Veterinary Pathology, 22, 219–225.
- WIYONO, A., BAXTER, S. I. F., SAEPULLOH, M., DAMAYANTI, R., DANIELS, P. & REID, H. W., 1994. PCR detection of ovine herpesvirus-2 DNA in Indonesian ruminants, normal sheep and clinical cases of malignant catarrhal fever. Veterinary Microbiology, 42, 45–52.
- WOBESER, C., MAJKA, J. A. & MILLS, J. H. L., 1973. A disease resembling malignant catarrhal fever in captive white-tailed deer in Saskatchewan. Canadian Veterinary Journal, 14, 106-109.
- WOODS, L. W., SCHUMAKER, B. A., PESAVENTO, P. A., CROSSLEY, B. M. & SWIFT, P. K., 2018. Adenoviral hemorrhagic disease in California mule deer, 1990-2014. Journal of Veterinary Diagnostic Investigation, 1:1040638718766036, doi: 10.1177/1040638718766036. [Epub ahead of print].
- WUIJCKHUISE-SJOUKE, L. V. & KNIBBE, G. C., 2007. [Large outbreak of malignant catarrhal fever in cattle][Dutch]. Tijdschrift voor Diergeneeskunde, 132, 732-734.
- YERUHAM, I., DAVID, D., BRENNER, J., GOSHEN, T. & PERL, S., 2004. Malignant catarrhal fever in a Barbary sheep (Ammotragus lervia). Veterinary Record, 155, 463-465.
- ZARNKE, R. L. H. & CRAWFORD, T., 2002. Serum antibody prevalence of malignant catarrhal fever viruses in seven wildlife species from Alaska. Journal of Wildlife Diseases, 38, 500–504.
- ZEMLJIČ, T., POT, S. A., HAESSIG, M. & SPIESS, B. M., 2012. Clinical ocular findings in cows with malignant catarrhal fever: ocular disease progression and outcome in 25 cases (2007-2010). Veterinary Ophthalmology, 15, 46-52.
- ZHU, H., HUANG, Q., HU, X., CHU, W., ZHANG, J., JIANG, L., YU, X., ZHANG, X. & CHENG, S., 2018. Caprine herpesvirus 2-associated malignant catarrhal fever of captive sika deer (Cervus nippon) in an intensive management system. BMC Veterinary Research, 14, 38. doi: 10.1186/s12917-018-1365-8.





































